About   Help   FAQ
Gene Expression Data
Assay Details
Assay
Reference: J:153498 Diez-Roux G, et al., A high-resolution anatomical atlas of the transcriptome in the mouse embryo. PLoS Biol. 2011;9(1):e1000582
Assay type: RNA in situ
MGI Accession ID: MGI:4826757
Gene symbol: Noxo1
Gene name: NADPH oxidase organizer 1
Probe: T31011
Probe preparation: Antisense labelled with digoxigenin RNA
Visualized with: Alkaline phosphatase
Assay notes: Cryosections of fresh frozen material were fixed in 4% paraformaldehyde for 20 min. before further processing. A tyramide-biotin/streptavidin amplification step was included in the in situ hybridization procedure.
Results
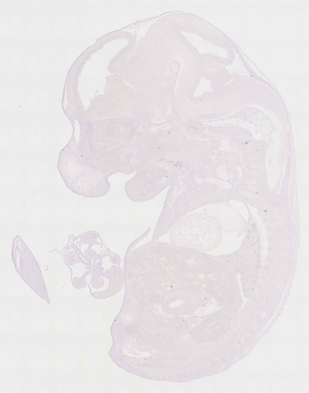
Specimen euxassay_013661_05: embryonic day 14.5 (more )
Structure Level Pattern Image Note
TS23: inner ear vestibular component Weak Regionally restricted euxassay_013661_05

Specimen euxassay_013661_06: embryonic day 14.5 (more )
Structure Level Pattern Image Note
TS23: inner ear vestibular component Weak Regionally restricted euxassay_013661_06

Specimen euxassay_013661_07: embryonic day 14.5 (more )
Structure Level Pattern Image Note
TS23: submandibular gland primordium Weak Regionally restricted euxassay_013661_07

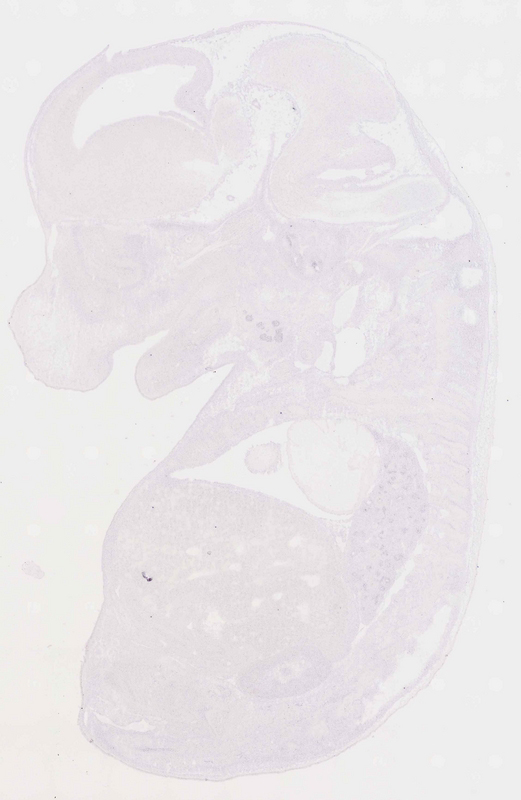
Specimen euxassay_013661_08: embryonic day 14.5 (more )
Structure Level Pattern Image Note
TS23: submandibular gland primordium Weak Regionally restricted euxassay_013661_08

Specimen euxassay_013661_09: embryonic day 14.5 (more )
Structure Level Pattern Image Note
TS23: submandibular gland primordium Weak Regionally restricted euxassay_013661_09

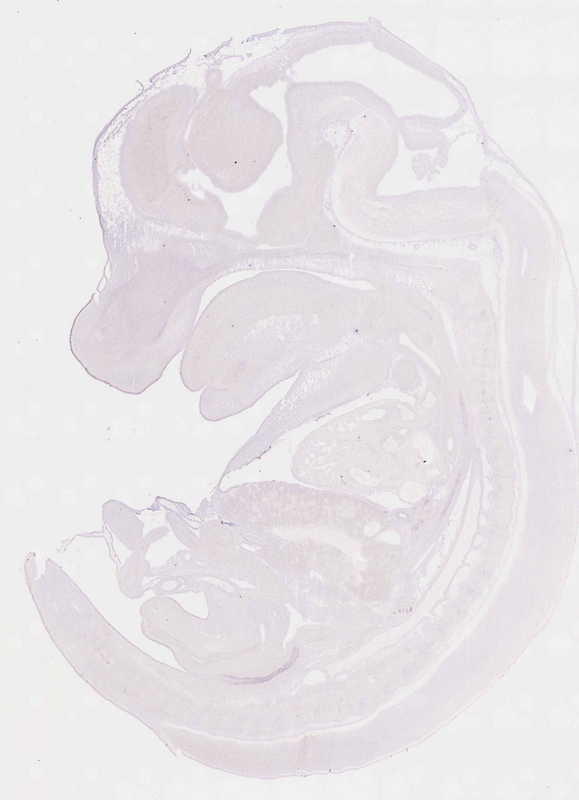
Specimen euxassay_013661_13: embryonic day 14.5 (more )
Structure Level Pattern Image Note
TS23: rectum Weak Regionally restricted euxassay_013661_13

Specimen euxassay_013661_16: embryonic day 14.5 (more )
Structure Level Pattern Image Note
TS23: submandibular gland primordium Weak Regionally restricted euxassay_013661_16

Specimen euxassay_013661_17: embryonic day 14.5 (more )
Structure Level Pattern Image Note
TS23: submandibular gland primordium Weak Regionally restricted euxassay_013661_17

Specimen euxassay_013661_18: embryonic day 14.5 (more )
Structure Level Pattern Image Note
TS23: submandibular gland primordium Weak Regionally restricted euxassay_013661_18

Specimen euxassay_013661_19: embryonic day 14.5 (more )
Structure Level Pattern Image Note
TS23: submandibular gland primordium Weak Regionally restricted euxassay_013661_19

Specimen euxassay_013661_20: embryonic day 14.5 (more )
Structure Level Pattern Image Note
TS23: inner ear vestibular component Weak Regionally restricted euxassay_013661_20

Specimen euxassay_013661_21: embryonic day 14.5 (more )
Structure Level Pattern Image Note
TS23: inner ear vestibular component Weak Regionally restricted euxassay_013661_21


Contributing Projects:
Mouse Genome Database (MGD), Gene Expression Database (GXD), Mouse Models of Human Cancer database (MMHCdb) (formerly Mouse Tumor Biology (MTB)), Gene Ontology (GO)
Citing These Resources
Funding Information
Warranty Disclaimer, Privacy Notice, Licensing, & Copyright
Send questions and comments to User Support.
last database update
12/30/2025
MGI 6.24
The Jackson Laboratory