About   Help   FAQ
Gene Expression Data
Assay Details
Assay
Reference: J:153498 Diez-Roux G, et al., A high-resolution anatomical atlas of the transcriptome in the mouse embryo. PLoS Biol. 2011;9(1):e1000582
Assay type: RNA in situ
MGI Accession ID: MGI:4826752
Gene symbol: Notch1
Gene name: notch 1
Probe: T35504
Probe preparation: Antisense labelled with digoxigenin RNA
Visualized with: Alkaline phosphatase
Assay notes: Cryosections of fresh frozen material were fixed in 4% paraformaldehyde for 20 min. before further processing. A tyramide-biotin/streptavidin amplification step was included in the in situ hybridization procedure.
Results
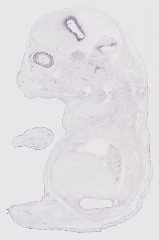
Specimen euxassay_008990_01: embryonic day 14.5 (more )
Structure Level Pattern Image Note
TS23: epidermis Strong Regionally restricted euxassay_008990_01
TS23: retina Moderate Regionally restricted euxassay_008990_01
TS23: utricle Moderate Regionally restricted euxassay_008990_01

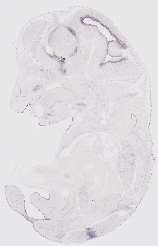
Specimen euxassay_008990_02: embryonic day 14.5 (more )
Structure Level Pattern Image Note
TS23: epidermis Strong Regionally restricted euxassay_008990_02
TS23: retina Moderate Regionally restricted euxassay_008990_02
TS23: utricle Moderate Regionally restricted euxassay_008990_02

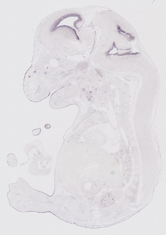
Specimen euxassay_008990_03: embryonic day 14.5 (more )
Structure Level Pattern Image Note
TS23: telencephalon ventricular layer Strong Regionally restricted euxassay_008990_03
TS23: medulla oblongata alar plate ventricular layer Strong Regionally restricted euxassay_008990_03
TS23: rest of cerebellum ventricular layer Strong Regionally restricted euxassay_008990_03
TS23: pons ventricular layer Strong Regionally restricted euxassay_008990_03
TS23: epidermis Strong Regionally restricted euxassay_008990_03
TS23: retina Moderate Regionally restricted euxassay_008990_03
TS23: utricle Moderate Regionally restricted euxassay_008990_03
TS23: left lung Moderate Regionally restricted euxassay_008990_03

Specimen euxassay_008990_04: embryonic day 14.5 (more )
Structure Level Pattern Image Note
TS23: telencephalon ventricular layer Strong Regionally restricted euxassay_008990_04
TS23: pons ventricular layer Strong Regionally restricted euxassay_008990_04
TS23: rest of cerebellum ventricular layer Strong Regionally restricted euxassay_008990_04
TS23: medulla oblongata alar plate ventricular layer Strong Regionally restricted euxassay_008990_04
TS23: epidermis Strong Regionally restricted euxassay_008990_04
TS23: retina Moderate Regionally restricted euxassay_008990_04
TS23: cornea Strong Regionally restricted euxassay_008990_04
TS23: utricle Moderate Regionally restricted euxassay_008990_04
TS23: left lung Moderate Regionally restricted euxassay_008990_04

Specimen euxassay_008990_05: embryonic day 14.5 (more )
Structure Level Pattern Image Note
TS23: telencephalon ventricular layer Strong Regionally restricted euxassay_008990_05
TS23: medulla oblongata alar plate ventricular layer Strong Regionally restricted euxassay_008990_05
TS23: pons ventricular layer Strong Regionally restricted euxassay_008990_05
TS23: rest of cerebellum ventricular layer Strong Regionally restricted euxassay_008990_05
TS23: vibrissa Strong Regionally restricted euxassay_008990_05
TS23: epidermis Strong Regionally restricted euxassay_008990_05
TS23: retina Moderate Regionally restricted euxassay_008990_05
TS23: cornea Moderate Regionally restricted euxassay_008990_05
TS23: utricle Moderate Regionally restricted euxassay_008990_05
TS23: left lung Moderate Regionally restricted euxassay_008990_05

Specimen euxassay_008990_06: embryonic day 14.5 (more )
Structure Level Pattern Image Note
TS23: telencephalon ventricular layer Strong Regionally restricted euxassay_008990_06
TS23: medulla oblongata alar plate ventricular layer Strong Regionally restricted euxassay_008990_06
TS23: rest of cerebellum ventricular layer Strong Regionally restricted euxassay_008990_06
TS23: pons ventricular layer Strong Regionally restricted euxassay_008990_06
TS23: vibrissa Strong Regionally restricted euxassay_008990_06
TS23: epidermis Strong Regionally restricted euxassay_008990_06
TS23: utricle Moderate Regionally restricted euxassay_008990_06
TS23: left lung Moderate Regionally restricted euxassay_008990_06

Specimen euxassay_008990_07: embryonic day 14.5 (more )
Structure Level Pattern Image Note
TS23: telencephalon ventricular layer Strong Regionally restricted euxassay_008990_07
TS23: midbrain ventricular layer Strong Regionally restricted euxassay_008990_07
TS23: medulla oblongata basal plate ventricular layer Strong Regionally restricted euxassay_008990_07
TS23: medulla oblongata alar plate ventricular layer Strong Regionally restricted euxassay_008990_07
TS23: rest of cerebellum ventricular layer Strong Regionally restricted euxassay_008990_07
TS23: pons ventricular layer Strong Regionally restricted euxassay_008990_07
TS23: epidermis Strong Regionally restricted euxassay_008990_07
TS23: vibrissa Strong Regionally restricted euxassay_008990_07
TS23: utricle Moderate Regionally restricted euxassay_008990_07
TS23: cochlea Moderate Regionally restricted euxassay_008990_07
TS23: lower jaw molar Strong Regionally restricted euxassay_008990_07
TS23: upper jaw molar Strong Regionally restricted euxassay_008990_07
TS23: left lung Moderate Regionally restricted euxassay_008990_07
TS23: submandibular gland primordium Moderate Regionally restricted euxassay_008990_07

Specimen euxassay_008990_08: embryonic day 14.5 (more )
Structure Level Pattern Image Note
TS23: telencephalon ventricular layer Strong Regionally restricted euxassay_008990_08
TS23: midbrain ventricular layer Strong Regionally restricted euxassay_008990_08
TS23: medulla oblongata alar plate ventricular layer Strong Regionally restricted euxassay_008990_08
TS23: medulla oblongata basal plate ventricular layer Strong Regionally restricted euxassay_008990_08
TS23: rest of cerebellum ventricular layer Strong Regionally restricted euxassay_008990_08
TS23: pons ventricular layer Strong Regionally restricted euxassay_008990_08
TS23: epidermis Strong Regionally restricted euxassay_008990_08
TS23: vibrissa Strong Regionally restricted euxassay_008990_08
TS23: cochlea Moderate Regionally restricted euxassay_008990_08
TS23: renal cortex Moderate Regionally restricted euxassay_008990_08
TS23: left lung Moderate Regionally restricted euxassay_008990_08
TS23: submandibular gland primordium Moderate Regionally restricted euxassay_008990_08

Specimen euxassay_008990_09: embryonic day 14.5 (more )
Structure Level Pattern Image Note
TS23: telencephalon ventricular layer Strong Regionally restricted euxassay_008990_09
TS23: midbrain ventricular layer Strong Regionally restricted euxassay_008990_09
TS23: medulla oblongata alar plate ventricular layer Strong Regionally restricted euxassay_008990_09
TS23: medulla oblongata basal plate ventricular layer Strong Regionally restricted euxassay_008990_09
TS23: rest of cerebellum ventricular layer Strong Regionally restricted euxassay_008990_09
TS23: pons ventricular layer Strong Regionally restricted euxassay_008990_09
TS23: spinal cord ventricular layer Strong Regionally restricted euxassay_008990_09
TS23: epidermis Strong Regionally restricted euxassay_008990_09
TS23: olfactory epithelium Moderate Regionally restricted euxassay_008990_09
TS23: thymus primordium Strong Regionally restricted euxassay_008990_09
TS23: renal cortex Moderate Regionally restricted euxassay_008990_09
TS23: left lung Moderate Regionally restricted euxassay_008990_09
TS23: submandibular gland primordium Moderate Regionally restricted euxassay_008990_09

Specimen euxassay_008990_10: embryonic day 14.5 (more )
Structure Level Pattern Image Note
TS23: telencephalon ventricular layer Strong Regionally restricted euxassay_008990_10
TS23: midbrain ventricular layer Strong Regionally restricted euxassay_008990_10
TS23: medulla oblongata alar plate ventricular layer Strong Regionally restricted euxassay_008990_10
TS23: medulla oblongata basal plate ventricular layer Strong Regionally restricted euxassay_008990_10
TS23: rest of cerebellum ventricular layer Strong Regionally restricted euxassay_008990_10
TS23: pons ventricular layer Strong Regionally restricted euxassay_008990_10
TS23: spinal cord ventricular layer Strong Regionally restricted euxassay_008990_10
TS23: epidermis Strong Regionally restricted euxassay_008990_10
TS23: olfactory epithelium Moderate Regionally restricted euxassay_008990_10
TS23: thymus primordium Strong Regionally restricted euxassay_008990_10
TS23: renal cortex Moderate Regionally restricted euxassay_008990_10
TS23: left lung Moderate Regionally restricted euxassay_008990_10

Specimen euxassay_008990_11: embryonic day 14.5 (more )
Structure Level Pattern Image Note
TS23: telencephalon ventricular layer Strong Regionally restricted euxassay_008990_11
TS23: midbrain ventricular layer Strong Regionally restricted euxassay_008990_11
TS23: medulla oblongata alar plate ventricular layer Strong Regionally restricted euxassay_008990_11
TS23: medulla oblongata basal plate ventricular layer Strong Regionally restricted euxassay_008990_11
TS23: rest of cerebellum ventricular layer Strong Regionally restricted euxassay_008990_11
TS23: pons ventricular layer Strong Regionally restricted euxassay_008990_11
TS23: spinal cord ventricular layer Strong Regionally restricted euxassay_008990_11
TS23: epidermis Strong Regionally restricted euxassay_008990_11
TS23: olfactory epithelium Strong Regionally restricted euxassay_008990_11
TS23: thymus primordium Strong Regionally restricted euxassay_008990_11
TS23: lower jaw incisor Moderate Regionally restricted euxassay_008990_11
TS23: upper jaw incisor Moderate Regionally restricted euxassay_008990_11
TS23: right lung Moderate Regionally restricted euxassay_008990_11

Specimen euxassay_008990_12: embryonic day 14.5 (more )
Structure Level Pattern Image Note
TS23: midbrain ventricular layer Strong Regionally restricted euxassay_008990_12
TS23: telencephalon ventricular layer Strong Regionally restricted euxassay_008990_12
TS23: diencephalon lateral wall ventricular layer Strong Regionally restricted euxassay_008990_12
TS23: medulla oblongata alar plate ventricular layer Strong Regionally restricted euxassay_008990_12
TS23: medulla oblongata basal plate ventricular layer Strong Regionally restricted euxassay_008990_12
TS23: rest of cerebellum ventricular layer Strong Regionally restricted euxassay_008990_12
TS23: pons ventricular layer Strong Regionally restricted euxassay_008990_12
TS23: epidermis Strong Regionally restricted euxassay_008990_12
TS23: external naris epithelium Strong Regionally restricted euxassay_008990_12
TS23: anterior naris epithelium Strong Regionally restricted euxassay_008990_12
TS23: olfactory epithelium Strong Regionally restricted euxassay_008990_12
TS23: thymus primordium Strong Regionally restricted euxassay_008990_12
TS23: upper jaw incisor Moderate Regionally restricted euxassay_008990_12
TS23: right lung Moderate Regionally restricted euxassay_008990_12

Specimen euxassay_008990_13: embryonic day 14.5 (more )
Structure Level Pattern Image Note
TS23: diencephalon lateral wall ventricular layer Strong Regionally restricted euxassay_008990_13
TS23: telencephalon ventricular layer Strong Regionally restricted euxassay_008990_13
TS23: midbrain ventricular layer Strong Regionally restricted euxassay_008990_13
TS23: medulla oblongata alar plate ventricular layer Strong Regionally restricted euxassay_008990_13
TS23: rest of cerebellum ventricular layer Strong Regionally restricted euxassay_008990_13
TS23: pons ventricular layer Strong Regionally restricted euxassay_008990_13
TS23: spinal cord ventricular layer Strong Regionally restricted euxassay_008990_13
TS23: epidermis Strong Regionally restricted euxassay_008990_13
TS23: anterior naris epithelium Strong Regionally restricted euxassay_008990_13
TS23: external naris epithelium Strong Regionally restricted euxassay_008990_13
TS23: olfactory epithelium Strong Regionally restricted euxassay_008990_13
TS23: vomeronasal organ Strong Regionally restricted euxassay_008990_13
TS23: thymus primordium Strong Regionally restricted euxassay_008990_13
TS23: right lung Moderate Regionally restricted euxassay_008990_13

Specimen euxassay_008990_14: embryonic day 14.5 (more )
Structure Level Pattern Image Note
TS23: diencephalon lateral wall ventricular layer Strong Regionally restricted euxassay_008990_14
TS23: telencephalon ventricular layer Strong Regionally restricted euxassay_008990_14
TS23: midbrain ventricular layer Strong Regionally restricted euxassay_008990_14
TS23: medulla oblongata alar plate ventricular layer Strong Regionally restricted euxassay_008990_14
TS23: rest of cerebellum ventricular layer Strong Regionally restricted euxassay_008990_14
TS23: pons ventricular layer Strong Regionally restricted euxassay_008990_14
TS23: spinal cord ventricular layer Strong Regionally restricted euxassay_008990_14
TS23: epidermis Strong Regionally restricted euxassay_008990_14
TS23: thymus primordium Strong Regionally restricted euxassay_008990_14
TS23: right lung Moderate Regionally restricted euxassay_008990_14

Specimen euxassay_008990_15: embryonic day 14.5 (more )
Structure Level Pattern Image Note
TS23: diencephalon lateral wall ventricular layer Strong Regionally restricted euxassay_008990_15
TS23: telencephalon ventricular layer Strong Regionally restricted euxassay_008990_15
TS23: midbrain ventricular layer Strong Regionally restricted euxassay_008990_15
TS23: pons ventricular layer Strong Regionally restricted euxassay_008990_15
TS23: rest of cerebellum ventricular layer Strong Regionally restricted euxassay_008990_15
TS23: medulla oblongata alar plate ventricular layer Strong Regionally restricted euxassay_008990_15
TS23: spinal cord ventricular layer Strong Regionally restricted euxassay_008990_15
TS23: epidermis Strong Regionally restricted euxassay_008990_15
TS23: vomeronasal organ Strong Regionally restricted euxassay_008990_15
TS23: olfactory epithelium Strong Regionally restricted euxassay_008990_15
TS23: anterior naris epithelium Strong Regionally restricted euxassay_008990_15
TS23: right lung Moderate Regionally restricted euxassay_008990_15
TS23: submandibular gland primordium Moderate Regionally restricted euxassay_008990_15

Specimen euxassay_008990_16: embryonic day 14.5 (more )
Structure Level Pattern Image Note
TS23: midbrain ventricular layer Strong Regionally restricted euxassay_008990_16
TS23: telencephalon ventricular layer Strong Regionally restricted euxassay_008990_16
TS23: pons ventricular layer Strong Regionally restricted euxassay_008990_16
TS23: rest of cerebellum ventricular layer Strong Regionally restricted euxassay_008990_16
TS23: medulla oblongata alar plate ventricular layer Strong Regionally restricted euxassay_008990_16
TS23: spinal cord ventricular layer Strong Regionally restricted euxassay_008990_16
TS23: epidermis Strong Regionally restricted euxassay_008990_16
TS23: olfactory epithelium Strong Regionally restricted euxassay_008990_16
TS23: external naris epithelium Strong Regionally restricted euxassay_008990_16
TS23: cochlea Moderate Regionally restricted euxassay_008990_16
TS23: renal cortex Moderate Regionally restricted euxassay_008990_16
TS23: right lung Moderate Regionally restricted euxassay_008990_16
TS23: submandibular gland primordium Moderate Regionally restricted euxassay_008990_16

Specimen euxassay_008990_17: embryonic day 14.5 (more )
Structure Level Pattern Image Note
TS23: midbrain ventricular layer Strong Regionally restricted euxassay_008990_17
TS23: telencephalon ventricular layer Strong Regionally restricted euxassay_008990_17
TS23: pons ventricular layer Strong Regionally restricted euxassay_008990_17
TS23: rest of cerebellum ventricular layer Strong Regionally restricted euxassay_008990_17
TS23: medulla oblongata alar plate ventricular layer Strong Regionally restricted euxassay_008990_17
TS23: spinal cord ventricular layer Strong Regionally restricted euxassay_008990_17
TS23: epidermis Strong Regionally restricted euxassay_008990_17
TS23: olfactory epithelium Strong Regionally restricted euxassay_008990_17
TS23: utricle Moderate Regionally restricted euxassay_008990_17
TS23: renal cortex Moderate Regionally restricted euxassay_008990_17
TS23: right lung Moderate Regionally restricted euxassay_008990_17
TS23: submandibular gland primordium Moderate Regionally restricted euxassay_008990_17

Specimen euxassay_008990_18: embryonic day 14.5 (more )
Structure Level Pattern Image Note
TS23: telencephalon ventricular layer Strong Regionally restricted euxassay_008990_18
TS23: medulla oblongata alar plate ventricular layer Strong Regionally restricted euxassay_008990_18
TS23: rest of cerebellum ventricular layer Strong Regionally restricted euxassay_008990_18
TS23: pons ventricular layer Strong Regionally restricted euxassay_008990_18
TS23: spinal cord ventricular layer Strong Regionally restricted euxassay_008990_18
TS23: epidermis Strong Regionally restricted euxassay_008990_18
TS23: olfactory epithelium Strong Regionally restricted euxassay_008990_18
TS23: cochlea Moderate Regionally restricted euxassay_008990_18
TS23: utricle Moderate Regionally restricted euxassay_008990_18
TS23: renal cortex Moderate Regionally restricted euxassay_008990_18
TS23: right lung Moderate Regionally restricted euxassay_008990_18

Specimen euxassay_008990_19: embryonic day 14.5 (more )
Structure Level Pattern Image Note
TS23: telencephalon ventricular layer Strong Regionally restricted euxassay_008990_19
TS23: medulla oblongata alar plate ventricular layer Strong Regionally restricted euxassay_008990_19
TS23: rest of cerebellum ventricular layer Strong Regionally restricted euxassay_008990_19
TS23: pons ventricular layer Strong Regionally restricted euxassay_008990_19
TS23: spinal cord ventricular layer Strong Regionally restricted euxassay_008990_19
TS23: epidermis Strong Regionally restricted euxassay_008990_19
TS23: olfactory epithelium Moderate Regionally restricted euxassay_008990_19
TS23: cochlea Moderate Regionally restricted euxassay_008990_19
TS23: utricle Moderate Regionally restricted euxassay_008990_19
TS23: upper jaw molar Moderate Regionally restricted euxassay_008990_19
TS23: renal cortex Moderate Regionally restricted euxassay_008990_19
TS23: right lung Moderate Regionally restricted euxassay_008990_19

Specimen euxassay_008990_20: embryonic day 14.5 (more )
Structure Level Pattern Image Note
TS23: telencephalon ventricular layer Strong Regionally restricted euxassay_008990_20
TS23: pons ventricular layer Strong Regionally restricted euxassay_008990_20
TS23: rest of cerebellum ventricular layer Strong Regionally restricted euxassay_008990_20
TS23: medulla oblongata alar plate ventricular layer Strong Regionally restricted euxassay_008990_20
TS23: skin Strong Regionally restricted euxassay_008990_20
TS23: epidermis Strong Regionally restricted euxassay_008990_20
TS23: vibrissa Strong Regionally restricted euxassay_008990_20
TS23: right lung Moderate Regionally restricted euxassay_008990_20

Specimen euxassay_008990_21: embryonic day 14.5 (more )
Structure Level Pattern Image Note
TS23: telencephalon ventricular layer Strong Regionally restricted euxassay_008990_21
TS23: pons ventricular layer Strong Regionally restricted euxassay_008990_21
TS23: rest of cerebellum ventricular layer Strong Regionally restricted euxassay_008990_21
TS23: epidermis Strong Regionally restricted euxassay_008990_21
TS23: vibrissa Strong Regionally restricted euxassay_008990_21
TS23: right lung Moderate Regionally restricted euxassay_008990_21

Specimen euxassay_008990_22: embryonic day 14.5 (more )
Structure Level Pattern Image Note
TS23: telencephalon ventricular layer Strong Regionally restricted euxassay_008990_22
TS23: vibrissa Strong Regionally restricted euxassay_008990_22
TS23: epidermis Strong Regionally restricted euxassay_008990_22

Specimen euxassay_008990_23: embryonic day 14.5 (more )
Structure Level Pattern Image Note
TS23: telencephalon ventricular layer Strong Regionally restricted euxassay_008990_23
TS23: epidermis Strong Regionally restricted euxassay_008990_23
TS23: vibrissa Strong Regionally restricted euxassay_008990_23
TS23: retina Moderate Regionally restricted euxassay_008990_23
TS23: cornea Moderate Regionally restricted euxassay_008990_23

Specimen euxassay_008990_24: embryonic day 14.5 (more )
Structure Level Pattern Image Note
TS23: telencephalon ventricular layer Strong Regionally restricted euxassay_008990_24
TS23: epidermis Strong Regionally restricted euxassay_008990_24
TS23: vibrissa Strong Regionally restricted euxassay_008990_24
TS23: cornea Moderate Regionally restricted euxassay_008990_24
TS23: retina Moderate Regionally restricted euxassay_008990_24


Contributing Projects:
Mouse Genome Database (MGD), Gene Expression Database (GXD), Mouse Models of Human Cancer database (MMHCdb) (formerly Mouse Tumor Biology (MTB)), Gene Ontology (GO)
Citing These Resources
Funding Information
Warranty Disclaimer, Privacy Notice, Licensing, & Copyright
Send questions and comments to User Support.
last database update
01/20/2026
MGI 6.24
The Jackson Laboratory