About   Help   FAQ
Gene Expression Data
Assay Details
Assay
Reference: J:153498 Diez-Roux G, et al., A high-resolution anatomical atlas of the transcriptome in the mouse embryo. PLoS Biol. 2011;9(1):e1000582
Assay type: RNA in situ
MGI Accession ID: MGI:4826717
Gene symbol: Nipsnap1
Gene name: nipsnap homolog 1
Probe: MGC clone 19362
Probe preparation: Antisense labelled with digoxigenin RNA
Visualized with: Alkaline phosphatase
Assay notes: Cryosections of fresh frozen material were fixed in 4% paraformaldehyde for 20 min. before further processing. A tyramide-biotin/streptavidin amplification step was included in the in situ hybridization procedure.
Results
Specimen euxassay_005226_01: embryonic day 14.5 (more )
Structure Level Pattern Image Note
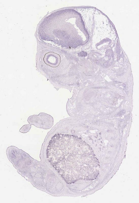
TS23: brain Moderate Regionally restricted euxassay_005226_01
TS23: liver Moderate Regionally restricted euxassay_005226_01

Specimen euxassay_005226_02: embryonic day 14.5 (more )
Structure Level Pattern Image Note
TS23: brain Moderate Regionally restricted euxassay_005226_02
TS23: lung Moderate Regionally restricted euxassay_005226_02
TS23: liver Moderate Regionally restricted euxassay_005226_02
TS23: stomach Weak Regionally restricted euxassay_005226_02
TS23: trigeminal ganglion Moderate Regionally restricted euxassay_005226_02

Specimen euxassay_005226_03: embryonic day 14.5 (more )
Structure Level Pattern Image Note
TS23: brain Moderate Regionally restricted euxassay_005226_03
TS23: lung Moderate Regionally restricted euxassay_005226_03
TS23: liver Moderate Regionally restricted euxassay_005226_03
TS23: stomach Weak Regionally restricted euxassay_005226_03
TS23: midgut Moderate Regionally restricted euxassay_005226_03
TS23: trigeminal ganglion Moderate Regionally restricted euxassay_005226_03

Specimen euxassay_005226_04: embryonic day 14.5 (more )
Structure Level Pattern Image Note
TS23: brain Moderate Regionally restricted euxassay_005226_04
TS23: lung Moderate Regionally restricted euxassay_005226_04
TS23: liver Moderate Regionally restricted euxassay_005226_04
TS23: stomach Weak Regionally restricted euxassay_005226_04
TS23: midgut Moderate Regionally restricted euxassay_005226_04
TS23: trigeminal ganglion Moderate Regionally restricted euxassay_005226_04
TS23: submandibular gland primordium Weak Regionally restricted euxassay_005226_04

Specimen euxassay_005226_05: embryonic day 14.5 (more )
Structure Level Pattern Image Note
TS23: brain Moderate Regionally restricted euxassay_005226_05
TS23: liver Moderate Regionally restricted euxassay_005226_05
TS23: lung Moderate Regionally restricted euxassay_005226_05
TS23: stomach Weak Regionally restricted euxassay_005226_05
TS23: midgut Moderate Regionally restricted euxassay_005226_05
TS23: trigeminal ganglion Moderate Regionally restricted euxassay_005226_05
TS23: submandibular gland primordium Moderate Regionally restricted euxassay_005226_05
TS23: upper jaw molar Moderate Regionally restricted euxassay_005226_05
TS23: lower jaw molar Moderate Regionally restricted euxassay_005226_05

Specimen euxassay_005226_06: embryonic day 14.5 (more )
Structure Level Pattern Image Note
TS23: brain Moderate Regionally restricted euxassay_005226_06
TS23: lung Moderate Regionally restricted euxassay_005226_06
TS23: liver Moderate Regionally restricted euxassay_005226_06
TS23: stomach Weak Regionally restricted euxassay_005226_06
TS23: midgut Moderate Regionally restricted euxassay_005226_06
TS23: dorsal root ganglion Moderate Regionally restricted euxassay_005226_06
TS23: trigeminal ganglion Moderate Regionally restricted euxassay_005226_06
TS23: glossopharyngeal ganglion Moderate Regionally restricted euxassay_005226_06
TS23: vagus ganglion Moderate Regionally restricted euxassay_005226_06
TS23: submandibular gland primordium Moderate Regionally restricted euxassay_005226_06
TS23: upper jaw molar Moderate Regionally restricted euxassay_005226_06
TS23: lower jaw molar Moderate Regionally restricted euxassay_005226_06

Specimen euxassay_005226_07: embryonic day 14.5 (more )
Structure Level Pattern Image Note
TS23: brain Moderate Regionally restricted euxassay_005226_07
TS23: lung Weak Regionally restricted euxassay_005226_07
TS23: metanephros Weak Regionally restricted euxassay_005226_07
TS23: liver Weak Regionally restricted euxassay_005226_07
TS23: midgut Moderate Regionally restricted euxassay_005226_07
TS23: stomach Weak Regionally restricted euxassay_005226_07
TS23: dorsal root ganglion Moderate Regionally restricted euxassay_005226_07
TS23: trigeminal ganglion Moderate Regionally restricted euxassay_005226_07
TS23: glossopharyngeal ganglion Moderate Regionally restricted euxassay_005226_07
TS23: vestibulo-cochlear ganglion Weak Regionally restricted euxassay_005226_07
TS23: cervical ganglion Moderate Regionally restricted euxassay_005226_07
TS23: submandibular gland primordium Weak Regionally restricted euxassay_005226_07

Specimen euxassay_005226_08: embryonic day 14.5 (more )
Structure Level Pattern Image Note
TS23: brain Moderate Regionally restricted euxassay_005226_08
TS23: lung Weak Regionally restricted euxassay_005226_08
TS23: metanephros Weak Regionally restricted euxassay_005226_08
TS23: liver Weak Regionally restricted euxassay_005226_08
TS23: stomach Weak Regionally restricted euxassay_005226_08
TS23: midgut Moderate Regionally restricted euxassay_005226_08
TS23: dorsal root ganglion Moderate Regionally restricted euxassay_005226_08
TS23: cervico-thoracic ganglion Moderate Regionally restricted euxassay_005226_08
TS23: lower jaw incisor Weak Regionally restricted euxassay_005226_08
TS23: upper jaw incisor Weak Regionally restricted euxassay_005226_08

Specimen euxassay_005226_09: embryonic day 14.5 (more )
Structure Level Pattern Image Note
TS23: brain Moderate Regionally restricted euxassay_005226_09
TS23: spinal cord Moderate Regionally restricted euxassay_005226_09
TS23: liver Moderate Regionally restricted euxassay_005226_09
TS23: lung Moderate Regionally restricted euxassay_005226_09
TS23: metanephros Moderate Regionally restricted euxassay_005226_09
TS23: midgut Moderate Regionally restricted euxassay_005226_09
TS23: dorsal root ganglion Moderate Regionally restricted euxassay_005226_09

Specimen euxassay_005226_10: embryonic day 14.5 (more )
Structure Level Pattern Image Note
TS23: brain Moderate Regionally restricted euxassay_005226_10
TS23: spinal cord Moderate Regionally restricted euxassay_005226_10
TS23: lung Moderate Regionally restricted euxassay_005226_10
TS23: liver Moderate Regionally restricted euxassay_005226_10
TS23: metanephros Moderate Regionally restricted euxassay_005226_10
TS23: midgut Moderate Regionally restricted euxassay_005226_10
TS23: dorsal root ganglion Moderate Regionally restricted euxassay_005226_10
TS23: thoracic ganglion Moderate Regionally restricted euxassay_005226_10

Specimen euxassay_005226_11: embryonic day 14.5 (more )
Structure Level Pattern Image Note
TS23: brain Moderate Regionally restricted euxassay_005226_11
TS23: spinal cord Moderate Regionally restricted euxassay_005226_11
TS23: liver Moderate Regionally restricted euxassay_005226_11
TS23: lung Moderate Regionally restricted euxassay_005226_11
TS23: midgut Moderate Regionally restricted euxassay_005226_11
TS23: dorsal root ganglion Moderate Regionally restricted euxassay_005226_11

Specimen euxassay_005226_12: embryonic day 14.5 (more )
Structure Level Pattern Image Note
TS23: brain Moderate Regionally restricted euxassay_005226_12
TS23: spinal cord Moderate Regionally restricted euxassay_005226_12
TS23: lung Moderate Regionally restricted euxassay_005226_12
TS23: liver Moderate Regionally restricted euxassay_005226_12
TS23: midgut Moderate Regionally restricted euxassay_005226_12
TS23: thoracic ganglion Moderate Regionally restricted euxassay_005226_12
TS23: lower jaw incisor Moderate Regionally restricted euxassay_005226_12
TS23: upper jaw incisor Moderate Regionally restricted euxassay_005226_12

Specimen euxassay_005226_13: embryonic day 14.5 (more )
Structure Level Pattern Image Note
TS23: brain Moderate Regionally restricted euxassay_005226_13
TS23: spinal cord Moderate Regionally restricted euxassay_005226_13
TS23: lung Moderate Regionally restricted euxassay_005226_13
TS23: liver Moderate Regionally restricted euxassay_005226_13
TS23: midgut Moderate Regionally restricted euxassay_005226_13
TS23: dorsal root ganglion Moderate Regionally restricted euxassay_005226_13
TS23: cervico-thoracic ganglion Moderate Regionally restricted euxassay_005226_13
TS23: thoracic ganglion Moderate Regionally restricted euxassay_005226_13

Specimen euxassay_005226_14: embryonic day 14.5 (more )
Structure Level Pattern Image Note
TS23: brain Moderate Regionally restricted euxassay_005226_14
TS23: spinal cord Moderate Regionally restricted euxassay_005226_14
TS23: liver Moderate Regionally restricted euxassay_005226_14
TS23: lung Moderate Regionally restricted euxassay_005226_14
TS23: metanephros Moderate Regionally restricted euxassay_005226_14
TS23: midgut Moderate Regionally restricted euxassay_005226_14
TS23: dorsal root ganglion Moderate Regionally restricted euxassay_005226_14
TS23: trigeminal nerve Moderate Regionally restricted euxassay_005226_14
TS23: trigeminal ganglion Moderate Regionally restricted euxassay_005226_14
TS23: cervical ganglion Moderate Regionally restricted euxassay_005226_14
TS23: cervico-thoracic ganglion Moderate Regionally restricted euxassay_005226_14
TS23: submandibular gland primordium Moderate Regionally restricted euxassay_005226_14

Specimen euxassay_005226_15: embryonic day 14.5 (more )
Structure Level Pattern Image Note
TS23: brain Moderate Regionally restricted euxassay_005226_15
TS23: liver Moderate Regionally restricted euxassay_005226_15
TS23: metanephros Moderate Regionally restricted euxassay_005226_15
TS23: lung Moderate Regionally restricted euxassay_005226_15
TS23: midgut Moderate Regionally restricted euxassay_005226_15
TS23: dorsal root ganglion Moderate Regionally restricted euxassay_005226_15
TS23: trigeminal ganglion Moderate Regionally restricted euxassay_005226_15
TS23: vagus ganglion Moderate Regionally restricted euxassay_005226_15
TS23: vestibulo-cochlear ganglion Weak Regionally restricted euxassay_005226_15
TS23: cervical ganglion Moderate Regionally restricted euxassay_005226_15
TS23: submandibular gland primordium Moderate Regionally restricted euxassay_005226_15
TS23: lower jaw molar Weak Regionally restricted euxassay_005226_15
TS23: upper jaw molar Weak Regionally restricted euxassay_005226_15

Specimen euxassay_005226_16: embryonic day 14.5 (more )
Structure Level Pattern Image Note
TS23: brain Moderate Regionally restricted euxassay_005226_16
TS23: lung Moderate Regionally restricted euxassay_005226_16
TS23: metanephros Moderate Regionally restricted euxassay_005226_16
TS23: liver Moderate Regionally restricted euxassay_005226_16
TS23: dorsal root ganglion Moderate Regionally restricted euxassay_005226_16
TS23: vestibulo-cochlear ganglion Weak Regionally restricted euxassay_005226_16
TS23: glossopharyngeal ganglion Moderate Regionally restricted euxassay_005226_16
TS23: trigeminal ganglion Moderate Regionally restricted euxassay_005226_16
TS23: submandibular gland primordium Moderate Regionally restricted euxassay_005226_16
TS23: upper jaw molar Weak Regionally restricted euxassay_005226_16
TS23: lower jaw molar Weak Regionally restricted euxassay_005226_16

Specimen euxassay_005226_17: embryonic day 14.5 (more )
Structure Level Pattern Image Note
TS23: brain Moderate Regionally restricted euxassay_005226_17
TS23: lung Moderate Regionally restricted euxassay_005226_17
TS23: metanephros Moderate Regionally restricted euxassay_005226_17
TS23: liver Moderate Regionally restricted euxassay_005226_17
TS23: trigeminal ganglion Moderate Regionally restricted euxassay_005226_17
TS23: submandibular gland primordium Moderate Regionally restricted euxassay_005226_17

Specimen euxassay_005226_18: embryonic day 14.5 (more )
Structure Level Pattern Image Note
TS23: brain Moderate Regionally restricted euxassay_005226_18
TS23: lung Moderate Regionally restricted euxassay_005226_18
TS23: liver Moderate Regionally restricted euxassay_005226_18
TS23: metanephros Moderate Regionally restricted euxassay_005226_18
TS23: trigeminal ganglion Moderate Regionally restricted euxassay_005226_18

Specimen euxassay_005226_19: embryonic day 14.5 (more )
Structure Level Pattern Image Note
TS23: brain Moderate Regionally restricted euxassay_005226_19
TS23: lung Moderate Regionally restricted euxassay_005226_19
TS23: liver Moderate Regionally restricted euxassay_005226_19
TS23: trigeminal ganglion Moderate Regionally restricted euxassay_005226_19

Specimen euxassay_005226_20: embryonic day 14.5 (more )
Structure Level Pattern Image Note
TS23: brain Moderate Regionally restricted euxassay_005226_20
TS23: liver Moderate Regionally restricted euxassay_005226_20
TS23: lung Moderate Regionally restricted euxassay_005226_20
TS23: trigeminal ganglion Moderate Regionally restricted euxassay_005226_20

Specimen euxassay_005226_21: embryonic day 14.5 (more )
Structure Level Pattern Image Note
TS23: brain Moderate Regionally restricted euxassay_005226_21
TS23: liver Moderate Regionally restricted euxassay_005226_21

Specimen euxassay_005226_22: embryonic day 14.5 (more )
Structure Level Pattern Image Note
TS23: brain Moderate Regionally restricted euxassay_005226_22
TS23: liver Moderate Regionally restricted euxassay_005226_22


Contributing Projects:
Mouse Genome Database (MGD), Gene Expression Database (GXD), Mouse Models of Human Cancer database (MMHCdb) (formerly Mouse Tumor Biology (MTB)), Gene Ontology (GO)
Citing These Resources
Funding Information
Warranty Disclaimer, Privacy Notice, Licensing, & Copyright
Send questions and comments to User Support.
last database update
03/24/2026
MGI 6.24
The Jackson Laboratory