About   Help   FAQ
Gene Expression Data
Assay Details
Assay
Reference: J:153498 Diez-Roux G, et al., A high-resolution anatomical atlas of the transcriptome in the mouse embryo. PLoS Biol. 2011;9(1):e1000582
Assay type: RNA in situ
MGI Accession ID: MGI:4826689
Gene symbol: Nfil3
Gene name: nuclear factor, interleukin 3, regulated
Probe: MGC clone 31040
Probe preparation: Antisense labelled with digoxigenin RNA
Visualized with: Alkaline phosphatase
Assay notes: Cryosections of fresh frozen material were fixed in 4% paraformaldehyde for 20 min. before further processing. A tyramide-biotin/streptavidin amplification step was included in the in situ hybridization procedure.
Results
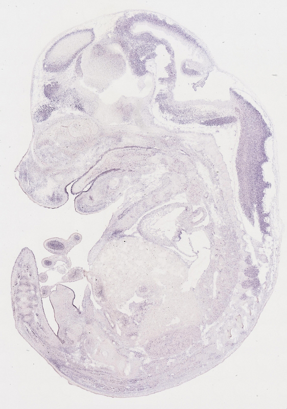
Specimen euxassay_002657_01: embryonic day 14.5 (more )
Structure Level Pattern Image Note
TS23: vibrissa Strong Regionally restricted euxassay_002657_01
TS23: pharyngo-tympanic tube Strong Regionally restricted euxassay_002657_01
TS23: telencephalon mantle layer Moderate Regionally restricted euxassay_002657_01

Specimen euxassay_002657_02: embryonic day 14.5 (more )
Structure Level Pattern Image Note
TS23: vibrissa Strong Regionally restricted euxassay_002657_02
TS23: pharyngo-tympanic tube Strong Regionally restricted euxassay_002657_02
TS23: telencephalon mantle layer Moderate Regionally restricted euxassay_002657_02

Specimen euxassay_002657_03: embryonic day 14.5 (more )
Structure Level Pattern Image Note
TS23: vibrissa Strong Regionally restricted euxassay_002657_03
TS23: pharyngo-tympanic tube Strong Regionally restricted euxassay_002657_03
TS23: telencephalon mantle layer Moderate Regionally restricted euxassay_002657_03

Specimen euxassay_002657_04: embryonic day 14.5 (more )
Structure Level Pattern Image Note
TS23: vibrissa Strong Regionally restricted euxassay_002657_04
TS23: telencephalon mantle layer Moderate Regionally restricted euxassay_002657_04

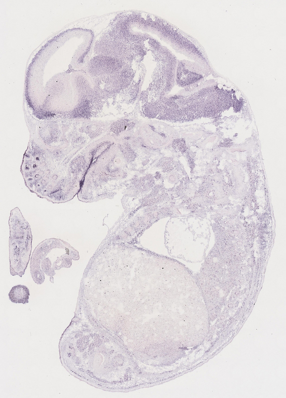
Specimen euxassay_002657_05: embryonic day 14.5 (more )
Structure Level Pattern Image Note
TS23: telencephalon mantle layer Moderate Regionally restricted euxassay_002657_05
TS23: hindbrain Moderate Uniform euxassay_002657_05
TS23: dorsal root ganglion Moderate Regionally restricted euxassay_002657_05

Specimen euxassay_002657_06: embryonic day 14.5 (more )
Structure Level Pattern Image Note
TS23: telencephalon mantle layer Moderate Regionally restricted euxassay_002657_06
TS23: spinal cord Moderate Uniform euxassay_002657_06
TS23: hindbrain Moderate Uniform euxassay_002657_06
TS23: dorsal root ganglion Moderate Regionally restricted euxassay_002657_06

Specimen euxassay_002657_07: embryonic day 14.5 (more )
Structure Level Pattern Image Note
TS23: telencephalon mantle layer Moderate Regionally restricted euxassay_002657_07
TS23: telencephalon marginal layer Moderate Regionally restricted euxassay_002657_07
TS23: midbrain Moderate Uniform euxassay_002657_07
TS23: hindbrain Moderate Uniform euxassay_002657_07
TS23: spinal cord Moderate Uniform euxassay_002657_07
TS23: dorsal root ganglion Moderate Regionally restricted euxassay_002657_07

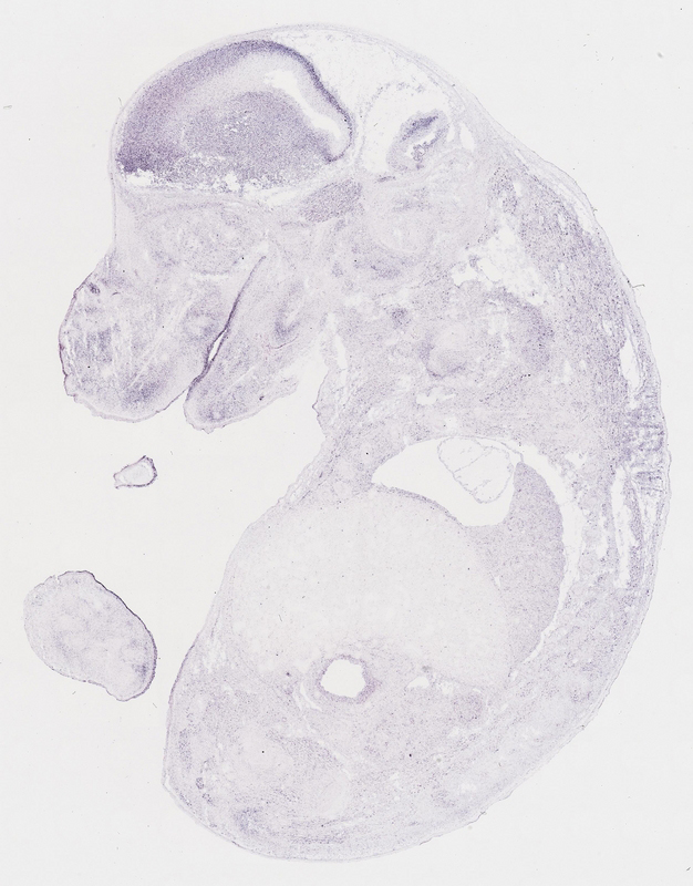
Specimen euxassay_002657_08: embryonic day 14.5 (more )
Structure Level Pattern Image Note
TS23: olfactory cortex marginal layer Moderate Regionally restricted euxassay_002657_08
TS23: telencephalon marginal layer Moderate Regionally restricted euxassay_002657_08
TS23: telencephalon mantle layer Moderate Regionally restricted euxassay_002657_08
TS23: spinal cord Moderate Uniform euxassay_002657_08
TS23: midbrain Moderate Uniform euxassay_002657_08
TS23: hindbrain Moderate Uniform euxassay_002657_08
TS23: diencephalon Moderate Uniform euxassay_002657_08

Specimen euxassay_002657_09: embryonic day 14.5 (more )
Structure Level Pattern Image Note
TS23: olfactory cortex marginal layer Moderate Regionally restricted euxassay_002657_09
TS23: telencephalon marginal layer Moderate Regionally restricted euxassay_002657_09
TS23: telencephalon mantle layer Moderate Regionally restricted euxassay_002657_09
TS23: spinal cord Moderate Uniform euxassay_002657_09
TS23: midbrain Moderate Uniform euxassay_002657_09
TS23: hindbrain Moderate Uniform euxassay_002657_09
TS23: diencephalon Moderate Uniform euxassay_002657_09

Specimen euxassay_002657_10: embryonic day 14.5 (more )
Structure Level Pattern Image Note
TS23: olfactory cortex marginal layer Moderate Regionally restricted euxassay_002657_10
TS23: telencephalon mantle layer Moderate Regionally restricted euxassay_002657_10
TS23: telencephalon marginal layer Moderate Regionally restricted euxassay_002657_10
TS23: spinal cord Moderate Uniform euxassay_002657_10
TS23: midbrain Moderate Uniform euxassay_002657_10
TS23: hindbrain Moderate Uniform euxassay_002657_10
TS23: diencephalon Moderate Uniform euxassay_002657_10

Specimen euxassay_002657_11: embryonic day 14.5 (more )
Structure Level Pattern Image Note
TS23: olfactory cortex marginal layer Moderate Regionally restricted euxassay_002657_11
TS23: telencephalon marginal layer Moderate Regionally restricted euxassay_002657_11
TS23: telencephalon mantle layer Moderate Regionally restricted euxassay_002657_11
TS23: spinal cord Moderate Uniform euxassay_002657_11
TS23: midbrain Moderate Uniform euxassay_002657_11
TS23: hindbrain Moderate Uniform euxassay_002657_11
TS23: diencephalon Moderate Uniform euxassay_002657_11

Specimen euxassay_002657_12: embryonic day 14.5 (more )
Structure Level Pattern Image Note
TS23: telencephalon marginal layer Moderate Regionally restricted euxassay_002657_12
TS23: telencephalon mantle layer Moderate Regionally restricted euxassay_002657_12
TS23: spinal cord Moderate Uniform euxassay_002657_12
TS23: midbrain Moderate Uniform euxassay_002657_12
TS23: hindbrain Moderate Uniform euxassay_002657_12
TS23: diencephalon Moderate Uniform euxassay_002657_12
TS23: dorsal root ganglion Weak Regionally restricted euxassay_002657_12

Specimen euxassay_002657_13: embryonic day 14.5 (more )
Structure Level Pattern Image Note
TS23: telencephalon marginal layer Moderate Regionally restricted euxassay_002657_13
TS23: telencephalon mantle layer Moderate Regionally restricted euxassay_002657_13
TS23: spinal cord Moderate Uniform euxassay_002657_13
TS23: midbrain Moderate Uniform euxassay_002657_13
TS23: hindbrain Moderate Uniform euxassay_002657_13
TS23: diencephalon Moderate Uniform euxassay_002657_13
TS23: dorsal root ganglion Weak Regionally restricted euxassay_002657_13

Specimen euxassay_002657_14: embryonic day 14.5 (more )
Structure Level Pattern Image Note
TS23: olfactory cortex marginal layer Moderate Regionally restricted euxassay_002657_14
TS23: telencephalon marginal layer Moderate Regionally restricted euxassay_002657_14
TS23: telencephalon mantle layer Moderate Regionally restricted euxassay_002657_14
TS23: spinal cord Moderate Uniform euxassay_002657_14
TS23: midbrain Moderate Uniform euxassay_002657_14
TS23: hindbrain Moderate Uniform euxassay_002657_14
TS23: diencephalon Moderate Uniform euxassay_002657_14
TS23: dorsal root ganglion Weak Regionally restricted euxassay_002657_14

Specimen euxassay_002657_15: embryonic day 14.5 (more )
Structure Level Pattern Image Note
TS23: olfactory cortex marginal layer Moderate Regionally restricted euxassay_002657_15
TS23: telencephalon mantle layer Moderate Regionally restricted euxassay_002657_15
TS23: telencephalon marginal layer Moderate Regionally restricted euxassay_002657_15
TS23: midbrain Moderate Uniform euxassay_002657_15
TS23: hindbrain Moderate Uniform euxassay_002657_15
TS23: diencephalon Moderate Uniform euxassay_002657_15
TS23: spinal cord Moderate Uniform euxassay_002657_15
TS23: dorsal root ganglion Weak Regionally restricted euxassay_002657_15

Specimen euxassay_002657_16: embryonic day 14.5 (more )
Structure Level Pattern Image Note
TS23: olfactory cortex marginal layer Moderate Regionally restricted euxassay_002657_16
TS23: telencephalon marginal layer Moderate Regionally restricted euxassay_002657_16
TS23: telencephalon mantle layer Moderate Regionally restricted euxassay_002657_16
TS23: midbrain Moderate Uniform euxassay_002657_16
TS23: hindbrain Moderate Uniform euxassay_002657_16
TS23: diencephalon Moderate Uniform euxassay_002657_16

Specimen euxassay_002657_17: embryonic day 14.5 (more )
Structure Level Pattern Image Note
TS23: vibrissa Strong Regionally restricted euxassay_002657_17
TS23: telencephalon marginal layer Moderate Regionally restricted euxassay_002657_17
TS23: telencephalon mantle layer Moderate Regionally restricted euxassay_002657_17
TS23: midbrain Moderate Uniform euxassay_002657_17
TS23: hindbrain Moderate Uniform euxassay_002657_17
TS23: diencephalon Moderate Uniform euxassay_002657_17

Specimen euxassay_002657_18: embryonic day 14.5 (more )
Structure Level Pattern Image Note
TS23: vibrissa Strong Regionally restricted euxassay_002657_18
TS23: telencephalon marginal layer Moderate Regionally restricted euxassay_002657_18
TS23: telencephalon mantle layer Moderate Regionally restricted euxassay_002657_18
TS23: hindbrain Moderate Uniform euxassay_002657_18
TS23: midbrain Moderate Uniform euxassay_002657_18
TS23: diencephalon Moderate Uniform euxassay_002657_18

Specimen euxassay_002657_19: embryonic day 14.5 (more )
Structure Level Pattern Image Note
TS23: vibrissa Strong Regionally restricted euxassay_002657_19
TS23: telencephalon marginal layer Moderate Regionally restricted euxassay_002657_19
TS23: telencephalon mantle layer Moderate Regionally restricted euxassay_002657_19
TS23: midbrain Moderate Uniform euxassay_002657_19
TS23: hindbrain Moderate Uniform euxassay_002657_19
TS23: diencephalon Moderate Uniform euxassay_002657_19

Specimen euxassay_002657_20: embryonic day 14.5 (more )
Structure Level Pattern Image Note
TS23: pharyngo-tympanic tube Strong Regionally restricted euxassay_002657_20
TS23: telencephalon mantle layer Moderate Regionally restricted euxassay_002657_20
TS23: telencephalon marginal layer Moderate Regionally restricted euxassay_002657_20
TS23: hindbrain Moderate Uniform euxassay_002657_20
TS23: midbrain Moderate Uniform euxassay_002657_20

Specimen euxassay_002657_21: embryonic day 14.5 (more )
Structure Level Pattern Image Note
TS23: pharyngo-tympanic tube Strong Regionally restricted euxassay_002657_21
TS23: telencephalon mantle layer Moderate Regionally restricted euxassay_002657_21
TS23: telencephalon marginal layer Moderate Regionally restricted euxassay_002657_21
TS23: hindbrain Moderate Uniform euxassay_002657_21

Specimen euxassay_002657_22: embryonic day 14.5 (more )
Structure Level Pattern Image Note
TS23: pharyngo-tympanic tube Strong Regionally restricted euxassay_002657_22
TS23: telencephalon mantle layer Moderate Regionally restricted euxassay_002657_22
TS23: telencephalon marginal layer Moderate Regionally restricted euxassay_002657_22
TS23: hindbrain Moderate Uniform euxassay_002657_22

Specimen euxassay_002657_23: embryonic day 14.5 (more )
Structure Level Pattern Image Note
TS23: pharyngo-tympanic tube Strong Regionally restricted euxassay_002657_23
TS23: telencephalon marginal layer Moderate Regionally restricted euxassay_002657_23
TS23: telencephalon mantle layer Moderate Regionally restricted euxassay_002657_23


Contributing Projects:
Mouse Genome Database (MGD), Gene Expression Database (GXD), Mouse Models of Human Cancer database (MMHCdb) (formerly Mouse Tumor Biology (MTB)), Gene Ontology (GO)
Citing These Resources
Funding Information
Warranty Disclaimer, Privacy Notice, Licensing, & Copyright
Send questions and comments to User Support.
last database update
12/30/2025
MGI 6.24
The Jackson Laboratory