About   Help   FAQ
Gene Expression Data
Assay Details
Assay
Reference: J:153498 Diez-Roux G, et al., A high-resolution anatomical atlas of the transcriptome in the mouse embryo. PLoS Biol. 2011;9(1):e1000582
Assay type: RNA in situ
MGI Accession ID: MGI:4826678
Gene symbol: Neurog2
Gene name: neurogenin 2
Probe: IMAGE clone 2922473
Probe preparation: Antisense labelled with digoxigenin RNA
Visualized with: Alkaline phosphatase
Assay notes: Cryosections of fresh frozen material were fixed in 4% paraformaldehyde for 20 min. before further processing. A tyramide-biotin/streptavidin amplification step was included in the in situ hybridization procedure.
Results
Specimen euxassay_000371_01: embryonic day 14.5 (more )
Structure Level Pattern Image Note
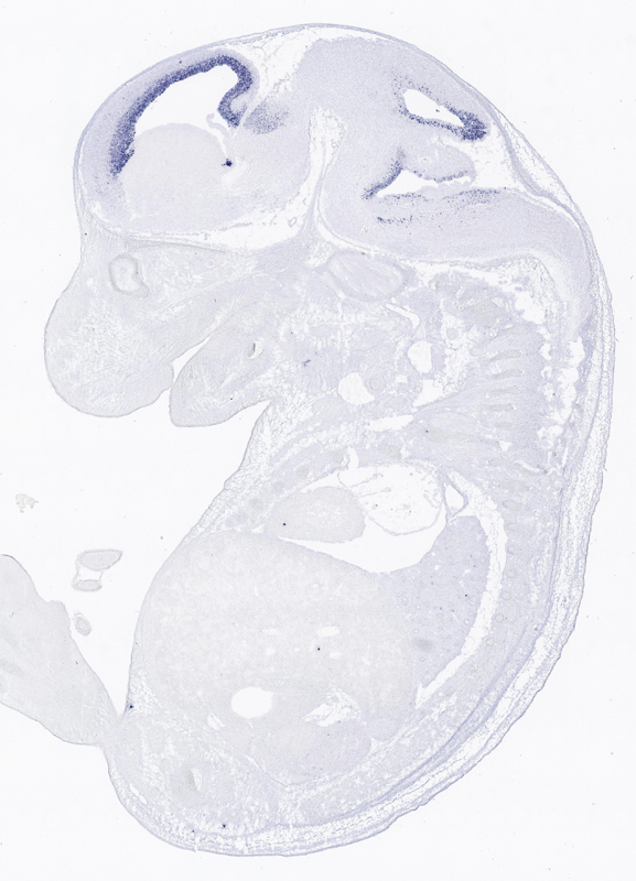
TS23: cerebral cortex ventricular layer Moderate Uniform euxassay_000371_01

Specimen euxassay_000371_02: embryonic day 14.5 (more )
Structure Level Pattern Image Note
TS23: cerebral cortex ventricular layer Moderate Uniform euxassay_000371_02

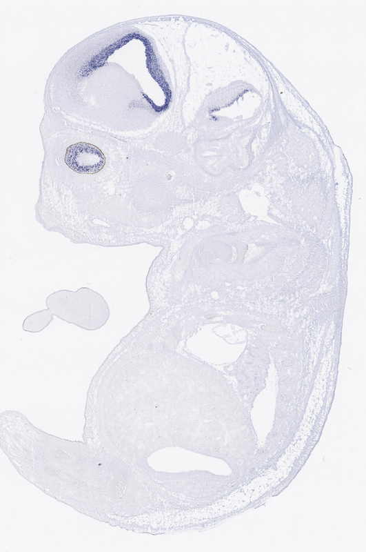
Specimen euxassay_000371_03: embryonic day 14.5 (more )
Structure Level Pattern Image Note
TS23: cerebral cortex ventricular layer Moderate Uniform euxassay_000371_03
TS23: metencephalon rest of alar plate ventricular layer Weak Regionally restricted euxassay_000371_03

Specimen euxassay_000371_04: embryonic day 14.5 (more )
Structure Level Pattern Image Note
TS23: cerebral cortex ventricular layer Moderate Uniform euxassay_000371_04
TS23: metencephalon rest of alar plate ventricular layer Weak Regionally restricted euxassay_000371_04

Specimen euxassay_000371_05: embryonic day 14.5 (more )
Structure Level Pattern Image Note
TS23: cerebral cortex ventricular layer Moderate Uniform euxassay_000371_05
TS23: metencephalon rest of alar plate ventricular layer Weak Regionally restricted euxassay_000371_05

Specimen euxassay_000371_06: embryonic day 14.5 (more )
Structure Level Pattern Image Note
TS23: cerebral cortex ventricular layer Moderate Uniform euxassay_000371_06
TS23: metencephalon rest of alar plate ventricular layer Weak Regionally restricted euxassay_000371_06

Specimen euxassay_000371_07: embryonic day 14.5 (more )
Structure Level Pattern Image Note
TS23: cerebral cortex ventricular layer Moderate Uniform euxassay_000371_07
TS23: midbrain ventricular layer Moderate Regionally restricted euxassay_000371_07

Specimen euxassay_000371_08: embryonic day 14.5 (more )
Structure Level Pattern Image Note
TS23: cerebral cortex ventricular layer Moderate Uniform euxassay_000371_08
TS23: pons ventricular layer Weak Regionally restricted euxassay_000371_08
TS23: medulla oblongata basal plate ventricular layer Weak Regionally restricted euxassay_000371_08
TS23: midbrain ventricular layer Moderate Regionally restricted euxassay_000371_08
TS23: thalamus mantle layer Weak Regionally restricted euxassay_000371_08

Specimen euxassay_000371_09: embryonic day 14.5 (more )
Structure Level Pattern Image Note
TS23: cerebral cortex ventricular layer Moderate Uniform euxassay_000371_09
TS23: pons ventricular layer Weak Regionally restricted euxassay_000371_09
TS23: medulla oblongata basal plate ventricular layer Weak Regionally restricted euxassay_000371_09
TS23: midbrain ventricular layer Moderate Regionally restricted euxassay_000371_09
TS23: thalamus mantle layer Weak Regionally restricted euxassay_000371_09

Specimen euxassay_000371_10: embryonic day 14.5 (more )
Structure Level Pattern Image Note
TS23: cerebral cortex ventricular layer Moderate Uniform euxassay_000371_10
TS23: pons ventricular layer Weak Regionally restricted euxassay_000371_10
TS23: midbrain ventricular layer Moderate Regionally restricted euxassay_000371_10
TS23: thalamus mantle layer Weak Regionally restricted euxassay_000371_10
TS23: hypothalamus ventricular layer Moderate Regionally restricted euxassay_000371_10

Specimen euxassay_000371_11: embryonic day 14.5 (more )
Structure Level Pattern Image Note
TS23: cerebral cortex ventricular layer Moderate Uniform euxassay_000371_11
TS23: medulla oblongata basal plate ventricular layer Weak Regionally restricted euxassay_000371_11
TS23: midbrain ventricular layer Moderate Regionally restricted euxassay_000371_11
TS23: thalamus mantle layer Weak Regionally restricted euxassay_000371_11
TS23: hypothalamus ventricular layer Moderate Regionally restricted euxassay_000371_11

Specimen euxassay_000371_12: embryonic day 14.5 (more )
Structure Level Pattern Image Note
TS23: cerebral cortex ventricular layer Moderate Uniform euxassay_000371_12
TS23: olfactory cortex ventricular layer Moderate Uniform euxassay_000371_12
TS23: midbrain ventricular layer Moderate Regionally restricted euxassay_000371_12
TS23: thalamus mantle layer Weak Regionally restricted euxassay_000371_12
TS23: hypothalamus ventricular layer Moderate Regionally restricted euxassay_000371_12

Specimen euxassay_000371_13: embryonic day 14.5 (more )
Note: Additional information for this specimen was included in the Eurexpress data submission file.
Structure Level Pattern Image Note
TS23: cerebral cortex ventricular layer Moderate Uniform euxassay_000371_13
TS23: olfactory cortex ventricular layer Moderate Uniform euxassay_000371_13
TS23: medulla oblongata basal plate ventricular layer Weak Regionally restricted euxassay_000371_13
TS23: midbrain ventricular layer Moderate Regionally restricted euxassay_000371_13
TS23: thalamus mantle layer Weak Regionally restricted euxassay_000371_13
TS23: diencephalon roof plate Moderate Uniform euxassay_000371_13
TS23: diencephalon lateral wall Moderate Uniform euxassay_000371_13 basal plate of prosomeres 1-3

Specimen euxassay_000371_14: embryonic day 14.5 (more )
Structure Level Pattern Image Note
TS23: cerebral cortex ventricular layer Moderate Uniform euxassay_000371_14
TS23: metencephalon rest of alar plate ventricular layer Weak Regionally restricted euxassay_000371_14
TS23: pons ventricular layer Weak Regionally restricted euxassay_000371_14
TS23: medulla oblongata basal plate ventricular layer Weak Regionally restricted euxassay_000371_14
TS23: midbrain ventricular layer Moderate Regionally restricted euxassay_000371_14
TS23: thalamus mantle layer Weak Regionally restricted euxassay_000371_14
TS23: hypothalamus ventricular layer Moderate Regionally restricted euxassay_000371_14

Specimen euxassay_000371_15: embryonic day 14.5 (more )
Structure Level Pattern Image Note
TS23: cerebral cortex ventricular layer Moderate Uniform euxassay_000371_15
TS23: metencephalon rest of alar plate ventricular layer Weak Regionally restricted euxassay_000371_15
TS23: pons ventricular layer Weak Regionally restricted euxassay_000371_15
TS23: medulla oblongata basal plate ventricular layer Weak Regionally restricted euxassay_000371_15
TS23: midbrain ventricular layer Moderate Regionally restricted euxassay_000371_15
TS23: thalamus mantle layer Weak Regionally restricted euxassay_000371_15
TS23: diencephalon roof plate Moderate Regionally restricted euxassay_000371_15
TS23: hypothalamus ventricular layer Moderate Regionally restricted euxassay_000371_15

Specimen euxassay_000371_16: embryonic day 14.5 (more )
Structure Level Pattern Image Note
TS23: cerebral cortex ventricular layer Moderate Uniform euxassay_000371_16
TS23: pons ventricular layer Weak Regionally restricted euxassay_000371_16
TS23: metencephalon rest of alar plate ventricular layer Weak Regionally restricted euxassay_000371_16
TS23: medulla oblongata basal plate ventricular layer Weak Regionally restricted euxassay_000371_16
TS23: midbrain ventricular layer Moderate Regionally restricted euxassay_000371_16
TS23: thalamus mantle layer Weak Regionally restricted euxassay_000371_16
TS23: hypothalamus ventricular layer Moderate Regionally restricted euxassay_000371_16

Specimen euxassay_000371_17: embryonic day 14.5 (more )
Structure Level Pattern Image Note
TS23: cerebral cortex ventricular layer Moderate Uniform euxassay_000371_17
TS23: olfactory cortex ventricular layer Moderate Uniform euxassay_000371_17
TS23: metencephalon rest of alar plate ventricular layer Weak Regionally restricted euxassay_000371_17
TS23: midbrain ventricular layer Moderate Regionally restricted euxassay_000371_17
TS23: thalamus mantle layer Weak Regionally restricted euxassay_000371_17

Specimen euxassay_000371_18: embryonic day 14.5 (more )
Structure Level Pattern Image Note
TS23: olfactory cortex ventricular layer Moderate Uniform euxassay_000371_18
TS23: cerebral cortex ventricular layer Moderate Uniform euxassay_000371_18
TS23: metencephalon rest of alar plate ventricular layer Weak Regionally restricted euxassay_000371_18
TS23: thalamus mantle layer Weak Regionally restricted euxassay_000371_18

Specimen euxassay_000371_19: embryonic day 14.5 (more )
Structure Level Pattern Image Note
TS23: cerebral cortex ventricular layer Moderate Uniform euxassay_000371_19
TS23: olfactory cortex ventricular layer Moderate Uniform euxassay_000371_19
TS23: metencephalon rest of alar plate ventricular layer Weak Regionally restricted euxassay_000371_19
TS23: thalamus mantle layer Weak Regionally restricted euxassay_000371_19

Specimen euxassay_000371_20: embryonic day 14.5 (more )
Structure Level Pattern Image Note
TS23: cerebral cortex ventricular layer Moderate Uniform euxassay_000371_20
TS23: metencephalon rest of alar plate ventricular layer Weak Regionally restricted euxassay_000371_20

Specimen euxassay_000371_21: embryonic day 14.5 (more )
Structure Level Pattern Image Note
TS23: cerebral cortex ventricular layer Moderate Uniform euxassay_000371_21
TS23: metencephalon rest of alar plate ventricular layer Weak Regionally restricted euxassay_000371_21

Specimen euxassay_000371_22: embryonic day 14.5 (more )
Structure Level Pattern Image Note
TS23: cerebral cortex ventricular layer Moderate Uniform euxassay_000371_22
TS23: metencephalon rest of alar plate ventricular layer Moderate Regionally restricted euxassay_000371_22

Specimen euxassay_000371_23: embryonic day 14.5 (more )
Structure Level Pattern Image Note
TS23: cerebral cortex ventricular layer Moderate Uniform euxassay_000371_23

Specimen euxassay_000371_24: embryonic day 14.5 (more )
Structure Level Pattern Image Note
TS23: cerebral cortex ventricular layer Moderate Uniform euxassay_000371_24


Contributing Projects:
Mouse Genome Database (MGD), Gene Expression Database (GXD), Mouse Models of Human Cancer database (MMHCdb) (formerly Mouse Tumor Biology (MTB)), Gene Ontology (GO)
Citing These Resources
Funding Information
Warranty Disclaimer, Privacy Notice, Licensing, & Copyright
Send questions and comments to User Support.
last database update
12/30/2025
MGI 6.24
The Jackson Laboratory