About   Help   FAQ
Gene Expression Data
Assay Details
Assay
Reference: J:153498 Diez-Roux G, et al., A high-resolution anatomical atlas of the transcriptome in the mouse embryo. PLoS Biol. 2011;9(1):e1000582
Assay type: RNA in situ
MGI Accession ID: MGI:4826677
Gene symbol: Neurog2
Gene name: neurogenin 2
Probe: T30658
Probe preparation: Antisense labelled with digoxigenin RNA
Visualized with: Alkaline phosphatase
Assay notes: Cryosections of fresh frozen material were fixed in 4% paraformaldehyde for 20 min. before further processing. A tyramide-biotin/streptavidin amplification step was included in the in situ hybridization procedure.
Results
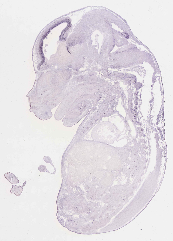
Specimen euxassay_009805_01: embryonic day 14.5 (more )
Structure Level Pattern Image Note
TS23: telencephalon ventricular layer Moderate Regionally restricted euxassay_009805_01
TS23: neural retina Moderate Regionally restricted euxassay_009805_01

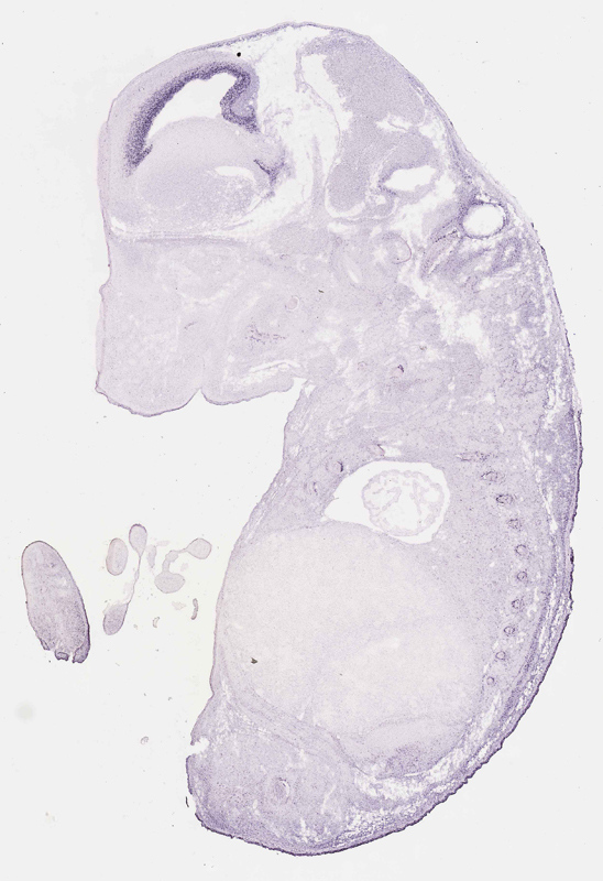
Specimen euxassay_009805_02: embryonic day 14.5 (more )
Structure Level Pattern Image Note
TS23: telencephalon ventricular layer Strong Regionally restricted euxassay_009805_02
TS23: neural retina Moderate Regionally restricted euxassay_009805_02

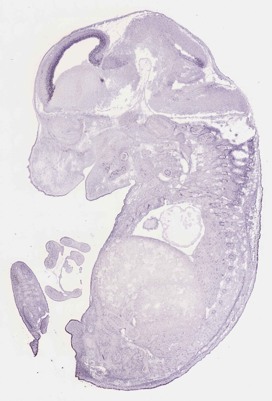
Specimen euxassay_009805_03: embryonic day 14.5 (more )
Structure Level Pattern Image Note
TS23: telencephalon ventricular layer Strong Regionally restricted euxassay_009805_03
TS23: neural retina Moderate Regionally restricted euxassay_009805_03

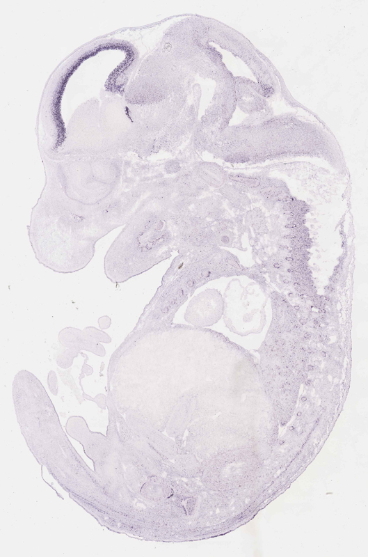
Specimen euxassay_009805_04: embryonic day 14.5 (more )
Structure Level Pattern Image Note
TS23: telencephalon ventricular layer Strong Regionally restricted euxassay_009805_04

Specimen euxassay_009805_05: embryonic day 14.5 (more )
Structure Level Pattern Image Note
TS23: telencephalon ventricular layer Strong Regionally restricted euxassay_009805_05

Specimen euxassay_009805_06: embryonic day 14.5 (more )
Structure Level Pattern Image Note
TS23: telencephalon ventricular layer Strong Regionally restricted euxassay_009805_06

Specimen euxassay_009805_07: embryonic day 14.5 (more )
Structure Level Pattern Image Note
TS23: telencephalon ventricular layer Strong Regionally restricted euxassay_009805_07
TS23: olfactory cortex ventricular layer Strong Regionally restricted euxassay_009805_07
TS23: hypothalamus ventricular layer Strong Regionally restricted euxassay_009805_07

Specimen euxassay_009805_08: embryonic day 14.5 (more )
Structure Level Pattern Image Note
TS23: olfactory cortex ventricular layer Strong Regionally restricted euxassay_009805_08
TS23: telencephalon ventricular layer Strong Regionally restricted euxassay_009805_08
TS23: hypothalamus ventricular layer Strong Regionally restricted euxassay_009805_08
TS23: diencephalon lateral wall ventricular layer Strong Regionally restricted euxassay_009805_08

Specimen euxassay_009805_09: embryonic day 14.5 (more )
Structure Level Pattern Image Note
TS23: diencephalon lateral wall ventricular layer Strong Regionally restricted euxassay_009805_09
TS23: hypothalamus ventricular layer Strong Regionally restricted euxassay_009805_09
TS23: telencephalon ventricular layer Strong Regionally restricted euxassay_009805_09

Specimen euxassay_009805_10: embryonic day 14.5 (more )
Structure Level Pattern Image Note
TS23: diencephalon lateral wall ventricular layer Strong Regionally restricted euxassay_009805_10
TS23: hypothalamus ventricular layer Strong Regionally restricted euxassay_009805_10

Specimen euxassay_009805_11: embryonic day 14.5 (more )
Structure Level Pattern Image Note
TS23: olfactory cortex ventricular layer Strong Regionally restricted euxassay_009805_11
TS23: telencephalon ventricular layer Strong Regionally restricted euxassay_009805_11
TS23: diencephalon lateral wall ventricular layer Strong Regionally restricted euxassay_009805_11
TS23: hypothalamus ventricular layer Strong Regionally restricted euxassay_009805_11

Specimen euxassay_009805_12: embryonic day 14.5 (more )
Structure Level Pattern Image Note
TS23: olfactory cortex ventricular layer Strong Regionally restricted euxassay_009805_12
TS23: telencephalon ventricular layer Strong Regionally restricted euxassay_009805_12
TS23: hypothalamus ventricular layer Strong Regionally restricted euxassay_009805_12
TS23: diencephalon lateral wall ventricular layer Strong Regionally restricted euxassay_009805_12

Specimen euxassay_009805_13: embryonic day 14.5 (more )
Structure Level Pattern Image Note
TS23: telencephalon ventricular layer Strong Regionally restricted euxassay_009805_13

Specimen euxassay_009805_14: embryonic day 14.5 (more )
Structure Level Pattern Image Note
TS23: telencephalon ventricular layer Strong Regionally restricted euxassay_009805_14

Specimen euxassay_009805_15: embryonic day 14.5 (more )
Structure Level Pattern Image Note
TS23: telencephalon ventricular layer Strong Regionally restricted euxassay_009805_15

Specimen euxassay_009805_16: embryonic day 14.5 (more )
Structure Level Pattern Image Note
TS23: telencephalon ventricular layer Strong Regionally restricted euxassay_009805_16

Specimen euxassay_009805_17: embryonic day 14.5 (more )
Structure Level Pattern Image Note
TS23: telencephalon ventricular layer Strong Regionally restricted euxassay_009805_17

Specimen euxassay_009805_18: embryonic day 14.5 (more )
Structure Level Pattern Image Note
TS23: telencephalon ventricular layer Strong Regionally restricted euxassay_009805_18
TS23: neural retina Moderate Regionally restricted euxassay_009805_18

Specimen euxassay_009805_19: embryonic day 14.5 (more )
Structure Level Pattern Image Note
TS23: telencephalon ventricular layer Strong Regionally restricted euxassay_009805_19
TS23: neural retina Moderate Regionally restricted euxassay_009805_19

Specimen euxassay_009805_20: embryonic day 14.5 (more )
Structure Level Pattern Image Note
TS23: telencephalon ventricular layer Strong Regionally restricted euxassay_009805_20
TS23: neural retina Moderate Regionally restricted euxassay_009805_20

Specimen euxassay_009805_21: embryonic day 14.5 (more )
Structure Level Pattern Image Note
TS23: telencephalon ventricular layer Strong Regionally restricted euxassay_009805_21
TS23: neural retina Moderate Regionally restricted euxassay_009805_21


Contributing Projects:
Mouse Genome Database (MGD), Gene Expression Database (GXD), Mouse Models of Human Cancer database (MMHCdb) (formerly Mouse Tumor Biology (MTB)), Gene Ontology (GO)
Citing These Resources
Funding Information
Warranty Disclaimer, Privacy Notice, Licensing, & Copyright
Send questions and comments to User Support.
last database update
09/30/2025
MGI 6.24
The Jackson Laboratory