About   Help   FAQ
Gene Expression Data
Assay Details
Assay
Reference: J:153498 Diez-Roux G, et al., A high-resolution anatomical atlas of the transcriptome in the mouse embryo. PLoS Biol. 2011;9(1):e1000582
Assay type: RNA in situ
MGI Accession ID: MGI:4826676
Gene symbol: Neurog1
Gene name: neurogenin 1
Probe: MGC clone 70023
Probe preparation: Antisense labelled with digoxigenin RNA
Visualized with: Alkaline phosphatase
Assay notes: Cryosections of fresh frozen material were fixed in 4% paraformaldehyde for 20 min. before further processing. A tyramide-biotin/streptavidin amplification step was included in the in situ hybridization procedure.
Results
Specimen euxassay_006581_01: embryonic day 14.5 (more )
Structure Level Pattern Image Note
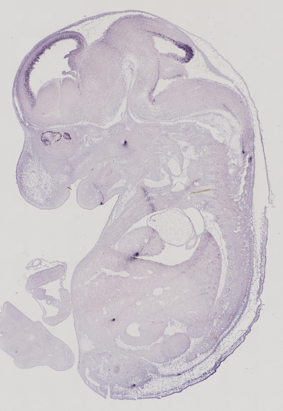
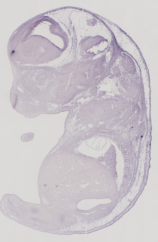
TS23: cerebral cortex ventricular layer Moderate Regionally restricted euxassay_006581_01

Specimen euxassay_006581_02: embryonic day 14.5 (more )
Structure Level Pattern Image Note
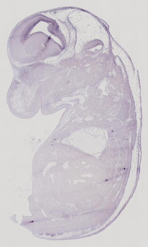
TS23: cerebral cortex ventricular layer Moderate Regionally restricted euxassay_006581_02

Specimen euxassay_006581_03: embryonic day 14.5 (more )
Structure Level Pattern Image Note
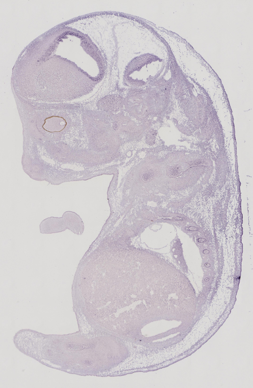
TS23: cerebral cortex ventricular layer Moderate Regionally restricted euxassay_006581_03

Specimen euxassay_006581_04: embryonic day 14.5 (more )
Structure Level Pattern Image Note
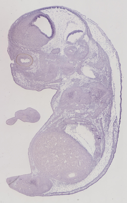
TS23: cerebral cortex ventricular layer Moderate Regionally restricted euxassay_006581_04

Specimen euxassay_006581_05: embryonic day 14.5 (more )
Structure Level Pattern Image Note
TS23: cerebral cortex ventricular layer Moderate Regionally restricted euxassay_006581_05
TS23: midbrain ventricular layer Moderate Regionally restricted euxassay_006581_05

Specimen euxassay_006581_06: embryonic day 14.5 (more )
Structure Level Pattern Image Note
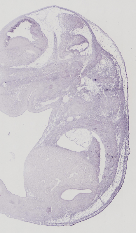
TS23: midbrain ventricular layer Strong Regionally restricted euxassay_006581_06
TS23: cerebral cortex ventricular layer Moderate Regionally restricted euxassay_006581_06
TS23: olfactory epithelium Strong Regionally restricted euxassay_006581_06

Specimen euxassay_006581_07: embryonic day 14.5 (more )
Structure Level Pattern Image Note
TS23: midbrain ventricular layer Strong Regionally restricted euxassay_006581_07
TS23: cerebral cortex ventricular layer Moderate Regionally restricted euxassay_006581_07
TS23: olfactory epithelium Strong Regionally restricted euxassay_006581_07

Specimen euxassay_006581_08: embryonic day 14.5 (more )
Structure Level Pattern Image Note
TS23: cerebral cortex ventricular layer Moderate Regionally restricted euxassay_006581_08
TS23: midbrain ventricular layer Strong Regionally restricted euxassay_006581_08
TS23: olfactory epithelium Strong Regionally restricted euxassay_006581_08

Specimen euxassay_006581_09: embryonic day 14.5 (more )
Structure Level Pattern Image Note
TS23: cerebral cortex ventricular layer Moderate Regionally restricted euxassay_006581_09
TS23: midbrain ventricular layer Moderate Regionally restricted euxassay_006581_09
TS23: olfactory epithelium Strong Regionally restricted euxassay_006581_09

Specimen euxassay_006581_10: embryonic day 14.5 (more )
Structure Level Pattern Image Note
TS23: diencephalon roof plate Moderate Regionally restricted euxassay_006581_10
TS23: cerebral cortex ventricular layer Moderate Regionally restricted euxassay_006581_10
TS23: midbrain ventricular layer Moderate Regionally restricted euxassay_006581_10
TS23: olfactory epithelium Strong Regionally restricted euxassay_006581_10

Specimen euxassay_006581_11: embryonic day 14.5 (more )
Structure Level Pattern Image Note
TS23: diencephalon lateral wall ventricular layer Moderate Regionally restricted euxassay_006581_11
TS23: cerebral cortex ventricular layer Moderate Regionally restricted euxassay_006581_11
TS23: midbrain ventricular layer Moderate Regionally restricted euxassay_006581_11
TS23: olfactory epithelium Strong Regionally restricted euxassay_006581_11

Specimen euxassay_006581_12: embryonic day 14.5 (more )
Structure Level Pattern Image Note
TS23: diencephalon roof plate Moderate Regionally restricted euxassay_006581_12
TS23: cerebral cortex ventricular layer Moderate Regionally restricted euxassay_006581_12
TS23: midbrain ventricular layer Moderate Regionally restricted euxassay_006581_12

Specimen euxassay_006581_13: embryonic day 14.5 (more )
Structure Level Pattern Image Note
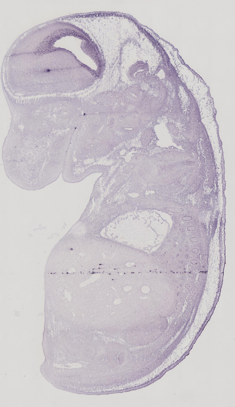
TS23: midbrain ventricular layer Moderate Regionally restricted euxassay_006581_13
TS23: cerebral cortex ventricular layer Moderate Regionally restricted euxassay_006581_13
TS23: olfactory epithelium Strong Regionally restricted euxassay_006581_13

Specimen euxassay_006581_14: embryonic day 14.5 (more )
Structure Level Pattern Image Note
TS23: midbrain ventricular layer Moderate Regionally restricted euxassay_006581_14
TS23: cerebral cortex ventricular layer Moderate Regionally restricted euxassay_006581_14
TS23: olfactory epithelium Strong Regionally restricted euxassay_006581_14

Specimen euxassay_006581_15: embryonic day 14.5 (more )
Structure Level Pattern Image Note
TS23: midbrain ventricular layer Moderate Regionally restricted euxassay_006581_15
TS23: cerebral cortex ventricular layer Moderate Regionally restricted euxassay_006581_15
TS23: olfactory epithelium Strong Regionally restricted euxassay_006581_15

Specimen euxassay_006581_16: embryonic day 14.5 (more )
Structure Level Pattern Image Note
TS23: cerebral cortex ventricular layer Moderate Regionally restricted euxassay_006581_16
TS23: olfactory epithelium Strong Regionally restricted euxassay_006581_16

Specimen euxassay_006581_17: embryonic day 14.5 (more )
Structure Level Pattern Image Note
TS23: cerebral cortex ventricular layer Moderate Regionally restricted euxassay_006581_17
TS23: olfactory epithelium Strong Regionally restricted euxassay_006581_17

Specimen euxassay_006581_18: embryonic day 14.5 (more )
Structure Level Pattern Image Note
TS23: cerebral cortex ventricular layer Moderate Regionally restricted euxassay_006581_18
TS23: olfactory epithelium Strong Regionally restricted euxassay_006581_18

Specimen euxassay_006581_19: embryonic day 14.5 (more )
Structure Level Pattern Image Note
TS23: cerebral cortex ventricular layer Moderate Regionally restricted euxassay_006581_19

Specimen euxassay_006581_20: embryonic day 14.5 (more )
Structure Level Pattern Image Note
TS23: cerebral cortex ventricular layer Moderate Regionally restricted euxassay_006581_20

Specimen euxassay_006581_21: embryonic day 14.5 (more )
Structure Level Pattern Image Note
TS23: cerebral cortex ventricular layer Moderate Regionally restricted euxassay_006581_21


Contributing Projects:
Mouse Genome Database (MGD), Gene Expression Database (GXD), Mouse Models of Human Cancer database (MMHCdb) (formerly Mouse Tumor Biology (MTB)), Gene Ontology (GO)
Citing These Resources
Funding Information
Warranty Disclaimer, Privacy Notice, Licensing, & Copyright
Send questions and comments to User Support.
last database update
12/30/2025
MGI 6.24
The Jackson Laboratory