About   Help   FAQ
Gene Expression Data
Assay Details
Assay
Reference: J:153498 Diez-Roux G, et al., A high-resolution anatomical atlas of the transcriptome in the mouse embryo. PLoS Biol. 2011;9(1):e1000582
Assay type: RNA in situ
MGI Accession ID: MGI:4826673
Gene symbol: Neurod2
Gene name: neurogenic differentiation 2
Probe: T38228
Probe preparation: Antisense labelled with digoxigenin RNA
Visualized with: Alkaline phosphatase
Assay notes: Cryosections of fresh frozen material were fixed in 4% paraformaldehyde for 20 min. before further processing. A tyramide-biotin/streptavidin amplification step was included in the in situ hybridization procedure.
Results
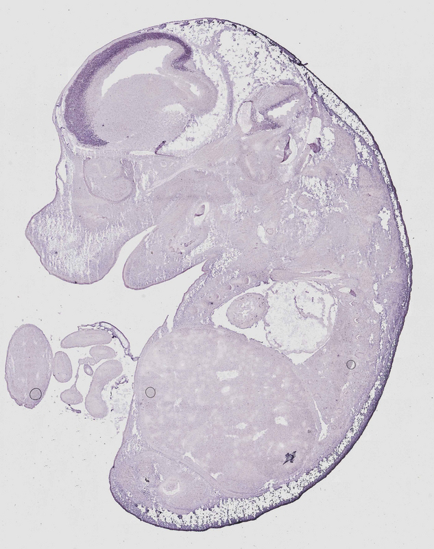
Specimen euxassay_013855_01: embryonic day 14.5 (more )
Structure Level Pattern Image Note
TS23: cerebral cortex mantle layer Moderate Regionally restricted euxassay_013855_01

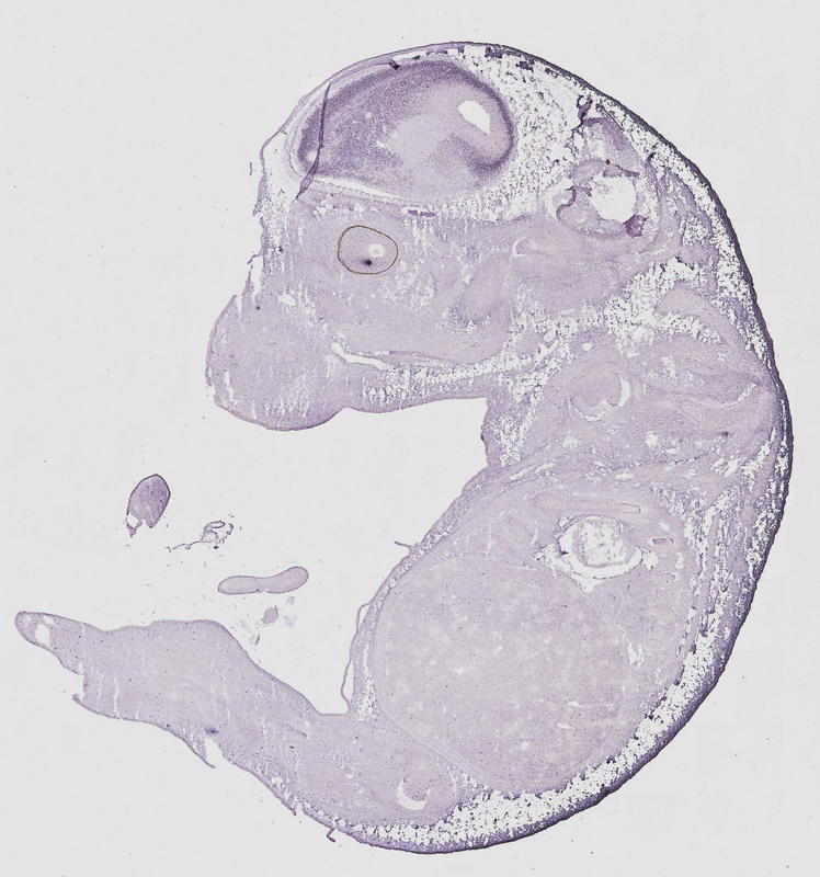
Specimen euxassay_013855_02: embryonic day 14.5 (more )
Structure Level Pattern Image Note
TS23: cerebral cortex mantle layer Strong Regionally restricted euxassay_013855_02

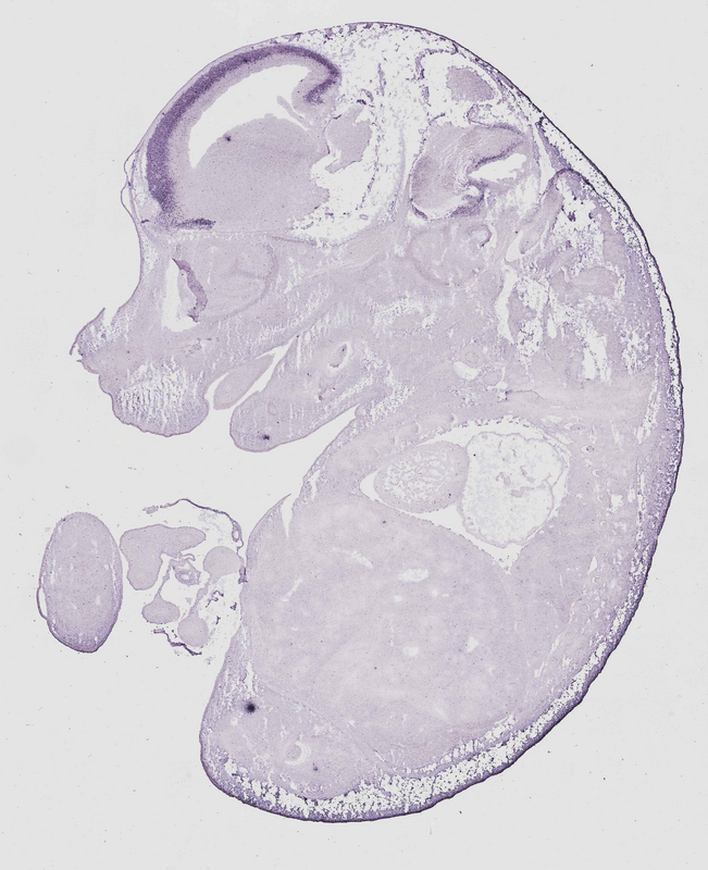
Specimen euxassay_013855_03: embryonic day 14.5 (more )
Structure Level Pattern Image Note
TS23: cerebral cortex mantle layer Strong Regionally restricted euxassay_013855_03
TS23: telencephalon mantle layer Strong Regionally restricted euxassay_013855_03

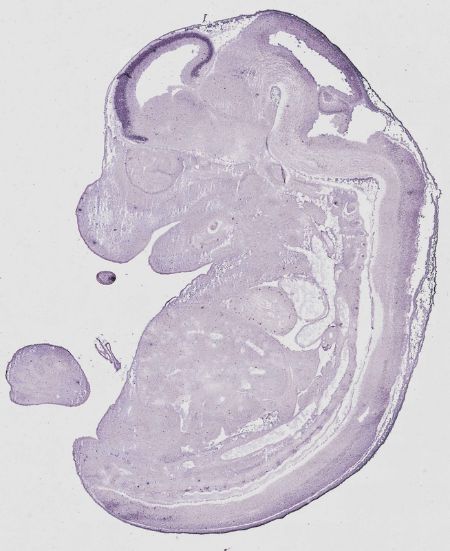
Specimen euxassay_013855_04: embryonic day 14.5 (more )
Structure Level Pattern Image Note
TS23: cerebral cortex mantle layer Strong Regionally restricted euxassay_013855_04
TS23: telencephalon mantle layer Strong Regionally restricted euxassay_013855_04
TS23: rest of cerebellum ventricular layer Weak Regionally restricted euxassay_013855_04
TS23: rest of cerebellum marginal layer Weak Regionally restricted euxassay_013855_04

Specimen euxassay_013855_05: embryonic day 14.5 (more )
Structure Level Pattern Image Note
TS23: cerebral cortex mantle layer Strong Regionally restricted euxassay_013855_05
TS23: telencephalon mantle layer Strong Regionally restricted euxassay_013855_05
TS23: rest of cerebellum ventricular layer Moderate Regionally restricted euxassay_013855_05
TS23: rest of cerebellum marginal layer Moderate Regionally restricted euxassay_013855_05

Specimen euxassay_013855_06: embryonic day 14.5 (more )
Structure Level Pattern Image Note
TS23: cerebral cortex mantle layer Strong Regionally restricted euxassay_013855_06
TS23: rest of cerebellum marginal layer Weak Regionally restricted euxassay_013855_06
TS23: rest of cerebellum ventricular layer Moderate Regionally restricted euxassay_013855_06

Specimen euxassay_013855_07: embryonic day 14.5 (more )
Structure Level Pattern Image Note
TS23: cerebral cortex mantle layer Strong Regionally restricted euxassay_013855_07
TS23: pons mantle layer Weak Regionally restricted euxassay_013855_07
TS23: rest of cerebellum ventricular layer Weak Regionally restricted euxassay_013855_07
TS23: rest of cerebellum marginal layer Weak Regionally restricted euxassay_013855_07

Specimen euxassay_013855_08: embryonic day 14.5 (more )
Structure Level Pattern Image Note
TS23: cerebral cortex mantle layer Strong Regionally restricted euxassay_013855_08
TS23: rest of cerebellum ventricular layer Weak Regionally restricted euxassay_013855_08
TS23: rest of cerebellum marginal layer Weak Regionally restricted euxassay_013855_08
TS23: pons ventricular layer Weak Regionally restricted euxassay_013855_08
TS23: pons mantle layer Weak Regionally restricted euxassay_013855_08

Specimen euxassay_013855_09: embryonic day 14.5 (more )
Structure Level Pattern Image Note
TS23: cerebral cortex mantle layer Strong Regionally restricted euxassay_013855_09
TS23: rest of cerebellum marginal layer Weak Regionally restricted euxassay_013855_09
TS23: rest of cerebellum ventricular layer Weak Regionally restricted euxassay_013855_09

Specimen euxassay_013855_10: embryonic day 14.5 (more )
Structure Level Pattern Image Note
TS23: cerebral cortex mantle layer Strong Regionally restricted euxassay_013855_10
TS23: rest of cerebellum ventricular layer Weak Regionally restricted euxassay_013855_10
TS23: rest of cerebellum marginal layer Weak Regionally restricted euxassay_013855_10

Specimen euxassay_013855_11: embryonic day 14.5 (more )
Structure Level Pattern Image Note
TS23: cerebral cortex mantle layer Strong Regionally restricted euxassay_013855_11
TS23: olfactory cortex mantle layer Moderate Regionally restricted euxassay_013855_11

Specimen euxassay_013855_12: embryonic day 14.5 (more )
Structure Level Pattern Image Note
TS23: olfactory cortex mantle layer Moderate Regionally restricted euxassay_013855_12
TS23: cerebral cortex mantle layer Strong Regionally restricted euxassay_013855_12

Specimen euxassay_013855_13: embryonic day 14.5 (more )
Structure Level Pattern Image Note
TS23: cerebral cortex mantle layer Strong Regionally restricted euxassay_013855_13
TS23: rest of cerebellum ventricular layer Weak Regionally restricted euxassay_013855_13
TS23: rest of cerebellum marginal layer Weak Regionally restricted euxassay_013855_13

Specimen euxassay_013855_14: embryonic day 14.5 (more )
Structure Level Pattern Image Note
TS23: cerebral cortex mantle layer Strong Regionally restricted euxassay_013855_14
TS23: rest of cerebellum ventricular layer Weak Regionally restricted euxassay_013855_14
TS23: rest of cerebellum marginal layer Weak Regionally restricted euxassay_013855_14

Specimen euxassay_013855_15: embryonic day 14.5 (more )
Structure Level Pattern Image Note
TS23: cerebral cortex mantle layer Strong Regionally restricted euxassay_013855_15
TS23: rest of cerebellum marginal layer Weak Regionally restricted euxassay_013855_15
TS23: rest of cerebellum ventricular layer Weak Regionally restricted euxassay_013855_15

Specimen euxassay_013855_16: embryonic day 14.5 (more )
Structure Level Pattern Image Note
TS23: cerebral cortex mantle layer Strong Regionally restricted euxassay_013855_16
TS23: rest of cerebellum marginal layer Weak Regionally restricted euxassay_013855_16
TS23: rest of cerebellum ventricular layer Weak Regionally restricted euxassay_013855_16

Specimen euxassay_013855_17: embryonic day 14.5 (more )
Structure Level Pattern Image Note
TS23: cerebral cortex mantle layer Strong Regionally restricted euxassay_013855_17
TS23: olfactory cortex mantle layer Moderate Regionally restricted euxassay_013855_17
TS23: pons ventricular layer Moderate Regionally restricted euxassay_013855_17
TS23: rest of cerebellum ventricular layer Moderate Regionally restricted euxassay_013855_17
TS23: rest of cerebellum marginal layer Weak Regionally restricted euxassay_013855_17

Specimen euxassay_013855_18: embryonic day 14.5 (more )
Structure Level Pattern Image Note
TS23: olfactory cortex mantle layer Moderate Regionally restricted euxassay_013855_18
TS23: cerebral cortex mantle layer Strong Regionally restricted euxassay_013855_18
TS23: rest of cerebellum ventricular layer Moderate Regionally restricted euxassay_013855_18
TS23: rest of cerebellum marginal layer Moderate Regionally restricted euxassay_013855_18
TS23: pons mantle layer Moderate Regionally restricted euxassay_013855_18

Specimen euxassay_013855_19: embryonic day 14.5 (more )
Structure Level Pattern Image Note
TS23: olfactory cortex mantle layer Strong Regionally restricted euxassay_013855_19
TS23: cerebral cortex mantle layer Strong Regionally restricted euxassay_013855_19
TS23: rest of cerebellum ventricular layer Moderate Regionally restricted euxassay_013855_19
TS23: rest of cerebellum marginal layer Moderate Regionally restricted euxassay_013855_19

Specimen euxassay_013855_20: embryonic day 14.5 (more )
Structure Level Pattern Image Note
TS23: cerebral cortex mantle layer Strong Regionally restricted euxassay_013855_20
TS23: rest of cerebellum ventricular layer Weak Regionally restricted euxassay_013855_20
TS23: rest of cerebellum marginal layer Weak Regionally restricted euxassay_013855_20

Specimen euxassay_013855_21: embryonic day 14.5 (more )
Structure Level Pattern Image Note
TS23: cerebral cortex mantle layer Strong Regionally restricted euxassay_013855_21
TS23: rest of cerebellum ventricular layer Moderate Regionally restricted euxassay_013855_21
TS23: rest of cerebellum marginal layer Moderate Regionally restricted euxassay_013855_21

Specimen euxassay_013855_22: embryonic day 14.5 (more )
Structure Level Pattern Image Note
TS23: cerebral cortex mantle layer Strong Regionally restricted euxassay_013855_22

Specimen euxassay_013855_23: embryonic day 14.5 (more )
Structure Level Pattern Image Note
TS23: cerebral cortex mantle layer Strong Regionally restricted euxassay_013855_23
TS23: telencephalon mantle layer Strong Regionally restricted euxassay_013855_23

Specimen euxassay_013855_24: embryonic day 14.5 (more )
Structure Level Pattern Image Note
TS23: telencephalon mantle layer Strong Regionally restricted euxassay_013855_24
TS23: cerebral cortex mantle layer Strong Regionally restricted euxassay_013855_24


Contributing Projects:
Mouse Genome Database (MGD), Gene Expression Database (GXD), Mouse Models of Human Cancer database (MMHCdb) (formerly Mouse Tumor Biology (MTB)), Gene Ontology (GO)
Citing These Resources
Funding Information
Warranty Disclaimer, Privacy Notice, Licensing, & Copyright
Send questions and comments to User Support.
last database update
12/30/2025
MGI 6.24
The Jackson Laboratory