About   Help   FAQ
Gene Expression Data
Assay Details
Assay
Reference: J:153498 Diez-Roux G, et al., A high-resolution anatomical atlas of the transcriptome in the mouse embryo. PLoS Biol. 2011;9(1):e1000582
Assay type: RNA in situ
MGI Accession ID: MGI:4826668
Gene symbol: Nes
Gene name: nestin
Probe: IMAGE clone 614992
Probe preparation: Antisense labelled with digoxigenin RNA
Visualized with: Alkaline phosphatase
Assay notes: Cryosections of fresh frozen material were fixed in 4% paraformaldehyde for 20 min. before further processing. A tyramide-biotin/streptavidin amplification step was included in the in situ hybridization procedure.
Results
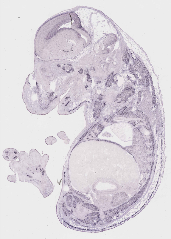
Specimen euxassay_006000_01: embryonic day 14.5 (more )
Structure Level Pattern Image Note
TS23: vertebral axis musculature Strong Regionally restricted euxassay_006000_01
TS23: head mesenchyme Strong Regionally restricted euxassay_006000_01
TS23: telencephalon meninges Moderate Regionally restricted euxassay_006000_01
TS23: hand mesenchyme Moderate Regionally restricted euxassay_006000_01
TS23: upper leg mesenchyme Moderate Regionally restricted euxassay_006000_01
TS23: hip mesenchyme Moderate Regionally restricted euxassay_006000_01
TS23: diaphragm Strong Regionally restricted euxassay_006000_01

Specimen euxassay_006000_02: embryonic day 14.5 (more )
Structure Level Pattern Image Note
TS23: vertebral axis musculature Strong Regionally restricted euxassay_006000_02
TS23: head mesenchyme Strong Regionally restricted euxassay_006000_02
TS23: telencephalon meninges Moderate Regionally restricted euxassay_006000_02
TS23: upper leg mesenchyme Moderate Regionally restricted euxassay_006000_02
TS23: hip mesenchyme Moderate Regionally restricted euxassay_006000_02
TS23: hand mesenchyme Moderate Regionally restricted euxassay_006000_02
TS23: diaphragm Strong Regionally restricted euxassay_006000_02

Specimen euxassay_006000_03: embryonic day 14.5 (more )
Structure Level Pattern Image Note
TS23: head mesenchyme Strong Regionally restricted euxassay_006000_03
TS23: vertebral axis musculature Strong Regionally restricted euxassay_006000_03
TS23: telencephalon meninges Moderate Regionally restricted euxassay_006000_03
TS23: upper leg mesenchyme Moderate Regionally restricted euxassay_006000_03
TS23: hip mesenchyme Moderate Regionally restricted euxassay_006000_03
TS23: hand mesenchyme Moderate Regionally restricted euxassay_006000_03
TS23: telencephalon ventricular layer Moderate Uniform euxassay_006000_03
TS23: diaphragm Strong Regionally restricted euxassay_006000_03

Specimen euxassay_006000_04: embryonic day 14.5 (more )
Structure Level Pattern Image Note
TS23: head mesenchyme Strong Regionally restricted euxassay_006000_04
TS23: vertebral axis musculature Strong Regionally restricted euxassay_006000_04
TS23: telencephalon meninges Moderate Regionally restricted euxassay_006000_04
TS23: hand mesenchyme Moderate Regionally restricted euxassay_006000_04
TS23: upper leg mesenchyme Moderate Regionally restricted euxassay_006000_04
TS23: hip mesenchyme Moderate Regionally restricted euxassay_006000_04
TS23: telencephalon ventricular layer Moderate Uniform euxassay_006000_04
TS23: diaphragm Strong Regionally restricted euxassay_006000_04

Specimen euxassay_006000_05: embryonic day 14.5 (more )
Structure Level Pattern Image Note
TS23: head mesenchyme Strong Regionally restricted euxassay_006000_05
TS23: vertebral axis musculature Strong Regionally restricted euxassay_006000_05
TS23: telencephalon meninges Moderate Regionally restricted euxassay_006000_05
TS23: foot mesenchyme Moderate Regionally restricted euxassay_006000_05
TS23: hand mesenchyme Moderate Regionally restricted euxassay_006000_05
TS23: telencephalon ventricular layer Moderate Uniform euxassay_006000_05
TS23: diaphragm Strong Regionally restricted euxassay_006000_05

Specimen euxassay_006000_06: embryonic day 14.5 (more )
Structure Level Pattern Image Note
TS23: vertebral axis musculature Strong Regionally restricted euxassay_006000_06
TS23: hindbrain meninges Moderate Regionally restricted euxassay_006000_06
TS23: telencephalon meninges Moderate Regionally restricted euxassay_006000_06
TS23: foot mesenchyme Moderate Regionally restricted euxassay_006000_06
TS23: telencephalon ventricular layer Moderate Uniform euxassay_006000_06
TS23: diaphragm Strong Regionally restricted euxassay_006000_06

Specimen euxassay_006000_07: embryonic day 14.5 (more )
Structure Level Pattern Image Note
TS23: vertebral axis musculature Strong Regionally restricted euxassay_006000_07
TS23: telencephalon meninges Moderate Regionally restricted euxassay_006000_07
TS23: hindbrain meninges Moderate Regionally restricted euxassay_006000_07
TS23: midbrain meninges Moderate Regionally restricted euxassay_006000_07
TS23: renal calyx Strong Regionally restricted euxassay_006000_07
TS23: foot mesenchyme Moderate Regionally restricted euxassay_006000_07
TS23: telencephalon ventricular layer Moderate Uniform euxassay_006000_07
TS23: diaphragm Strong Regionally restricted euxassay_006000_07

Specimen euxassay_006000_08: embryonic day 14.5 (more )
Structure Level Pattern Image Note
TS23: vertebral axis musculature Strong Regionally restricted euxassay_006000_08
TS23: head mesenchyme Strong Regionally restricted euxassay_006000_08
TS23: midbrain meninges Moderate Regionally restricted euxassay_006000_08
TS23: hindbrain meninges Moderate Regionally restricted euxassay_006000_08
TS23: telencephalon meninges Moderate Regionally restricted euxassay_006000_08
TS23: diencephalon meninges Moderate Regionally restricted euxassay_006000_08
TS23: renal calyx Strong Regionally restricted euxassay_006000_08
TS23: telencephalon ventricular layer Moderate Uniform euxassay_006000_08
TS23: diaphragm Strong Regionally restricted euxassay_006000_08

Specimen euxassay_006000_09: embryonic day 14.5 (more )
Structure Level Pattern Image Note
TS23: vertebral axis musculature Strong Regionally restricted euxassay_006000_09
TS23: head mesenchyme Strong Regionally restricted euxassay_006000_09
TS23: midbrain meninges Weak Regionally restricted euxassay_006000_09
TS23: hindbrain meninges Weak Regionally restricted euxassay_006000_09
TS23: telencephalon meninges Weak Regionally restricted euxassay_006000_09
TS23: diencephalon meninges Weak Regionally restricted euxassay_006000_09
TS23: renal calyx Moderate Regionally restricted euxassay_006000_09
TS23: tongue Strong Regionally restricted euxassay_006000_09
TS23: tongue muscle Strong Regionally restricted euxassay_006000_09
TS23: telencephalon ventricular layer Moderate Uniform euxassay_006000_09
TS23: olfactory cortex ventricular layer Moderate Uniform euxassay_006000_09
TS23: diaphragm Strong Regionally restricted euxassay_006000_09

Specimen euxassay_006000_10: embryonic day 14.5 (more )
Structure Level Pattern Image Note
TS23: vertebral axis musculature Strong Regionally restricted euxassay_006000_10
TS23: head mesenchyme Strong Regionally restricted euxassay_006000_10
TS23: tail mesenchyme Strong Regionally restricted euxassay_006000_10
TS23: spinal cord meninges Weak Regionally restricted euxassay_006000_10
TS23: midbrain meninges Weak Regionally restricted euxassay_006000_10
TS23: hindbrain meninges Weak Regionally restricted euxassay_006000_10
TS23: telencephalon meninges Weak Regionally restricted euxassay_006000_10
TS23: diencephalon meninges Weak Regionally restricted euxassay_006000_10
TS23: tongue muscle Strong Regionally restricted euxassay_006000_10
TS23: olfactory cortex ventricular layer Moderate Uniform euxassay_006000_10
TS23: telencephalon ventricular layer Moderate Uniform euxassay_006000_10
TS23: diaphragm Strong Regionally restricted euxassay_006000_10

Specimen euxassay_006000_11: embryonic day 14.5 (more )
Structure Level Pattern Image Note
TS23: tail mesenchyme Strong Regionally restricted euxassay_006000_11
TS23: head mesenchyme Strong Regionally restricted euxassay_006000_11
TS23: vertebral axis musculature Strong Regionally restricted euxassay_006000_11
TS23: diencephalon meninges Weak Regionally restricted euxassay_006000_11
TS23: telencephalon meninges Weak Regionally restricted euxassay_006000_11
TS23: hindbrain meninges Weak Regionally restricted euxassay_006000_11
TS23: midbrain meninges Weak Regionally restricted euxassay_006000_11
TS23: spinal cord meninges Weak Regionally restricted euxassay_006000_11
TS23: tongue muscle Strong Regionally restricted euxassay_006000_11
TS23: olfactory cortex ventricular layer Moderate Uniform euxassay_006000_11
TS23: telencephalon ventricular layer Moderate Uniform euxassay_006000_11
TS23: midbrain ventricular layer Moderate Regionally restricted euxassay_006000_11
TS23: diaphragm Strong Regionally restricted euxassay_006000_11

Specimen euxassay_006000_12: embryonic day 14.5 (more )
Structure Level Pattern Image Note
TS23: tail mesenchyme Strong Regionally restricted euxassay_006000_12
TS23: head mesenchyme Strong Regionally restricted euxassay_006000_12
TS23: vertebral axis musculature Strong Regionally restricted euxassay_006000_12
TS23: diencephalon meninges Weak Regionally restricted euxassay_006000_12
TS23: telencephalon meninges Weak Regionally restricted euxassay_006000_12
TS23: hindbrain meninges Weak Regionally restricted euxassay_006000_12
TS23: midbrain meninges Weak Regionally restricted euxassay_006000_12
TS23: spinal cord meninges Weak Regionally restricted euxassay_006000_12
TS23: tongue muscle Strong Regionally restricted euxassay_006000_12
TS23: telencephalon ventricular layer Moderate Uniform euxassay_006000_12
TS23: hypothalamus ventricular layer Moderate Regionally restricted euxassay_006000_12
TS23: midbrain ventricular layer Moderate Regionally restricted euxassay_006000_12

Specimen euxassay_006000_13: embryonic day 14.5 (more )
Structure Level Pattern Image Note
TS23: head mesenchyme Strong Regionally restricted euxassay_006000_13
TS23: tail mesenchyme Strong Regionally restricted euxassay_006000_13
TS23: vertebral axis musculature Strong Regionally restricted euxassay_006000_13
TS23: midbrain meninges Weak Regionally restricted euxassay_006000_13
TS23: hindbrain meninges Weak Regionally restricted euxassay_006000_13
TS23: spinal cord meninges Weak Regionally restricted euxassay_006000_13
TS23: telencephalon meninges Weak Regionally restricted euxassay_006000_13
TS23: diencephalon meninges Weak Regionally restricted euxassay_006000_13
TS23: tongue muscle Strong Regionally restricted euxassay_006000_13
TS23: hypothalamus ventricular layer Moderate Regionally restricted euxassay_006000_13
TS23: midbrain ventricular layer Moderate Regionally restricted euxassay_006000_13

Specimen euxassay_006000_14: embryonic day 14.5 (more )
Structure Level Pattern Image Note
TS23: head mesenchyme Strong Regionally restricted euxassay_006000_14
TS23: tail mesenchyme Strong Regionally restricted euxassay_006000_14
TS23: vertebral axis musculature Strong Regionally restricted euxassay_006000_14
TS23: diencephalon meninges Moderate Regionally restricted euxassay_006000_14
TS23: telencephalon meninges Moderate Regionally restricted euxassay_006000_14
TS23: hindbrain meninges Moderate Regionally restricted euxassay_006000_14
TS23: midbrain meninges Moderate Regionally restricted euxassay_006000_14
TS23: spinal cord meninges Moderate Regionally restricted euxassay_006000_14
TS23: tongue muscle Strong Regionally restricted euxassay_006000_14
TS23: olfactory cortex ventricular layer Moderate Uniform euxassay_006000_14
TS23: telencephalon ventricular layer Moderate Uniform euxassay_006000_14
TS23: hypothalamus ventricular layer Moderate Regionally restricted euxassay_006000_14
TS23: midbrain ventricular layer Moderate Regionally restricted euxassay_006000_14

Specimen euxassay_006000_15: embryonic day 14.5 (more )
Structure Level Pattern Image Note
TS23: vertebral axis musculature Strong Regionally restricted euxassay_006000_15
TS23: tail mesenchyme Strong Regionally restricted euxassay_006000_15
TS23: diencephalon meninges Moderate Regionally restricted euxassay_006000_15
TS23: telencephalon meninges Moderate Regionally restricted euxassay_006000_15
TS23: hindbrain meninges Moderate Regionally restricted euxassay_006000_15
TS23: spinal cord meninges Moderate Regionally restricted euxassay_006000_15
TS23: midbrain meninges Moderate Regionally restricted euxassay_006000_15
TS23: tongue muscle Strong Regionally restricted euxassay_006000_15
TS23: olfactory cortex ventricular layer Moderate Uniform euxassay_006000_15
TS23: telencephalon ventricular layer Moderate Uniform euxassay_006000_15
TS23: midbrain ventricular layer Moderate Regionally restricted euxassay_006000_15

Specimen euxassay_006000_16: embryonic day 14.5 (more )
Structure Level Pattern Image Note
TS23: vertebral axis musculature Strong Regionally restricted euxassay_006000_16
TS23: head mesenchyme Strong Regionally restricted euxassay_006000_16
TS23: diencephalon meninges Moderate Regionally restricted euxassay_006000_16
TS23: telencephalon meninges Moderate Regionally restricted euxassay_006000_16
TS23: hindbrain meninges Moderate Regionally restricted euxassay_006000_16
TS23: midbrain meninges Moderate Regionally restricted euxassay_006000_16
TS23: spinal cord meninges Moderate Regionally restricted euxassay_006000_16
TS23: tongue muscle Strong Regionally restricted euxassay_006000_16
TS23: telencephalon ventricular layer Moderate Uniform euxassay_006000_16
TS23: olfactory cortex ventricular layer Moderate Uniform euxassay_006000_16
TS23: midbrain ventricular layer Moderate Regionally restricted euxassay_006000_16

Specimen euxassay_006000_17: embryonic day 14.5 (more )
Structure Level Pattern Image Note
TS23: head mesenchyme Strong Regionally restricted euxassay_006000_17
TS23: vertebral axis musculature Strong Regionally restricted euxassay_006000_17
TS23: spinal cord meninges Moderate Regionally restricted euxassay_006000_17
TS23: midbrain meninges Moderate Regionally restricted euxassay_006000_17
TS23: hindbrain meninges Moderate Regionally restricted euxassay_006000_17
TS23: telencephalon meninges Moderate Regionally restricted euxassay_006000_17
TS23: diencephalon meninges Moderate Regionally restricted euxassay_006000_17
TS23: renal calyx Moderate Regionally restricted euxassay_006000_17
TS23: telencephalon ventricular layer Moderate Uniform euxassay_006000_17
TS23: midbrain ventricular layer Moderate Regionally restricted euxassay_006000_17
TS23: diaphragm Strong Regionally restricted euxassay_006000_17

Specimen euxassay_006000_18: embryonic day 14.5 (more )
Structure Level Pattern Image Note
TS23: head mesenchyme Strong Regionally restricted euxassay_006000_18
TS23: vertebral axis musculature Strong Regionally restricted euxassay_006000_18
TS23: midbrain meninges Moderate Regionally restricted euxassay_006000_18
TS23: hindbrain meninges Moderate Regionally restricted euxassay_006000_18
TS23: telencephalon meninges Moderate Regionally restricted euxassay_006000_18
TS23: diencephalon meninges Moderate Regionally restricted euxassay_006000_18
TS23: renal calyx Moderate Regionally restricted euxassay_006000_18
TS23: foot mesenchyme Moderate Regionally restricted euxassay_006000_18
TS23: telencephalon ventricular layer Moderate Uniform euxassay_006000_18
TS23: midbrain ventricular layer Moderate Regionally restricted euxassay_006000_18
TS23: diaphragm Strong Regionally restricted euxassay_006000_18

Specimen euxassay_006000_19: embryonic day 14.5 (more )
Structure Level Pattern Image Note
TS23: head mesenchyme Strong Regionally restricted euxassay_006000_19
TS23: vertebral axis musculature Strong Regionally restricted euxassay_006000_19
TS23: midbrain meninges Moderate Regionally restricted euxassay_006000_19
TS23: hindbrain meninges Moderate Regionally restricted euxassay_006000_19
TS23: telencephalon meninges Moderate Regionally restricted euxassay_006000_19
TS23: diencephalon meninges Moderate Regionally restricted euxassay_006000_19
TS23: foot mesenchyme Moderate Regionally restricted euxassay_006000_19
TS23: telencephalon ventricular layer Moderate Uniform euxassay_006000_19
TS23: diaphragm Strong Regionally restricted euxassay_006000_19

Specimen euxassay_006000_20: embryonic day 14.5 (more )
Structure Level Pattern Image Note
TS23: head mesenchyme Strong Regionally restricted euxassay_006000_20
TS23: vertebral axis musculature Strong Regionally restricted euxassay_006000_20
TS23: midbrain meninges Moderate Regionally restricted euxassay_006000_20
TS23: hindbrain meninges Moderate Regionally restricted euxassay_006000_20
TS23: telencephalon meninges Moderate Regionally restricted euxassay_006000_20
TS23: foot mesenchyme Moderate Regionally restricted euxassay_006000_20
TS23: telencephalon ventricular layer Moderate Uniform euxassay_006000_20
TS23: diaphragm Strong Regionally restricted euxassay_006000_20

Specimen euxassay_006000_21: embryonic day 14.5 (more )
Structure Level Pattern Image Note
TS23: head mesenchyme Strong Regionally restricted euxassay_006000_21
TS23: vertebral axis musculature Strong Regionally restricted euxassay_006000_21
TS23: telencephalon meninges Strong Regionally restricted euxassay_006000_21
TS23: midbrain meninges Moderate Regionally restricted euxassay_006000_21
TS23: hindbrain meninges Moderate Regionally restricted euxassay_006000_21
TS23: upper leg mesenchyme Moderate Regionally restricted euxassay_006000_21
TS23: hip mesenchyme Moderate Regionally restricted euxassay_006000_21
TS23: telencephalon ventricular layer Moderate Uniform euxassay_006000_21
TS23: diaphragm Strong Regionally restricted euxassay_006000_21

Specimen euxassay_006000_22: embryonic day 14.5 (more )
Structure Level Pattern Image Note
TS23: head mesenchyme Strong Regionally restricted euxassay_006000_22
TS23: vertebral axis musculature Strong Regionally restricted euxassay_006000_22
TS23: telencephalon meninges Strong Regionally restricted euxassay_006000_22
TS23: upper leg mesenchyme Moderate Regionally restricted euxassay_006000_22
TS23: hip mesenchyme Moderate Regionally restricted euxassay_006000_22
TS23: hand mesenchyme Moderate Regionally restricted euxassay_006000_22
TS23: telencephalon ventricular layer Moderate Uniform euxassay_006000_22
TS23: diaphragm Strong Regionally restricted euxassay_006000_22

Specimen euxassay_006000_23: embryonic day 14.5 (more )
Structure Level Pattern Image Note
TS23: head mesenchyme Strong Regionally restricted euxassay_006000_23
TS23: vertebral axis musculature Strong Regionally restricted euxassay_006000_23
TS23: telencephalon meninges Strong Regionally restricted euxassay_006000_23
TS23: hand mesenchyme Moderate Regionally restricted euxassay_006000_23
TS23: hip mesenchyme Moderate Regionally restricted euxassay_006000_23
TS23: upper leg mesenchyme Moderate Regionally restricted euxassay_006000_23
TS23: telencephalon ventricular layer Moderate Uniform euxassay_006000_23
TS23: diaphragm Strong Regionally restricted euxassay_006000_23


Contributing Projects:
Mouse Genome Database (MGD), Gene Expression Database (GXD), Mouse Models of Human Cancer database (MMHCdb) (formerly Mouse Tumor Biology (MTB)), Gene Ontology (GO)
Citing These Resources
Funding Information
Warranty Disclaimer, Privacy Notice, Licensing, & Copyright
Send questions and comments to User Support.
last database update
12/30/2025
MGI 6.24
The Jackson Laboratory