About   Help   FAQ
Gene Expression Data
Assay Details
Assay
Reference: J:153498 Diez-Roux G, et al., A high-resolution anatomical atlas of the transcriptome in the mouse embryo. PLoS Biol. 2011;9(1):e1000582
Assay type: RNA in situ
MGI Accession ID: MGI:4826660
Gene symbol: Nefm
Gene name: neurofilament, medium polypeptide
Probe: T36676
Probe preparation: Antisense labelled with digoxigenin RNA
Visualized with: Alkaline phosphatase
Assay notes: Cryosections of fresh frozen material were fixed in 4% paraformaldehyde for 20 min. before further processing. A tyramide-biotin/streptavidin amplification step was included in the in situ hybridization procedure.
Results
Specimen euxassay_009463_01: embryonic day 14.5 (more )
Structure Level Pattern Image Note
TS23: neural retina Strong Regionally restricted euxassay_009463_01

Specimen euxassay_009463_02: embryonic day 14.5 (more )
Structure Level Pattern Image Note
TS23: neural retina Strong Regionally restricted euxassay_009463_02

Specimen euxassay_009463_03: embryonic day 14.5 (more )
Structure Level Pattern Image Note
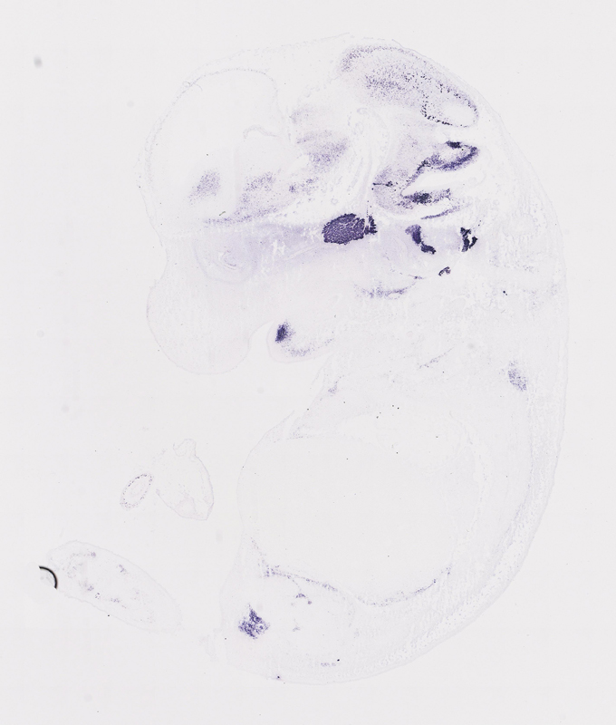
TS23: trigeminal ganglion Strong Regionally restricted euxassay_009463_03
TS23: neural retina Strong Regionally restricted euxassay_009463_03

Specimen euxassay_009463_04: embryonic day 14.5 (more )
Structure Level Pattern Image Note
TS23: trigeminal ganglion Strong Regionally restricted euxassay_009463_04
TS23: facial ganglion Strong Regionally restricted euxassay_009463_04
TS23: rest of cerebellum mantle layer Strong Regionally restricted euxassay_009463_04

Specimen euxassay_009463_05: embryonic day 14.5 (more )
Structure Level Pattern Image Note
TS23: trigeminal ganglion Strong Regionally restricted euxassay_009463_05
TS23: facial ganglion Strong Regionally restricted euxassay_009463_05
TS23: telencephalon mantle layer Strong Regionally restricted euxassay_009463_05
TS23: rest of cerebellum mantle layer Strong Regionally restricted euxassay_009463_05
TS23: rest of cerebellum marginal layer Strong Regionally restricted euxassay_009463_05

Specimen euxassay_009463_06: embryonic day 14.5 (more )
Structure Level Pattern Image Note
TS23: trigeminal ganglion Strong Regionally restricted euxassay_009463_06
TS23: vestibulo-cochlear ganglion Strong Regionally restricted euxassay_009463_06
TS23: glossopharyngeal ganglion Strong Regionally restricted euxassay_009463_06
TS23: dorsal root ganglion Strong Regionally restricted euxassay_009463_06
TS23: telencephalon mantle layer Strong Regionally restricted euxassay_009463_06
TS23: rest of cerebellum mantle layer Strong Regionally restricted euxassay_009463_06
TS23: rest of cerebellum marginal layer Strong Regionally restricted euxassay_009463_06
TS23: medulla oblongata basal plate Strong Regionally restricted euxassay_009463_06
TS23: lower lip Strong Regionally restricted euxassay_009463_06

Specimen euxassay_009463_07: embryonic day 14.5 (more )
Structure Level Pattern Image Note
TS23: glossopharyngeal ganglion Strong Regionally restricted euxassay_009463_07
TS23: trigeminal ganglion Strong Regionally restricted euxassay_009463_07
TS23: vestibulo-cochlear ganglion Strong Regionally restricted euxassay_009463_07
TS23: dorsal root ganglion Strong Regionally restricted euxassay_009463_07
TS23: vagus ganglion Strong Regionally restricted euxassay_009463_07
TS23: midgut Strong Regionally restricted euxassay_009463_07
TS23: telencephalon mantle layer Strong Regionally restricted euxassay_009463_07
TS23: rest of cerebellum mantle layer Strong Regionally restricted euxassay_009463_07
TS23: rest of cerebellum marginal layer Strong Regionally restricted euxassay_009463_07
TS23: pons Strong Regionally restricted euxassay_009463_07
TS23: midbrain mantle layer Strong Regionally restricted euxassay_009463_07
TS23: medulla oblongata basal plate Strong Regionally restricted euxassay_009463_07
TS23: lower lip Strong Regionally restricted euxassay_009463_07

Specimen euxassay_009463_08: embryonic day 14.5 (more )
Structure Level Pattern Image Note
TS23: trigeminal ganglion Strong Regionally restricted euxassay_009463_08
TS23: dorsal root ganglion Strong Regionally restricted euxassay_009463_08
TS23: cervico-thoracic ganglion Strong Regionally restricted euxassay_009463_08
TS23: midgut Strong Regionally restricted euxassay_009463_08
TS23: diencephalon lateral wall mantle layer Moderate Regionally restricted euxassay_009463_08
TS23: telencephalon mantle layer Moderate Regionally restricted euxassay_009463_08
TS23: rest of cerebellum marginal layer Strong Regionally restricted euxassay_009463_08
TS23: rest of cerebellum mantle layer Strong Regionally restricted euxassay_009463_08
TS23: pons Strong Regionally restricted euxassay_009463_08
TS23: midbrain mantle layer Strong Regionally restricted euxassay_009463_08
TS23: spinal cord mantle layer Strong Regionally restricted euxassay_009463_08
TS23: medulla oblongata basal plate Strong Regionally restricted euxassay_009463_08

Specimen euxassay_009463_09: embryonic day 14.5 (more )
Structure Level Pattern Image Note
TS23: dorsal root ganglion Strong Regionally restricted euxassay_009463_09
TS23: thymus primordium Weak Regionally restricted euxassay_009463_09
TS23: midgut Weak Regionally restricted euxassay_009463_09
TS23: diencephalon lateral wall mantle layer Moderate Regionally restricted euxassay_009463_09
TS23: telencephalon mantle layer Moderate Regionally restricted euxassay_009463_09
TS23: midbrain mantle layer Strong Regionally restricted euxassay_009463_09
TS23: pons Strong Regionally restricted euxassay_009463_09
TS23: rest of cerebellum mantle layer Strong Regionally restricted euxassay_009463_09
TS23: rest of cerebellum marginal layer Strong Regionally restricted euxassay_009463_09
TS23: spinal cord mantle layer Strong Regionally restricted euxassay_009463_09
TS23: medulla oblongata basal plate Strong Regionally restricted euxassay_009463_09

Specimen euxassay_009463_10: embryonic day 14.5 (more )
Structure Level Pattern Image Note
TS23: dorsal root ganglion Strong Regionally restricted euxassay_009463_10
TS23: thoracic ganglion Strong Regionally restricted euxassay_009463_10
TS23: thymus primordium Weak Regionally restricted euxassay_009463_10
TS23: midgut Weak Regionally restricted euxassay_009463_10
TS23: diencephalon lateral wall mantle layer Strong Regionally restricted euxassay_009463_10
TS23: rest of cerebellum mantle layer Strong Regionally restricted euxassay_009463_10
TS23: rest of cerebellum marginal layer Strong Regionally restricted euxassay_009463_10
TS23: pons Strong Regionally restricted euxassay_009463_10
TS23: midbrain mantle layer Strong Regionally restricted euxassay_009463_10
TS23: spinal cord mantle layer Strong Regionally restricted euxassay_009463_10
TS23: medulla oblongata basal plate Strong Regionally restricted euxassay_009463_10

Specimen euxassay_009463_11: embryonic day 14.5 (more )
Structure Level Pattern Image Note
TS23: thoracic ganglion Strong Regionally restricted euxassay_009463_11
TS23: midgut Moderate Regionally restricted euxassay_009463_11
TS23: diencephalon lateral wall mantle layer Strong Regionally restricted euxassay_009463_11
TS23: telencephalon mantle layer Moderate Regionally restricted euxassay_009463_11
TS23: rest of cerebellum mantle layer Strong Regionally restricted euxassay_009463_11
TS23: pons Strong Regionally restricted euxassay_009463_11
TS23: midbrain mantle layer Strong Regionally restricted euxassay_009463_11
TS23: medulla oblongata basal plate Strong Regionally restricted euxassay_009463_11
TS23: spinal cord mantle layer Strong Regionally restricted euxassay_009463_11

Specimen euxassay_009463_12: embryonic day 14.5 (more )
Structure Level Pattern Image Note
TS23: cervico-thoracic ganglion Strong Regionally restricted euxassay_009463_12
TS23: thoracic ganglion Strong Regionally restricted euxassay_009463_12
TS23: thymus primordium Weak Regionally restricted euxassay_009463_12
TS23: midgut Moderate Regionally restricted euxassay_009463_12
TS23: telencephalon mantle layer Moderate Regionally restricted euxassay_009463_12
TS23: diencephalon lateral wall mantle layer Moderate Regionally restricted euxassay_009463_12
TS23: midbrain mantle layer Strong Regionally restricted euxassay_009463_12
TS23: medulla oblongata basal plate Strong Regionally restricted euxassay_009463_12
TS23: spinal cord mantle layer Strong Regionally restricted euxassay_009463_12

Specimen euxassay_009463_13: embryonic day 14.5 (more )
Structure Level Pattern Image Note
TS23: dorsal root ganglion Strong Regionally restricted euxassay_009463_13
TS23: cervico-thoracic ganglion Strong Regionally restricted euxassay_009463_13
TS23: thymus primordium Weak Regionally restricted euxassay_009463_13
TS23: midgut Moderate Regionally restricted euxassay_009463_13
TS23: telencephalon mantle layer Moderate Regionally restricted euxassay_009463_13
TS23: diencephalon lateral wall mantle layer Moderate Regionally restricted euxassay_009463_13
TS23: midbrain mantle layer Strong Regionally restricted euxassay_009463_13
TS23: rest of cerebellum mantle layer Strong Regionally restricted euxassay_009463_13
TS23: pons Strong Regionally restricted euxassay_009463_13
TS23: medulla oblongata basal plate Strong Regionally restricted euxassay_009463_13
TS23: spinal cord mantle layer Strong Regionally restricted euxassay_009463_13

Specimen euxassay_009463_14: embryonic day 14.5 (more )
Structure Level Pattern Image Note
TS23: dorsal root ganglion Strong Regionally restricted euxassay_009463_14
TS23: midgut Moderate Regionally restricted euxassay_009463_14
TS23: diencephalon lateral wall mantle layer Moderate Regionally restricted euxassay_009463_14
TS23: telencephalon mantle layer Moderate Regionally restricted euxassay_009463_14
TS23: midbrain mantle layer Strong Regionally restricted euxassay_009463_14
TS23: pons Strong Regionally restricted euxassay_009463_14
TS23: rest of cerebellum marginal layer Strong Regionally restricted euxassay_009463_14
TS23: rest of cerebellum mantle layer Strong Regionally restricted euxassay_009463_14
TS23: medulla oblongata basal plate Strong Regionally restricted euxassay_009463_14

Specimen euxassay_009463_15: embryonic day 14.5 (more )
Structure Level Pattern Image Note
TS23: dorsal root ganglion Strong Regionally restricted euxassay_009463_15
TS23: vagus ganglion Strong Regionally restricted euxassay_009463_15
TS23: hindgut Moderate Regionally restricted euxassay_009463_15
TS23: diencephalon lateral wall mantle layer Strong Regionally restricted euxassay_009463_15
TS23: telencephalon mantle layer Strong Regionally restricted euxassay_009463_15
TS23: rest of cerebellum mantle layer Strong Regionally restricted euxassay_009463_15
TS23: rest of cerebellum marginal layer Strong Regionally restricted euxassay_009463_15
TS23: pons Strong Regionally restricted euxassay_009463_15
TS23: midbrain mantle layer Strong Regionally restricted euxassay_009463_15
TS23: medulla oblongata basal plate Strong Regionally restricted euxassay_009463_15

Specimen euxassay_009463_16: embryonic day 14.5 (more )
Structure Level Pattern Image Note
TS23: glossopharyngeal ganglion Strong Regionally restricted euxassay_009463_16
TS23: trigeminal ganglion Strong Regionally restricted euxassay_009463_16
TS23: vestibulo-cochlear ganglion Strong Regionally restricted euxassay_009463_16
TS23: diencephalon lateral wall mantle layer Moderate Regionally restricted euxassay_009463_16
TS23: telencephalon mantle layer Moderate Regionally restricted euxassay_009463_16
TS23: rest of cerebellum mantle layer Strong Regionally restricted euxassay_009463_16
TS23: rest of cerebellum marginal layer Strong Regionally restricted euxassay_009463_16
TS23: pons Strong Regionally restricted euxassay_009463_16
TS23: midbrain mantle layer Strong Regionally restricted euxassay_009463_16
TS23: medulla oblongata basal plate Strong Regionally restricted euxassay_009463_16
TS23: lower lip Moderate Regionally restricted euxassay_009463_16

Specimen euxassay_009463_17: embryonic day 14.5 (more )
Structure Level Pattern Image Note
TS23: trigeminal ganglion Strong Regionally restricted euxassay_009463_17
TS23: vestibulo-cochlear ganglion Strong Regionally restricted euxassay_009463_17
TS23: glossopharyngeal ganglion Strong Regionally restricted euxassay_009463_17
TS23: telencephalon mantle layer Moderate Regionally restricted euxassay_009463_17
TS23: diencephalon lateral wall mantle layer Moderate Regionally restricted euxassay_009463_17
TS23: rest of cerebellum mantle layer Strong Regionally restricted euxassay_009463_17
TS23: rest of cerebellum marginal layer Strong Regionally restricted euxassay_009463_17
TS23: pons Strong Regionally restricted euxassay_009463_17
TS23: midbrain mantle layer Strong Regionally restricted euxassay_009463_17
TS23: medulla oblongata basal plate Strong Regionally restricted euxassay_009463_17
TS23: lower lip Strong Regionally restricted euxassay_009463_17

Specimen euxassay_009463_18: embryonic day 14.5 (more )
Structure Level Pattern Image Note
TS23: trigeminal ganglion Strong Regionally restricted euxassay_009463_18
TS23: facial ganglion Strong Regionally restricted euxassay_009463_18
TS23: telencephalon mantle layer Strong Regionally restricted euxassay_009463_18
TS23: midbrain mantle layer Strong Regionally restricted euxassay_009463_18
TS23: pons Strong Regionally restricted euxassay_009463_18
TS23: rest of cerebellum mantle layer Strong Regionally restricted euxassay_009463_18
TS23: rest of cerebellum marginal layer Strong Regionally restricted euxassay_009463_18
TS23: lower lip Weak Regionally restricted euxassay_009463_18

Specimen euxassay_009463_19: embryonic day 14.5 (more )
Structure Level Pattern Image Note
TS23: trigeminal ganglion Strong Regionally restricted euxassay_009463_19
TS23: facial ganglion Strong Regionally restricted euxassay_009463_19
TS23: telencephalon mantle layer Strong Regionally restricted euxassay_009463_19
TS23: rest of cerebellum marginal layer Strong Regionally restricted euxassay_009463_19
TS23: rest of cerebellum mantle layer Strong Regionally restricted euxassay_009463_19

Specimen euxassay_009463_20: embryonic day 14.5 (more )
Structure Level Pattern Image Note
TS23: trigeminal ganglion Strong Regionally restricted euxassay_009463_20
TS23: facial ganglion Strong Regionally restricted euxassay_009463_20
TS23: telencephalon mantle layer Strong Regionally restricted euxassay_009463_20
TS23: rest of cerebellum mantle layer Strong Regionally restricted euxassay_009463_20


Contributing Projects:
Mouse Genome Database (MGD), Gene Expression Database (GXD), Mouse Models of Human Cancer database (MMHCdb) (formerly Mouse Tumor Biology (MTB)), Gene Ontology (GO)
Citing These Resources
Funding Information
Warranty Disclaimer, Privacy Notice, Licensing, & Copyright
Send questions and comments to User Support.
last database update
01/20/2026
MGI 6.24
The Jackson Laboratory