About   Help   FAQ
Gene Expression Data
Assay Details
Assay
Reference: J:153498 Diez-Roux G, et al., A high-resolution anatomical atlas of the transcriptome in the mouse embryo. PLoS Biol. 2011;9(1):e1000582
Assay type: RNA in situ
MGI Accession ID: MGI:4826657
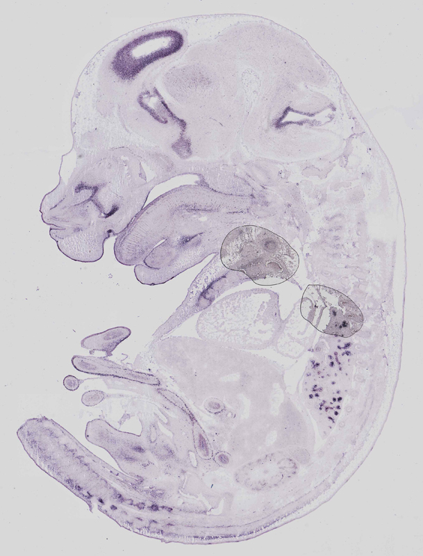
Gene symbol: Nedd9
Gene name: neural precursor cell expressed, developmentally down-regulated gene 9
Probe: MGC clone 60511
Probe preparation: Antisense labelled with digoxigenin RNA
Visualized with: Alkaline phosphatase
Assay notes: Cryosections of fresh frozen material were fixed in 4% paraformaldehyde for 20 min. before further processing. A tyramide-biotin/streptavidin amplification step was included in the in situ hybridization procedure.
Results
Specimen euxassay_006351_01: embryonic day 14.5 (more )
Structure Level Pattern Image Note
TS23: telencephalon ventricular layer Strong Regionally restricted euxassay_006351_01
TS23: pons ventricular layer Strong Regionally restricted euxassay_006351_01
TS23: rest of cerebellum ventricular layer Strong Regionally restricted euxassay_006351_01
TS23: retina Strong Regionally restricted euxassay_006351_01
TS23: stomach Moderate Regionally restricted euxassay_006351_01
TS23: upper arm mesenchyme Strong Regionally restricted euxassay_006351_01
TS23: forearm mesenchyme Strong Regionally restricted euxassay_006351_01
TS23: lower leg mesenchyme Strong Regionally restricted euxassay_006351_01
TS23: upper leg mesenchyme Strong Regionally restricted euxassay_006351_01

Specimen euxassay_006351_02: embryonic day 14.5 (more )
Structure Level Pattern Image Note
TS23: telencephalon ventricular layer Strong Regionally restricted euxassay_006351_02
TS23: pons ventricular layer Strong Regionally restricted euxassay_006351_02
TS23: rest of cerebellum ventricular layer Strong Regionally restricted euxassay_006351_02
TS23: retina Strong Regionally restricted euxassay_006351_02
TS23: stomach Moderate Regionally restricted euxassay_006351_02
TS23: forearm mesenchyme Strong Regionally restricted euxassay_006351_02
TS23: upper arm mesenchyme Strong Regionally restricted euxassay_006351_02
TS23: lower leg mesenchyme Strong Regionally restricted euxassay_006351_02
TS23: upper leg mesenchyme Strong Regionally restricted euxassay_006351_02

Specimen euxassay_006351_03: embryonic day 14.5 (more )
Structure Level Pattern Image Note
TS23: telencephalon ventricular layer Strong Regionally restricted euxassay_006351_03
TS23: pons ventricular layer Strong Regionally restricted euxassay_006351_03
TS23: rest of cerebellum ventricular layer Strong Regionally restricted euxassay_006351_03
TS23: medulla oblongata alar plate ventricular layer Strong Regionally restricted euxassay_006351_03
TS23: retina Strong Regionally restricted euxassay_006351_03
TS23: left lung Strong Regionally restricted euxassay_006351_03
TS23: stomach Moderate Regionally restricted euxassay_006351_03
TS23: forelimb digit 1 mesenchyme Strong Regionally restricted euxassay_006351_03
TS23: forelimb digit 2 mesenchyme Strong Regionally restricted euxassay_006351_03
TS23: forelimb digit 3 mesenchyme Strong Regionally restricted euxassay_006351_03
TS23: foot mesenchyme Strong Regionally restricted euxassay_006351_03
TS23: lower leg mesenchyme Strong Regionally restricted euxassay_006351_03
TS23: upper leg mesenchyme Strong Regionally restricted euxassay_006351_03

Specimen euxassay_006351_04: embryonic day 14.5 (more )
Structure Level Pattern Image Note
TS23: telencephalon ventricular layer Strong Regionally restricted euxassay_006351_04
TS23: midbrain ventricular layer Strong Regionally restricted euxassay_006351_04
TS23: medulla oblongata alar plate ventricular layer Strong Regionally restricted euxassay_006351_04
TS23: rest of cerebellum ventricular layer Strong Regionally restricted euxassay_006351_04
TS23: pons ventricular layer Strong Regionally restricted euxassay_006351_04
TS23: retina Strong Regionally restricted euxassay_006351_04
TS23: vibrissa Strong Regionally restricted euxassay_006351_04
TS23: left lung Strong Regionally restricted euxassay_006351_04
TS23: stomach Moderate Regionally restricted euxassay_006351_04
TS23: renal cortex Moderate Regionally restricted euxassay_006351_04
TS23: forelimb digit 1 mesenchyme Strong Regionally restricted euxassay_006351_04
TS23: forelimb digit 2 mesenchyme Strong Regionally restricted euxassay_006351_04
TS23: forelimb digit 3 mesenchyme Strong Regionally restricted euxassay_006351_04
TS23: hindlimb digit 1 mesenchyme Strong Regionally restricted euxassay_006351_04
TS23: hindlimb digit 2 mesenchyme Strong Regionally restricted euxassay_006351_04
TS23: hindlimb digit 3 mesenchyme Strong Regionally restricted euxassay_006351_04
TS23: hindlimb digit 4 mesenchyme Strong Regionally restricted euxassay_006351_04
TS23: hindlimb digit 5 mesenchyme Strong Regionally restricted euxassay_006351_04
TS23: foot mesenchyme Strong Regionally restricted euxassay_006351_04
TS23: upper leg mesenchyme Strong Regionally restricted euxassay_006351_04

Specimen euxassay_006351_05: embryonic day 14.5 (more )
Structure Level Pattern Image Note
TS23: telencephalon ventricular layer Strong Regionally restricted euxassay_006351_05
TS23: midbrain ventricular layer Strong Regionally restricted euxassay_006351_05
TS23: medulla oblongata alar plate ventricular layer Strong Regionally restricted euxassay_006351_05
TS23: rest of cerebellum ventricular layer Strong Regionally restricted euxassay_006351_05
TS23: pons ventricular layer Strong Regionally restricted euxassay_006351_05
TS23: retina Strong Regionally restricted euxassay_006351_05
TS23: left lung Strong Regionally restricted euxassay_006351_05
TS23: stomach Moderate Regionally restricted euxassay_006351_05
TS23: renal cortex Moderate Regionally restricted euxassay_006351_05
TS23: forelimb digit 1 mesenchyme Strong Regionally restricted euxassay_006351_05
TS23: forelimb digit 2 mesenchyme Strong Regionally restricted euxassay_006351_05
TS23: forelimb digit 3 mesenchyme Strong Regionally restricted euxassay_006351_05
TS23: hindlimb digit 1 mesenchyme Strong Regionally restricted euxassay_006351_05
TS23: hindlimb digit 2 mesenchyme Strong Regionally restricted euxassay_006351_05
TS23: hindlimb digit 3 mesenchyme Strong Regionally restricted euxassay_006351_05
TS23: hindlimb digit 4 mesenchyme Strong Regionally restricted euxassay_006351_05
TS23: hindlimb digit 5 mesenchyme Strong Regionally restricted euxassay_006351_05
TS23: upper leg mesenchyme Strong Regionally restricted euxassay_006351_05

Specimen euxassay_006351_06: embryonic day 14.5 (more )
Structure Level Pattern Image Note
TS23: telencephalon ventricular layer Strong Regionally restricted euxassay_006351_06
TS23: midbrain ventricular layer Strong Regionally restricted euxassay_006351_06
TS23: medulla oblongata alar plate ventricular layer Strong Regionally restricted euxassay_006351_06
TS23: medulla oblongata basal plate ventricular layer Strong Regionally restricted euxassay_006351_06
TS23: rest of cerebellum ventricular layer Strong Regionally restricted euxassay_006351_06
TS23: pons ventricular layer Strong Regionally restricted euxassay_006351_06
TS23: vibrissa Strong Regionally restricted euxassay_006351_06
TS23: left lung Strong Regionally restricted euxassay_006351_06
TS23: stomach Moderate Regionally restricted euxassay_006351_06
TS23: renal calyx Moderate Regionally restricted euxassay_006351_06
TS23: renal pelvis Moderate Regionally restricted euxassay_006351_06
TS23: renal cortex Moderate Regionally restricted euxassay_006351_06
TS23: hindlimb digit 1 mesenchyme Strong Regionally restricted euxassay_006351_06
TS23: hindlimb digit 2 mesenchyme Strong Regionally restricted euxassay_006351_06
TS23: hindlimb digit 3 mesenchyme Strong Regionally restricted euxassay_006351_06
TS23: hindlimb digit 4 mesenchyme Strong Regionally restricted euxassay_006351_06
TS23: hindlimb digit 5 mesenchyme Strong Regionally restricted euxassay_006351_06
TS23: upper leg mesenchyme Strong Regionally restricted euxassay_006351_06

Specimen euxassay_006351_07: embryonic day 14.5 (more )
Structure Level Pattern Image Note
TS23: telencephalon ventricular layer Strong Regionally restricted euxassay_006351_07
TS23: midbrain ventricular layer Strong Regionally restricted euxassay_006351_07
TS23: medulla oblongata alar plate ventricular layer Strong Regionally restricted euxassay_006351_07
TS23: medulla oblongata basal plate ventricular layer Strong Regionally restricted euxassay_006351_07
TS23: rest of cerebellum ventricular layer Strong Regionally restricted euxassay_006351_07
TS23: pons ventricular layer Strong Regionally restricted euxassay_006351_07
TS23: spinal cord ventricular layer Strong Regionally restricted euxassay_006351_07
TS23: vibrissa Strong Regionally restricted euxassay_006351_07
TS23: lower jaw molar Strong Regionally restricted euxassay_006351_07
TS23: upper jaw molar Strong Regionally restricted euxassay_006351_07
TS23: left lung Strong Regionally restricted euxassay_006351_07
TS23: stomach Moderate Regionally restricted euxassay_006351_07
TS23: renal cortex Moderate Regionally restricted euxassay_006351_07
TS23: renal calyx Moderate Regionally restricted euxassay_006351_07

Specimen euxassay_006351_08: embryonic day 14.5 (more )
Structure Level Pattern Image Note
TS23: telencephalon ventricular layer Strong Regionally restricted euxassay_006351_08
TS23: midbrain ventricular layer Strong Regionally restricted euxassay_006351_08
TS23: medulla oblongata basal plate ventricular layer Strong Regionally restricted euxassay_006351_08
TS23: medulla oblongata alar plate ventricular layer Strong Regionally restricted euxassay_006351_08
TS23: rest of cerebellum ventricular layer Strong Regionally restricted euxassay_006351_08
TS23: pons ventricular layer Strong Regionally restricted euxassay_006351_08
TS23: spinal cord ventricular layer Strong Regionally restricted euxassay_006351_08
TS23: vibrissa Strong Regionally restricted euxassay_006351_08
TS23: lower jaw molar Strong Regionally restricted euxassay_006351_08
TS23: upper jaw molar Strong Regionally restricted euxassay_006351_08
TS23: left lung Strong Regionally restricted euxassay_006351_08
TS23: stomach Moderate Regionally restricted euxassay_006351_08
TS23: midgut Moderate Regionally restricted euxassay_006351_08

Specimen euxassay_006351_09: embryonic day 14.5 (more )
Structure Level Pattern Image Note
TS23: telencephalon ventricular layer Strong Regionally restricted euxassay_006351_09
TS23: midbrain ventricular layer Strong Regionally restricted euxassay_006351_09
TS23: medulla oblongata alar plate ventricular layer Strong Regionally restricted euxassay_006351_09
TS23: medulla oblongata basal plate ventricular layer Strong Regionally restricted euxassay_006351_09
TS23: rest of cerebellum ventricular layer Strong Regionally restricted euxassay_006351_09
TS23: pons ventricular layer Strong Regionally restricted euxassay_006351_09
TS23: spinal cord ventricular layer Strong Regionally restricted euxassay_006351_09
TS23: vibrissa Strong Regionally restricted euxassay_006351_09
TS23: left lung Strong Regionally restricted euxassay_006351_09
TS23: midgut Moderate Regionally restricted euxassay_006351_09
TS23: tail mesenchyme Strong Regionally restricted euxassay_006351_09
TS23: aorta Strong Regionally restricted euxassay_006351_09
TS23: thymus primordium Strong Regionally restricted euxassay_006351_09
TS23: thyroid gland Strong Regionally restricted euxassay_006351_09

Specimen euxassay_006351_10: embryonic day 14.5 (more )
Structure Level Pattern Image Note
TS23: diencephalon lateral wall ventricular layer Strong Regionally restricted euxassay_006351_10
TS23: telencephalon ventricular layer Strong Regionally restricted euxassay_006351_10
TS23: midbrain ventricular layer Strong Regionally restricted euxassay_006351_10
TS23: medulla oblongata alar plate ventricular layer Strong Regionally restricted euxassay_006351_10
TS23: medulla oblongata basal plate ventricular layer Strong Regionally restricted euxassay_006351_10
TS23: rest of cerebellum ventricular layer Strong Regionally restricted euxassay_006351_10
TS23: pons ventricular layer Strong Regionally restricted euxassay_006351_10
TS23: spinal cord ventricular layer Strong Regionally restricted euxassay_006351_10
TS23: olfactory epithelium Strong Regionally restricted euxassay_006351_10
TS23: vibrissa Strong Regionally restricted euxassay_006351_10
TS23: left lung Strong Regionally restricted euxassay_006351_10
TS23: midgut Moderate Regionally restricted euxassay_006351_10
TS23: tail mesenchyme Strong Regionally restricted euxassay_006351_10
TS23: thymus primordium Strong Regionally restricted euxassay_006351_10
TS23: sternum Strong Regionally restricted euxassay_006351_10

Specimen euxassay_006351_11: embryonic day 14.5 (more )
Structure Level Pattern Image Note
TS23: diencephalon lateral wall ventricular layer Strong Regionally restricted euxassay_006351_11
TS23: telencephalon ventricular layer Strong Regionally restricted euxassay_006351_11
TS23: midbrain ventricular layer Strong Regionally restricted euxassay_006351_11
TS23: medulla oblongata alar plate ventricular layer Strong Regionally restricted euxassay_006351_11
TS23: rest of cerebellum ventricular layer Strong Regionally restricted euxassay_006351_11
TS23: pons ventricular layer Strong Regionally restricted euxassay_006351_11
TS23: spinal cord ventricular layer Strong Regionally restricted euxassay_006351_11
TS23: olfactory epithelium Strong Regionally restricted euxassay_006351_11
TS23: vibrissa Strong Regionally restricted euxassay_006351_11
TS23: right lung Strong Regionally restricted euxassay_006351_11
TS23: left lung Strong Regionally restricted euxassay_006351_11
TS23: midgut Moderate Regionally restricted euxassay_006351_11
TS23: rectum Moderate Regionally restricted euxassay_006351_11
TS23: tail mesenchyme Strong Regionally restricted euxassay_006351_11
TS23: trachea Strong Regionally restricted euxassay_006351_11
TS23: aorta Strong Regionally restricted euxassay_006351_11
TS23: sternum Strong Regionally restricted euxassay_006351_11

Specimen euxassay_006351_12: embryonic day 14.5 (more )
Structure Level Pattern Image Note
TS23: diencephalon lateral wall ventricular layer Strong Regionally restricted euxassay_006351_12
TS23: telencephalon ventricular layer Strong Regionally restricted euxassay_006351_12
TS23: midbrain ventricular layer Strong Regionally restricted euxassay_006351_12
TS23: medulla oblongata alar plate ventricular layer Strong Regionally restricted euxassay_006351_12
TS23: rest of cerebellum ventricular layer Strong Regionally restricted euxassay_006351_12
TS23: pons ventricular layer Strong Regionally restricted euxassay_006351_12
TS23: olfactory epithelium Strong Regionally restricted euxassay_006351_12
TS23: lower jaw incisor Strong Regionally restricted euxassay_006351_12
TS23: right lung Strong Regionally restricted euxassay_006351_12
TS23: midgut Moderate Regionally restricted euxassay_006351_12
TS23: tail mesenchyme Strong Regionally restricted euxassay_006351_12
TS23: thymus primordium Strong Regionally restricted euxassay_006351_12
TS23: aorta Strong Regionally restricted euxassay_006351_12
TS23: sternum Strong Regionally restricted euxassay_006351_12

Specimen euxassay_006351_13: embryonic day 14.5 (more )
Structure Level Pattern Image Note
TS23: diencephalon lateral wall ventricular layer Strong Regionally restricted euxassay_006351_13
TS23: telencephalon ventricular layer Strong Regionally restricted euxassay_006351_13
TS23: midbrain ventricular layer Strong Regionally restricted euxassay_006351_13
TS23: medulla oblongata alar plate ventricular layer Strong Regionally restricted euxassay_006351_13
TS23: rest of cerebellum ventricular layer Strong Regionally restricted euxassay_006351_13
TS23: pons ventricular layer Strong Regionally restricted euxassay_006351_13
TS23: anterior naris epithelium Strong Regionally restricted euxassay_006351_13
TS23: olfactory epithelium Strong Regionally restricted euxassay_006351_13
TS23: vomeronasal organ Strong Regionally restricted euxassay_006351_13
TS23: lower jaw incisor Strong Regionally restricted euxassay_006351_13
TS23: upper jaw incisor Strong Regionally restricted euxassay_006351_13
TS23: right lung Strong Regionally restricted euxassay_006351_13
TS23: midgut Moderate Regionally restricted euxassay_006351_13
TS23: renal cortex Moderate Regionally restricted euxassay_006351_13
TS23: tail mesenchyme Strong Regionally restricted euxassay_006351_13
TS23: thyroid gland Strong Regionally restricted euxassay_006351_13
TS23: thymus primordium Strong Regionally restricted euxassay_006351_13
TS23: aorta Strong Regionally restricted euxassay_006351_13
TS23: sternum Strong Regionally restricted euxassay_006351_13

Specimen euxassay_006351_14: embryonic day 14.5 (more )
Structure Level Pattern Image Note
TS23: diencephalon lateral wall ventricular layer Strong Regionally restricted euxassay_006351_14
TS23: telencephalon ventricular layer Strong Regionally restricted euxassay_006351_14
TS23: midbrain ventricular layer Strong Regionally restricted euxassay_006351_14
TS23: medulla oblongata alar plate ventricular layer Strong Regionally restricted euxassay_006351_14
TS23: rest of cerebellum ventricular layer Strong Regionally restricted euxassay_006351_14
TS23: pons ventricular layer Strong Regionally restricted euxassay_006351_14
TS23: anterior naris epithelium Strong Regionally restricted euxassay_006351_14
TS23: external naris epithelium Strong Regionally restricted euxassay_006351_14
TS23: olfactory epithelium Strong Regionally restricted euxassay_006351_14
TS23: upper jaw incisor Strong Regionally restricted euxassay_006351_14
TS23: right lung Strong Regionally restricted euxassay_006351_14
TS23: midgut Moderate Regionally restricted euxassay_006351_14
TS23: renal calyx Moderate Regionally restricted euxassay_006351_14
TS23: ureter Moderate Regionally restricted euxassay_006351_14
TS23: renal cortex Moderate Regionally restricted euxassay_006351_14
TS23: tail mesenchyme Strong Regionally restricted euxassay_006351_14
TS23: sternum Strong Regionally restricted euxassay_006351_14

Specimen euxassay_006351_15: embryonic day 14.5 (more )
Structure Level Pattern Image Note
TS23: telencephalon ventricular layer Strong Regionally restricted euxassay_006351_15
TS23: rest of cerebellum ventricular layer Strong Regionally restricted euxassay_006351_15
TS23: pons ventricular layer Strong Regionally restricted euxassay_006351_15
TS23: anterior naris epithelium Strong Regionally restricted euxassay_006351_15
TS23: right lung Strong Regionally restricted euxassay_006351_15
TS23: midgut Moderate Regionally restricted euxassay_006351_15
TS23: renal cortex Moderate Regionally restricted euxassay_006351_15
TS23: tail mesenchyme Strong Regionally restricted euxassay_006351_15

Specimen euxassay_006351_16: embryonic day 14.5 (more )
Structure Level Pattern Image Note
TS23: telencephalon ventricular layer Strong Regionally restricted euxassay_006351_16
TS23: rest of cerebellum ventricular layer Strong Regionally restricted euxassay_006351_16
TS23: pons ventricular layer Strong Regionally restricted euxassay_006351_16
TS23: vomeronasal organ Strong Regionally restricted euxassay_006351_16
TS23: olfactory epithelium Strong Regionally restricted euxassay_006351_16
TS23: lower jaw incisor Strong Regionally restricted euxassay_006351_16
TS23: right lung Strong Regionally restricted euxassay_006351_16
TS23: midgut Moderate Regionally restricted euxassay_006351_16
TS23: renal cortex Moderate Regionally restricted euxassay_006351_16


Contributing Projects:
Mouse Genome Database (MGD), Gene Expression Database (GXD), Mouse Models of Human Cancer database (MMHCdb) (formerly Mouse Tumor Biology (MTB)), Gene Ontology (GO)
Citing These Resources
Funding Information
Warranty Disclaimer, Privacy Notice, Licensing, & Copyright
Send questions and comments to User Support.
last database update
09/30/2025
MGI 6.24
The Jackson Laboratory