About   Help   FAQ
Gene Expression Data
Assay Details
Assay
Reference: J:153498 Diez-Roux G, et al., A high-resolution anatomical atlas of the transcriptome in the mouse embryo. PLoS Biol. 2011;9(1):e1000582
Assay type: RNA in situ
MGI Accession ID: MGI:4826632
Gene symbol: Ndrg1
Gene name: N-myc downstream regulated gene 1
Probe: MGC clone 78211
Probe preparation: Antisense labelled with digoxigenin RNA
Visualized with: Alkaline phosphatase
Assay notes: Cryosections of fresh frozen material were fixed in 4% paraformaldehyde for 20 min. before further processing. A tyramide-biotin/streptavidin amplification step was included in the in situ hybridization procedure.
Results
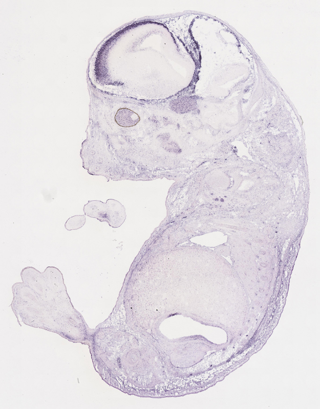
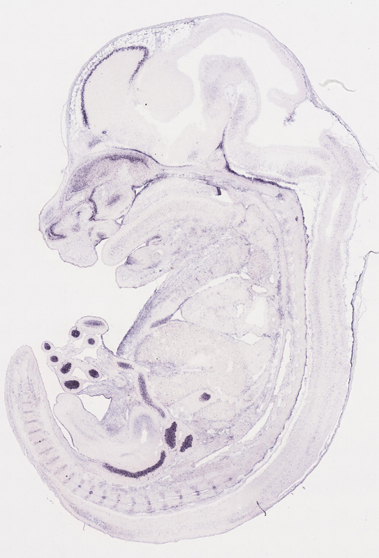
Specimen euxassay_004423_01: embryonic day 14.5 (more )
Structure Level Pattern Image Note
TS23: cerebral cortex marginal layer Strong Regionally restricted euxassay_004423_01
TS23: telencephalon meninges Strong Regionally restricted euxassay_004423_01
TS23: embryo mesenchyme Moderate Regionally restricted euxassay_004423_01

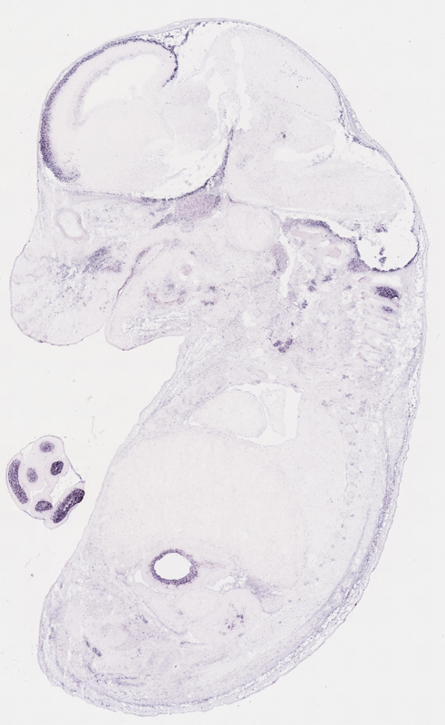
Specimen euxassay_004423_02: embryonic day 14.5 (more )
Structure Level Pattern Image Note
TS23: cerebral cortex marginal layer Strong Regionally restricted euxassay_004423_02
TS23: telencephalon meninges Strong Regionally restricted euxassay_004423_02
TS23: embryo mesenchyme Moderate Regionally restricted euxassay_004423_02

Specimen euxassay_004423_03: embryonic day 14.5 (more )
Structure Level Pattern Image Note
TS23: cerebral cortex marginal layer Strong Regionally restricted euxassay_004423_03
TS23: telencephalon meninges Strong Regionally restricted euxassay_004423_03
TS23: embryo mesenchyme Moderate Regionally restricted euxassay_004423_03

Specimen euxassay_004423_04: embryonic day 14.5 (more )
Structure Level Pattern Image Note
TS23: cerebral cortex marginal layer Strong Regionally restricted euxassay_004423_04
TS23: telencephalon meninges Strong Regionally restricted euxassay_004423_04
TS23: embryo mesenchyme Moderate Regionally restricted euxassay_004423_04

Specimen euxassay_004423_05: embryonic day 14.5 (more )
Structure Level Pattern Image Note
TS23: cerebral cortex marginal layer Strong Regionally restricted euxassay_004423_05
TS23: telencephalon meninges Strong Regionally restricted euxassay_004423_05
TS23: midbrain meninges Strong Regionally restricted euxassay_004423_05
TS23: hindbrain meninges Strong Regionally restricted euxassay_004423_05
TS23: embryo mesenchyme Moderate Regionally restricted euxassay_004423_05

Specimen euxassay_004423_06: embryonic day 14.5 (more )
Structure Level Pattern Image Note
TS23: cerebral cortex marginal layer Strong Regionally restricted euxassay_004423_06
TS23: telencephalon meninges Strong Regionally restricted euxassay_004423_06
TS23: hindbrain meninges Strong Regionally restricted euxassay_004423_06
TS23: midbrain meninges Strong Regionally restricted euxassay_004423_06
TS23: embryo mesenchyme Moderate Regionally restricted euxassay_004423_06
TS23: stomach pyloric region Strong Regionally restricted euxassay_004423_06

Specimen euxassay_004423_07: embryonic day 14.5 (more )
Structure Level Pattern Image Note
TS23: cerebral cortex marginal layer Strong Regionally restricted euxassay_004423_07
TS23: telencephalon meninges Strong Regionally restricted euxassay_004423_07
TS23: midbrain meninges Strong Regionally restricted euxassay_004423_07
TS23: hindbrain meninges Strong Regionally restricted euxassay_004423_07
TS23: diencephalon meninges Strong Regionally restricted euxassay_004423_07
TS23: embryo mesenchyme Moderate Regionally restricted euxassay_004423_07
TS23: stomach pyloric region Strong Regionally restricted euxassay_004423_07
TS23: midgut Strong Regionally restricted euxassay_004423_07
TS23: dorsal root ganglion Moderate Regionally restricted euxassay_004423_07

Specimen euxassay_004423_08: embryonic day 14.5 (more )
Structure Level Pattern Image Note
TS23: cerebral cortex marginal layer Strong Regionally restricted euxassay_004423_08
TS23: telencephalon meninges Strong Regionally restricted euxassay_004423_08
TS23: diencephalon meninges Strong Regionally restricted euxassay_004423_08
TS23: midbrain meninges Strong Regionally restricted euxassay_004423_08
TS23: hindbrain meninges Strong Regionally restricted euxassay_004423_08
TS23: embryo mesenchyme Moderate Regionally restricted euxassay_004423_08
TS23: midgut Strong Regionally restricted euxassay_004423_08
TS23: stomach pyloric region Strong Regionally restricted euxassay_004423_08
TS23: dorsal root ganglion Strong Regionally restricted euxassay_004423_08

Specimen euxassay_004423_09: embryonic day 14.5 (more )
Structure Level Pattern Image Note
TS23: cerebral cortex marginal layer Strong Regionally restricted euxassay_004423_09
TS23: telencephalon meninges Strong Regionally restricted euxassay_004423_09
TS23: midbrain meninges Strong Regionally restricted euxassay_004423_09
TS23: hindbrain meninges Strong Regionally restricted euxassay_004423_09
TS23: diencephalon meninges Strong Regionally restricted euxassay_004423_09
TS23: embryo mesenchyme Moderate Regionally restricted euxassay_004423_09
TS23: stomach pyloric region Strong Regionally restricted euxassay_004423_09
TS23: midgut Strong Regionally restricted euxassay_004423_09
TS23: upper jaw Moderate Regionally restricted euxassay_004423_09
TS23: dorsal root ganglion Moderate Regionally restricted euxassay_004423_09
TS23: mandible Moderate Regionally restricted euxassay_004423_09

Specimen euxassay_004423_10: embryonic day 14.5 (more )
Structure Level Pattern Image Note
TS23: cerebral cortex marginal layer Strong Regionally restricted euxassay_004423_10
TS23: telencephalon meninges Strong Regionally restricted euxassay_004423_10
TS23: diencephalon meninges Strong Regionally restricted euxassay_004423_10
TS23: hindbrain meninges Strong Regionally restricted euxassay_004423_10
TS23: midbrain meninges Strong Regionally restricted euxassay_004423_10
TS23: embryo mesenchyme Moderate Regionally restricted euxassay_004423_10
TS23: stomach pyloric region Strong Regionally restricted euxassay_004423_10
TS23: midgut Strong Regionally restricted euxassay_004423_10
TS23: olfactory epithelium Moderate Regionally restricted euxassay_004423_10
TS23: upper jaw Moderate Regionally restricted euxassay_004423_10
TS23: dorsal root ganglion Moderate Regionally restricted euxassay_004423_10
TS23: mandible Moderate Regionally restricted euxassay_004423_10

Specimen euxassay_004423_11: embryonic day 14.5 (more )
Structure Level Pattern Image Note
TS23: cerebral cortex marginal layer Strong Regionally restricted euxassay_004423_11
TS23: telencephalon meninges Strong Regionally restricted euxassay_004423_11
TS23: diencephalon meninges Strong Regionally restricted euxassay_004423_11
TS23: hindbrain meninges Strong Regionally restricted euxassay_004423_11
TS23: midbrain meninges Strong Regionally restricted euxassay_004423_11
TS23: embryo mesenchyme Moderate Regionally restricted euxassay_004423_11
TS23: stomach pyloric region Strong Regionally restricted euxassay_004423_11
TS23: midgut Strong Regionally restricted euxassay_004423_11
TS23: olfactory epithelium Moderate Regionally restricted euxassay_004423_11
TS23: upper jaw Strong Regionally restricted euxassay_004423_11
TS23: dorsal root ganglion Moderate Regionally restricted euxassay_004423_11
TS23: mandible Moderate Regionally restricted euxassay_004423_11

Specimen euxassay_004423_12: embryonic day 14.5 (more )
Structure Level Pattern Image Note
TS23: cerebral cortex marginal layer Strong Regionally restricted euxassay_004423_12
TS23: telencephalon meninges Strong Regionally restricted euxassay_004423_12
TS23: diencephalon meninges Strong Regionally restricted euxassay_004423_12
TS23: hindbrain meninges Strong Regionally restricted euxassay_004423_12
TS23: midbrain meninges Strong Regionally restricted euxassay_004423_12
TS23: embryo mesenchyme Moderate Regionally restricted euxassay_004423_12
TS23: stomach pyloric region Strong Regionally restricted euxassay_004423_12
TS23: midgut Strong Regionally restricted euxassay_004423_12
TS23: olfactory epithelium Strong Regionally restricted euxassay_004423_12
TS23: external naris Moderate Regionally restricted euxassay_004423_12

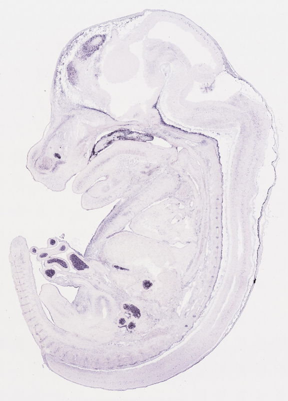
Specimen euxassay_004423_13: embryonic day 14.5 (more )
Structure Level Pattern Image Note
TS23: cerebral cortex marginal layer Strong Regionally restricted euxassay_004423_13
TS23: telencephalon meninges Strong Regionally restricted euxassay_004423_13
TS23: diencephalon meninges Strong Regionally restricted euxassay_004423_13
TS23: hindbrain meninges Strong Regionally restricted euxassay_004423_13
TS23: midbrain meninges Strong Regionally restricted euxassay_004423_13
TS23: embryo mesenchyme Moderate Regionally restricted euxassay_004423_13
TS23: midgut Strong Regionally restricted euxassay_004423_13
TS23: rectum Strong Regionally restricted euxassay_004423_13
TS23: anterior naris Strong Regionally restricted euxassay_004423_13
TS23: nasal septum Strong Regionally restricted euxassay_004423_13
TS23: palatal shelf Strong Regionally restricted euxassay_004423_13

Specimen euxassay_004423_14: embryonic day 14.5 (more )
Structure Level Pattern Image Note
TS23: cerebral cortex marginal layer Strong Regionally restricted euxassay_004423_14
TS23: telencephalon meninges Strong Regionally restricted euxassay_004423_14
TS23: diencephalon meninges Strong Regionally restricted euxassay_004423_14
TS23: hindbrain meninges Strong Regionally restricted euxassay_004423_14
TS23: midbrain meninges Strong Regionally restricted euxassay_004423_14
TS23: embryo mesenchyme Moderate Regionally restricted euxassay_004423_14
TS23: midgut Strong Regionally restricted euxassay_004423_14
TS23: anterior naris Moderate Regionally restricted euxassay_004423_14
TS23: nasal septum Strong Regionally restricted euxassay_004423_14
TS23: palatal shelf Strong Regionally restricted euxassay_004423_14

Specimen euxassay_004423_15: embryonic day 14.5 (more )
Structure Level Pattern Image Note
TS23: cerebral cortex marginal layer Strong Regionally restricted euxassay_004423_15
TS23: telencephalon meninges Strong Regionally restricted euxassay_004423_15
TS23: diencephalon meninges Strong Regionally restricted euxassay_004423_15
TS23: hindbrain meninges Strong Regionally restricted euxassay_004423_15
TS23: midbrain meninges Strong Regionally restricted euxassay_004423_15
TS23: embryo mesenchyme Moderate Regionally restricted euxassay_004423_15
TS23: midgut Strong Regionally restricted euxassay_004423_15
TS23: naris Moderate Regionally restricted euxassay_004423_15
TS23: anterior naris Moderate Regionally restricted euxassay_004423_15
TS23: dorsal root ganglion Moderate Regionally restricted euxassay_004423_15

Specimen euxassay_004423_16: embryonic day 14.5 (more )
Structure Level Pattern Image Note
TS23: cerebral cortex marginal layer Strong Regionally restricted euxassay_004423_16
TS23: telencephalon meninges Strong Regionally restricted euxassay_004423_16
TS23: diencephalon meninges Strong Regionally restricted euxassay_004423_16
TS23: hindbrain meninges Strong Regionally restricted euxassay_004423_16
TS23: midbrain meninges Strong Regionally restricted euxassay_004423_16
TS23: embryo mesenchyme Moderate Regionally restricted euxassay_004423_16
TS23: midgut Strong Regionally restricted euxassay_004423_16
TS23: nasal septum Strong Regionally restricted euxassay_004423_16
TS23: olfactory epithelium Strong Regionally restricted euxassay_004423_16
TS23: anterior naris Moderate Regionally restricted euxassay_004423_16
TS23: dorsal root ganglion Moderate Regionally restricted euxassay_004423_16

Specimen euxassay_004423_17: embryonic day 14.5 (more )
Structure Level Pattern Image Note
TS23: cerebral cortex marginal layer Strong Regionally restricted euxassay_004423_17
TS23: telencephalon meninges Strong Regionally restricted euxassay_004423_17
TS23: diencephalon meninges Strong Regionally restricted euxassay_004423_17
TS23: hindbrain meninges Strong Regionally restricted euxassay_004423_17
TS23: midbrain meninges Strong Regionally restricted euxassay_004423_17
TS23: embryo mesenchyme Moderate Regionally restricted euxassay_004423_17
TS23: midgut Strong Regionally restricted euxassay_004423_17
TS23: olfactory epithelium Strong Regionally restricted euxassay_004423_17
TS23: upper jaw Strong Regionally restricted euxassay_004423_17
TS23: dorsal root ganglion Moderate Regionally restricted euxassay_004423_17
TS23: mandible Moderate Regionally restricted euxassay_004423_17

Specimen euxassay_004423_18: embryonic day 14.5 (more )
Structure Level Pattern Image Note
TS23: cerebral cortex marginal layer Strong Regionally restricted euxassay_004423_18
TS23: telencephalon meninges Strong Regionally restricted euxassay_004423_18
TS23: diencephalon meninges Strong Regionally restricted euxassay_004423_18
TS23: midbrain meninges Strong Regionally restricted euxassay_004423_18
TS23: hindbrain meninges Strong Regionally restricted euxassay_004423_18
TS23: embryo mesenchyme Moderate Regionally restricted euxassay_004423_18
TS23: midgut Strong Regionally restricted euxassay_004423_18
TS23: olfactory epithelium Moderate Regionally restricted euxassay_004423_18
TS23: upper jaw Moderate Regionally restricted euxassay_004423_18
TS23: dorsal root ganglion Moderate Regionally restricted euxassay_004423_18
TS23: mandible Moderate Regionally restricted euxassay_004423_18

Specimen euxassay_004423_19: embryonic day 14.5 (more )
Structure Level Pattern Image Note
TS23: cerebral cortex marginal layer Strong Regionally restricted euxassay_004423_19
TS23: telencephalon meninges Strong Regionally restricted euxassay_004423_19
TS23: diencephalon meninges Strong Regionally restricted euxassay_004423_19
TS23: hindbrain meninges Strong Regionally restricted euxassay_004423_19
TS23: midbrain meninges Strong Regionally restricted euxassay_004423_19
TS23: embryo mesenchyme Moderate Regionally restricted euxassay_004423_19
TS23: midgut Strong Regionally restricted euxassay_004423_19
TS23: olfactory epithelium Moderate Regionally restricted euxassay_004423_19
TS23: dorsal root ganglion Moderate Regionally restricted euxassay_004423_19
TS23: mandible Moderate Regionally restricted euxassay_004423_19

Specimen euxassay_004423_20: embryonic day 14.5 (more )
Structure Level Pattern Image Note
TS23: cerebral cortex marginal layer Strong Regionally restricted euxassay_004423_20
TS23: telencephalon meninges Strong Regionally restricted euxassay_004423_20
TS23: diencephalon meninges Strong Regionally restricted euxassay_004423_20
TS23: midbrain meninges Strong Regionally restricted euxassay_004423_20
TS23: hindbrain meninges Strong Regionally restricted euxassay_004423_20
TS23: embryo mesenchyme Moderate Regionally restricted euxassay_004423_20
TS23: midgut Strong Regionally restricted euxassay_004423_20
TS23: mandible Moderate Regionally restricted euxassay_004423_20

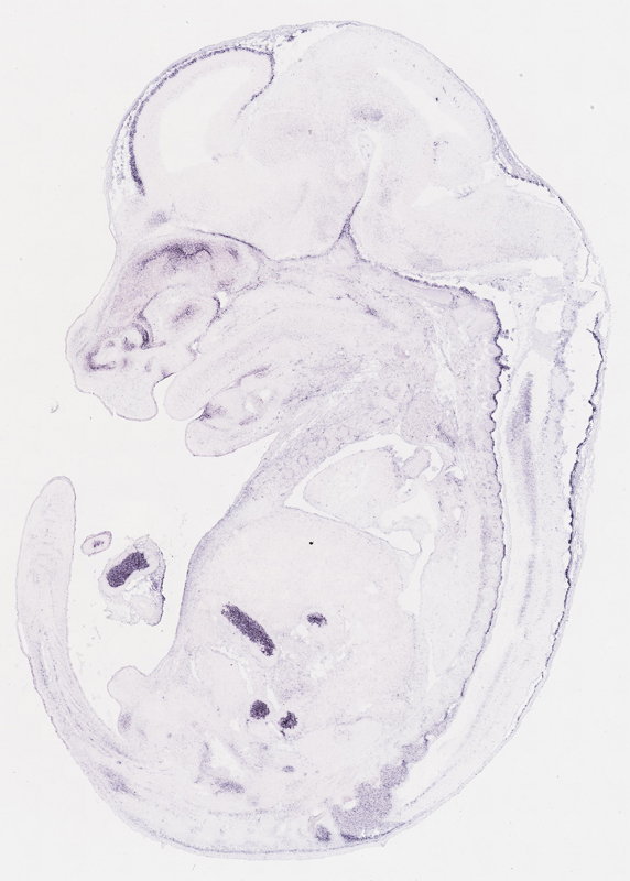
Specimen euxassay_004423_21: embryonic day 14.5 (more )
Structure Level Pattern Image Note
TS23: cerebral cortex marginal layer Strong Regionally restricted euxassay_004423_21
TS23: telencephalon meninges Strong Regionally restricted euxassay_004423_21
TS23: diencephalon meninges Strong Regionally restricted euxassay_004423_21
TS23: hindbrain meninges Strong Regionally restricted euxassay_004423_21
TS23: midbrain meninges Strong Regionally restricted euxassay_004423_21
TS23: embryo mesenchyme Moderate Regionally restricted euxassay_004423_21

Specimen euxassay_004423_22: embryonic day 14.5 (more )
Structure Level Pattern Image Note
TS23: cerebral cortex marginal layer Strong Regionally restricted euxassay_004423_22
TS23: telencephalon meninges Strong Regionally restricted euxassay_004423_22
TS23: midbrain meninges Strong Regionally restricted euxassay_004423_22
TS23: hindbrain meninges Strong Regionally restricted euxassay_004423_22
TS23: embryo mesenchyme Moderate Regionally restricted euxassay_004423_22

Specimen euxassay_004423_23: embryonic day 14.5 (more )
Structure Level Pattern Image Note
TS23: cerebral cortex marginal layer Strong Regionally restricted euxassay_004423_23
TS23: telencephalon meninges Strong Regionally restricted euxassay_004423_23
TS23: midbrain meninges Strong Regionally restricted euxassay_004423_23
TS23: hindbrain meninges Strong Regionally restricted euxassay_004423_23
TS23: embryo mesenchyme Moderate Regionally restricted euxassay_004423_23

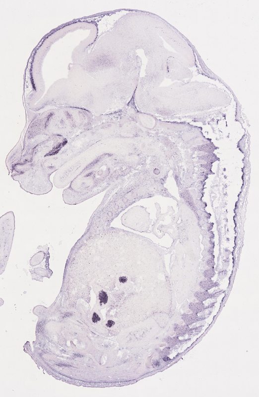
Specimen euxassay_004423_24: embryonic day 14.5 (more )
Structure Level Pattern Image Note
TS23: cerebral cortex marginal layer Strong Regionally restricted euxassay_004423_24
TS23: telencephalon meninges Strong Regionally restricted euxassay_004423_24
TS23: midbrain meninges Strong Regionally restricted euxassay_004423_24
TS23: hindbrain meninges Strong Regionally restricted euxassay_004423_24
TS23: embryo mesenchyme Moderate Regionally restricted euxassay_004423_24


Contributing Projects:
Mouse Genome Database (MGD), Gene Expression Database (GXD), Mouse Models of Human Cancer database (MMHCdb) (formerly Mouse Tumor Biology (MTB)), Gene Ontology (GO)
Citing These Resources
Funding Information
Warranty Disclaimer, Privacy Notice, Licensing, & Copyright
Send questions and comments to User Support.
last database update
12/30/2025
MGI 6.24
The Jackson Laboratory