About   Help   FAQ
Gene Expression Data
Assay Details
Assay
Reference: J:153498 Diez-Roux G, et al., A high-resolution anatomical atlas of the transcriptome in the mouse embryo. PLoS Biol. 2011;9(1):e1000582
Assay type: RNA in situ
MGI Accession ID: MGI:4826612
Gene symbol: Ncapg2
Gene name: non-SMC condensin II complex, subunit G2
Probe: IMAGE clone 721107
Probe preparation: Antisense labelled with digoxigenin RNA
Visualized with: Alkaline phosphatase
Assay notes: Cryosections of fresh frozen material were fixed in 4% paraformaldehyde for 20 min. before further processing. A tyramide-biotin/streptavidin amplification step was included in the in situ hybridization procedure.
Results
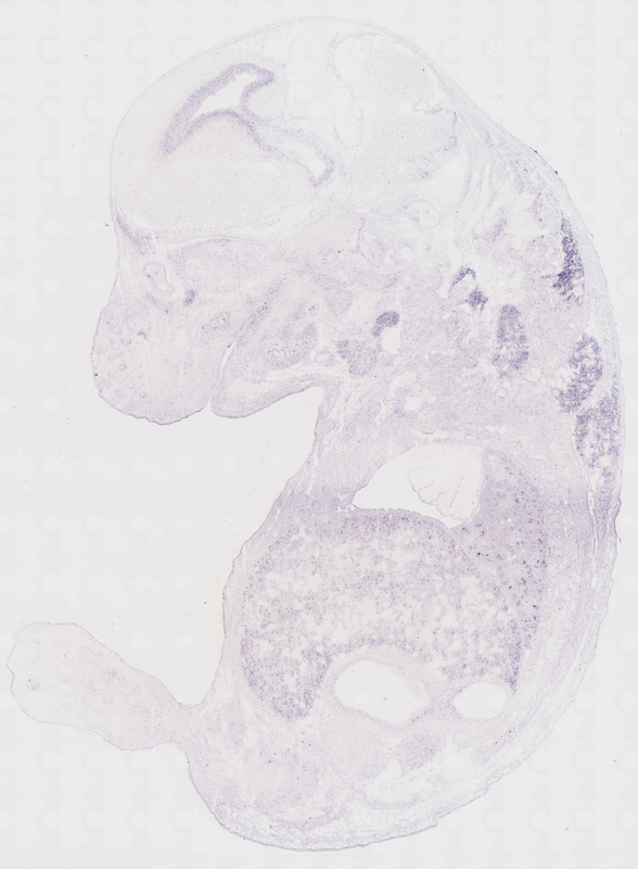
Specimen euxassay_002384_01: embryonic day 14.5 (more )
Structure Level Pattern Image Note
TS23: liver lobe Weak Regionally restricted euxassay_002384_01

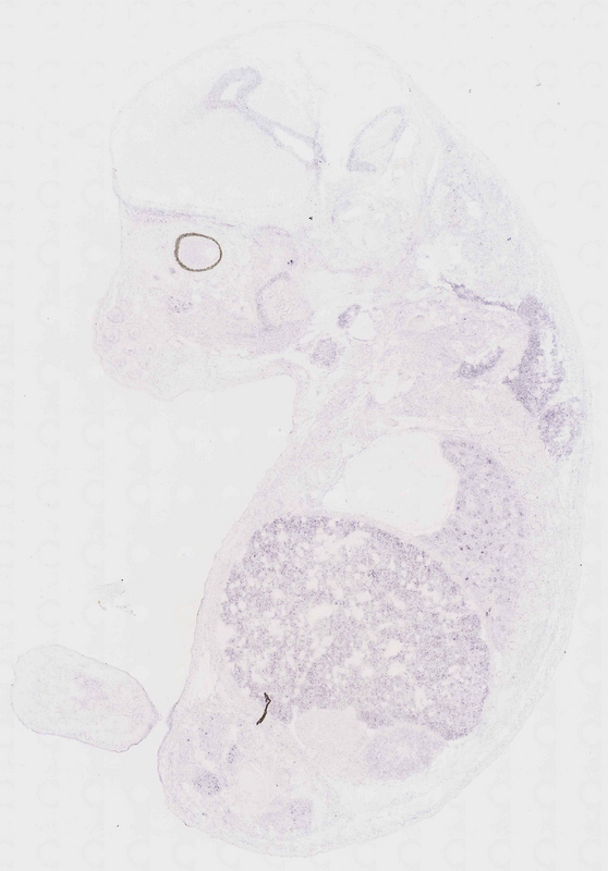
Specimen euxassay_002384_02: embryonic day 14.5 (more )
Structure Level Pattern Image Note
TS23: telencephalon ventricular layer Weak Uniform euxassay_002384_02
TS23: liver lobe Weak Regionally restricted euxassay_002384_02

Specimen euxassay_002384_03: embryonic day 14.5 (more )
Structure Level Pattern Image Note
TS23: axial musculature Moderate Regionally restricted euxassay_002384_03
TS23: telencephalon ventricular layer Weak Uniform euxassay_002384_03
TS23: liver lobe Weak Regionally restricted euxassay_002384_03

Specimen euxassay_002384_04: embryonic day 14.5 (more )
Structure Level Pattern Image Note
TS23: axial musculature Moderate Regionally restricted euxassay_002384_04
TS23: telencephalon ventricular layer Weak Uniform euxassay_002384_04
TS23: liver lobe Weak Regionally restricted euxassay_002384_04

Specimen euxassay_002384_05: embryonic day 14.5 (more )
Structure Level Pattern Image Note
TS23: axial musculature Moderate Regionally restricted euxassay_002384_05
TS23: telencephalon ventricular layer Weak Uniform euxassay_002384_05
TS23: liver lobe Weak Regionally restricted euxassay_002384_05

Specimen euxassay_002384_06: embryonic day 14.5 (more )
Structure Level Pattern Image Note
TS23: axial musculature Moderate Regionally restricted euxassay_002384_06
TS23: telencephalon ventricular layer Weak Uniform euxassay_002384_06
TS23: liver lobe Weak Regionally restricted euxassay_002384_06

Specimen euxassay_002384_07: embryonic day 14.5 (more )
Structure Level Pattern Image Note
TS23: nasal cavity epithelium Moderate Regionally restricted euxassay_002384_07
TS23: olfactory epithelium Moderate Regionally restricted euxassay_002384_07
TS23: axial musculature Moderate Regionally restricted euxassay_002384_07
TS23: telencephalon ventricular layer Moderate Regionally restricted euxassay_002384_07
TS23: liver lobe Weak Regionally restricted euxassay_002384_07

Specimen euxassay_002384_08: embryonic day 14.5 (more )
Structure Level Pattern Image Note
TS23: olfactory epithelium Moderate Regionally restricted euxassay_002384_08
TS23: telencephalon ventricular layer Moderate Regionally restricted euxassay_002384_08
TS23: liver lobe Weak Regionally restricted euxassay_002384_08

Specimen euxassay_002384_09: embryonic day 14.5 (more )
Structure Level Pattern Image Note
TS23: olfactory epithelium Moderate Regionally restricted euxassay_002384_09
TS23: telencephalon ventricular layer Moderate Regionally restricted euxassay_002384_09
TS23: olfactory cortex ventricular layer Moderate Regionally restricted euxassay_002384_09
TS23: liver lobe Weak Regionally restricted euxassay_002384_09

Specimen euxassay_002384_10: embryonic day 14.5 (more )
Structure Level Pattern Image Note
TS23: olfactory epithelium Moderate Regionally restricted euxassay_002384_10
TS23: olfactory cortex ventricular layer Moderate Regionally restricted euxassay_002384_10
TS23: telencephalon ventricular layer Moderate Regionally restricted euxassay_002384_10
TS23: liver lobe Weak Regionally restricted euxassay_002384_10

Specimen euxassay_002384_11: embryonic day 14.5 (more )
Structure Level Pattern Image Note
TS23: olfactory epithelium Strong Regionally restricted euxassay_002384_11
TS23: olfactory cortex ventricular layer Moderate Regionally restricted euxassay_002384_11
TS23: telencephalon ventricular layer Moderate Regionally restricted euxassay_002384_11
TS23: liver lobe Weak Regionally restricted euxassay_002384_11

Specimen euxassay_002384_12: embryonic day 14.5 (more )
Structure Level Pattern Image Note
TS23: olfactory epithelium Strong Regionally restricted euxassay_002384_12
TS23: telencephalon ventricular layer Moderate Regionally restricted euxassay_002384_12
TS23: liver lobe Weak Regionally restricted euxassay_002384_12

Specimen euxassay_002384_13: embryonic day 14.5 (more )
Structure Level Pattern Image Note
TS23: liver lobe Weak Regionally restricted euxassay_002384_13

Specimen euxassay_002384_14: embryonic day 14.5 (more )
Structure Level Pattern Image Note
TS23: olfactory epithelium Strong Regionally restricted euxassay_002384_14
TS23: telencephalon ventricular layer Moderate Regionally restricted euxassay_002384_14
TS23: liver lobe Weak Regionally restricted euxassay_002384_14

Specimen euxassay_002384_15: embryonic day 14.5 (more )
Structure Level Pattern Image Note
TS23: olfactory epithelium Strong Regionally restricted euxassay_002384_15
TS23: telencephalon ventricular layer Moderate Regionally restricted euxassay_002384_15
TS23: olfactory cortex ventricular layer Moderate Regionally restricted euxassay_002384_15
TS23: liver lobe Weak Regionally restricted euxassay_002384_15

Specimen euxassay_002384_16: embryonic day 14.5 (more )
Structure Level Pattern Image Note
TS23: olfactory epithelium Moderate Regionally restricted euxassay_002384_16
TS23: telencephalon ventricular layer Moderate Regionally restricted euxassay_002384_16
TS23: olfactory cortex ventricular layer Moderate Regionally restricted euxassay_002384_16
TS23: liver lobe Weak Regionally restricted euxassay_002384_16

Specimen euxassay_002384_17: embryonic day 14.5 (more )
Structure Level Pattern Image Note
TS23: olfactory epithelium Strong Regionally restricted euxassay_002384_17
TS23: olfactory cortex ventricular layer Moderate Regionally restricted euxassay_002384_17
TS23: telencephalon ventricular layer Moderate Regionally restricted euxassay_002384_17
TS23: liver lobe Weak Regionally restricted euxassay_002384_17

Specimen euxassay_002384_18: embryonic day 14.5 (more )
Structure Level Pattern Image Note
TS23: olfactory epithelium Strong Regionally restricted euxassay_002384_18
TS23: telencephalon ventricular layer Moderate Regionally restricted euxassay_002384_18
TS23: liver lobe Weak Regionally restricted euxassay_002384_18

Specimen euxassay_002384_19: embryonic day 14.5 (more )
Structure Level Pattern Image Note
TS23: telencephalon ventricular layer Moderate Regionally restricted euxassay_002384_19
TS23: liver lobe Weak Regionally restricted euxassay_002384_19

Specimen euxassay_002384_20: embryonic day 14.5 (more )
Structure Level Pattern Image Note
TS23: axial musculature Moderate Regionally restricted euxassay_002384_20
TS23: telencephalon ventricular layer Moderate Regionally restricted euxassay_002384_20
TS23: liver lobe Weak Regionally restricted euxassay_002384_20

Specimen euxassay_002384_21: embryonic day 14.5 (more )
Structure Level Pattern Image Note
TS23: axial musculature Moderate Regionally restricted euxassay_002384_21
TS23: telencephalon ventricular layer Weak Regionally restricted euxassay_002384_21
TS23: liver lobe Weak Regionally restricted euxassay_002384_21

Specimen euxassay_002384_22: embryonic day 14.5 (more )
Structure Level Pattern Image Note
TS23: axial musculature Moderate Regionally restricted euxassay_002384_22
TS23: telencephalon ventricular layer Weak Regionally restricted euxassay_002384_22
TS23: liver lobe Weak Regionally restricted euxassay_002384_22

Specimen euxassay_002384_23: embryonic day 14.5 (more )
Structure Level Pattern Image Note
TS23: axial musculature Moderate Regionally restricted euxassay_002384_23
TS23: telencephalon ventricular layer Weak Regionally restricted euxassay_002384_23
TS23: liver lobe Weak Regionally restricted euxassay_002384_23

Specimen euxassay_002384_24: embryonic day 14.5 (more )
Structure Level Pattern Image Note
TS23: telencephalon ventricular layer Moderate Regionally restricted euxassay_002384_24
TS23: liver lobe Weak Regionally restricted euxassay_002384_24

Specimen euxassay_002384_25: embryonic day 14.5 (more )
Structure Level Pattern Image Note
TS23: liver lobe Weak Regionally restricted euxassay_002384_25

Specimen euxassay_002384_26: embryonic day 14.5 (more )
Structure Level Pattern Image Note
TS23: liver lobe Weak Regionally restricted euxassay_002384_26


Contributing Projects:
Mouse Genome Database (MGD), Gene Expression Database (GXD), Mouse Models of Human Cancer database (MMHCdb) (formerly Mouse Tumor Biology (MTB)), Gene Ontology (GO)
Citing These Resources
Funding Information
Warranty Disclaimer, Privacy Notice, Licensing, & Copyright
Send questions and comments to User Support.
last database update
01/20/2026
MGI 6.24
The Jackson Laboratory