About   Help   FAQ
Gene Expression Data
Assay Details
Assay
Reference: J:153498 Diez-Roux G, et al., A high-resolution anatomical atlas of the transcriptome in the mouse embryo. PLoS Biol. 2011;9(1):e1000582
Assay type: RNA in situ
MGI Accession ID: MGI:4826598
Gene symbol: Narf
Gene name: nuclear prelamin A recognition factor
Probe: MGC clone 27610
Probe preparation: Antisense labelled with digoxigenin RNA
Visualized with: Alkaline phosphatase
Assay notes: Cryosections of fresh frozen material were fixed in 4% paraformaldehyde for 20 min. before further processing. A tyramide-biotin/streptavidin amplification step was included in the in situ hybridization procedure.
Results
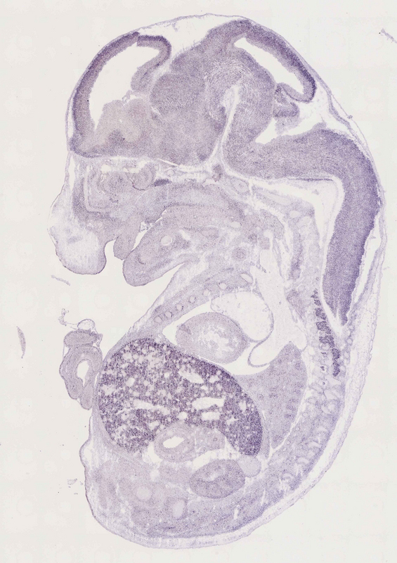
Specimen euxassay_013636_01: embryonic day 14.5 (more )
Structure Level Pattern Image Note
TS23: liver lobe Strong Regionally restricted euxassay_013636_01
TS23: neural retina Strong Regionally restricted euxassay_013636_01
TS23: brain Moderate Uniform euxassay_013636_01

Specimen euxassay_013636_02: embryonic day 14.5 (more )
Structure Level Pattern Image Note
TS23: liver lobe Strong Regionally restricted euxassay_013636_02
TS23: neural retina Strong Regionally restricted euxassay_013636_02
TS23: brain Moderate Uniform euxassay_013636_02

Specimen euxassay_013636_03: embryonic day 14.5 (more )
Structure Level Pattern Image Note
TS23: liver lobe Strong Regionally restricted euxassay_013636_03
TS23: neural retina Strong Regionally restricted euxassay_013636_03
TS23: trigeminal ganglion Moderate Regionally restricted euxassay_013636_03
TS23: brain Moderate Uniform euxassay_013636_03

Specimen euxassay_013636_04: embryonic day 14.5 (more )
Structure Level Pattern Image Note
TS23: liver lobe Strong Regionally restricted euxassay_013636_04
TS23: neural retina Strong Regionally restricted euxassay_013636_04
TS23: trigeminal ganglion Strong Regionally restricted euxassay_013636_04
TS23: facial ganglion Strong Regionally restricted euxassay_013636_04
TS23: brain Moderate Uniform euxassay_013636_04

Specimen euxassay_013636_05: embryonic day 14.5 (more )
Structure Level Pattern Image Note
TS23: liver lobe Strong Regionally restricted euxassay_013636_05
TS23: trigeminal ganglion Strong Regionally restricted euxassay_013636_05
TS23: facial ganglion Strong Regionally restricted euxassay_013636_05
TS23: brain Moderate Uniform euxassay_013636_05

Specimen euxassay_013636_06: embryonic day 14.5 (more )
Structure Level Pattern Image Note
TS23: liver lobe Strong Regionally restricted euxassay_013636_06
TS23: trigeminal ganglion Strong Regionally restricted euxassay_013636_06
TS23: facial ganglion Strong Regionally restricted euxassay_013636_06
TS23: brain Moderate Uniform euxassay_013636_06

Specimen euxassay_013636_07: embryonic day 14.5 (more )
Structure Level Pattern Image Note
TS23: liver lobe Strong Regionally restricted euxassay_013636_07
TS23: trigeminal ganglion Strong Regionally restricted euxassay_013636_07
TS23: vestibulo-cochlear ganglion Strong Regionally restricted euxassay_013636_07
TS23: glossopharyngeal ganglion Strong Regionally restricted euxassay_013636_07
TS23: brain Moderate Uniform euxassay_013636_07

Specimen euxassay_013636_08: embryonic day 14.5 (more )
Structure Level Pattern Image Note
TS23: liver lobe Strong Regionally restricted euxassay_013636_08
TS23: trigeminal ganglion Strong Regionally restricted euxassay_013636_08
TS23: vestibulo-cochlear ganglion Strong Regionally restricted euxassay_013636_08
TS23: glossopharyngeal ganglion Strong Regionally restricted euxassay_013636_08
TS23: brain Moderate Uniform euxassay_013636_08

Specimen euxassay_013636_09: embryonic day 14.5 (more )
Structure Level Pattern Image Note
TS23: liver lobe Strong Regionally restricted euxassay_013636_09
TS23: trigeminal ganglion Strong Regionally restricted euxassay_013636_09
TS23: vestibulo-cochlear ganglion Strong Regionally restricted euxassay_013636_09
TS23: glossopharyngeal ganglion Strong Regionally restricted euxassay_013636_09
TS23: spinal cord Moderate Uniform euxassay_013636_09
TS23: brain Moderate Uniform euxassay_013636_09

Specimen euxassay_013636_10: embryonic day 14.5 (more )
Structure Level Pattern Image Note
TS23: liver lobe Strong Regionally restricted euxassay_013636_10
TS23: trigeminal nerve Strong Regionally restricted euxassay_013636_10
TS23: trigeminal ganglion Strong Regionally restricted euxassay_013636_10
TS23: spinal cord Moderate Uniform euxassay_013636_10
TS23: brain Moderate Uniform euxassay_013636_10

Specimen euxassay_013636_11: embryonic day 14.5 (more )
Structure Level Pattern Image Note
TS23: liver lobe Strong Regionally restricted euxassay_013636_11
TS23: trigeminal nerve Strong Regionally restricted euxassay_013636_11
TS23: spinal cord Moderate Uniform euxassay_013636_11
TS23: brain Moderate Uniform euxassay_013636_11

Specimen euxassay_013636_12: embryonic day 14.5 (more )
Structure Level Pattern Image Note
TS23: liver lobe Strong Regionally restricted euxassay_013636_12
TS23: spinal cord Moderate Uniform euxassay_013636_12
TS23: brain Moderate Uniform euxassay_013636_12

Specimen euxassay_013636_13: embryonic day 14.5 (more )
Structure Level Pattern Image Note
TS23: liver lobe Strong Regionally restricted euxassay_013636_13
TS23: spinal cord Moderate Uniform euxassay_013636_13
TS23: brain Moderate Uniform euxassay_013636_13

Specimen euxassay_013636_14: embryonic day 14.5 (more )
Structure Level Pattern Image Note
TS23: liver lobe Strong Regionally restricted euxassay_013636_14
TS23: brain Moderate Uniform euxassay_013636_14
TS23: spinal cord Moderate Uniform euxassay_013636_14

Specimen euxassay_013636_15: embryonic day 14.5 (more )
Structure Level Pattern Image Note
TS23: liver lobe Strong Regionally restricted euxassay_013636_15
TS23: dorsal root ganglion Strong Regionally restricted euxassay_013636_15
TS23: spinal cord Moderate Uniform euxassay_013636_15
TS23: brain Moderate Uniform euxassay_013636_15

Specimen euxassay_013636_16: embryonic day 14.5 (more )
Structure Level Pattern Image Note
TS23: liver lobe Strong Regionally restricted euxassay_013636_16
TS23: spinal cord Moderate Uniform euxassay_013636_16
TS23: brain Moderate Uniform euxassay_013636_16

Specimen euxassay_013636_17: embryonic day 14.5 (more )
Structure Level Pattern Image Note
TS23: liver lobe Strong Regionally restricted euxassay_013636_17
TS23: dorsal root ganglion Strong Regionally restricted euxassay_013636_17
TS23: spinal cord Moderate Uniform euxassay_013636_17
TS23: brain Moderate Uniform euxassay_013636_17

Specimen euxassay_013636_18: embryonic day 14.5 (more )
Structure Level Pattern Image Note
TS23: liver lobe Strong Regionally restricted euxassay_013636_18
TS23: trigeminal nerve Strong Regionally restricted euxassay_013636_18
TS23: trigeminal ganglion Strong Regionally restricted euxassay_013636_18
TS23: dorsal root ganglion Strong Regionally restricted euxassay_013636_18
TS23: spinal cord Moderate Uniform euxassay_013636_18
TS23: brain Moderate Uniform euxassay_013636_18

Specimen euxassay_013636_19: embryonic day 14.5 (more )
Structure Level Pattern Image Note
TS23: liver lobe Strong Regionally restricted euxassay_013636_19
TS23: glossopharyngeal ganglion Strong Regionally restricted euxassay_013636_19
TS23: trigeminal ganglion Strong Regionally restricted euxassay_013636_19
TS23: vestibulo-cochlear ganglion Strong Regionally restricted euxassay_013636_19
TS23: dorsal root ganglion Strong Regionally restricted euxassay_013636_19
TS23: brain Moderate Uniform euxassay_013636_19
TS23: spinal cord Moderate Uniform euxassay_013636_19

Specimen euxassay_013636_20: embryonic day 14.5 (more )
Structure Level Pattern Image Note
TS23: liver lobe Strong Regionally restricted euxassay_013636_20
TS23: trigeminal ganglion Strong Regionally restricted euxassay_013636_20
TS23: glossopharyngeal ganglion Strong Regionally restricted euxassay_013636_20
TS23: vestibulo-cochlear ganglion Strong Regionally restricted euxassay_013636_20
TS23: facial ganglion Strong Regionally restricted euxassay_013636_20
TS23: dorsal root ganglion Strong Regionally restricted euxassay_013636_20
TS23: brain Moderate Uniform euxassay_013636_20

Specimen euxassay_013636_21: embryonic day 14.5 (more )
Structure Level Pattern Image Note
TS23: liver lobe Strong Regionally restricted euxassay_013636_21
TS23: trigeminal ganglion Strong Regionally restricted euxassay_013636_21
TS23: facial ganglion Strong Regionally restricted euxassay_013636_21
TS23: brain Moderate Uniform euxassay_013636_21

Specimen euxassay_013636_22: embryonic day 14.5 (more )
Structure Level Pattern Image Note
TS23: liver lobe Strong Regionally restricted euxassay_013636_22
TS23: trigeminal ganglion Strong Regionally restricted euxassay_013636_22
TS23: facial ganglion Strong Regionally restricted euxassay_013636_22
TS23: brain Moderate Uniform euxassay_013636_22

Specimen euxassay_013636_23: embryonic day 14.5 (more )
Structure Level Pattern Image Note
TS23: liver lobe Strong Regionally restricted euxassay_013636_23
TS23: trigeminal ganglion Strong Regionally restricted euxassay_013636_23
TS23: facial ganglion Strong Regionally restricted euxassay_013636_23
TS23: brain Moderate Uniform euxassay_013636_23

Specimen euxassay_013636_24: embryonic day 14.5 (more )
Structure Level Pattern Image Note
TS23: liver lobe Strong Regionally restricted euxassay_013636_24
TS23: neural retina Moderate Regionally restricted euxassay_013636_24
TS23: trigeminal ganglion Strong Regionally restricted euxassay_013636_24
TS23: brain Moderate Uniform euxassay_013636_24


Contributing Projects:
Mouse Genome Database (MGD), Gene Expression Database (GXD), Mouse Models of Human Cancer database (MMHCdb) (formerly Mouse Tumor Biology (MTB)), Gene Ontology (GO)
Citing These Resources
Funding Information
Warranty Disclaimer, Privacy Notice, Licensing, & Copyright
Send questions and comments to User Support.
last database update
12/30/2025
MGI 6.24
The Jackson Laboratory