About   Help   FAQ
Gene Expression Data
Assay Details
Assay
Reference: J:153498 Diez-Roux G, et al., A high-resolution anatomical atlas of the transcriptome in the mouse embryo. PLoS Biol. 2011;9(1):e1000582
Assay type: RNA in situ
MGI Accession ID: MGI:4826577
Gene symbol: Phf24
Gene name: PHD finger protein 24
Probe: T63251
Probe preparation: Antisense labelled with digoxigenin RNA
Visualized with: Alkaline phosphatase
Assay notes: Cryosections of fresh frozen material were fixed in 4% paraformaldehyde for 20 min. before further processing. A tyramide-biotin/streptavidin amplification step was included in the in situ hybridization procedure.
Results
Specimen euxassay_015915_01: embryonic day 14.5 (more )
Structure Level Pattern Image Note
TS23: telencephalon mantle layer Weak Regionally restricted euxassay_015915_01

Specimen euxassay_015915_02: embryonic day 14.5 (more )
Structure Level Pattern Image Note
TS23: telencephalon mantle layer Weak Regionally restricted euxassay_015915_02
TS23: neural retina Weak Regionally restricted euxassay_015915_02

Specimen euxassay_015915_03: embryonic day 14.5 (more )
Structure Level Pattern Image Note
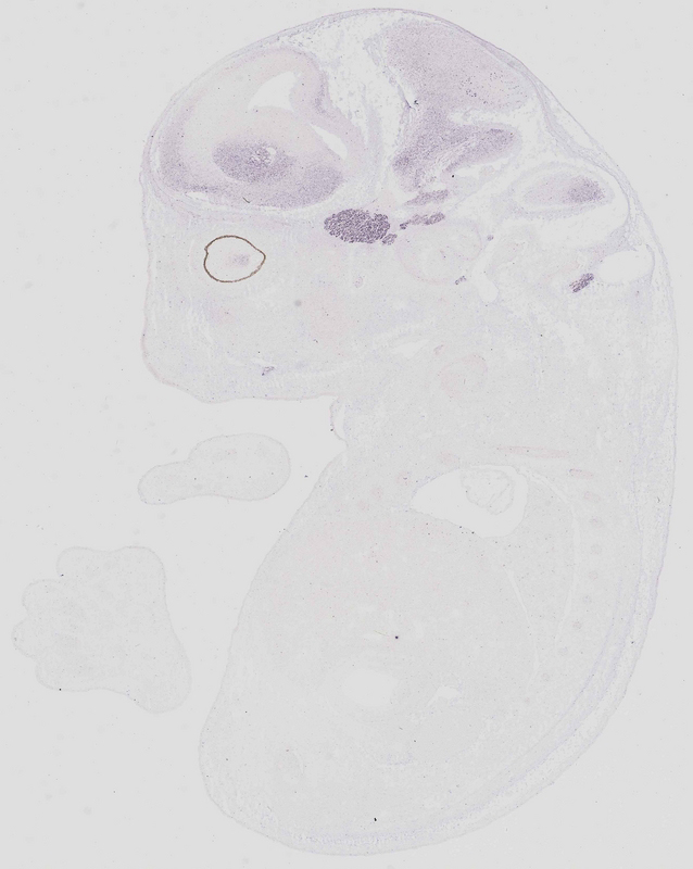
TS23: trigeminal ganglion Moderate Regionally restricted euxassay_015915_03
TS23: neural retina Weak Regionally restricted euxassay_015915_03

Specimen euxassay_015915_04: embryonic day 14.5 (more )
Structure Level Pattern Image Note
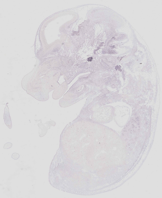
TS23: trigeminal ganglion Moderate Regionally restricted euxassay_015915_04
TS23: facial ganglion Moderate Regionally restricted euxassay_015915_04
TS23: neural retina Weak Regionally restricted euxassay_015915_04

Specimen euxassay_015915_05: embryonic day 14.5 (more )
Structure Level Pattern Image Note
TS23: trigeminal ganglion Moderate Regionally restricted euxassay_015915_05
TS23: facial ganglion Moderate Regionally restricted euxassay_015915_05
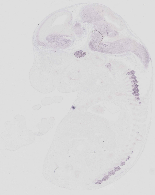
TS23: dorsal root ganglion Strong Regionally restricted euxassay_015915_05
TS23: telencephalon mantle layer Weak Regionally restricted euxassay_015915_05
TS23: midbrain mantle layer Weak Regionally restricted euxassay_015915_05
TS23: rest of cerebellum mantle layer Weak Regionally restricted euxassay_015915_05

Specimen euxassay_015915_06: embryonic day 14.5 (more )
Structure Level Pattern Image Note
TS23: trigeminal ganglion Moderate Regionally restricted euxassay_015915_06
TS23: glossopharyngeal ganglion Moderate Regionally restricted euxassay_015915_06
TS23: dorsal root ganglion Strong Regionally restricted euxassay_015915_06
TS23: midbrain mantle layer Weak Regionally restricted euxassay_015915_06
TS23: telencephalon mantle layer Weak Regionally restricted euxassay_015915_06
TS23: pons mantle layer Weak Regionally restricted euxassay_015915_06
TS23: rest of cerebellum mantle layer Weak Regionally restricted euxassay_015915_06

Specimen euxassay_015915_07: embryonic day 14.5 (more )
Structure Level Pattern Image Note
TS23: trigeminal ganglion Moderate Regionally restricted euxassay_015915_07
TS23: glossopharyngeal ganglion Weak Regionally restricted euxassay_015915_07
TS23: dorsal root ganglion Strong Regionally restricted euxassay_015915_07
TS23: midbrain mantle layer Weak Regionally restricted euxassay_015915_07
TS23: telencephalon mantle layer Weak Regionally restricted euxassay_015915_07
TS23: diencephalon lateral wall mantle layer Weak Regionally restricted euxassay_015915_07
TS23: pons mantle layer Weak Regionally restricted euxassay_015915_07

Specimen euxassay_015915_08: embryonic day 14.5 (more )
Structure Level Pattern Image Note
TS23: trigeminal ganglion Moderate Regionally restricted euxassay_015915_08
TS23: dorsal root ganglion Moderate Regionally restricted euxassay_015915_08

Specimen euxassay_015915_09: embryonic day 14.5 (more )
Structure Level Pattern Image Note
TS23: trigeminal ganglion Moderate Regionally restricted euxassay_015915_09
TS23: dorsal root ganglion Moderate Regionally restricted euxassay_015915_09
TS23: telencephalon mantle layer Weak Regionally restricted euxassay_015915_09
TS23: diencephalon lateral wall mantle layer Weak Regionally restricted euxassay_015915_09
TS23: midbrain mantle layer Weak Regionally restricted euxassay_015915_09
TS23: pons mantle layer Weak Regionally restricted euxassay_015915_09
TS23: medulla oblongata basal plate mantle layer Weak Regionally restricted euxassay_015915_09

Specimen euxassay_015915_10: embryonic day 14.5 (more )
Structure Level Pattern Image Note
TS23: midbrain mantle layer Weak Regionally restricted euxassay_015915_10
TS23: telencephalon mantle layer Weak Regionally restricted euxassay_015915_10
TS23: diencephalon lateral wall mantle layer Weak Regionally restricted euxassay_015915_10
TS23: pons mantle layer Weak Regionally restricted euxassay_015915_10
TS23: medulla oblongata basal plate mantle layer Weak Regionally restricted euxassay_015915_10

Specimen euxassay_015915_11: embryonic day 14.5 (more )
Structure Level Pattern Image Note
TS23: midbrain mantle layer Weak Regionally restricted euxassay_015915_11
TS23: telencephalon mantle layer Weak Regionally restricted euxassay_015915_11
TS23: diencephalon lateral wall mantle layer Weak Regionally restricted euxassay_015915_11
TS23: pons mantle layer Weak Regionally restricted euxassay_015915_11
TS23: medulla oblongata basal plate mantle layer Weak Regionally restricted euxassay_015915_11

Specimen euxassay_015915_12: embryonic day 14.5 (more )
Structure Level Pattern Image Note
TS23: midbrain mantle layer Weak Regionally restricted euxassay_015915_12
TS23: telencephalon mantle layer Weak Regionally restricted euxassay_015915_12
TS23: diencephalon lateral wall mantle layer Weak Regionally restricted euxassay_015915_12
TS23: pons mantle layer Weak Regionally restricted euxassay_015915_12
TS23: medulla oblongata basal plate mantle layer Weak Regionally restricted euxassay_015915_12

Specimen euxassay_015915_13: embryonic day 14.5 (more )
Structure Level Pattern Image Note
TS23: dorsal root ganglion Strong Regionally restricted euxassay_015915_13
TS23: midbrain mantle layer Weak Regionally restricted euxassay_015915_13
TS23: telencephalon mantle layer Weak Regionally restricted euxassay_015915_13
TS23: diencephalon lateral wall mantle layer Weak Regionally restricted euxassay_015915_13
TS23: pons mantle layer Weak Regionally restricted euxassay_015915_13
TS23: rest of cerebellum mantle layer Weak Regionally restricted euxassay_015915_13
TS23: medulla oblongata basal plate mantle layer Weak Regionally restricted euxassay_015915_13
TS23: medulla oblongata alar plate mantle layer Weak Regionally restricted euxassay_015915_13

Specimen euxassay_015915_14: embryonic day 14.5 (more )
Structure Level Pattern Image Note
TS23: dorsal root ganglion Strong Regionally restricted euxassay_015915_14
TS23: midbrain mantle layer Weak Regionally restricted euxassay_015915_14
TS23: telencephalon mantle layer Weak Regionally restricted euxassay_015915_14
TS23: diencephalon lateral wall mantle layer Weak Regionally restricted euxassay_015915_14
TS23: pons mantle layer Weak Regionally restricted euxassay_015915_14
TS23: rest of cerebellum mantle layer Weak Regionally restricted euxassay_015915_14
TS23: medulla oblongata basal plate mantle layer Weak Regionally restricted euxassay_015915_14
TS23: medulla oblongata alar plate mantle layer Weak Regionally restricted euxassay_015915_14

Specimen euxassay_015915_15: embryonic day 14.5 (more )
Structure Level Pattern Image Note
TS23: dorsal root ganglion Strong Regionally restricted euxassay_015915_15
TS23: midbrain mantle layer Weak Regionally restricted euxassay_015915_15
TS23: telencephalon mantle layer Weak Regionally restricted euxassay_015915_15
TS23: diencephalon lateral wall mantle layer Weak Regionally restricted euxassay_015915_15
TS23: pons mantle layer Weak Regionally restricted euxassay_015915_15
TS23: rest of cerebellum mantle layer Weak Regionally restricted euxassay_015915_15
TS23: medulla oblongata basal plate mantle layer Weak Regionally restricted euxassay_015915_15
TS23: medulla oblongata alar plate mantle layer Weak Regionally restricted euxassay_015915_15

Specimen euxassay_015915_16: embryonic day 14.5 (more )
Structure Level Pattern Image Note
TS23: glossopharyngeal ganglion Moderate Regionally restricted euxassay_015915_16
TS23: dorsal root ganglion Moderate Regionally restricted euxassay_015915_16
TS23: midbrain mantle layer Weak Regionally restricted euxassay_015915_16
TS23: telencephalon mantle layer Weak Regionally restricted euxassay_015915_16
TS23: diencephalon lateral wall mantle layer Weak Regionally restricted euxassay_015915_16
TS23: medulla oblongata alar plate mantle layer Weak Regionally restricted euxassay_015915_16
TS23: pons mantle layer Weak Regionally restricted euxassay_015915_16
TS23: rest of cerebellum mantle layer Weak Regionally restricted euxassay_015915_16

Specimen euxassay_015915_17: embryonic day 14.5 (more )
Structure Level Pattern Image Note
TS23: glossopharyngeal ganglion Moderate Regionally restricted euxassay_015915_17
TS23: trigeminal ganglion Moderate Regionally restricted euxassay_015915_17
TS23: midbrain mantle layer Weak Regionally restricted euxassay_015915_17
TS23: telencephalon mantle layer Weak Regionally restricted euxassay_015915_17
TS23: diencephalon lateral wall mantle layer Weak Regionally restricted euxassay_015915_17
TS23: rest of cerebellum mantle layer Weak Regionally restricted euxassay_015915_17
TS23: pons mantle layer Weak Regionally restricted euxassay_015915_17
TS23: medulla oblongata alar plate mantle layer Weak Regionally restricted euxassay_015915_17

Specimen euxassay_015915_18: embryonic day 14.5 (more )
Structure Level Pattern Image Note
TS23: glossopharyngeal ganglion Moderate Regionally restricted euxassay_015915_18
TS23: trigeminal ganglion Moderate Regionally restricted euxassay_015915_18
TS23: telencephalon mantle layer Weak Regionally restricted euxassay_015915_18
TS23: diencephalon lateral wall mantle layer Weak Regionally restricted euxassay_015915_18
TS23: rest of cerebellum mantle layer Weak Regionally restricted euxassay_015915_18

Specimen euxassay_015915_19: embryonic day 14.5 (more )
Structure Level Pattern Image Note
TS23: trigeminal ganglion Moderate Regionally restricted euxassay_015915_19
TS23: telencephalon mantle layer Weak Regionally restricted euxassay_015915_19
TS23: rest of cerebellum mantle layer Weak Regionally restricted euxassay_015915_19

Specimen euxassay_015915_20: embryonic day 14.5 (more )
Structure Level Pattern Image Note
TS23: trigeminal ganglion Moderate Regionally restricted euxassay_015915_20
TS23: telencephalon mantle layer Weak Regionally restricted euxassay_015915_20

Specimen euxassay_015915_21: embryonic day 14.5 (more )
Structure Level Pattern Image Note
TS23: trigeminal ganglion Moderate Regionally restricted euxassay_015915_21
TS23: facial ganglion Moderate Regionally restricted euxassay_015915_21
TS23: telencephalon mantle layer Weak Regionally restricted euxassay_015915_21

Specimen euxassay_015915_22: embryonic day 14.5 (more )
Structure Level Pattern Image Note
TS23: trigeminal ganglion Moderate Regionally restricted euxassay_015915_22
TS23: telencephalon mantle layer Weak Regionally restricted euxassay_015915_22

Specimen euxassay_015915_23: embryonic day 14.5 (more )
Structure Level Pattern Image Note
TS23: telencephalon mantle layer Weak Regionally restricted euxassay_015915_23

Specimen euxassay_015915_24: embryonic day 14.5 (more )
Structure Level Pattern Image Note
TS23: telencephalon mantle layer Weak Regionally restricted euxassay_015915_24
TS23: neural retina Weak Regionally restricted euxassay_015915_24


Contributing Projects:
Mouse Genome Database (MGD), Gene Expression Database (GXD), Mouse Models of Human Cancer database (MMHCdb) (formerly Mouse Tumor Biology (MTB)), Gene Ontology (GO)
Citing These Resources
Funding Information
Warranty Disclaimer, Privacy Notice, Licensing, & Copyright
Send questions and comments to User Support.
last database update
01/20/2026
MGI 6.24
The Jackson Laboratory