About   Help   FAQ
Gene Expression Data
Assay Details
Assay
Reference: J:153498 Diez-Roux G, et al., A high-resolution anatomical atlas of the transcriptome in the mouse embryo. PLoS Biol. 2011;9(1):e1000582
Assay type: RNA in situ
MGI Accession ID: MGI:4826572
Gene symbol: Myoz1
Gene name: myozenin 1
Probe: MGC clone 30677
Probe preparation: Antisense labelled with digoxigenin RNA
Visualized with: Alkaline phosphatase
Assay notes: Cryosections of fresh frozen material were fixed in 4% paraformaldehyde for 20 min. before further processing. A tyramide-biotin/streptavidin amplification step was included in the in situ hybridization procedure.
Results
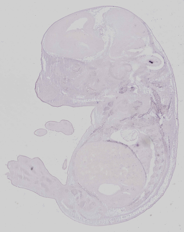
Specimen euxassay_004885_01: embryonic day 14.5 (more )
Structure Level Pattern Image Note
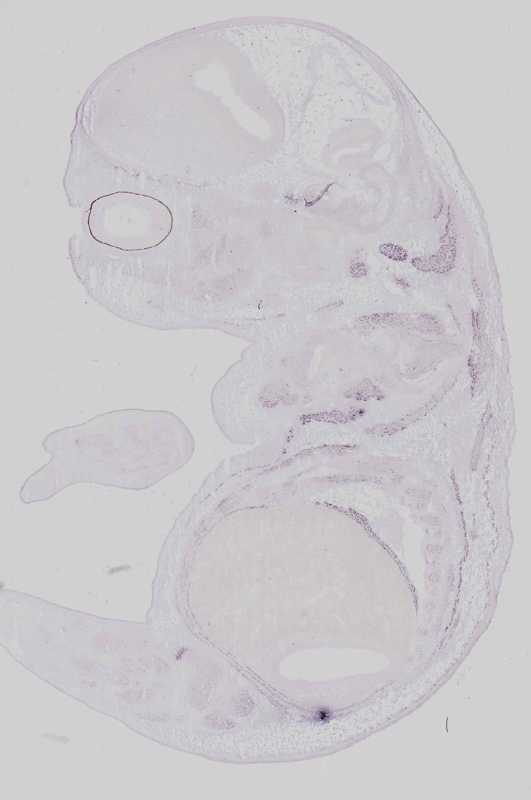
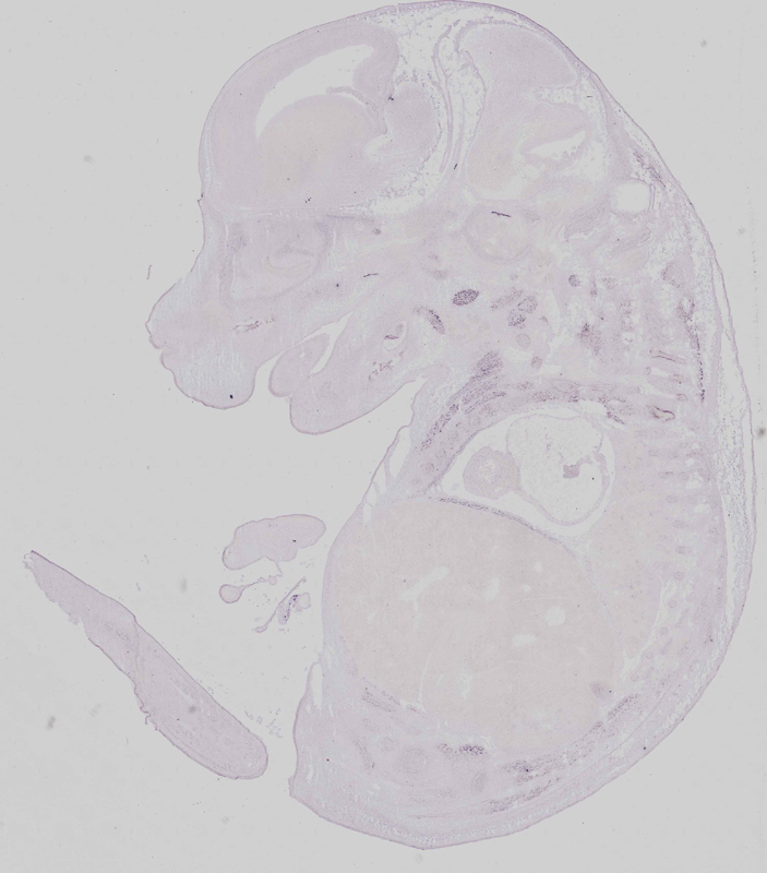
TS23: vertebral axis musculature Moderate Regionally restricted euxassay_004885_01

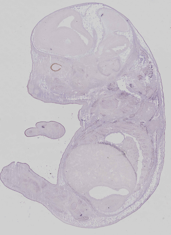
Specimen euxassay_004885_02: embryonic day 14.5 (more )
Structure Level Pattern Image Note
TS23: vertebral axis musculature Moderate Regionally restricted euxassay_004885_02
TS23: diaphragm Moderate Regionally restricted euxassay_004885_02

Specimen euxassay_004885_03: embryonic day 14.5 (more )
Structure Level Pattern Image Note
TS23: vertebral axis musculature Moderate Regionally restricted euxassay_004885_03
TS23: diaphragm Moderate Regionally restricted euxassay_004885_03

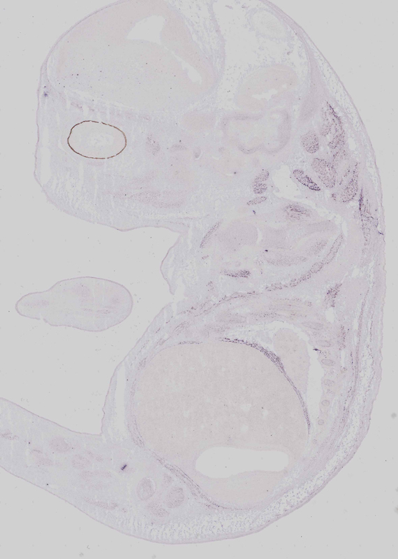
Specimen euxassay_004885_04: embryonic day 14.5 (more )
Structure Level Pattern Image Note
TS23: vertebral axis musculature Moderate Regionally restricted euxassay_004885_04
TS23: diaphragm Moderate Regionally restricted euxassay_004885_04

Specimen euxassay_004885_05: embryonic day 14.5 (more )
Structure Level Pattern Image Note
TS23: vertebral axis musculature Moderate Regionally restricted euxassay_004885_05
TS23: diaphragm Moderate Regionally restricted euxassay_004885_05

Specimen euxassay_004885_06: embryonic day 14.5 (more )
Structure Level Pattern Image Note
TS23: vertebral axis musculature Moderate Regionally restricted euxassay_004885_06
TS23: diaphragm Moderate Regionally restricted euxassay_004885_06

Specimen euxassay_004885_07: embryonic day 14.5 (more )
Structure Level Pattern Image Note
TS23: vertebral axis musculature Moderate Regionally restricted euxassay_004885_07
TS23: diaphragm Moderate Regionally restricted euxassay_004885_07

Specimen euxassay_004885_08: embryonic day 14.5 (more )
Structure Level Pattern Image Note
TS23: vertebral axis musculature Moderate Regionally restricted euxassay_004885_08
TS23: diaphragm Moderate Regionally restricted euxassay_004885_08

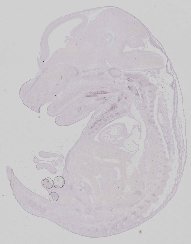
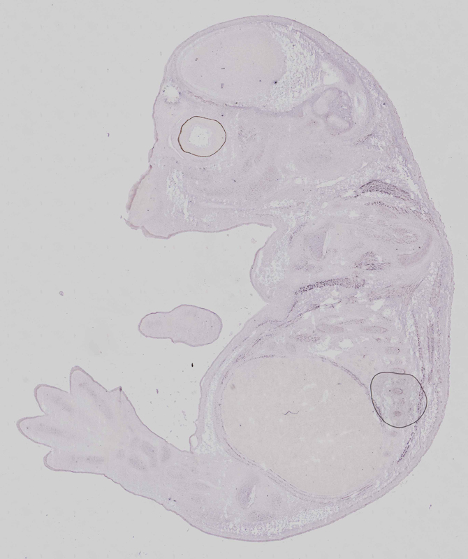
Specimen euxassay_004885_11: embryonic day 14.5 (more )
Structure Level Pattern Image Note
TS23: vertebral axis musculature Moderate Regionally restricted euxassay_004885_11

Specimen euxassay_004885_12: embryonic day 14.5 (more )
Structure Level Pattern Image Note
TS23: vertebral axis musculature Moderate Regionally restricted euxassay_004885_12

Specimen euxassay_004885_13: embryonic day 14.5 (more )
Structure Level Pattern Image Note
TS23: vertebral axis musculature Moderate Regionally restricted euxassay_004885_13

Specimen euxassay_004885_14: embryonic day 14.5 (more )
Structure Level Pattern Image Note
TS23: vertebral axis musculature Moderate Regionally restricted euxassay_004885_14

Specimen euxassay_004885_15: embryonic day 14.5 (more )
Structure Level Pattern Image Note
TS23: vertebral axis musculature Moderate Regionally restricted euxassay_004885_15

Specimen euxassay_004885_16: embryonic day 14.5 (more )
Structure Level Pattern Image Note
TS23: vertebral axis musculature Moderate Regionally restricted euxassay_004885_16

Specimen euxassay_004885_17: embryonic day 14.5 (more )
Structure Level Pattern Image Note
TS23: vertebral axis musculature Moderate Regionally restricted euxassay_004885_17

Specimen euxassay_004885_18: embryonic day 14.5 (more )
Structure Level Pattern Image Note
TS23: vertebral axis musculature Moderate Regionally restricted euxassay_004885_18
TS23: diaphragm Moderate Regionally restricted euxassay_004885_18

Specimen euxassay_004885_19: embryonic day 14.5 (more )
Structure Level Pattern Image Note
TS23: vertebral axis musculature Moderate Regionally restricted euxassay_004885_19
TS23: diaphragm Moderate Regionally restricted euxassay_004885_19

Specimen euxassay_004885_20: embryonic day 14.5 (more )
Structure Level Pattern Image Note
TS23: vertebral axis musculature Moderate Regionally restricted euxassay_004885_20
TS23: diaphragm Moderate Regionally restricted euxassay_004885_20

Specimen euxassay_004885_21: embryonic day 14.5 (more )
Structure Level Pattern Image Note
TS23: vertebral axis musculature Moderate Regionally restricted euxassay_004885_21
TS23: diaphragm Moderate Regionally restricted euxassay_004885_21

Specimen euxassay_004885_22: embryonic day 14.5 (more )
Structure Level Pattern Image Note
TS23: vertebral axis musculature Moderate Regionally restricted euxassay_004885_22
TS23: diaphragm Moderate Regionally restricted euxassay_004885_22

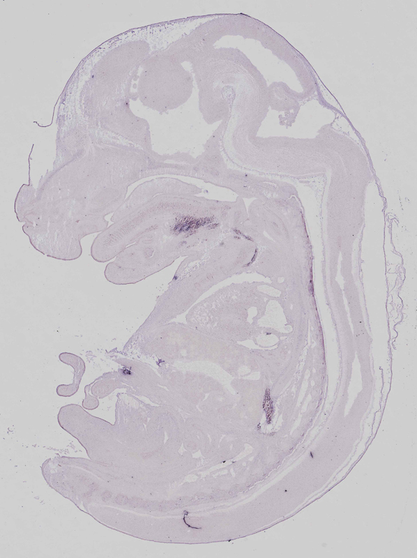
Specimen euxassay_004885_23: embryonic day 14.5 (more )
Structure Level Pattern Image Note
TS23: vertebral axis musculature Moderate Regionally restricted euxassay_004885_23
TS23: diaphragm Weak Regionally restricted euxassay_004885_23

Specimen euxassay_004885_24: embryonic day 14.5 (more )
Structure Level Pattern Image Note
TS23: vertebral axis musculature Moderate Regionally restricted euxassay_004885_24
TS23: diaphragm Weak Regionally restricted euxassay_004885_24

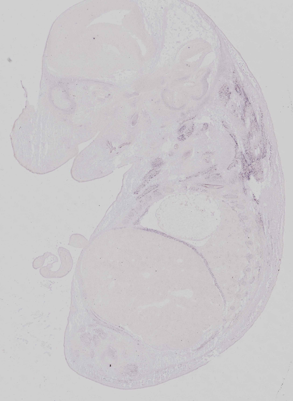
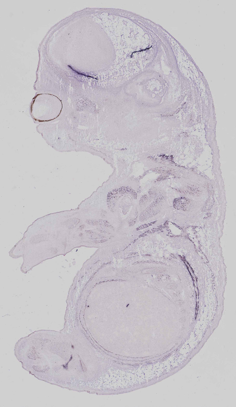
Specimen euxassay_004885_25: embryonic day 14.5 (more )
Structure Level Pattern Image Note
TS23: vertebral axis musculature Moderate Regionally restricted euxassay_004885_25

Specimen euxassay_004885_26: embryonic day 14.5 (more )
Structure Level Pattern Image Note
TS23: vertebral axis musculature Moderate Regionally restricted euxassay_004885_26

Specimen euxassay_004885_27: embryonic day 14.5 (more )
Structure Level Pattern Image Note
TS23: vertebral axis musculature Moderate Regionally restricted euxassay_004885_27


Contributing Projects:
Mouse Genome Database (MGD), Gene Expression Database (GXD), Mouse Models of Human Cancer database (MMHCdb) (formerly Mouse Tumor Biology (MTB)), Gene Ontology (GO)
Citing These Resources
Funding Information
Warranty Disclaimer, Privacy Notice, Licensing, & Copyright
Send questions and comments to User Support.
last database update
01/28/2026
MGI 6.24
The Jackson Laboratory