About   Help   FAQ
Gene Expression Data
Assay Details
Assay
Reference: J:153498 Diez-Roux G, et al., A high-resolution anatomical atlas of the transcriptome in the mouse embryo. PLoS Biol. 2011;9(1):e1000582
Assay type: RNA in situ
MGI Accession ID: MGI:4826569
Gene symbol: Myod1
Gene name: myogenic differentiation 1
Probe: IMAGE clone 1499265
Probe preparation: Antisense labelled with digoxigenin RNA
Visualized with: Alkaline phosphatase
Assay notes: Cryosections of fresh frozen material were fixed in 4% paraformaldehyde for 20 min. before further processing. A tyramide-biotin/streptavidin amplification step was included in the in situ hybridization procedure.
Results
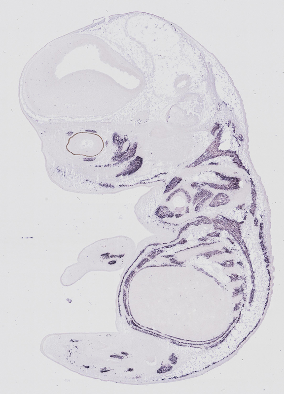
Specimen euxassay_006193_01: embryonic day 14.5 (more )
Structure Level Pattern Image Note
TS23: vertebral axis musculature Strong Regionally restricted euxassay_006193_01
TS23: diaphragm Strong Regionally restricted euxassay_006193_01
TS23: hand mesenchyme Strong Regionally restricted euxassay_006193_01
TS23: lower leg mesenchyme Strong Regionally restricted euxassay_006193_01

Specimen euxassay_006193_02: embryonic day 14.5 (more )
Structure Level Pattern Image Note
TS23: diaphragm Strong Regionally restricted euxassay_006193_02
TS23: vertebral axis musculature Strong Regionally restricted euxassay_006193_02
TS23: hand mesenchyme Strong Regionally restricted euxassay_006193_02
TS23: lower leg mesenchyme Strong Regionally restricted euxassay_006193_02
TS23: upper leg mesenchyme Strong Regionally restricted euxassay_006193_02

Specimen euxassay_006193_03: embryonic day 14.5 (more )
Structure Level Pattern Image Note
TS23: diaphragm Strong Regionally restricted euxassay_006193_03
TS23: vertebral axis musculature Strong Regionally restricted euxassay_006193_03
TS23: foot mesenchyme Strong Regionally restricted euxassay_006193_03
TS23: hand mesenchyme Strong Regionally restricted euxassay_006193_03
TS23: upper leg mesenchyme Strong Regionally restricted euxassay_006193_03
TS23: lower leg mesenchyme Strong Regionally restricted euxassay_006193_03

Specimen euxassay_006193_04: embryonic day 14.5 (more )
Structure Level Pattern Image Note
TS23: diaphragm Strong Regionally restricted euxassay_006193_04
TS23: vertebral axis musculature Strong Regionally restricted euxassay_006193_04
TS23: upper leg mesenchyme Strong Regionally restricted euxassay_006193_04
TS23: foot mesenchyme Strong Regionally restricted euxassay_006193_04
TS23: hand mesenchyme Strong Regionally restricted euxassay_006193_04

Specimen euxassay_006193_05: embryonic day 14.5 (more )
Structure Level Pattern Image Note
TS23: diaphragm Strong Regionally restricted euxassay_006193_05
TS23: vertebral axis musculature Strong Regionally restricted euxassay_006193_05
TS23: foot mesenchyme Strong Regionally restricted euxassay_006193_05
TS23: upper leg mesenchyme Strong Regionally restricted euxassay_006193_05

Specimen euxassay_006193_06: embryonic day 14.5 (more )
Structure Level Pattern Image Note
TS23: diaphragm Strong Regionally restricted euxassay_006193_06
TS23: vertebral axis musculature Strong Regionally restricted euxassay_006193_06
TS23: upper leg mesenchyme Strong Regionally restricted euxassay_006193_06

Specimen euxassay_006193_07: embryonic day 14.5 (more )
Structure Level Pattern Image Note
TS23: diaphragm Strong Regionally restricted euxassay_006193_07
TS23: vertebral axis musculature Strong Regionally restricted euxassay_006193_07
TS23: tail paraxial mesenchyme Strong Regionally restricted euxassay_006193_07
TS23: upper leg mesenchyme Strong Regionally restricted euxassay_006193_07

Specimen euxassay_006193_08: embryonic day 14.5 (more )
Structure Level Pattern Image Note
TS23: diaphragm Strong Regionally restricted euxassay_006193_08
TS23: vertebral axis musculature Strong Regionally restricted euxassay_006193_08
TS23: tail paraxial mesenchyme Strong Regionally restricted euxassay_006193_08

Specimen euxassay_006193_09: embryonic day 14.5 (more )
Structure Level Pattern Image Note
TS23: diaphragm Strong Regionally restricted euxassay_006193_09
TS23: vertebral axis musculature Strong Regionally restricted euxassay_006193_09
TS23: tongue muscle Strong Regionally restricted euxassay_006193_09
TS23: tail paraxial mesenchyme Strong Regionally restricted euxassay_006193_09

Specimen euxassay_006193_10: embryonic day 14.5 (more )
Structure Level Pattern Image Note
TS23: diaphragm Strong Regionally restricted euxassay_006193_10
TS23: vertebral axis musculature Strong Regionally restricted euxassay_006193_10
TS23: tongue muscle Strong Regionally restricted euxassay_006193_10
TS23: tail paraxial mesenchyme Strong Regionally restricted euxassay_006193_10

Specimen euxassay_006193_11: embryonic day 14.5 (more )
Structure Level Pattern Image Note
TS23: diaphragm Strong Regionally restricted euxassay_006193_11
TS23: vertebral axis musculature Strong Regionally restricted euxassay_006193_11
TS23: tongue muscle Strong Regionally restricted euxassay_006193_11
TS23: tail paraxial mesenchyme Strong Regionally restricted euxassay_006193_11

Specimen euxassay_006193_12: embryonic day 14.5 (more )
Structure Level Pattern Image Note
TS23: diaphragm Strong Regionally restricted euxassay_006193_12
TS23: vertebral axis musculature Strong Regionally restricted euxassay_006193_12
TS23: tongue muscle Strong Regionally restricted euxassay_006193_12
TS23: tail paraxial mesenchyme Strong Regionally restricted euxassay_006193_12

Specimen euxassay_006193_13: embryonic day 14.5 (more )
Structure Level Pattern Image Note
TS23: diaphragm Strong Regionally restricted euxassay_006193_13
TS23: vertebral axis musculature Strong Regionally restricted euxassay_006193_13
TS23: tongue muscle Strong Regionally restricted euxassay_006193_13
TS23: tail paraxial mesenchyme Strong Regionally restricted euxassay_006193_13

Specimen euxassay_006193_14: embryonic day 14.5 (more )
Structure Level Pattern Image Note
TS23: diaphragm Strong Regionally restricted euxassay_006193_14
TS23: vertebral axis musculature Strong Regionally restricted euxassay_006193_14
TS23: tongue muscle Strong Regionally restricted euxassay_006193_14
TS23: tail paraxial mesenchyme Strong Regionally restricted euxassay_006193_14

Specimen euxassay_006193_15: embryonic day 14.5 (more )
Structure Level Pattern Image Note
TS23: diaphragm Strong Regionally restricted euxassay_006193_15
TS23: vertebral axis musculature Strong Regionally restricted euxassay_006193_15
TS23: tail paraxial mesenchyme Strong Regionally restricted euxassay_006193_15

Specimen euxassay_006193_16: embryonic day 14.5 (more )
Structure Level Pattern Image Note
TS23: diaphragm Strong Regionally restricted euxassay_006193_16
TS23: vertebral axis musculature Strong Regionally restricted euxassay_006193_16

Specimen euxassay_006193_17: embryonic day 14.5 (more )
Structure Level Pattern Image Note
TS23: diaphragm Strong Regionally restricted euxassay_006193_17
TS23: vertebral axis musculature Strong Regionally restricted euxassay_006193_17
TS23: foot mesenchyme Strong Regionally restricted euxassay_006193_17

Specimen euxassay_006193_18: embryonic day 14.5 (more )
Structure Level Pattern Image Note
TS23: diaphragm Strong Regionally restricted euxassay_006193_18
TS23: vertebral axis musculature Strong Regionally restricted euxassay_006193_18
TS23: upper leg mesenchyme Strong Regionally restricted euxassay_006193_18
TS23: foot mesenchyme Strong Regionally restricted euxassay_006193_18

Specimen euxassay_006193_19: embryonic day 14.5 (more )
Structure Level Pattern Image Note
TS23: diaphragm Strong Regionally restricted euxassay_006193_19
TS23: vertebral axis musculature Strong Regionally restricted euxassay_006193_19
TS23: upper leg mesenchyme Strong Regionally restricted euxassay_006193_19
TS23: foot mesenchyme Strong Regionally restricted euxassay_006193_19

Specimen euxassay_006193_20: embryonic day 14.5 (more )
Structure Level Pattern Image Note
TS23: diaphragm Strong Regionally restricted euxassay_006193_20
TS23: vertebral axis musculature Strong Regionally restricted euxassay_006193_20
TS23: upper leg mesenchyme Strong Regionally restricted euxassay_006193_20
TS23: lower leg mesenchyme Strong Regionally restricted euxassay_006193_20

Specimen euxassay_006193_21: embryonic day 14.5 (more )
Structure Level Pattern Image Note
TS23: diaphragm Strong Regionally restricted euxassay_006193_21
TS23: vertebral axis musculature Strong Regionally restricted euxassay_006193_21
TS23: upper arm mesenchyme Strong Regionally restricted euxassay_006193_21
TS23: hand mesenchyme Strong Regionally restricted euxassay_006193_21
TS23: lower leg mesenchyme Strong Regionally restricted euxassay_006193_21
TS23: upper leg mesenchyme Strong Regionally restricted euxassay_006193_21

Specimen euxassay_006193_22: embryonic day 14.5 (more )
Structure Level Pattern Image Note
TS23: diaphragm Strong Regionally restricted euxassay_006193_22
TS23: vertebral axis musculature Strong Regionally restricted euxassay_006193_22
TS23: lower leg mesenchyme Strong Regionally restricted euxassay_006193_22
TS23: upper leg mesenchyme Strong Regionally restricted euxassay_006193_22
TS23: upper arm mesenchyme Strong Regionally restricted euxassay_006193_22
TS23: hand mesenchyme Strong Regionally restricted euxassay_006193_22

Specimen euxassay_006193_23: embryonic day 14.5 (more )
Structure Level Pattern Image Note
TS23: diaphragm Strong Regionally restricted euxassay_006193_23
TS23: vertebral axis musculature Strong Regionally restricted euxassay_006193_23
TS23: forearm mesenchyme Strong Regionally restricted euxassay_006193_23
TS23: upper arm mesenchyme Strong Regionally restricted euxassay_006193_23
TS23: hand mesenchyme Strong Regionally restricted euxassay_006193_23
TS23: lower leg mesenchyme Strong Regionally restricted euxassay_006193_23

Specimen euxassay_006193_24: embryonic day 14.5 (more )
Structure Level Pattern Image Note
TS23: diaphragm Strong Regionally restricted euxassay_006193_24
TS23: vertebral axis musculature Strong Regionally restricted euxassay_006193_24
TS23: upper leg mesenchyme Strong Regionally restricted euxassay_006193_24
TS23: hand mesenchyme Strong Regionally restricted euxassay_006193_24
TS23: upper arm mesenchyme Strong Regionally restricted euxassay_006193_24
TS23: forearm mesenchyme Strong Regionally restricted euxassay_006193_24


Contributing Projects:
Mouse Genome Database (MGD), Gene Expression Database (GXD), Mouse Models of Human Cancer database (MMHCdb) (formerly Mouse Tumor Biology (MTB)), Gene Ontology (GO)
Citing These Resources
Funding Information
Warranty Disclaimer, Privacy Notice, Licensing, & Copyright
Send questions and comments to User Support.
last database update
01/28/2026
MGI 6.24
The Jackson Laboratory