About   Help   FAQ
Gene Expression Data
Assay Details
Assay
Reference: J:153498 Diez-Roux G, et al., A high-resolution anatomical atlas of the transcriptome in the mouse embryo. PLoS Biol. 2011;9(1):e1000582
Assay type: RNA in situ
MGI Accession ID: MGI:4826554
Gene symbol: Mylk3
Gene name: myosin light chain kinase 3
Probe: T36252
Probe preparation: Antisense labelled with digoxigenin RNA
Visualized with: Alkaline phosphatase
Assay notes: Cryosections of fresh frozen material were fixed in 4% paraformaldehyde for 20 min. before further processing. A tyramide-biotin/streptavidin amplification step was included in the in situ hybridization procedure.
Results
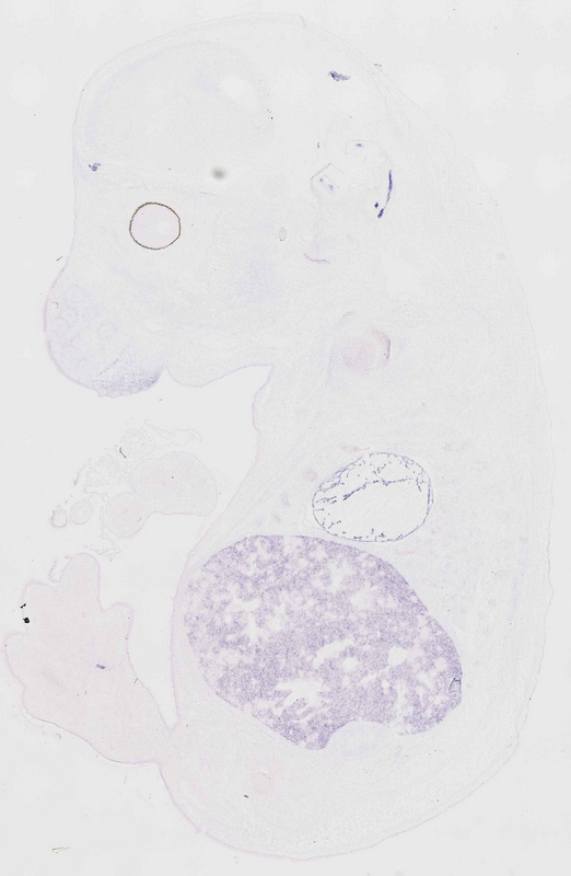
Specimen euxassay_010990_01: embryonic day 14.5 (more )
Structure Level Pattern Image Note
TS23: liver Moderate Regionally restricted euxassay_010990_01
TS23: inner ear Moderate Regionally restricted euxassay_010990_01

Specimen euxassay_010990_02: embryonic day 14.5 (more )
Structure Level Pattern Image Note
TS23: liver Moderate Regionally restricted euxassay_010990_02
TS23: inner ear Moderate Regionally restricted euxassay_010990_02

Specimen euxassay_010990_03: embryonic day 14.5 (more )
Structure Level Pattern Image Note
TS23: liver Moderate Regionally restricted euxassay_010990_03
TS23: inner ear Moderate Regionally restricted euxassay_010990_03

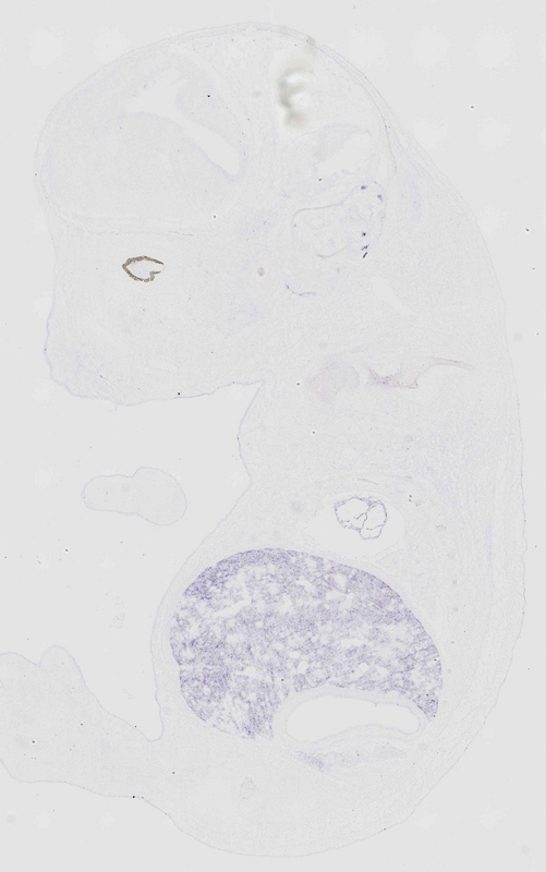
Specimen euxassay_010990_04: embryonic day 14.5 (more )
Structure Level Pattern Image Note
TS23: liver Moderate Regionally restricted euxassay_010990_04
TS23: heart atrium Moderate Regionally restricted euxassay_010990_04
TS23: inner ear Moderate Regionally restricted euxassay_010990_04

Specimen euxassay_010990_05: embryonic day 14.5 (more )
Structure Level Pattern Image Note
TS23: liver Moderate Regionally restricted euxassay_010990_05
TS23: heart atrium Moderate Regionally restricted euxassay_010990_05
TS23: inner ear Moderate Regionally restricted euxassay_010990_05

Specimen euxassay_010990_06: embryonic day 14.5 (more )
Structure Level Pattern Image Note
TS23: liver Moderate Regionally restricted euxassay_010990_06
TS23: heart atrium Moderate Regionally restricted euxassay_010990_06
TS23: heart ventricle Moderate Regionally restricted euxassay_010990_06
TS23: inner ear Moderate Regionally restricted euxassay_010990_06

Specimen euxassay_010990_07: embryonic day 14.5 (more )
Structure Level Pattern Image Note
TS23: liver Moderate Regionally restricted euxassay_010990_07
TS23: heart atrium Moderate Regionally restricted euxassay_010990_07
TS23: heart ventricle Moderate Regionally restricted euxassay_010990_07

Specimen euxassay_010990_08: embryonic day 14.5 (more )
Structure Level Pattern Image Note
TS23: liver Moderate Regionally restricted euxassay_010990_08
TS23: heart atrium Moderate Regionally restricted euxassay_010990_08
TS23: heart ventricle Moderate Regionally restricted euxassay_010990_08

Specimen euxassay_010990_09: embryonic day 14.5 (more )
Structure Level Pattern Image Note
TS23: liver Moderate Regionally restricted euxassay_010990_09
TS23: heart atrium Moderate Regionally restricted euxassay_010990_09
TS23: heart ventricle Moderate Regionally restricted euxassay_010990_09

Specimen euxassay_010990_10: embryonic day 14.5 (more )
Structure Level Pattern Image Note
TS23: liver Moderate Regionally restricted euxassay_010990_10
TS23: heart atrium Moderate Regionally restricted euxassay_010990_10
TS23: heart ventricle Moderate Regionally restricted euxassay_010990_10

Specimen euxassay_010990_11: embryonic day 14.5 (more )
Structure Level Pattern Image Note
TS23: liver Moderate Regionally restricted euxassay_010990_11
TS23: heart atrium Moderate Regionally restricted euxassay_010990_11
TS23: heart ventricle Moderate Regionally restricted euxassay_010990_11

Specimen euxassay_010990_12: embryonic day 14.5 (more )
Structure Level Pattern Image Note
TS23: liver Moderate Regionally restricted euxassay_010990_12
TS23: heart atrium Moderate Regionally restricted euxassay_010990_12
TS23: heart ventricle Moderate Regionally restricted euxassay_010990_12

Specimen euxassay_010990_13: embryonic day 14.5 (more )
Structure Level Pattern Image Note
TS23: liver Moderate Regionally restricted euxassay_010990_13
TS23: heart atrium Moderate Regionally restricted euxassay_010990_13
TS23: heart ventricle Moderate Regionally restricted euxassay_010990_13

Specimen euxassay_010990_14: embryonic day 14.5 (more )
Structure Level Pattern Image Note
TS23: liver Moderate Regionally restricted euxassay_010990_14
TS23: heart atrium Moderate Regionally restricted euxassay_010990_14
TS23: heart ventricle Moderate Regionally restricted euxassay_010990_14

Specimen euxassay_010990_15: embryonic day 14.5 (more )
Structure Level Pattern Image Note
TS23: liver Moderate Regionally restricted euxassay_010990_15
TS23: heart atrium Moderate Regionally restricted euxassay_010990_15
TS23: heart ventricle Moderate Regionally restricted euxassay_010990_15

Specimen euxassay_010990_16: embryonic day 14.5 (more )
Structure Level Pattern Image Note
TS23: liver Moderate Regionally restricted euxassay_010990_16
TS23: heart atrium Moderate Regionally restricted euxassay_010990_16
TS23: heart ventricle Moderate Regionally restricted euxassay_010990_16

Specimen euxassay_010990_17: embryonic day 14.5 (more )
Structure Level Pattern Image Note
TS23: liver Moderate Regionally restricted euxassay_010990_17
TS23: heart atrium Moderate Regionally restricted euxassay_010990_17
TS23: heart ventricle Moderate Regionally restricted euxassay_010990_17

Specimen euxassay_010990_18: embryonic day 14.5 (more )
Structure Level Pattern Image Note
TS23: liver Moderate Regionally restricted euxassay_010990_18
TS23: heart ventricle Moderate Regionally restricted euxassay_010990_18
TS23: heart atrium Moderate Regionally restricted euxassay_010990_18

Specimen euxassay_010990_19: embryonic day 14.5 (more )
Structure Level Pattern Image Note
TS23: liver Moderate Regionally restricted euxassay_010990_19
TS23: heart atrium Moderate Regionally restricted euxassay_010990_19

Specimen euxassay_010990_20: embryonic day 14.5 (more )
Structure Level Pattern Image Note
TS23: liver Moderate Regionally restricted euxassay_010990_20
TS23: heart atrium Moderate Regionally restricted euxassay_010990_20

Specimen euxassay_010990_21: embryonic day 14.5 (more )
Structure Level Pattern Image Note
TS23: liver Moderate Regionally restricted euxassay_010990_21
TS23: heart atrium Moderate Regionally restricted euxassay_010990_21
TS23: inner ear Moderate Regionally restricted euxassay_010990_21

Specimen euxassay_010990_22: embryonic day 14.5 (more )
Structure Level Pattern Image Note
TS23: liver Moderate Regionally restricted euxassay_010990_22
TS23: heart atrium Moderate Regionally restricted euxassay_010990_22
TS23: inner ear Moderate Regionally restricted euxassay_010990_22

Specimen euxassay_010990_23: embryonic day 14.5 (more )
Structure Level Pattern Image Note
TS23: liver Moderate Regionally restricted euxassay_010990_23
TS23: heart atrium Moderate Regionally restricted euxassay_010990_23
TS23: inner ear Moderate Regionally restricted euxassay_010990_23

Specimen euxassay_010990_24: embryonic day 14.5 (more )
Structure Level Pattern Image Note
TS23: liver Moderate Regionally restricted euxassay_010990_24
TS23: heart atrium Moderate Regionally restricted euxassay_010990_24
TS23: inner ear Moderate Regionally restricted euxassay_010990_24


Contributing Projects:
Mouse Genome Database (MGD), Gene Expression Database (GXD), Mouse Models of Human Cancer database (MMHCdb) (formerly Mouse Tumor Biology (MTB)), Gene Ontology (GO)
Citing These Resources
Funding Information
Warranty Disclaimer, Privacy Notice, Licensing, & Copyright
Send questions and comments to User Support.
last database update
01/20/2026
MGI 6.24
The Jackson Laboratory