About   Help   FAQ
Gene Expression Data
Assay Details
Assay
Reference: J:153498 Diez-Roux G, et al., A high-resolution anatomical atlas of the transcriptome in the mouse embryo. PLoS Biol. 2011;9(1):e1000582
Assay type: RNA in situ
MGI Accession ID: MGI:4826552
Gene symbol: Myl7
Gene name: myosin, light polypeptide 7, regulatory
Probe: MGC clone 74218
Probe preparation: Antisense labelled with digoxigenin RNA
Visualized with: Alkaline phosphatase
Assay notes: Cryosections of fresh frozen material were fixed in 4% paraformaldehyde for 20 min. before further processing. A tyramide-biotin/streptavidin amplification step was included in the in situ hybridization procedure.
Results
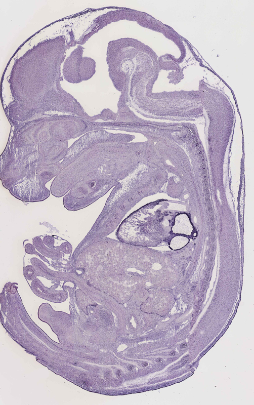
Specimen euxassay_006977_03: embryonic day 14.5 (more )
Structure Level Pattern Image Note
TS23: left atrium Strong Regionally restricted euxassay_006977_03

Specimen euxassay_006977_04: embryonic day 14.5 (more )
Structure Level Pattern Image Note
TS23: left atrium Strong Regionally restricted euxassay_006977_04

Specimen euxassay_006977_05: embryonic day 14.5 (more )
Structure Level Pattern Image Note
TS23: left atrium Strong Regionally restricted euxassay_006977_05

Specimen euxassay_006977_06: embryonic day 14.5 (more )
Structure Level Pattern Image Note
TS23: left atrium Strong Regionally restricted euxassay_006977_06

Specimen euxassay_006977_07: embryonic day 14.5 (more )
Structure Level Pattern Image Note
TS23: left atrium Strong Regionally restricted euxassay_006977_07

Specimen euxassay_006977_08: embryonic day 14.5 (more )
Structure Level Pattern Image Note
TS23: left atrium Strong Regionally restricted euxassay_006977_08

Specimen euxassay_006977_09: embryonic day 14.5 (more )
Structure Level Pattern Image Note
TS23: left atrium Strong Regionally restricted euxassay_006977_09

Specimen euxassay_006977_10: embryonic day 14.5 (more )
Structure Level Pattern Image Note
TS23: left atrium Strong Regionally restricted euxassay_006977_10
TS23: right atrium Strong Regionally restricted euxassay_006977_10

Specimen euxassay_006977_11: embryonic day 14.5 (more )
Structure Level Pattern Image Note
TS23: right atrium Strong Regionally restricted euxassay_006977_11

Specimen euxassay_006977_12: embryonic day 14.5 (more )
Structure Level Pattern Image Note
TS23: right atrium Strong Regionally restricted euxassay_006977_12

Specimen euxassay_006977_13: embryonic day 14.5 (more )
Structure Level Pattern Image Note
TS23: right atrium Strong Regionally restricted euxassay_006977_13

Specimen euxassay_006977_14: embryonic day 14.5 (more )
Structure Level Pattern Image Note
TS23: right atrium Strong Regionally restricted euxassay_006977_14

Specimen euxassay_006977_15: embryonic day 14.5 (more )
Structure Level Pattern Image Note
TS23: right atrium Strong Regionally restricted euxassay_006977_15

Specimen euxassay_006977_16: embryonic day 14.5 (more )
Structure Level Pattern Image Note
TS23: right atrium Strong Regionally restricted euxassay_006977_16

Specimen euxassay_006977_17: embryonic day 14.5 (more )
Structure Level Pattern Image Note
TS23: right atrium Strong Regionally restricted euxassay_006977_17

Specimen euxassay_006977_18: embryonic day 14.5 (more )
Structure Level Pattern Image Note
TS23: right atrium Strong Regionally restricted euxassay_006977_18

Specimen euxassay_006977_19: embryonic day 14.5 (more )
Structure Level Pattern Image Note
TS23: right atrium Strong Regionally restricted euxassay_006977_19

Specimen euxassay_006977_20: embryonic day 14.5 (more )
Structure Level Pattern Image Note
TS23: right atrium Strong Regionally restricted euxassay_006977_20

Specimen euxassay_006977_21: embryonic day 14.5 (more )
Structure Level Pattern Image Note
TS23: right atrium Strong Regionally restricted euxassay_006977_21

Specimen euxassay_006977_22: embryonic day 14.5 (more )
Structure Level Pattern Image Note
TS23: right atrium Strong Regionally restricted euxassay_006977_22


Contributing Projects:
Mouse Genome Database (MGD), Gene Expression Database (GXD), Mouse Models of Human Cancer database (MMHCdb) (formerly Mouse Tumor Biology (MTB)), Gene Ontology (GO)
Citing These Resources
Funding Information
Warranty Disclaimer, Privacy Notice, Licensing, & Copyright
Send questions and comments to User Support.
last database update
01/28/2026
MGI 6.24
The Jackson Laboratory