About   Help   FAQ
Gene Expression Data
Assay Details
Assay
Reference: J:153498 Diez-Roux G, et al., A high-resolution anatomical atlas of the transcriptome in the mouse embryo. PLoS Biol. 2011;9(1):e1000582
Assay type: RNA in situ
MGI Accession ID: MGI:4826539
Gene symbol: Myf6
Gene name: myogenic factor 6
Probe: T35493
Probe preparation: Antisense labelled with digoxigenin RNA
Visualized with: Alkaline phosphatase
Assay notes: Cryosections of fresh frozen material were fixed in 4% paraformaldehyde for 20 min. before further processing. A tyramide-biotin/streptavidin amplification step was included in the in situ hybridization procedure.
Results
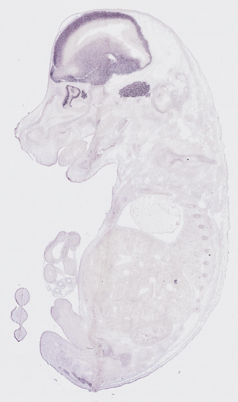
Specimen euxassay_008954_01: embryonic day 14.5 (more )
Structure Level Pattern Image Note
TS23: brain Strong Regionally restricted euxassay_008954_01

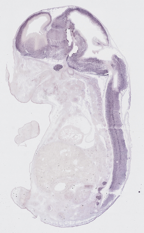
Specimen euxassay_008954_02: embryonic day 14.5 (more )
Structure Level Pattern Image Note
TS23: brain Strong Regionally restricted euxassay_008954_02
TS23: neural retina Strong Regionally restricted euxassay_008954_02

Specimen euxassay_008954_03: embryonic day 14.5 (more )
Structure Level Pattern Image Note
TS23: brain Strong Regionally restricted euxassay_008954_03
TS23: neural retina Strong Regionally restricted euxassay_008954_03
TS23: trigeminal ganglion Strong Regionally restricted euxassay_008954_03
TS23: facial ganglion Strong Regionally restricted euxassay_008954_03

Specimen euxassay_008954_04: embryonic day 14.5 (more )
Structure Level Pattern Image Note
TS23: brain Strong Regionally restricted euxassay_008954_04
TS23: neural retina Strong Regionally restricted euxassay_008954_04
TS23: trigeminal ganglion Strong Regionally restricted euxassay_008954_04
TS23: facial ganglion Strong Regionally restricted euxassay_008954_04

Specimen euxassay_008954_05: embryonic day 14.5 (more )
Structure Level Pattern Image Note
TS23: brain Strong Regionally restricted euxassay_008954_05
TS23: spinal cord Strong Regionally restricted euxassay_008954_05
TS23: neural retina Strong Regionally restricted euxassay_008954_05
TS23: trigeminal ganglion Strong Regionally restricted euxassay_008954_05
TS23: vestibulo-cochlear ganglion Strong Regionally restricted euxassay_008954_05
TS23: dorsal root ganglion Strong Regionally restricted euxassay_008954_05

Specimen euxassay_008954_06: embryonic day 14.5 (more )
Structure Level Pattern Image Note
TS23: brain Strong Regionally restricted euxassay_008954_06
TS23: spinal cord Strong Regionally restricted euxassay_008954_06
TS23: trigeminal ganglion Strong Regionally restricted euxassay_008954_06
TS23: vagus ganglion Strong Regionally restricted euxassay_008954_06
TS23: glossopharyngeal ganglion Strong Regionally restricted euxassay_008954_06
TS23: vestibulo-cochlear ganglion Moderate Regionally restricted euxassay_008954_06
TS23: dorsal root ganglion Strong Regionally restricted euxassay_008954_06

Specimen euxassay_008954_07: embryonic day 14.5 (more )
Structure Level Pattern Image Note
TS23: brain Strong Regionally restricted euxassay_008954_07
TS23: spinal cord Strong Regionally restricted euxassay_008954_07
TS23: vagus ganglion Strong Regionally restricted euxassay_008954_07
TS23: trigeminal ganglion Strong Regionally restricted euxassay_008954_07
TS23: dorsal root ganglion Strong Regionally restricted euxassay_008954_07
TS23: cervical ganglion Moderate Regionally restricted euxassay_008954_07

Specimen euxassay_008954_08: embryonic day 14.5 (more )
Structure Level Pattern Image Note
TS23: brain Strong Regionally restricted euxassay_008954_08
TS23: spinal cord Strong Regionally restricted euxassay_008954_08
TS23: trigeminal ganglion Strong Regionally restricted euxassay_008954_08
TS23: dorsal root ganglion Strong Regionally restricted euxassay_008954_08
TS23: cervical ganglion Moderate Regionally restricted euxassay_008954_08
TS23: cervico-thoracic ganglion Moderate Regionally restricted euxassay_008954_08

Specimen euxassay_008954_09: embryonic day 14.5 (more )
Structure Level Pattern Image Note
TS23: trigeminal ganglion Strong Regionally restricted euxassay_008954_09
TS23: dorsal root ganglion Strong Regionally restricted euxassay_008954_09

Specimen euxassay_008954_10: embryonic day 14.5 (more )
Structure Level Pattern Image Note
TS23: brain Strong Regionally restricted euxassay_008954_10
TS23: spinal cord Strong Regionally restricted euxassay_008954_10
TS23: olfactory epithelium Strong Regionally restricted euxassay_008954_10
TS23: dorsal root ganglion Strong Regionally restricted euxassay_008954_10

Specimen euxassay_008954_11: embryonic day 14.5 (more )
Structure Level Pattern Image Note
TS23: brain Strong Regionally restricted euxassay_008954_11
TS23: spinal cord Strong Regionally restricted euxassay_008954_11
TS23: olfactory epithelium Strong Regionally restricted euxassay_008954_11
TS23: dorsal root ganglion Strong Regionally restricted euxassay_008954_11

Specimen euxassay_008954_12: embryonic day 14.5 (more )
Structure Level Pattern Image Note
TS23: brain Strong Regionally restricted euxassay_008954_12
TS23: spinal cord Strong Regionally restricted euxassay_008954_12
TS23: olfactory epithelium Strong Regionally restricted euxassay_008954_12
TS23: dorsal root ganglion Strong Regionally restricted euxassay_008954_12

Specimen euxassay_008954_13: embryonic day 14.5 (more )
Structure Level Pattern Image Note
TS23: brain Strong Regionally restricted euxassay_008954_13
TS23: spinal cord Strong Regionally restricted euxassay_008954_13
TS23: olfactory epithelium Strong Regionally restricted euxassay_008954_13
TS23: dorsal root ganglion Strong Regionally restricted euxassay_008954_13
TS23: thoracic ganglion Moderate Regionally restricted euxassay_008954_13

Specimen euxassay_008954_14: embryonic day 14.5 (more )
Structure Level Pattern Image Note
TS23: brain Strong Regionally restricted euxassay_008954_14
TS23: spinal cord Strong Regionally restricted euxassay_008954_14
TS23: olfactory epithelium Strong Regionally restricted euxassay_008954_14
TS23: vomeronasal organ Strong Regionally restricted euxassay_008954_14
TS23: dorsal root ganglion Strong Regionally restricted euxassay_008954_14
TS23: cervico-thoracic ganglion Moderate Regionally restricted euxassay_008954_14
TS23: thoracic ganglion Moderate Regionally restricted euxassay_008954_14

Specimen euxassay_008954_15: embryonic day 14.5 (more )
Structure Level Pattern Image Note
TS23: brain Strong Regionally restricted euxassay_008954_15
TS23: spinal cord Strong Regionally restricted euxassay_008954_15
TS23: olfactory epithelium Strong Regionally restricted euxassay_008954_15
TS23: dorsal root ganglion Strong Regionally restricted euxassay_008954_15
TS23: cervical ganglion Moderate Regionally restricted euxassay_008954_15

Specimen euxassay_008954_16: embryonic day 14.5 (more )
Structure Level Pattern Image Note
TS23: brain Strong Regionally restricted euxassay_008954_16
TS23: spinal cord Strong Regionally restricted euxassay_008954_16
TS23: trigeminal ganglion Strong Regionally restricted euxassay_008954_16
TS23: olfactory epithelium Strong Regionally restricted euxassay_008954_16
TS23: vomeronasal organ Strong Regionally restricted euxassay_008954_16
TS23: dorsal root ganglion Strong Regionally restricted euxassay_008954_16

Specimen euxassay_008954_17: embryonic day 14.5 (more )
Structure Level Pattern Image Note
TS23: brain Strong Regionally restricted euxassay_008954_17
TS23: spinal cord Strong Regionally restricted euxassay_008954_17
TS23: trigeminal ganglion Strong Regionally restricted euxassay_008954_17
TS23: olfactory epithelium Strong Regionally restricted euxassay_008954_17
TS23: vomeronasal organ Strong Regionally restricted euxassay_008954_17
TS23: dorsal root ganglion Strong Regionally restricted euxassay_008954_17

Specimen euxassay_008954_18: embryonic day 14.5 (more )
Structure Level Pattern Image Note
TS23: brain Strong Regionally restricted euxassay_008954_18
TS23: trigeminal ganglion Strong Regionally restricted euxassay_008954_18
TS23: olfactory epithelium Strong Regionally restricted euxassay_008954_18

Specimen euxassay_008954_19: embryonic day 14.5 (more )
Structure Level Pattern Image Note
TS23: brain Strong Regionally restricted euxassay_008954_19
TS23: trigeminal ganglion Strong Regionally restricted euxassay_008954_19
TS23: facial ganglion Strong Regionally restricted euxassay_008954_19
TS23: olfactory epithelium Strong Regionally restricted euxassay_008954_19

Specimen euxassay_008954_20: embryonic day 14.5 (more )
Structure Level Pattern Image Note
TS23: brain Strong Regionally restricted euxassay_008954_20
TS23: trigeminal ganglion Strong Regionally restricted euxassay_008954_20
TS23: facial ganglion Strong Regionally restricted euxassay_008954_20
TS23: olfactory epithelium Strong Regionally restricted euxassay_008954_20

Specimen euxassay_008954_21: embryonic day 14.5 (more )
Structure Level Pattern Image Note
TS23: brain Strong Regionally restricted euxassay_008954_21

Specimen euxassay_008954_22: embryonic day 14.5 (more )
Structure Level Pattern Image Note
TS23: brain Strong Regionally restricted euxassay_008954_22

Specimen euxassay_008954_23: embryonic day 14.5 (more )
Structure Level Pattern Image Note
TS23: brain Strong Regionally restricted euxassay_008954_23
TS23: neural retina Strong Regionally restricted euxassay_008954_23


Contributing Projects:
Mouse Genome Database (MGD), Gene Expression Database (GXD), Mouse Models of Human Cancer database (MMHCdb) (formerly Mouse Tumor Biology (MTB)), Gene Ontology (GO)
Citing These Resources
Funding Information
Warranty Disclaimer, Privacy Notice, Licensing, & Copyright
Send questions and comments to User Support.
last database update
12/30/2025
MGI 6.24
The Jackson Laboratory