About   Help   FAQ
Gene Expression Data
Assay Details
Assay
Reference: J:153498 Diez-Roux G, et al., A high-resolution anatomical atlas of the transcriptome in the mouse embryo. PLoS Biol. 2011;9(1):e1000582
Assay type: RNA in situ
MGI Accession ID: MGI:4826521
Gene symbol: Mxra7
Gene name: matrix-remodelling associated 7
Probe: T35017
Probe preparation: Antisense labelled with digoxigenin RNA
Visualized with: Alkaline phosphatase
Assay notes: Cryosections of fresh frozen material were fixed in 4% paraformaldehyde for 20 min. before further processing. A tyramide-biotin/streptavidin amplification step was included in the in situ hybridization procedure.
Results
Specimen euxassay_006355_01: embryonic day 14.5 (more )
Structure Level Pattern Image Note
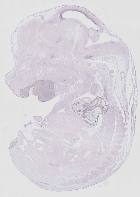
TS23: retina Weak Regionally restricted euxassay_006355_01

Specimen euxassay_006355_02: embryonic day 14.5 (more )
Structure Level Pattern Image Note
TS23: retina Weak Regionally restricted euxassay_006355_02

Specimen euxassay_006355_03: embryonic day 14.5 (more )
Structure Level Pattern Image Note
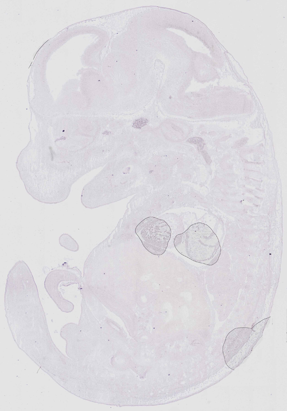
TS23: trigeminal ganglion Moderate Regionally restricted euxassay_006355_03
TS23: retina Weak Regionally restricted euxassay_006355_03

Specimen euxassay_006355_04: embryonic day 14.5 (more )
Structure Level Pattern Image Note
TS23: trigeminal ganglion Moderate Regionally restricted euxassay_006355_04
TS23: facial ganglion Moderate Regionally restricted euxassay_006355_04

Specimen euxassay_006355_05: embryonic day 14.5 (more )
Structure Level Pattern Image Note
TS23: trigeminal ganglion Moderate Regionally restricted euxassay_006355_05
TS23: facial ganglion Moderate Regionally restricted euxassay_006355_05

Specimen euxassay_006355_06: embryonic day 14.5 (more )
Structure Level Pattern Image Note
TS23: dorsal root ganglion Weak Regionally restricted euxassay_006355_06
TS23: trigeminal ganglion Moderate Regionally restricted euxassay_006355_06
TS23: facial ganglion Moderate Regionally restricted euxassay_006355_06
TS23: glossopharyngeal ganglion Moderate Regionally restricted euxassay_006355_06

Specimen euxassay_006355_07: embryonic day 14.5 (more )
Structure Level Pattern Image Note
TS23: dorsal root ganglion Weak Regionally restricted euxassay_006355_07
TS23: trigeminal ganglion Moderate Regionally restricted euxassay_006355_07
TS23: cervical ganglion Weak Regionally restricted euxassay_006355_07

Specimen euxassay_006355_08: embryonic day 14.5 (more )
Note: Additional information for this specimen was included in the Eurexpress data submission file.
Structure Level Pattern Image Note
TS23: dorsal root ganglion Weak Regionally restricted euxassay_006355_08
TS23: trigeminal ganglion Moderate Regionally restricted euxassay_006355_08
TS23: trigeminal nerve Moderate Regionally restricted euxassay_006355_08
TS23: cervical ganglion Weak Regionally restricted euxassay_006355_08
TS23: cervico-thoracic ganglion Weak Regionally restricted euxassay_006355_08
TS23: medulla oblongata basal plate mantle layer Moderate Regionally restricted euxassay_006355_08 facial motor nucleus

Specimen euxassay_006355_09: embryonic day 14.5 (more )
Note: Additional information for this specimen was included in the Eurexpress data submission file.
Structure Level Pattern Image Note
TS23: dorsal root ganglion Weak Regionally restricted euxassay_006355_09
TS23: trigeminal nerve Moderate Regionally restricted euxassay_006355_09
TS23: medulla oblongata basal plate mantle layer Moderate Regionally restricted euxassay_006355_09 facial motor nucleus

Specimen euxassay_006355_10: embryonic day 14.5 (more )
Structure Level Pattern Image Note
TS23: dorsal root ganglion Weak Regionally restricted euxassay_006355_10

Specimen euxassay_006355_11: embryonic day 14.5 (more )
Structure Level Pattern Image Note
TS23: dorsal root ganglion Weak Regionally restricted euxassay_006355_11
TS23: thoracic ganglion Weak Regionally restricted euxassay_006355_11

Specimen euxassay_006355_12: embryonic day 14.5 (more )
Structure Level Pattern Image Note
TS23: dorsal root ganglion Weak Regionally restricted euxassay_006355_12

Specimen euxassay_006355_13: embryonic day 14.5 (more )
Structure Level Pattern Image Note
TS23: cervico-thoracic ganglion Weak Regionally restricted euxassay_006355_13

Specimen euxassay_006355_14: embryonic day 14.5 (more )
Note: Additional information for this specimen was included in the Eurexpress data submission file.
Structure Level Pattern Image Note
TS23: dorsal root ganglion Weak Regionally restricted euxassay_006355_14
TS23: cervico-thoracic ganglion Weak Regionally restricted euxassay_006355_14
TS23: medulla oblongata basal plate mantle layer Moderate Regionally restricted euxassay_006355_14 facial motor nucleus

Specimen euxassay_006355_15: embryonic day 14.5 (more )
Note: Additional information for this specimen was included in the Eurexpress data submission file.
Structure Level Pattern Image Note
TS23: dorsal root ganglion Weak Regionally restricted euxassay_006355_15
TS23: trigeminal nerve Moderate Regionally restricted euxassay_006355_15
TS23: cervical ganglion Weak Regionally restricted euxassay_006355_15
TS23: cervico-thoracic ganglion Weak Regionally restricted euxassay_006355_15
TS23: medulla oblongata basal plate mantle layer Moderate Regionally restricted euxassay_006355_15 facial motor nucleus

Specimen euxassay_006355_16: embryonic day 14.5 (more )
Structure Level Pattern Image Note
TS23: dorsal root ganglion Weak Regionally restricted euxassay_006355_16
TS23: trigeminal nerve Moderate Regionally restricted euxassay_006355_16
TS23: trigeminal ganglion Moderate Regionally restricted euxassay_006355_16
TS23: cervical ganglion Weak Regionally restricted euxassay_006355_16

Specimen euxassay_006355_17: embryonic day 14.5 (more )
Structure Level Pattern Image Note
TS23: trigeminal ganglion Moderate Regionally restricted euxassay_006355_17
TS23: glossopharyngeal ganglion Moderate Regionally restricted euxassay_006355_17
TS23: facial ganglion Moderate Regionally restricted euxassay_006355_17
TS23: cervical ganglion Weak Regionally restricted euxassay_006355_17

Specimen euxassay_006355_18: embryonic day 14.5 (more )
Structure Level Pattern Image Note
TS23: trigeminal ganglion Moderate Regionally restricted euxassay_006355_18
TS23: facial ganglion Moderate Regionally restricted euxassay_006355_18

Specimen euxassay_006355_19: embryonic day 14.5 (more )
Structure Level Pattern Image Note
TS23: trigeminal ganglion Moderate Regionally restricted euxassay_006355_19
TS23: facial ganglion Moderate Regionally restricted euxassay_006355_19

Specimen euxassay_006355_20: embryonic day 14.5 (more )
Structure Level Pattern Image Note
TS23: trigeminal ganglion Moderate Regionally restricted euxassay_006355_20

Specimen euxassay_006355_21: embryonic day 14.5 (more )
Structure Level Pattern Image Note
TS23: trigeminal ganglion Moderate Regionally restricted euxassay_006355_21
TS23: retina Weak Regionally restricted euxassay_006355_21

Specimen euxassay_006355_22: embryonic day 14.5 (more )
Structure Level Pattern Image Note
TS23: retina Weak Regionally restricted euxassay_006355_22

Specimen euxassay_006355_23: embryonic day 14.5 (more )
Structure Level Pattern Image Note
TS23: retina Weak Regionally restricted euxassay_006355_23


Contributing Projects:
Mouse Genome Database (MGD), Gene Expression Database (GXD), Mouse Models of Human Cancer database (MMHCdb) (formerly Mouse Tumor Biology (MTB)), Gene Ontology (GO)
Citing These Resources
Funding Information
Warranty Disclaimer, Privacy Notice, Licensing, & Copyright
Send questions and comments to User Support.
last database update
12/30/2025
MGI 6.24
The Jackson Laboratory