About   Help   FAQ
Gene Expression Data
Assay Details
Assay
Reference: J:153498 Diez-Roux G, et al., A high-resolution anatomical atlas of the transcriptome in the mouse embryo. PLoS Biol. 2011;9(1):e1000582
Assay type: RNA in situ
MGI Accession ID: MGI:4826514
Gene symbol: Musk
Gene name: muscle, skeletal, receptor tyrosine kinase
Probe: T39430
Probe preparation: Antisense labelled with digoxigenin RNA
Visualized with: Alkaline phosphatase
Assay notes: Cryosections of fresh frozen material were fixed in 4% paraformaldehyde for 20 min. before further processing. A tyramide-biotin/streptavidin amplification step was included in the in situ hybridization procedure.
Results
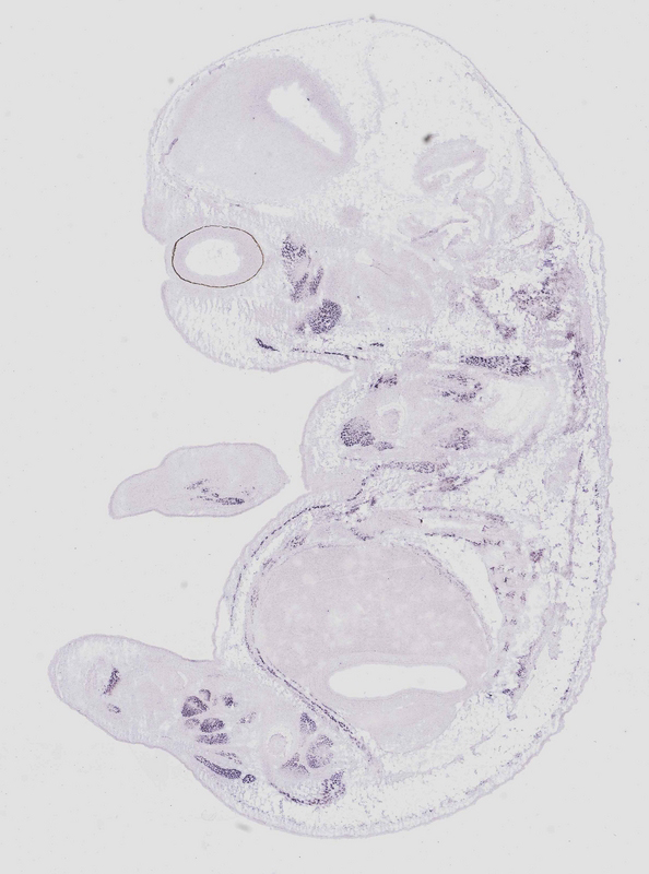
Specimen euxassay_013976_01: embryonic day 14.5 (more )
Structure Level Pattern Image Note
TS23: vertebral axis musculature Strong Regionally restricted euxassay_013976_01
TS23: diaphragm Strong Regionally restricted euxassay_013976_01
TS23: eye skeletal muscle Strong Regionally restricted euxassay_013976_01
TS23: forearm rest of mesenchyme Strong Regionally restricted euxassay_013976_01
TS23: upper arm muscle Strong Regionally restricted euxassay_013976_01
TS23: upper leg muscle Strong Regionally restricted euxassay_013976_01

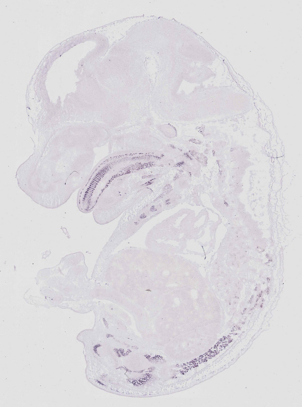
Specimen euxassay_013976_02: embryonic day 14.5 (more )
Structure Level Pattern Image Note
TS23: vertebral axis musculature Strong Regionally restricted euxassay_013976_02
TS23: diaphragm Strong Regionally restricted euxassay_013976_02
TS23: eye skeletal muscle Strong Regionally restricted euxassay_013976_02
TS23: forearm rest of mesenchyme Strong Regionally restricted euxassay_013976_02
TS23: upper arm muscle Strong Regionally restricted euxassay_013976_02
TS23: hand Strong Regionally restricted euxassay_013976_02
TS23: upper leg muscle Strong Regionally restricted euxassay_013976_02
TS23: lower leg rest of mesenchyme Strong Regionally restricted euxassay_013976_02

Specimen euxassay_013976_03: embryonic day 14.5 (more )
Structure Level Pattern Image Note
TS23: diaphragm Strong Regionally restricted euxassay_013976_03
TS23: vertebral axis musculature Strong Regionally restricted euxassay_013976_03
TS23: eye skeletal muscle Strong Regionally restricted euxassay_013976_03
TS23: hand Strong Regionally restricted euxassay_013976_03
TS23: upper arm muscle Strong Regionally restricted euxassay_013976_03
TS23: upper leg muscle Strong Regionally restricted euxassay_013976_03
TS23: lower leg rest of mesenchyme Strong Regionally restricted euxassay_013976_03

Specimen euxassay_013976_04: embryonic day 14.5 (more )
Structure Level Pattern Image Note
TS23: diaphragm Strong Regionally restricted euxassay_013976_04
TS23: vertebral axis musculature Strong Regionally restricted euxassay_013976_04
TS23: eye skeletal muscle Strong Regionally restricted euxassay_013976_04
TS23: hand Strong Regionally restricted euxassay_013976_04
TS23: upper arm muscle Strong Regionally restricted euxassay_013976_04
TS23: upper leg muscle Strong Regionally restricted euxassay_013976_04
TS23: lower leg rest of mesenchyme Strong Regionally restricted euxassay_013976_04

Specimen euxassay_013976_05: embryonic day 14.5 (more )
Structure Level Pattern Image Note
TS23: diaphragm Strong Regionally restricted euxassay_013976_05
TS23: vertebral axis musculature Strong Regionally restricted euxassay_013976_05
TS23: eye skeletal muscle Strong Regionally restricted euxassay_013976_05
TS23: hand Strong Regionally restricted euxassay_013976_05
TS23: upper arm muscle Strong Regionally restricted euxassay_013976_05
TS23: upper leg muscle Strong Regionally restricted euxassay_013976_05

Specimen euxassay_013976_06: embryonic day 14.5 (more )
Structure Level Pattern Image Note
TS23: diaphragm Strong Regionally restricted euxassay_013976_06
TS23: vertebral axis musculature Strong Regionally restricted euxassay_013976_06
TS23: eye skeletal muscle Strong Regionally restricted euxassay_013976_06
TS23: foot Strong Regionally restricted euxassay_013976_06
TS23: upper leg muscle Strong Regionally restricted euxassay_013976_06

Specimen euxassay_013976_07: embryonic day 14.5 (more )
Structure Level Pattern Image Note
TS23: diaphragm Strong Regionally restricted euxassay_013976_07
TS23: vertebral axis musculature Strong Regionally restricted euxassay_013976_07
TS23: eye skeletal muscle Strong Regionally restricted euxassay_013976_07
TS23: foot Strong Regionally restricted euxassay_013976_07

Specimen euxassay_013976_08: embryonic day 14.5 (more )
Structure Level Pattern Image Note
TS23: diaphragm Strong Regionally restricted euxassay_013976_08
TS23: vertebral axis musculature Strong Regionally restricted euxassay_013976_08
TS23: eye skeletal muscle Strong Regionally restricted euxassay_013976_08
TS23: tail paraxial mesenchyme Strong Regionally restricted euxassay_013976_08
TS23: foot Strong Regionally restricted euxassay_013976_08

Specimen euxassay_013976_09: embryonic day 14.5 (more )
Structure Level Pattern Image Note
TS23: diaphragm Strong Regionally restricted euxassay_013976_09
TS23: vertebral axis musculature Strong Regionally restricted euxassay_013976_09
TS23: tail paraxial mesenchyme Strong Regionally restricted euxassay_013976_09

Specimen euxassay_013976_10: embryonic day 14.5 (more )
Structure Level Pattern Image Note
TS23: diaphragm Strong Regionally restricted euxassay_013976_10
TS23: vertebral axis musculature Strong Regionally restricted euxassay_013976_10
TS23: tail paraxial mesenchyme Strong Regionally restricted euxassay_013976_10

Specimen euxassay_013976_11: embryonic day 14.5 (more )
Structure Level Pattern Image Note
TS23: diaphragm Strong Regionally restricted euxassay_013976_11
TS23: vertebral axis musculature Strong Regionally restricted euxassay_013976_11
TS23: tongue muscle Strong Regionally restricted euxassay_013976_11
TS23: tail paraxial mesenchyme Strong Regionally restricted euxassay_013976_11

Specimen euxassay_013976_12: embryonic day 14.5 (more )
Structure Level Pattern Image Note
TS23: diaphragm Strong Regionally restricted euxassay_013976_12
TS23: vertebral axis musculature Strong Regionally restricted euxassay_013976_12
TS23: tongue muscle Strong Regionally restricted euxassay_013976_12
TS23: tail paraxial mesenchyme Strong Regionally restricted euxassay_013976_12

Specimen euxassay_013976_13: embryonic day 14.5 (more )
Structure Level Pattern Image Note
TS23: diaphragm Strong Regionally restricted euxassay_013976_13
TS23: vertebral axis musculature Strong Regionally restricted euxassay_013976_13
TS23: tongue muscle Strong Regionally restricted euxassay_013976_13
TS23: tail paraxial mesenchyme Strong Regionally restricted euxassay_013976_13
TS23: heart ventricle Moderate Spotted euxassay_013976_13

Specimen euxassay_013976_14: embryonic day 14.5 (more )
Structure Level Pattern Image Note
TS23: diaphragm Strong Regionally restricted euxassay_013976_14
TS23: vertebral axis musculature Strong Regionally restricted euxassay_013976_14
TS23: tongue muscle Strong Regionally restricted euxassay_013976_14
TS23: tail paraxial mesenchyme Strong Regionally restricted euxassay_013976_14
TS23: heart ventricle Moderate Spotted euxassay_013976_14

Specimen euxassay_013976_15: embryonic day 14.5 (more )
Structure Level Pattern Image Note
TS23: vertebral axis musculature Strong Regionally restricted euxassay_013976_15
TS23: tongue muscle Strong Regionally restricted euxassay_013976_15
TS23: tail paraxial mesenchyme Strong Regionally restricted euxassay_013976_15

Specimen euxassay_013976_16: embryonic day 14.5 (more )
Structure Level Pattern Image Note
TS23: vertebral axis musculature Strong Regionally restricted euxassay_013976_16
TS23: tongue muscle Strong Regionally restricted euxassay_013976_16

Specimen euxassay_013976_17: embryonic day 14.5 (more )
Structure Level Pattern Image Note
TS23: vertebral axis musculature Strong Regionally restricted euxassay_013976_17
TS23: tongue muscle Strong Regionally restricted euxassay_013976_17
TS23: upper leg muscle Strong Regionally restricted euxassay_013976_17
TS23: heart ventricle Moderate Spotted euxassay_013976_17

Specimen euxassay_013976_18: embryonic day 14.5 (more )
Structure Level Pattern Image Note
TS23: vertebral axis musculature Strong Regionally restricted euxassay_013976_18
TS23: tongue muscle Strong Regionally restricted euxassay_013976_18
TS23: upper leg muscle Strong Regionally restricted euxassay_013976_18
TS23: heart ventricle Moderate Spotted euxassay_013976_18

Specimen euxassay_013976_19: embryonic day 14.5 (more )
Structure Level Pattern Image Note
TS23: vertebral axis musculature Strong Regionally restricted euxassay_013976_19
TS23: diaphragm Strong Regionally restricted euxassay_013976_19
TS23: eye skeletal muscle Strong Regionally restricted euxassay_013976_19
TS23: upper leg muscle Strong Regionally restricted euxassay_013976_19

Specimen euxassay_013976_20: embryonic day 14.5 (more )
Structure Level Pattern Image Note
TS23: diaphragm Strong Regionally restricted euxassay_013976_20
TS23: vertebral axis musculature Strong Regionally restricted euxassay_013976_20
TS23: eye skeletal muscle Strong Regionally restricted euxassay_013976_20
TS23: upper leg muscle Strong Regionally restricted euxassay_013976_20

Specimen euxassay_013976_21: embryonic day 14.5 (more )
Structure Level Pattern Image Note
TS23: diaphragm Strong Regionally restricted euxassay_013976_21
TS23: vertebral axis musculature Strong Regionally restricted euxassay_013976_21
TS23: eye skeletal muscle Strong Regionally restricted euxassay_013976_21
TS23: lower leg rest of mesenchyme Strong Regionally restricted euxassay_013976_21
TS23: upper leg muscle Strong Regionally restricted euxassay_013976_21
TS23: foot Strong Regionally restricted euxassay_013976_21

Specimen euxassay_013976_22: embryonic day 14.5 (more )
Structure Level Pattern Image Note
TS23: diaphragm Strong Regionally restricted euxassay_013976_22
TS23: vertebral axis musculature Strong Regionally restricted euxassay_013976_22
TS23: eye skeletal muscle Strong Regionally restricted euxassay_013976_22
TS23: lower leg rest of mesenchyme Strong Regionally restricted euxassay_013976_22
TS23: foot Strong Regionally restricted euxassay_013976_22

Specimen euxassay_013976_23: embryonic day 14.5 (more )
Structure Level Pattern Image Note
TS23: diaphragm Strong Regionally restricted euxassay_013976_23
TS23: vertebral axis musculature Strong Regionally restricted euxassay_013976_23
TS23: eye skeletal muscle Strong Regionally restricted euxassay_013976_23
TS23: upper arm muscle Strong Regionally restricted euxassay_013976_23
TS23: lower leg rest of mesenchyme Strong Regionally restricted euxassay_013976_23
TS23: foot Strong Regionally restricted euxassay_013976_23

Specimen euxassay_013976_24: embryonic day 14.5 (more )
Structure Level Pattern Image Note
TS23: diaphragm Strong Regionally restricted euxassay_013976_24
TS23: vertebral axis musculature Strong Regionally restricted euxassay_013976_24
TS23: eye skeletal muscle Strong Regionally restricted euxassay_013976_24
TS23: upper arm muscle Strong Regionally restricted euxassay_013976_24
TS23: hand Strong Regionally restricted euxassay_013976_24
TS23: lower leg rest of mesenchyme Strong Regionally restricted euxassay_013976_24


Contributing Projects:
Mouse Genome Database (MGD), Gene Expression Database (GXD), Mouse Models of Human Cancer database (MMHCdb) (formerly Mouse Tumor Biology (MTB)), Gene Ontology (GO)
Citing These Resources
Funding Information
Warranty Disclaimer, Privacy Notice, Licensing, & Copyright
Send questions and comments to User Support.
last database update
01/20/2026
MGI 6.24
The Jackson Laboratory