About   Help   FAQ
Gene Expression Data
Assay Details
Assay
Reference: J:153498 Diez-Roux G, et al., A high-resolution anatomical atlas of the transcriptome in the mouse embryo. PLoS Biol. 2011;9(1):e1000582
Assay type: RNA in situ
MGI Accession ID: MGI:4826491
Gene symbol: Mthfd1l
Gene name: methylenetetrahydrofolate dehydrogenase (NADP+ dependent) 1-like
Probe: MGC clone 55135
Probe preparation: Antisense labelled with digoxigenin RNA
Visualized with: Alkaline phosphatase
Assay notes: Cryosections of fresh frozen material were fixed in 4% paraformaldehyde for 20 min. before further processing. A tyramide-biotin/streptavidin amplification step was included in the in situ hybridization procedure.
Results
Specimen euxassay_002080_01: embryonic day 14.5 (more )
Structure Level Pattern Image Note
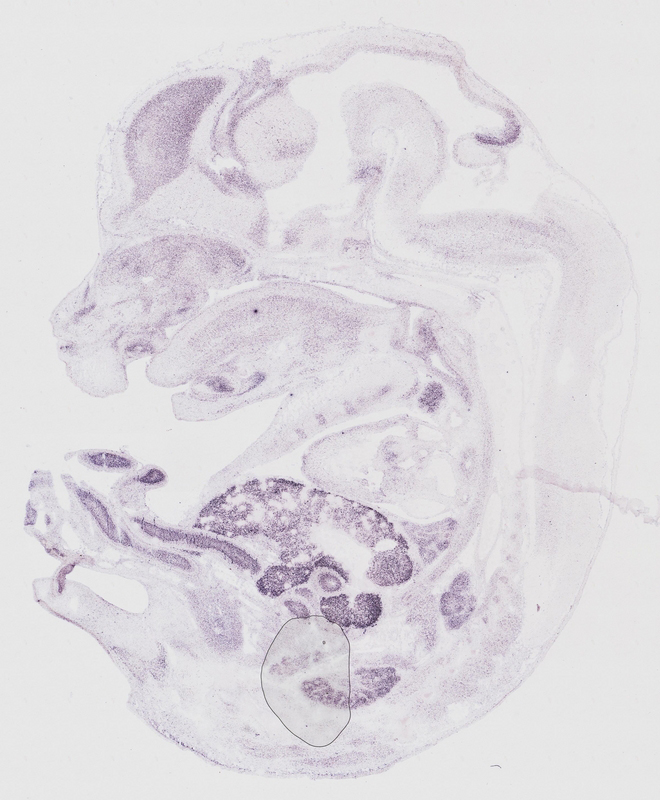
TS23: liver lobe Strong Regionally restricted euxassay_002080_01
TS23: neural retina Moderate Regionally restricted euxassay_002080_01

Specimen euxassay_002080_02: embryonic day 14.5 (more )
Structure Level Pattern Image Note
TS23: liver lobe Strong Regionally restricted euxassay_002080_02
TS23: telencephalon ventricular layer Moderate Uniform euxassay_002080_02
TS23: orbito-sphenoid Moderate Regionally restricted euxassay_002080_02
TS23: neural retina Moderate Regionally restricted euxassay_002080_02

Specimen euxassay_002080_03: embryonic day 14.5 (more )
Structure Level Pattern Image Note
TS23: liver lobe Strong Regionally restricted euxassay_002080_03
TS23: Meckel's cartilage Moderate Regionally restricted euxassay_002080_03
TS23: telencephalon ventricular layer Moderate Uniform euxassay_002080_03
TS23: orbito-sphenoid Moderate Regionally restricted euxassay_002080_03
TS23: neural retina Moderate Regionally restricted euxassay_002080_03

Specimen euxassay_002080_04: embryonic day 14.5 (more )
Structure Level Pattern Image Note
TS23: liver lobe Strong Regionally restricted euxassay_002080_04
TS23: Meckel's cartilage Moderate Regionally restricted euxassay_002080_04
TS23: telencephalon ventricular layer Moderate Uniform euxassay_002080_04
TS23: orbito-sphenoid Moderate Regionally restricted euxassay_002080_04
TS23: neural retina Moderate Regionally restricted euxassay_002080_04

Specimen euxassay_002080_05: embryonic day 14.5 (more )
Structure Level Pattern Image Note
TS23: liver lobe Strong Regionally restricted euxassay_002080_05
TS23: Meckel's cartilage Weak Regionally restricted euxassay_002080_05
TS23: telencephalon ventricular layer Moderate Uniform euxassay_002080_05
TS23: vibrissa Moderate Regionally restricted euxassay_002080_05
TS23: orbito-sphenoid Moderate Regionally restricted euxassay_002080_05

Specimen euxassay_002080_06: embryonic day 14.5 (more )
Structure Level Pattern Image Note
TS23: liver lobe Strong Regionally restricted euxassay_002080_06
TS23: telencephalon ventricular layer Moderate Uniform euxassay_002080_06
TS23: midbrain ventricular layer Moderate Regionally restricted euxassay_002080_06
TS23: vibrissa Moderate Regionally restricted euxassay_002080_06
TS23: orbito-sphenoid Moderate Regionally restricted euxassay_002080_06

Specimen euxassay_002080_07: embryonic day 14.5 (more )
Structure Level Pattern Image Note
TS23: liver lobe Strong Regionally restricted euxassay_002080_07
TS23: telencephalon ventricular layer Moderate Uniform euxassay_002080_07
TS23: midbrain ventricular layer Moderate Regionally restricted euxassay_002080_07
TS23: submandibular gland primordium Moderate Regionally restricted euxassay_002080_07
TS23: vibrissa Moderate Regionally restricted euxassay_002080_07

Specimen euxassay_002080_08: embryonic day 14.5 (more )
Structure Level Pattern Image Note
TS23: liver lobe Strong Regionally restricted euxassay_002080_08
TS23: telencephalon ventricular layer Moderate Uniform euxassay_002080_08
TS23: midbrain ventricular layer Moderate Regionally restricted euxassay_002080_08
TS23: submandibular gland primordium Moderate Regionally restricted euxassay_002080_08
TS23: midgut Moderate Regionally restricted euxassay_002080_08

Specimen euxassay_002080_09: embryonic day 14.5 (more )
Structure Level Pattern Image Note
TS23: liver lobe Strong Regionally restricted euxassay_002080_09
TS23: telencephalon ventricular layer Moderate Uniform euxassay_002080_09
TS23: midbrain ventricular layer Moderate Regionally restricted euxassay_002080_09
TS23: submandibular gland primordium Moderate Regionally restricted euxassay_002080_09
TS23: midgut Moderate Regionally restricted euxassay_002080_09

Specimen euxassay_002080_10: embryonic day 14.5 (more )
Structure Level Pattern Image Note
TS23: liver lobe Strong Regionally restricted euxassay_002080_10
TS23: telencephalon ventricular layer Moderate Uniform euxassay_002080_10
TS23: midbrain ventricular layer Moderate Regionally restricted euxassay_002080_10
TS23: submandibular gland primordium Moderate Regionally restricted euxassay_002080_10
TS23: thymus primordium Strong Uniform euxassay_002080_10
TS23: midgut Moderate Regionally restricted euxassay_002080_10

Specimen euxassay_002080_11: embryonic day 14.5 (more )
Structure Level Pattern Image Note
TS23: liver lobe Strong Regionally restricted euxassay_002080_11
TS23: olfactory cortex ventricular layer Moderate Uniform euxassay_002080_11
TS23: telencephalon ventricular layer Moderate Uniform euxassay_002080_11
TS23: midbrain ventricular layer Moderate Regionally restricted euxassay_002080_11
TS23: thymus primordium Strong Uniform euxassay_002080_11
TS23: midgut Moderate Regionally restricted euxassay_002080_11
TS23: hindgut Moderate Regionally restricted euxassay_002080_11
TS23: foregut-midgut junction Moderate Regionally restricted euxassay_002080_11

Specimen euxassay_002080_12: embryonic day 14.5 (more )
Structure Level Pattern Image Note
TS23: liver lobe Strong Regionally restricted euxassay_002080_12
TS23: telencephalon ventricular layer Moderate Uniform euxassay_002080_12
TS23: midbrain ventricular layer Moderate Regionally restricted euxassay_002080_12
TS23: thymus primordium Strong Uniform euxassay_002080_12
TS23: foregut-midgut junction Moderate Regionally restricted euxassay_002080_12
TS23: hindgut Moderate Regionally restricted euxassay_002080_12
TS23: midgut Moderate Regionally restricted euxassay_002080_12

Specimen euxassay_002080_13: embryonic day 14.5 (more )
Structure Level Pattern Image Note
TS23: liver lobe Strong Regionally restricted euxassay_002080_13
TS23: midbrain ventricular layer Moderate Regionally restricted euxassay_002080_13
TS23: thymus primordium Strong Uniform euxassay_002080_13
TS23: hindgut Moderate Regionally restricted euxassay_002080_13
TS23: midgut Moderate Regionally restricted euxassay_002080_13
TS23: foregut-midgut junction Moderate Regionally restricted euxassay_002080_13

Specimen euxassay_002080_14: embryonic day 14.5 (more )
Structure Level Pattern Image Note
TS23: liver lobe Strong Regionally restricted euxassay_002080_14
TS23: telencephalon ventricular layer Moderate Uniform euxassay_002080_14
TS23: midbrain ventricular layer Moderate Regionally restricted euxassay_002080_14
TS23: thymus primordium Strong Uniform euxassay_002080_14

Specimen euxassay_002080_15: embryonic day 14.5 (more )
Structure Level Pattern Image Note
TS23: liver lobe Strong Regionally restricted euxassay_002080_15
TS23: telencephalon ventricular layer Moderate Uniform euxassay_002080_15
TS23: midbrain ventricular layer Moderate Regionally restricted euxassay_002080_15
TS23: rectum Moderate Regionally restricted euxassay_002080_15

Specimen euxassay_002080_16: embryonic day 14.5 (more )
Structure Level Pattern Image Note
TS23: liver lobe Strong Regionally restricted euxassay_002080_16
TS23: telencephalon ventricular layer Moderate Uniform euxassay_002080_16
TS23: olfactory cortex ventricular layer Moderate Uniform euxassay_002080_16

Specimen euxassay_002080_17: embryonic day 14.5 (more )
Structure Level Pattern Image Note
TS23: liver lobe Strong Regionally restricted euxassay_002080_17
TS23: olfactory cortex ventricular layer Moderate Uniform euxassay_002080_17
TS23: telencephalon ventricular layer Moderate Uniform euxassay_002080_17
TS23: submandibular gland primordium Moderate Regionally restricted euxassay_002080_17

Specimen euxassay_002080_18: embryonic day 14.5 (more )
Structure Level Pattern Image Note
TS23: liver lobe Strong Regionally restricted euxassay_002080_18
TS23: telencephalon ventricular layer Moderate Uniform euxassay_002080_18
TS23: submandibular gland primordium Moderate Regionally restricted euxassay_002080_18

Specimen euxassay_002080_19: embryonic day 14.5 (more )
Structure Level Pattern Image Note
TS23: liver lobe Strong Regionally restricted euxassay_002080_19
TS23: telencephalon ventricular layer Moderate Uniform euxassay_002080_19
TS23: submandibular gland primordium Moderate Regionally restricted euxassay_002080_19

Specimen euxassay_002080_20: embryonic day 14.5 (more )
Structure Level Pattern Image Note
TS23: liver lobe Strong Regionally restricted euxassay_002080_20
TS23: telencephalon ventricular layer Moderate Uniform euxassay_002080_20
TS23: vibrissa Moderate Regionally restricted euxassay_002080_20

Specimen euxassay_002080_21: embryonic day 14.5 (more )
Structure Level Pattern Image Note
TS23: liver lobe Strong Regionally restricted euxassay_002080_21
TS23: Meckel's cartilage Moderate Regionally restricted euxassay_002080_21
TS23: telencephalon ventricular layer Moderate Uniform euxassay_002080_21
TS23: vibrissa Moderate Regionally restricted euxassay_002080_21
TS23: orbito-sphenoid Moderate Regionally restricted euxassay_002080_21

Specimen euxassay_002080_22: embryonic day 14.5 (more )
Structure Level Pattern Image Note
TS23: liver lobe Strong Regionally restricted euxassay_002080_22
TS23: Meckel's cartilage Moderate Regionally restricted euxassay_002080_22
TS23: telencephalon ventricular layer Moderate Uniform euxassay_002080_22
TS23: vibrissa Moderate Regionally restricted euxassay_002080_22
TS23: orbito-sphenoid Moderate Regionally restricted euxassay_002080_22
TS23: neural retina Moderate Regionally restricted euxassay_002080_22

Specimen euxassay_002080_23: embryonic day 14.5 (more )
Structure Level Pattern Image Note
TS23: liver lobe Strong Regionally restricted euxassay_002080_23
TS23: telencephalon ventricular layer Moderate Uniform euxassay_002080_23
TS23: orbito-sphenoid Weak Regionally restricted euxassay_002080_23
TS23: neural retina Moderate Regionally restricted euxassay_002080_23

Specimen euxassay_002080_24: embryonic day 14.5 (more )
Structure Level Pattern Image Note
TS23: liver lobe Strong Regionally restricted euxassay_002080_24
TS23: orbito-sphenoid Weak Regionally restricted euxassay_002080_24
TS23: neural retina Moderate Regionally restricted euxassay_002080_24


Contributing Projects:
Mouse Genome Database (MGD), Gene Expression Database (GXD), Mouse Models of Human Cancer database (MMHCdb) (formerly Mouse Tumor Biology (MTB)), Gene Ontology (GO)
Citing These Resources
Funding Information
Warranty Disclaimer, Privacy Notice, Licensing, & Copyright
Send questions and comments to User Support.
last database update
01/06/2026
MGI 6.24
The Jackson Laboratory