About   Help   FAQ
Gene Expression Data
Assay Details
Assay
Reference: J:153498 Diez-Roux G, et al., A high-resolution anatomical atlas of the transcriptome in the mouse embryo. PLoS Biol. 2011;9(1):e1000582
Assay type: RNA in situ
MGI Accession ID: MGI:4826490
Gene symbol: Mthfd1
Gene name: methylenetetrahydrofolate dehydrogenase (NADP+ dependent), methenyltetrahydrofolate cyclohydrolase, formyltetrahydrofolate synthase
Probe: MGC clone 6417
Probe preparation: Antisense labelled with digoxigenin RNA
Visualized with: Alkaline phosphatase
Assay notes: Cryosections of fresh frozen material were fixed in 4% paraformaldehyde for 20 min. before further processing. A tyramide-biotin/streptavidin amplification step was included in the in situ hybridization procedure.
Results
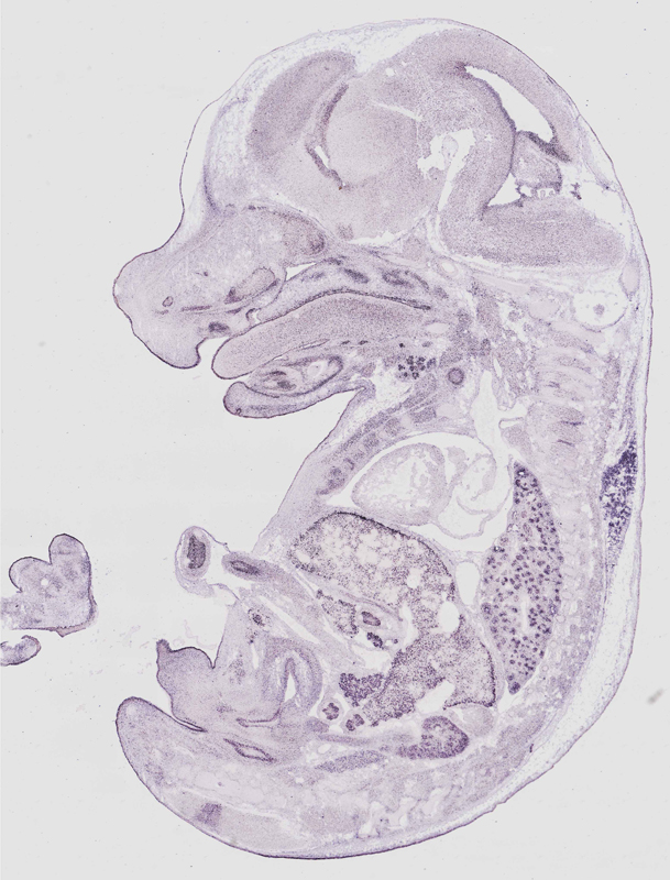
Specimen euxassay_004845_01: embryonic day 14.5 (more )
Structure Level Pattern Image Note
TS23: axial musculature Strong Regionally restricted euxassay_004845_01
TS23: left lung Strong Regionally restricted euxassay_004845_01
TS23: liver left lobe Moderate Regionally restricted euxassay_004845_01
TS23: stomach fundus Moderate Regionally restricted euxassay_004845_01

Specimen euxassay_004845_02: embryonic day 14.5 (more )
Structure Level Pattern Image Note
TS23: axial musculature Strong Regionally restricted euxassay_004845_02
TS23: telencephalon ventricular layer Strong Uniform euxassay_004845_02
TS23: left lung Strong Regionally restricted euxassay_004845_02
TS23: liver left lobe Moderate Regionally restricted euxassay_004845_02
TS23: stomach fundus Moderate Regionally restricted euxassay_004845_02

Specimen euxassay_004845_03: embryonic day 14.5 (more )
Structure Level Pattern Image Note
TS23: axial musculature Strong Regionally restricted euxassay_004845_03
TS23: telencephalon ventricular layer Strong Uniform euxassay_004845_03
TS23: left lung Strong Regionally restricted euxassay_004845_03
TS23: liver left lobe Moderate Regionally restricted euxassay_004845_03
TS23: stomach fundus Moderate Regionally restricted euxassay_004845_03

Specimen euxassay_004845_04: embryonic day 14.5 (more )
Structure Level Pattern Image Note
TS23: axial musculature Strong Regionally restricted euxassay_004845_04
TS23: telencephalon ventricular layer Strong Uniform euxassay_004845_04
TS23: left lung Strong Regionally restricted euxassay_004845_04
TS23: liver left lobe Moderate Regionally restricted euxassay_004845_04
TS23: stomach fundus Moderate Regionally restricted euxassay_004845_04

Specimen euxassay_004845_05: embryonic day 14.5 (more )
Structure Level Pattern Image Note
TS23: axial musculature Strong Regionally restricted euxassay_004845_05
TS23: telencephalon ventricular layer Strong Uniform euxassay_004845_05
TS23: left lung Strong Regionally restricted euxassay_004845_05
TS23: liver left lobe Moderate Regionally restricted euxassay_004845_05
TS23: stomach fundus Moderate Regionally restricted euxassay_004845_05

Specimen euxassay_004845_06: embryonic day 14.5 (more )
Structure Level Pattern Image Note
TS23: axial musculature Strong Regionally restricted euxassay_004845_06
TS23: telencephalon ventricular layer Strong Uniform euxassay_004845_06
TS23: left lung Strong Regionally restricted euxassay_004845_06
TS23: submandibular gland primordium Strong Regionally restricted euxassay_004845_06
TS23: liver left lobe Moderate Regionally restricted euxassay_004845_06
TS23: stomach fundus Moderate Regionally restricted euxassay_004845_06

Specimen euxassay_004845_07: embryonic day 14.5 (more )
Note: Additional information for this specimen was included in the Eurexpress data submission file.
Structure Level Pattern Image Note
TS23: telencephalon ventricular layer Strong Uniform euxassay_004845_07
TS23: midbrain ventricular layer Strong Regionally restricted euxassay_004845_07
TS23: inferior colliculus Present euxassay_004845_07
TS23: left lung Strong Regionally restricted euxassay_004845_07
TS23: submandibular gland primordium Strong Regionally restricted euxassay_004845_07
TS23: pancreas Strong Regionally restricted euxassay_004845_07
TS23: liver left lobe Moderate Regionally restricted euxassay_004845_07
TS23: stomach fundus Moderate Regionally restricted euxassay_004845_07
TS23: upper jaw molar Moderate Regionally restricted euxassay_004845_07
TS23: lower jaw molar Moderate Regionally restricted euxassay_004845_07
TS23: vibrissa Moderate Regionally restricted euxassay_004845_07

Specimen euxassay_004845_08: embryonic day 14.5 (more )
Note: Additional information for this specimen was included in the Eurexpress data submission file.
Structure Level Pattern Image Note
TS23: telencephalon ventricular layer Strong Uniform euxassay_004845_08
TS23: midbrain ventricular layer Strong Regionally restricted euxassay_004845_08
TS23: inferior colliculus Present euxassay_004845_08
TS23: left lung Strong Regionally restricted euxassay_004845_08
TS23: submandibular gland primordium Strong Regionally restricted euxassay_004845_08
TS23: pancreas Strong Regionally restricted euxassay_004845_08
TS23: liver left lobe Moderate Regionally restricted euxassay_004845_08
TS23: stomach fundus Weak Regionally restricted euxassay_004845_08
TS23: upper jaw molar Moderate Regionally restricted euxassay_004845_08
TS23: vibrissa Moderate Regionally restricted euxassay_004845_08

Specimen euxassay_004845_09: embryonic day 14.5 (more )
Note: Additional information for this specimen was included in the Eurexpress data submission file.
Structure Level Pattern Image Note
TS23: telencephalon ventricular layer Strong Uniform euxassay_004845_09
TS23: midbrain ventricular layer Strong Regionally restricted euxassay_004845_09
TS23: inferior colliculus Present euxassay_004845_09
TS23: thymus primordium Strong Uniform euxassay_004845_09
TS23: left lung Strong Regionally restricted euxassay_004845_09
TS23: submandibular gland primordium Strong Regionally restricted euxassay_004845_09
TS23: pancreas Strong Regionally restricted euxassay_004845_09
TS23: liver left lobe Moderate Regionally restricted euxassay_004845_09
TS23: stomach fundus Weak Regionally restricted euxassay_004845_09
TS23: upper jaw molar Moderate Regionally restricted euxassay_004845_09
TS23: lower jaw molar Moderate Regionally restricted euxassay_004845_09
TS23: vibrissa Moderate Regionally restricted euxassay_004845_09

Specimen euxassay_004845_10: embryonic day 14.5 (more )
Note: Additional information for this specimen was included in the Eurexpress data submission file.
Structure Level Pattern Image Note
TS23: telencephalon ventricular layer Strong Uniform euxassay_004845_10
TS23: midbrain ventricular layer Strong Regionally restricted euxassay_004845_10
TS23: inferior colliculus Present euxassay_004845_10
TS23: medulla oblongata basal plate ventricular layer Moderate Regionally restricted euxassay_004845_10
TS23: pons ventricular layer Moderate Regionally restricted euxassay_004845_10
TS23: thymus primordium Strong Uniform euxassay_004845_10
TS23: left lung Strong Regionally restricted euxassay_004845_10
TS23: pancreas Strong Regionally restricted euxassay_004845_10
TS23: liver left lobe Moderate Regionally restricted euxassay_004845_10
TS23: stomach fundus Weak Regionally restricted euxassay_004845_10
TS23: lower jaw incisor Moderate Regionally restricted euxassay_004845_10
TS23: esophagus Moderate Regionally restricted euxassay_004845_10

Specimen euxassay_004845_11: embryonic day 14.5 (more )
Note: Additional information for this specimen was included in the Eurexpress data submission file.
Structure Level Pattern Image Note
TS23: olfactory cortex ventricular layer Strong Uniform euxassay_004845_11
TS23: telencephalon ventricular layer Strong Uniform euxassay_004845_11
TS23: midbrain ventricular layer Strong Regionally restricted euxassay_004845_11
TS23: inferior colliculus Present euxassay_004845_11
TS23: pons ventricular layer Moderate Regionally restricted euxassay_004845_11
TS23: medulla oblongata basal plate ventricular layer Moderate Regionally restricted euxassay_004845_11
TS23: thymus primordium Strong Uniform euxassay_004845_11
TS23: left lung Strong Regionally restricted euxassay_004845_11
TS23: pancreas Strong Regionally restricted euxassay_004845_11
TS23: liver left lobe Moderate Regionally restricted euxassay_004845_11
TS23: upper jaw incisor Moderate Regionally restricted euxassay_004845_11
TS23: lower jaw incisor Moderate Regionally restricted euxassay_004845_11
TS23: esophagus Moderate Regionally restricted euxassay_004845_11

Specimen euxassay_004845_12: embryonic day 14.5 (more )
Note: Additional information for this specimen was included in the Eurexpress data submission file.
Structure Level Pattern Image Note
TS23: olfactory cortex ventricular layer Strong Uniform euxassay_004845_12
TS23: telencephalon ventricular layer Strong Uniform euxassay_004845_12
TS23: midbrain ventricular layer Strong Regionally restricted euxassay_004845_12
TS23: inferior colliculus Present euxassay_004845_12
TS23: hypothalamus ventricular layer Moderate Regionally restricted euxassay_004845_12
TS23: diencephalon lateral wall ventricular layer Moderate Regionally restricted euxassay_004845_12
TS23: medulla oblongata basal plate ventricular layer Moderate Regionally restricted euxassay_004845_12
TS23: pons ventricular layer Moderate Regionally restricted euxassay_004845_12
TS23: thymus primordium Strong Uniform euxassay_004845_12
TS23: left lung Strong Regionally restricted euxassay_004845_12
TS23: pancreas Strong Regionally restricted euxassay_004845_12
TS23: liver left lobe Moderate Regionally restricted euxassay_004845_12
TS23: upper jaw incisor Moderate Regionally restricted euxassay_004845_12
TS23: lower jaw incisor Moderate Regionally restricted euxassay_004845_12

Specimen euxassay_004845_13: embryonic day 14.5 (more )
Note: Additional information for this specimen was included in the Eurexpress data submission file.
Structure Level Pattern Image Note
TS23: olfactory cortex ventricular layer Strong Uniform euxassay_004845_13
TS23: telencephalon ventricular layer Strong Uniform euxassay_004845_13
TS23: midbrain ventricular layer Strong Regionally restricted euxassay_004845_13
TS23: inferior colliculus Present euxassay_004845_13
TS23: hypothalamus ventricular layer Moderate Regionally restricted euxassay_004845_13
TS23: diencephalon lateral wall ventricular layer Moderate Regionally restricted euxassay_004845_13
TS23: medulla oblongata basal plate ventricular layer Moderate Regionally restricted euxassay_004845_13
TS23: pons ventricular layer Moderate Regionally restricted euxassay_004845_13
TS23: thymus primordium Strong Uniform euxassay_004845_13
TS23: right lung Strong Regionally restricted euxassay_004845_13
TS23: pancreas Strong Regionally restricted euxassay_004845_13
TS23: liver right lobe Moderate Regionally restricted euxassay_004845_13
TS23: upper jaw incisor Moderate Regionally restricted euxassay_004845_13

Specimen euxassay_004845_14: embryonic day 14.5 (more )
Note: Additional information for this specimen was included in the Eurexpress data submission file.
Structure Level Pattern Image Note
TS23: axial musculature Strong Regionally restricted euxassay_004845_14
TS23: midbrain ventricular layer Strong Regionally restricted euxassay_004845_14
TS23: inferior colliculus Present euxassay_004845_14
TS23: diencephalon lateral wall ventricular layer Moderate Regionally restricted euxassay_004845_14
TS23: hypothalamus ventricular layer Moderate Regionally restricted euxassay_004845_14
TS23: thymus primordium Strong Uniform euxassay_004845_14
TS23: right lung Strong Regionally restricted euxassay_004845_14
TS23: pancreas Strong Regionally restricted euxassay_004845_14
TS23: liver right lobe Moderate Regionally restricted euxassay_004845_14
TS23: lower jaw incisor Moderate Regionally restricted euxassay_004845_14

Specimen euxassay_004845_15: embryonic day 14.5 (more )
Note: Additional information for this specimen was included in the Eurexpress data submission file.
Structure Level Pattern Image Note
TS23: axial musculature Strong Regionally restricted euxassay_004845_15
TS23: midbrain ventricular layer Strong Regionally restricted euxassay_004845_15
TS23: inferior colliculus Present euxassay_004845_15
TS23: right lung Strong Regionally restricted euxassay_004845_15
TS23: submandibular gland primordium Strong Regionally restricted euxassay_004845_15
TS23: pancreas Strong Regionally restricted euxassay_004845_15
TS23: liver right lobe Moderate Regionally restricted euxassay_004845_15
TS23: midgut loop lumen Moderate Regionally restricted euxassay_004845_15
TS23: upper jaw incisor Moderate Regionally restricted euxassay_004845_15
TS23: lower jaw incisor Moderate Regionally restricted euxassay_004845_15

Specimen euxassay_004845_16: embryonic day 14.5 (more )
Note: Additional information for this specimen was included in the Eurexpress data submission file.
Structure Level Pattern Image Note
TS23: axial musculature Strong Regionally restricted euxassay_004845_16
TS23: telencephalon ventricular layer Strong Uniform euxassay_004845_16
TS23: midbrain ventricular layer Strong Regionally restricted euxassay_004845_16
TS23: inferior colliculus Present euxassay_004845_16
TS23: right lung Moderate Regionally restricted euxassay_004845_16
TS23: submandibular gland primordium Strong Regionally restricted euxassay_004845_16
TS23: liver right lobe Moderate Regionally restricted euxassay_004845_16
TS23: midgut loop lumen Moderate Regionally restricted euxassay_004845_16
TS23: upper jaw incisor Moderate Regionally restricted euxassay_004845_16
TS23: lower jaw incisor Moderate Regionally restricted euxassay_004845_16

Specimen euxassay_004845_17: embryonic day 14.5 (more )
Structure Level Pattern Image Note
TS23: axial musculature Strong Regionally restricted euxassay_004845_17
TS23: olfactory cortex ventricular layer Strong Uniform euxassay_004845_17
TS23: telencephalon ventricular layer Strong Uniform euxassay_004845_17
TS23: right lung Moderate Regionally restricted euxassay_004845_17
TS23: submandibular gland primordium Strong Regionally restricted euxassay_004845_17
TS23: liver right lobe Moderate Regionally restricted euxassay_004845_17
TS23: midgut loop lumen Moderate Regionally restricted euxassay_004845_17
TS23: upper jaw molar Moderate Regionally restricted euxassay_004845_17
TS23: upper jaw incisor Moderate Regionally restricted euxassay_004845_17
TS23: lower jaw molar Moderate Regionally restricted euxassay_004845_17

Specimen euxassay_004845_18: embryonic day 14.5 (more )
Structure Level Pattern Image Note
TS23: axial musculature Strong Regionally restricted euxassay_004845_18
TS23: telencephalon ventricular layer Strong Uniform euxassay_004845_18
TS23: olfactory cortex ventricular layer Strong Uniform euxassay_004845_18
TS23: right lung Moderate Regionally restricted euxassay_004845_18
TS23: submandibular gland primordium Strong Regionally restricted euxassay_004845_18
TS23: liver right lobe Moderate Regionally restricted euxassay_004845_18
TS23: midgut loop lumen Moderate Regionally restricted euxassay_004845_18
TS23: upper jaw molar Moderate Regionally restricted euxassay_004845_18
TS23: lower jaw molar Moderate Regionally restricted euxassay_004845_18

Specimen euxassay_004845_19: embryonic day 14.5 (more )
Structure Level Pattern Image Note
TS23: axial musculature Strong Regionally restricted euxassay_004845_19
TS23: telencephalon ventricular layer Strong Uniform euxassay_004845_19
TS23: right lung Moderate Regionally restricted euxassay_004845_19
TS23: submandibular gland primordium Strong Regionally restricted euxassay_004845_19
TS23: liver right lobe Moderate Regionally restricted euxassay_004845_19
TS23: midgut loop lumen Moderate Regionally restricted euxassay_004845_19
TS23: upper jaw molar Moderate Regionally restricted euxassay_004845_19
TS23: lower jaw molar Moderate Regionally restricted euxassay_004845_19

Specimen euxassay_004845_20: embryonic day 14.5 (more )
Structure Level Pattern Image Note
TS23: axial musculature Strong Regionally restricted euxassay_004845_20
TS23: telencephalon ventricular layer Strong Uniform euxassay_004845_20
TS23: right lung Moderate Regionally restricted euxassay_004845_20
TS23: liver right lobe Moderate Regionally restricted euxassay_004845_20
TS23: midgut loop lumen Moderate Regionally restricted euxassay_004845_20
TS23: upper jaw molar Moderate Regionally restricted euxassay_004845_20
TS23: lower jaw molar Moderate Regionally restricted euxassay_004845_20
TS23: vibrissa Weak Regionally restricted euxassay_004845_20

Specimen euxassay_004845_21: embryonic day 14.5 (more )
Structure Level Pattern Image Note
TS23: telencephalon ventricular layer Strong Uniform euxassay_004845_21
TS23: right lung Moderate Regionally restricted euxassay_004845_21
TS23: liver right lobe Moderate Regionally restricted euxassay_004845_21
TS23: midgut loop lumen Moderate Regionally restricted euxassay_004845_21
TS23: vibrissa Weak Regionally restricted euxassay_004845_21

Specimen euxassay_004845_22: embryonic day 14.5 (more )
Structure Level Pattern Image Note
TS23: telencephalon ventricular layer Strong Uniform euxassay_004845_22
TS23: right lung Moderate Regionally restricted euxassay_004845_22
TS23: liver right lobe Moderate Regionally restricted euxassay_004845_22
TS23: midgut loop lumen Moderate Regionally restricted euxassay_004845_22
TS23: vibrissa Weak Regionally restricted euxassay_004845_22

Specimen euxassay_004845_23: embryonic day 14.5 (more )
Structure Level Pattern Image Note
TS23: telencephalon ventricular layer Strong Uniform euxassay_004845_23
TS23: right lung Moderate Regionally restricted euxassay_004845_23
TS23: liver right lobe Moderate Regionally restricted euxassay_004845_23
TS23: midgut loop lumen Moderate Regionally restricted euxassay_004845_23

Specimen euxassay_004845_24: embryonic day 14.5 (more )
Structure Level Pattern Image Note
TS23: telencephalon ventricular layer Strong Uniform euxassay_004845_24
TS23: liver right lobe Moderate Regionally restricted euxassay_004845_24
TS23: midgut loop lumen Moderate Regionally restricted euxassay_004845_24

Specimen euxassay_004845_25: embryonic day 14.5 (more )
Structure Level Pattern Image Note
TS23: liver right lobe Moderate Regionally restricted euxassay_004845_25

Specimen euxassay_004845_26: embryonic day 14.5 (more )
Structure Level Pattern Image Note
TS23: liver right lobe Moderate Regionally restricted euxassay_004845_26

Specimen euxassay_004845_27: embryonic day 14.5 (more )
Structure Level Pattern Image Note
TS23: liver right lobe Moderate Regionally restricted euxassay_004845_27


Contributing Projects:
Mouse Genome Database (MGD), Gene Expression Database (GXD), Mouse Models of Human Cancer database (MMHCdb) (formerly Mouse Tumor Biology (MTB)), Gene Ontology (GO)
Citing These Resources
Funding Information
Warranty Disclaimer, Privacy Notice, Licensing, & Copyright
Send questions and comments to User Support.
last database update
01/06/2026
MGI 6.24
The Jackson Laboratory