About   Help   FAQ
Gene Expression Data
Assay Details
Assay
Reference: J:153498 Diez-Roux G, et al., A high-resolution anatomical atlas of the transcriptome in the mouse embryo. PLoS Biol. 2011;9(1):e1000582
Assay type: RNA in situ
MGI Accession ID: MGI:4826458
Gene symbol: Mrps6
Gene name: mitochondrial ribosomal protein S6
Probe: MGC clone 27789
Probe preparation: Antisense labelled with digoxigenin RNA
Visualized with: Alkaline phosphatase
Assay notes: Cryosections of fresh frozen material were fixed in 4% paraformaldehyde for 20 min. before further processing. A tyramide-biotin/streptavidin amplification step was included in the in situ hybridization procedure.
Results
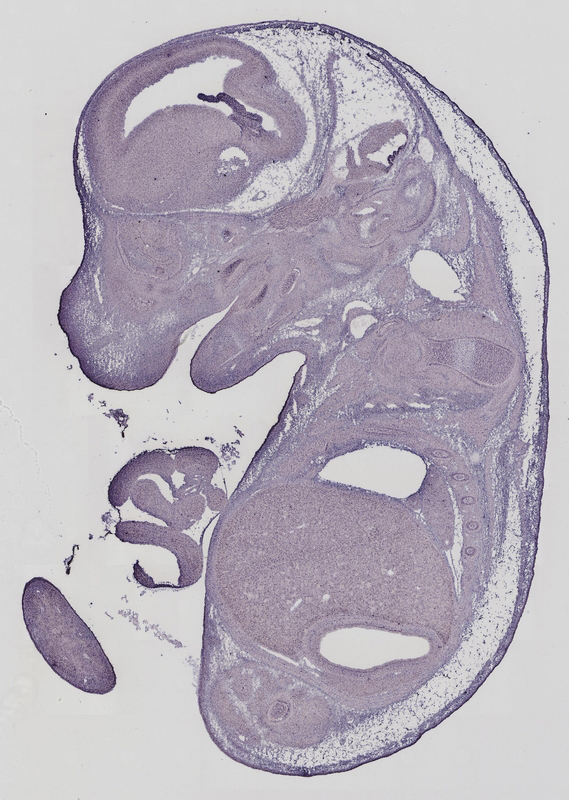
Specimen euxassay_000228_05: embryonic day 14.5 (more )
Structure Level Pattern Image Note
TS23: lateral ventricle choroid plexus Strong Uniform euxassay_000228_05
TS23: medulla oblongata part of 4th ventricle choroid plexus Strong Uniform euxassay_000228_05

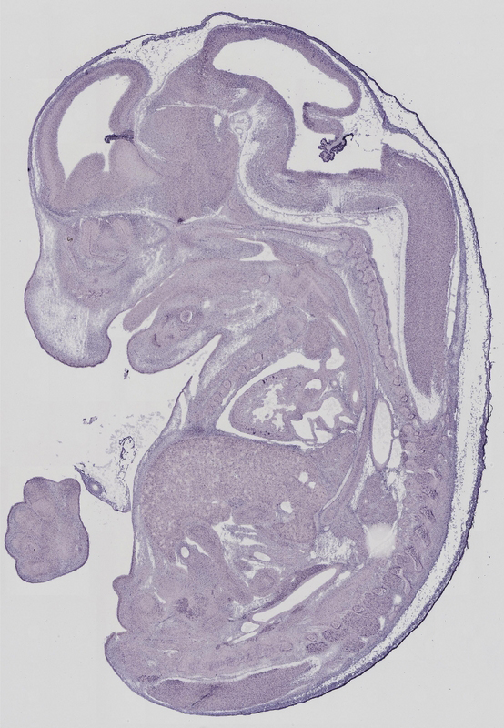
Specimen euxassay_000228_06: embryonic day 14.5 (more )
Structure Level Pattern Image Note
TS23: medulla oblongata part of 4th ventricle choroid plexus Strong Uniform euxassay_000228_06
TS23: lateral ventricle choroid plexus Strong Uniform euxassay_000228_06

Specimen euxassay_000228_07: embryonic day 14.5 (more )
Structure Level Pattern Image Note
TS23: medulla oblongata part of 4th ventricle choroid plexus Strong Uniform euxassay_000228_07
TS23: lateral ventricle choroid plexus Strong Uniform euxassay_000228_07

Specimen euxassay_000228_08: embryonic day 14.5 (more )
Structure Level Pattern Image Note
TS23: lateral ventricle choroid plexus Strong Uniform euxassay_000228_08
TS23: medulla oblongata part of 4th ventricle choroid plexus Strong Uniform euxassay_000228_08

Specimen euxassay_000228_09: embryonic day 14.5 (more )
Structure Level Pattern Image Note
TS23: lateral ventricle choroid plexus Strong Uniform euxassay_000228_09
TS23: medulla oblongata part of 4th ventricle choroid plexus Strong Uniform euxassay_000228_09

Specimen euxassay_000228_10: embryonic day 14.5 (more )
Note: Additional information for this specimen was included in the Eurexpress data submission file.
Structure Level Pattern Image Note
TS23: lateral ventricle choroid plexus Strong Uniform euxassay_000228_10
TS23: medulla oblongata part of 4th ventricle choroid plexus Strong Uniform euxassay_000228_10
TS23: telencephalon Weak Regionally restricted euxassay_000228_10 commissural plate and optic chiasm region

Specimen euxassay_000228_11: embryonic day 14.5 (more )
Note: Additional information for this specimen was included in the Eurexpress data submission file.
Structure Level Pattern Image Note
TS23: lateral ventricle choroid plexus Strong Uniform euxassay_000228_11
TS23: medulla oblongata part of 4th ventricle choroid plexus Strong Uniform euxassay_000228_11
TS23: metencephalon Moderate Regionally restricted euxassay_000228_11
TS23: midbrain-hindbrain junction Present Regionally restricted euxassay_000228_11 isthmic ventricular layer

Specimen euxassay_000228_12: embryonic day 14.5 (more )
Note: Additional information for this specimen was included in the Eurexpress data submission file.
Structure Level Pattern Image Note
TS23: metencephalon Moderate Regionally restricted euxassay_000228_12
TS23: midbrain-hindbrain junction Present Regionally restricted euxassay_000228_12 isthmic ventricular layer
TS23: medulla oblongata part of 4th ventricle choroid plexus Strong Uniform euxassay_000228_12
TS23: lateral ventricle choroid plexus Strong Uniform euxassay_000228_12

Specimen euxassay_000228_13: embryonic day 14.5 (more )
Note: Additional information for this specimen was included in the Eurexpress data submission file.
Structure Level Pattern Image Note
TS23: medulla oblongata part of 4th ventricle choroid plexus Strong Uniform euxassay_000228_13
TS23: lateral ventricle choroid plexus Strong Uniform euxassay_000228_13
TS23: metencephalon Moderate Regionally restricted euxassay_000228_13
TS23: midbrain-hindbrain junction Present Regionally restricted euxassay_000228_13 isthmic ventricular layer

Specimen euxassay_000228_14: embryonic day 14.5 (more )
Note: Additional information for this specimen was included in the Eurexpress data submission file.
Structure Level Pattern Image Note
TS23: lateral ventricle choroid plexus Strong Uniform euxassay_000228_14
TS23: medulla oblongata part of 4th ventricle choroid plexus Strong Uniform euxassay_000228_14
TS23: metencephalon Moderate Regionally restricted euxassay_000228_14
TS23: midbrain-hindbrain junction Present Regionally restricted euxassay_000228_14 isthmic ventricular layer

Specimen euxassay_000228_15: embryonic day 14.5 (more )
Note: Additional information for this specimen was included in the Eurexpress data submission file.
Structure Level Pattern Image Note
TS23: lateral ventricle choroid plexus Strong Uniform euxassay_000228_15
TS23: medulla oblongata part of 4th ventricle choroid plexus Strong Uniform euxassay_000228_15
TS23: metencephalon Moderate Regionally restricted euxassay_000228_15
TS23: midbrain-hindbrain junction Present Regionally restricted euxassay_000228_15 isthmic ventricular layer

Specimen euxassay_000228_16: embryonic day 14.5 (more )
Note: Additional information for this specimen was included in the Eurexpress data submission file.
Structure Level Pattern Image Note
TS23: medulla oblongata part of 4th ventricle choroid plexus Strong Uniform euxassay_000228_16
TS23: lateral ventricle choroid plexus Strong Uniform euxassay_000228_16
TS23: metencephalon Moderate Regionally restricted euxassay_000228_16
TS23: midbrain-hindbrain junction Present Regionally restricted euxassay_000228_16 isthmic ventricular layer

Specimen euxassay_000228_17: embryonic day 14.5 (more )
Note: Additional information for this specimen was included in the Eurexpress data submission file.
Structure Level Pattern Image Note
TS23: lateral ventricle choroid plexus Strong Uniform euxassay_000228_17
TS23: medulla oblongata part of 4th ventricle choroid plexus Strong Uniform euxassay_000228_17
TS23: metencephalon Weak Regionally restricted euxassay_000228_17
TS23: midbrain-hindbrain junction Present Regionally restricted euxassay_000228_17 isthmic ventricular layer

Specimen euxassay_000228_18: embryonic day 14.5 (more )
Structure Level Pattern Image Note
TS23: medulla oblongata part of 4th ventricle choroid plexus Strong Uniform euxassay_000228_18
TS23: lateral ventricle choroid plexus Strong Uniform euxassay_000228_18

Specimen euxassay_000228_19: embryonic day 14.5 (more )
Structure Level Pattern Image Note
TS23: lateral ventricle choroid plexus Strong Uniform euxassay_000228_19
TS23: medulla oblongata part of 4th ventricle choroid plexus Strong Uniform euxassay_000228_19

Specimen euxassay_000228_20: embryonic day 14.5 (more )
Structure Level Pattern Image Note
TS23: medulla oblongata part of 4th ventricle choroid plexus Strong Uniform euxassay_000228_20


Contributing Projects:
Mouse Genome Database (MGD), Gene Expression Database (GXD), Mouse Models of Human Cancer database (MMHCdb) (formerly Mouse Tumor Biology (MTB)), Gene Ontology (GO)
Citing These Resources
Funding Information
Warranty Disclaimer, Privacy Notice, Licensing, & Copyright
Send questions and comments to User Support.
last database update
12/30/2025
MGI 6.24
The Jackson Laboratory