About   Help   FAQ
Gene Expression Data
Assay Details
Assay
Reference: J:153498 Diez-Roux G, et al., A high-resolution anatomical atlas of the transcriptome in the mouse embryo. PLoS Biol. 2011;9(1):e1000582
Assay type: RNA in situ
MGI Accession ID: MGI:4826456
Gene symbol: Mrps31
Gene name: mitochondrial ribosomal protein S31
Probe: T30990
Probe preparation: Antisense labelled with digoxigenin RNA
Visualized with: Alkaline phosphatase
Assay notes: Cryosections of fresh frozen material were fixed in 4% paraformaldehyde for 20 min. before further processing. A tyramide-biotin/streptavidin amplification step was included in the in situ hybridization procedure.
Results
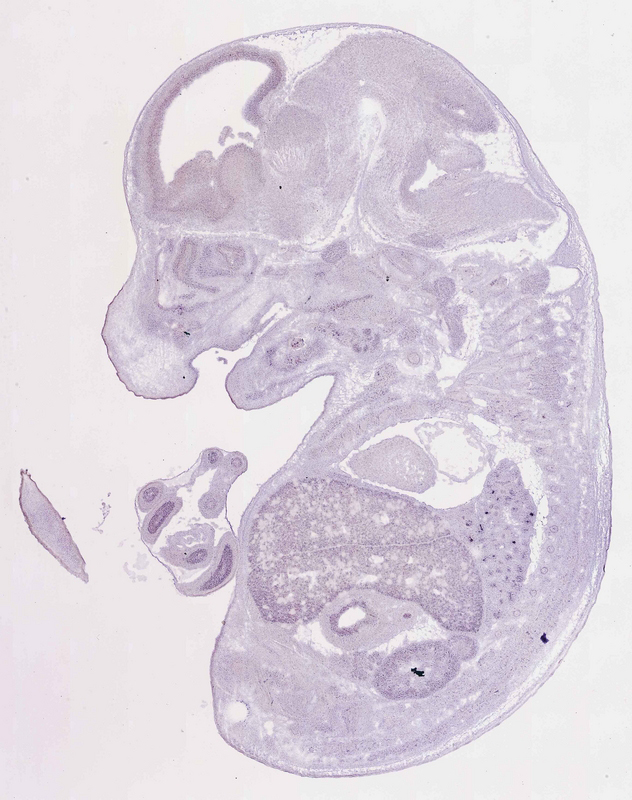
Specimen euxassay_011534_01: embryonic day 14.5 (more )
Structure Level Pattern Image Note
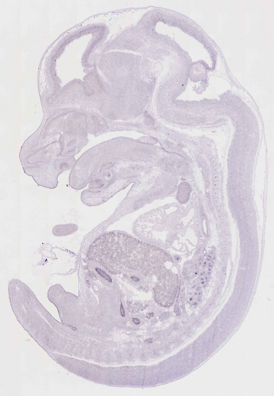
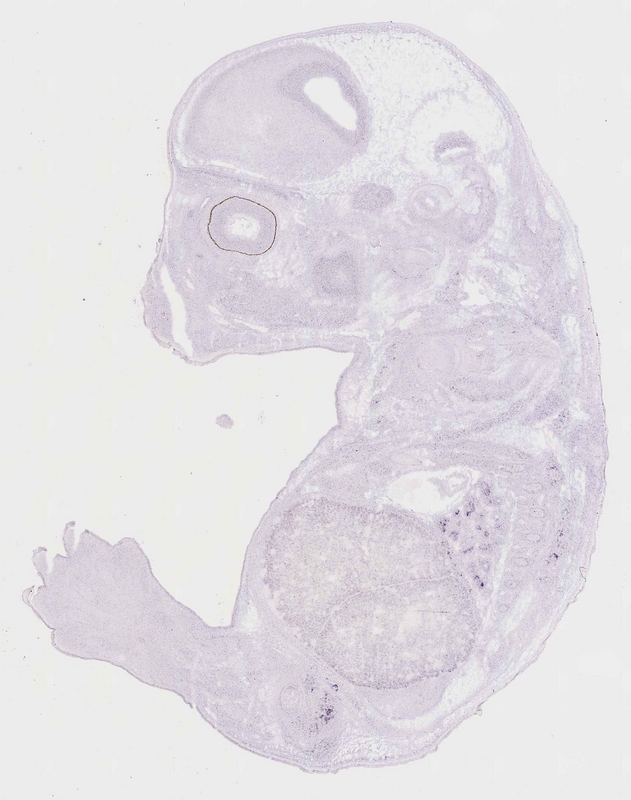
TS23: liver Strong Regionally restricted euxassay_011534_01

Specimen euxassay_011534_02: embryonic day 14.5 (more )
Structure Level Pattern Image Note
TS23: liver Strong Regionally restricted euxassay_011534_02

Specimen euxassay_011534_03: embryonic day 14.5 (more )
Structure Level Pattern Image Note
TS23: liver Strong Regionally restricted euxassay_011534_03

Specimen euxassay_011534_04: embryonic day 14.5 (more )
Structure Level Pattern Image Note
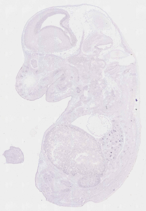
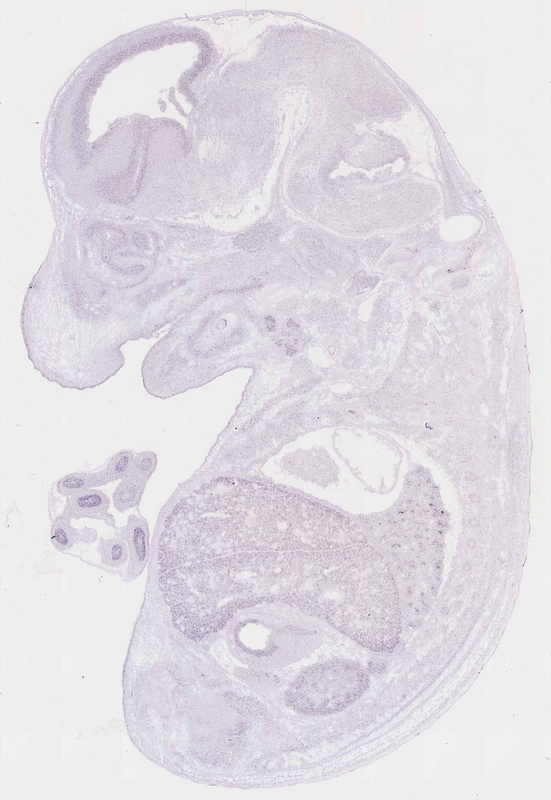
TS23: liver Strong Regionally restricted euxassay_011534_04
TS23: left lung Moderate Regionally restricted euxassay_011534_04

Specimen euxassay_011534_05: embryonic day 14.5 (more )
Structure Level Pattern Image Note
TS23: liver Strong Regionally restricted euxassay_011534_05
TS23: left lung Moderate Regionally restricted euxassay_011534_05

Specimen euxassay_011534_06: embryonic day 14.5 (more )
Structure Level Pattern Image Note
TS23: liver Strong Regionally restricted euxassay_011534_06
TS23: left lung Strong Regionally restricted euxassay_011534_06

Specimen euxassay_011534_07: embryonic day 14.5 (more )
Structure Level Pattern Image Note
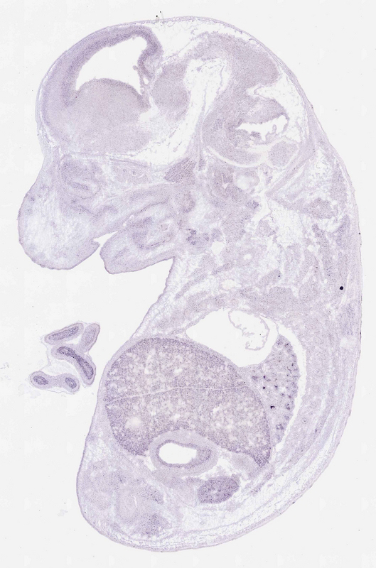
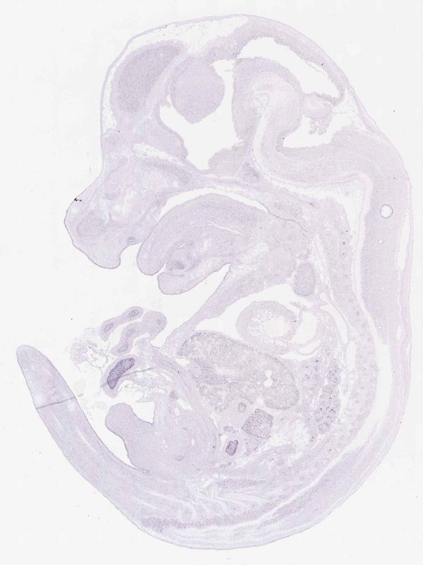
TS23: liver Strong Regionally restricted euxassay_011534_07
TS23: left lung Strong Regionally restricted euxassay_011534_07
TS23: metanephros Strong Regionally restricted euxassay_011534_07
TS23: stomach Moderate Regionally restricted euxassay_011534_07
TS23: midgut Moderate Regionally restricted euxassay_011534_07

Specimen euxassay_011534_08: embryonic day 14.5 (more )
Structure Level Pattern Image Note
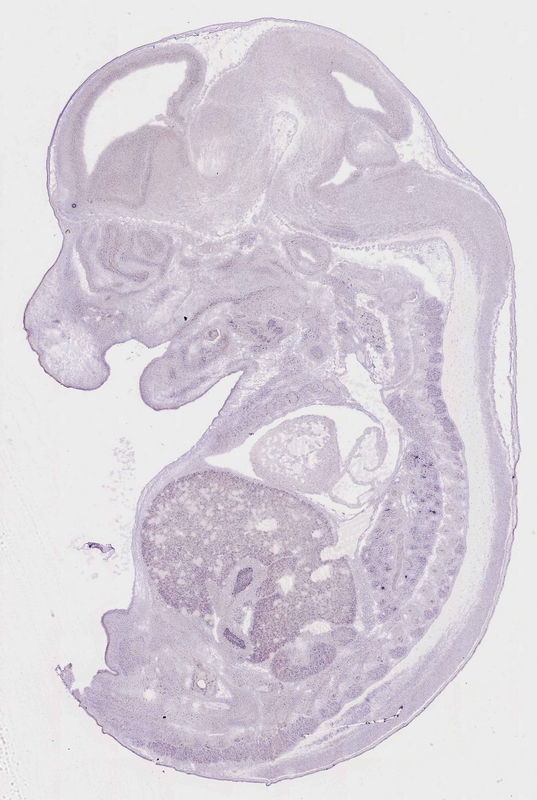
TS23: liver Strong Regionally restricted euxassay_011534_08
TS23: left lung Strong Regionally restricted euxassay_011534_08
TS23: metanephros Strong Regionally restricted euxassay_011534_08
TS23: stomach Moderate Regionally restricted euxassay_011534_08
TS23: midgut Moderate Regionally restricted euxassay_011534_08

Specimen euxassay_011534_09: embryonic day 14.5 (more )
Structure Level Pattern Image Note
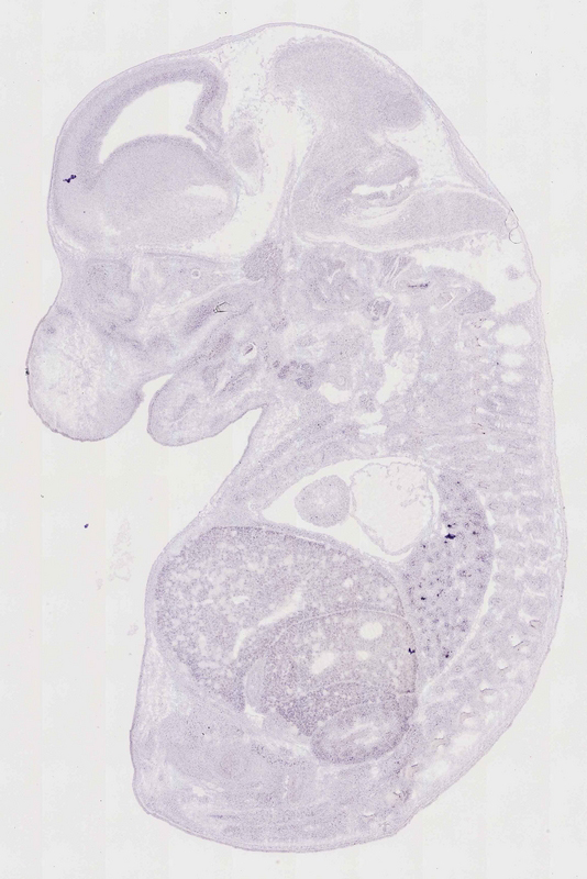
TS23: liver Strong Regionally restricted euxassay_011534_09
TS23: left lung Strong Regionally restricted euxassay_011534_09
TS23: metanephros Strong Regionally restricted euxassay_011534_09
TS23: stomach Strong Regionally restricted euxassay_011534_09
TS23: midgut Strong Regionally restricted euxassay_011534_09

Specimen euxassay_011534_10: embryonic day 14.5 (more )
Structure Level Pattern Image Note
TS23: liver Strong Regionally restricted euxassay_011534_10
TS23: left lung Strong Regionally restricted euxassay_011534_10
TS23: metanephros Strong Regionally restricted euxassay_011534_10
TS23: midgut Strong Regionally restricted euxassay_011534_10
TS23: stomach Strong Regionally restricted euxassay_011534_10

Specimen euxassay_011534_11: embryonic day 14.5 (more )
Structure Level Pattern Image Note
TS23: liver Strong Regionally restricted euxassay_011534_11
TS23: left lung Strong Regionally restricted euxassay_011534_11
TS23: metanephros Strong Regionally restricted euxassay_011534_11
TS23: midgut Strong Regionally restricted euxassay_011534_11

Specimen euxassay_011534_12: embryonic day 14.5 (more )
Structure Level Pattern Image Note
TS23: liver Strong Regionally restricted euxassay_011534_12
TS23: left lung Strong Regionally restricted euxassay_011534_12
TS23: midgut Strong Regionally restricted euxassay_011534_12

Specimen euxassay_011534_13: embryonic day 14.5 (more )
Structure Level Pattern Image Note
TS23: liver Strong Regionally restricted euxassay_011534_13
TS23: left lung Strong Regionally restricted euxassay_011534_13
TS23: midgut Strong Regionally restricted euxassay_011534_13

Specimen euxassay_011534_14: embryonic day 14.5 (more )
Structure Level Pattern Image Note
TS23: liver Strong Regionally restricted euxassay_011534_14
TS23: left lung Strong Regionally restricted euxassay_011534_14
TS23: midgut Strong Regionally restricted euxassay_011534_14

Specimen euxassay_011534_15: embryonic day 14.5 (more )
Structure Level Pattern Image Note
TS23: liver Strong Regionally restricted euxassay_011534_15
TS23: right lung Strong Regionally restricted euxassay_011534_15
TS23: midgut Strong Regionally restricted euxassay_011534_15

Specimen euxassay_011534_16: embryonic day 14.5 (more )
Structure Level Pattern Image Note
TS23: liver Strong Regionally restricted euxassay_011534_16
TS23: right lung Moderate Regionally restricted euxassay_011534_16
TS23: midgut Strong Regionally restricted euxassay_011534_16

Specimen euxassay_011534_17: embryonic day 14.5 (more )
Structure Level Pattern Image Note
TS23: liver Strong Regionally restricted euxassay_011534_17
TS23: right lung Strong Regionally restricted euxassay_011534_17
TS23: metanephros Strong Regionally restricted euxassay_011534_17
TS23: midgut Strong Regionally restricted euxassay_011534_17

Specimen euxassay_011534_18: embryonic day 14.5 (more )
Structure Level Pattern Image Note
TS23: liver Strong Regionally restricted euxassay_011534_18
TS23: right lung Strong Regionally restricted euxassay_011534_18
TS23: metanephros Strong Regionally restricted euxassay_011534_18
TS23: midgut Strong Regionally restricted euxassay_011534_18

Specimen euxassay_011534_19: embryonic day 14.5 (more )
Structure Level Pattern Image Note
TS23: liver Strong Regionally restricted euxassay_011534_19
TS23: right lung Strong Regionally restricted euxassay_011534_19
TS23: metanephros Strong Regionally restricted euxassay_011534_19

Specimen euxassay_011534_20: embryonic day 14.5 (more )
Structure Level Pattern Image Note
TS23: liver Moderate Regionally restricted euxassay_011534_20
TS23: right lung Strong Regionally restricted euxassay_011534_20
TS23: metanephros Moderate Regionally restricted euxassay_011534_20

Specimen euxassay_011534_21: embryonic day 14.5 (more )
Structure Level Pattern Image Note
TS23: liver Moderate Regionally restricted euxassay_011534_21
TS23: right lung Strong Regionally restricted euxassay_011534_21
TS23: metanephros Strong Regionally restricted euxassay_011534_21

Specimen euxassay_011534_22: embryonic day 14.5 (more )
Structure Level Pattern Image Note
TS23: liver Moderate Regionally restricted euxassay_011534_22
TS23: right lung Strong Regionally restricted euxassay_011534_22

Specimen euxassay_011534_23: embryonic day 14.5 (more )
Structure Level Pattern Image Note
TS23: liver Moderate Regionally restricted euxassay_011534_23
TS23: right lung Strong Regionally restricted euxassay_011534_23

Specimen euxassay_011534_24: embryonic day 14.5 (more )
Structure Level Pattern Image Note
TS23: liver Moderate Regionally restricted euxassay_011534_24
TS23: right lung Strong Regionally restricted euxassay_011534_24


Contributing Projects:
Mouse Genome Database (MGD), Gene Expression Database (GXD), Mouse Models of Human Cancer database (MMHCdb) (formerly Mouse Tumor Biology (MTB)), Gene Ontology (GO)
Citing These Resources
Funding Information
Warranty Disclaimer, Privacy Notice, Licensing, & Copyright
Send questions and comments to User Support.
last database update
12/30/2025
MGI 6.24
The Jackson Laboratory