About   Help   FAQ
Gene Expression Data
Assay Details
Assay
Reference: J:153498 Diez-Roux G, et al., A high-resolution anatomical atlas of the transcriptome in the mouse embryo. PLoS Biol. 2011;9(1):e1000582
Assay type: RNA in situ
MGI Accession ID: MGI:4826455
Gene symbol: Mrps30
Gene name: mitochondrial ribosomal protein S30
Probe: MGC clone 36913
Probe preparation: Antisense labelled with digoxigenin RNA
Visualized with: Alkaline phosphatase
Assay notes: Cryosections of fresh frozen material were fixed in 4% paraformaldehyde for 20 min. before further processing. A tyramide-biotin/streptavidin amplification step was included in the in situ hybridization procedure.
Results
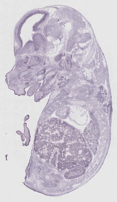
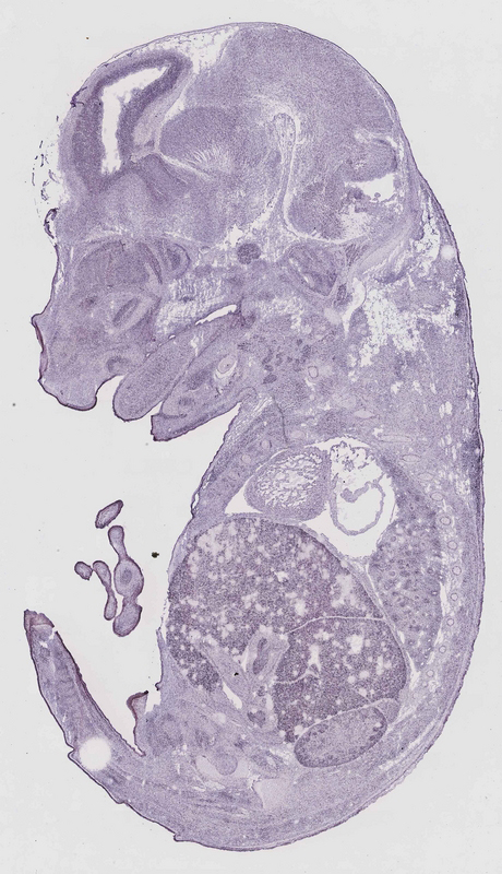
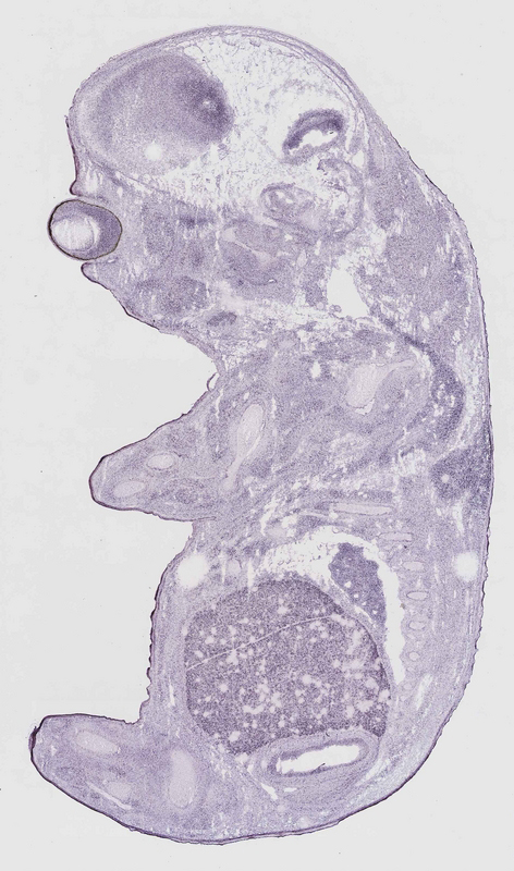
Specimen euxassay_001482_01: embryonic day 14.5 (more )
Structure Level Pattern Image Note
TS23: liver lobe Weak Regionally restricted euxassay_001482_01

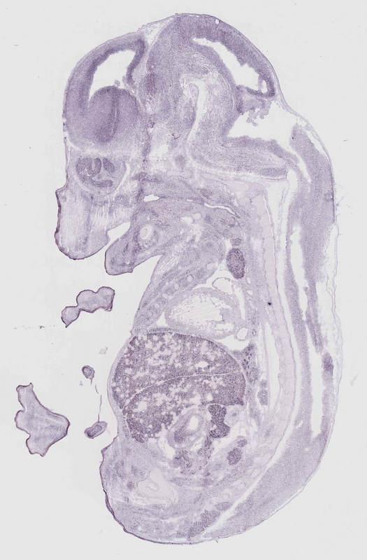
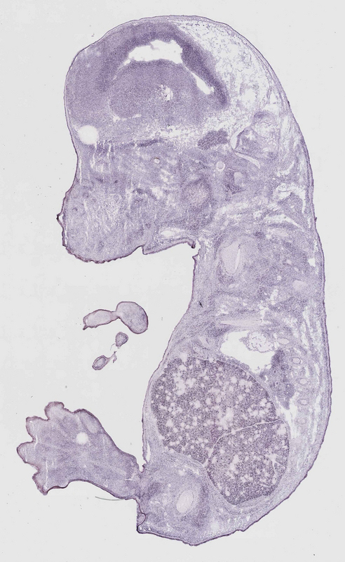
Specimen euxassay_001482_02: embryonic day 14.5 (more )
Structure Level Pattern Image Note
TS23: liver lobe Weak Regionally restricted euxassay_001482_02

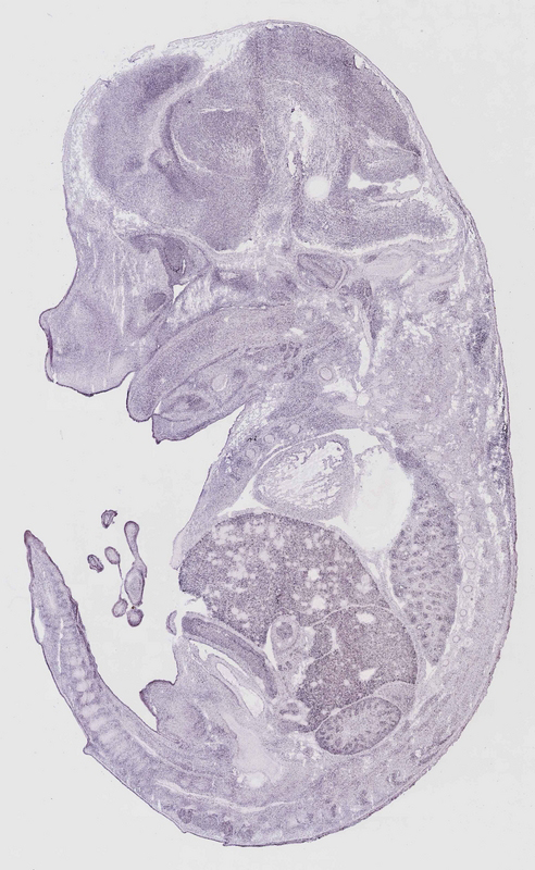
Specimen euxassay_001482_03: embryonic day 14.5 (more )
Structure Level Pattern Image Note
TS23: telencephalon ventricular layer Moderate Uniform euxassay_001482_03
TS23: liver lobe Weak Regionally restricted euxassay_001482_03

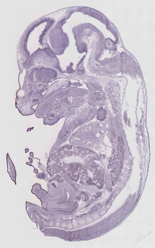
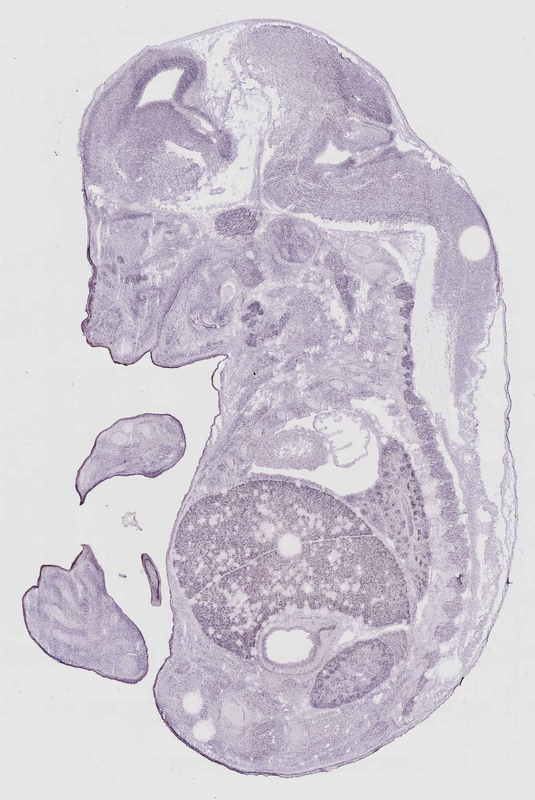
Specimen euxassay_001482_04: embryonic day 14.5 (more )
Structure Level Pattern Image Note
TS23: telencephalon ventricular layer Moderate Uniform euxassay_001482_04
TS23: liver lobe Weak Regionally restricted euxassay_001482_04

Specimen euxassay_001482_05: embryonic day 14.5 (more )
Structure Level Pattern Image Note
TS23: telencephalon ventricular layer Moderate Uniform euxassay_001482_05
TS23: liver lobe Weak Regionally restricted euxassay_001482_05

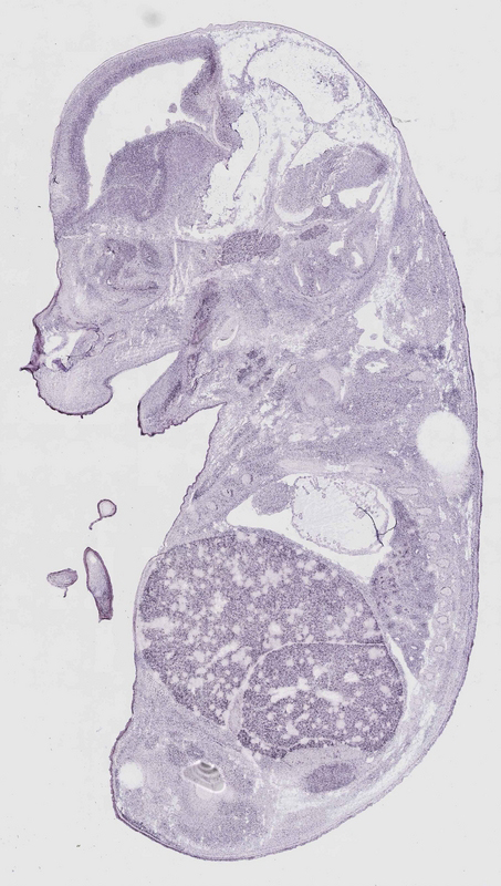
Specimen euxassay_001482_06: embryonic day 14.5 (more )
Structure Level Pattern Image Note
TS23: telencephalon ventricular layer Moderate Uniform euxassay_001482_06
TS23: liver lobe Weak Regionally restricted euxassay_001482_06
TS23: tail dorsal root ganglion Moderate Regionally restricted euxassay_001482_06
TS23: renal cortex Weak Uniform euxassay_001482_06

Specimen euxassay_001482_07: embryonic day 14.5 (more )
Structure Level Pattern Image Note
TS23: telencephalon ventricular layer Moderate Uniform euxassay_001482_07
TS23: liver lobe Weak Regionally restricted euxassay_001482_07
TS23: tail dorsal root ganglion Moderate Regionally restricted euxassay_001482_07
TS23: cervical ganglion Weak Regionally restricted euxassay_001482_07
TS23: renal cortex Weak Uniform euxassay_001482_07

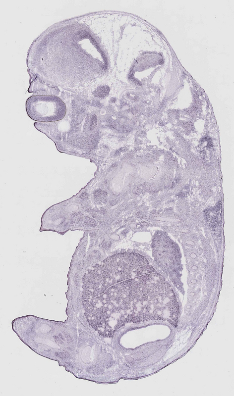
Specimen euxassay_001482_08: embryonic day 14.5 (more )
Structure Level Pattern Image Note
TS23: telencephalon ventricular layer Moderate Uniform euxassay_001482_08
TS23: liver lobe Weak Regionally restricted euxassay_001482_08
TS23: tail dorsal root ganglion Moderate Regionally restricted euxassay_001482_08
TS23: cervico-thoracic ganglion Weak Regionally restricted euxassay_001482_08
TS23: cervical ganglion Weak Regionally restricted euxassay_001482_08
TS23: renal cortex Weak Uniform euxassay_001482_08

Specimen euxassay_001482_09: embryonic day 14.5 (more )
Structure Level Pattern Image Note
TS23: telencephalon ventricular layer Moderate Uniform euxassay_001482_09
TS23: liver lobe Weak Regionally restricted euxassay_001482_09
TS23: renal cortex Weak Uniform euxassay_001482_09

Specimen euxassay_001482_10: embryonic day 14.5 (more )
Structure Level Pattern Image Note
TS23: telencephalon ventricular layer Moderate Uniform euxassay_001482_10
TS23: liver lobe Weak Regionally restricted euxassay_001482_10
TS23: thymus primordium Weak Uniform euxassay_001482_10

Specimen euxassay_001482_11: embryonic day 14.5 (more )
Structure Level Pattern Image Note
TS23: telencephalon ventricular layer Moderate Uniform euxassay_001482_11
TS23: liver lobe Weak Regionally restricted euxassay_001482_11
TS23: thymus primordium Weak Uniform euxassay_001482_11
TS23: thoracic ganglion Weak Regionally restricted euxassay_001482_11

Specimen euxassay_001482_12: embryonic day 14.5 (more )
Structure Level Pattern Image Note
TS23: telencephalon ventricular layer Moderate Uniform euxassay_001482_12
TS23: liver lobe Weak Regionally restricted euxassay_001482_12
TS23: thymus primordium Weak Uniform euxassay_001482_12
TS23: thoracic ganglion Weak Regionally restricted euxassay_001482_12

Specimen euxassay_001482_13: embryonic day 14.5 (more )
Structure Level Pattern Image Note
TS23: telencephalon ventricular layer Moderate Uniform euxassay_001482_13
TS23: liver lobe Weak Regionally restricted euxassay_001482_13
TS23: thymus primordium Weak Uniform euxassay_001482_13

Specimen euxassay_001482_14: embryonic day 14.5 (more )
Structure Level Pattern Image Note
TS23: telencephalon ventricular layer Moderate Uniform euxassay_001482_14
TS23: liver lobe Weak Regionally restricted euxassay_001482_14
TS23: tail dorsal root ganglion Moderate Regionally restricted euxassay_001482_14
TS23: thymus primordium Weak Uniform euxassay_001482_14
TS23: cervico-thoracic ganglion Weak Regionally restricted euxassay_001482_14

Specimen euxassay_001482_15: embryonic day 14.5 (more )
Structure Level Pattern Image Note
TS23: liver lobe Weak Regionally restricted euxassay_001482_15
TS23: tail dorsal root ganglion Moderate Regionally restricted euxassay_001482_15
TS23: cervical ganglion Weak Regionally restricted euxassay_001482_15
TS23: renal cortex Weak Uniform euxassay_001482_15

Specimen euxassay_001482_16: embryonic day 14.5 (more )
Structure Level Pattern Image Note
TS23: liver lobe Weak Regionally restricted euxassay_001482_16
TS23: cervical ganglion Weak Regionally restricted euxassay_001482_16
TS23: renal cortex Weak Uniform euxassay_001482_16

Specimen euxassay_001482_17: embryonic day 14.5 (more )
Structure Level Pattern Image Note
TS23: telencephalon ventricular layer Moderate Uniform euxassay_001482_17
TS23: liver lobe Weak Regionally restricted euxassay_001482_17
TS23: renal cortex Weak Uniform euxassay_001482_17

Specimen euxassay_001482_18: embryonic day 14.5 (more )
Structure Level Pattern Image Note
TS23: telencephalon ventricular layer Moderate Uniform euxassay_001482_18
TS23: liver lobe Weak Regionally restricted euxassay_001482_18
TS23: renal cortex Weak Uniform euxassay_001482_18

Specimen euxassay_001482_19: embryonic day 14.5 (more )
Structure Level Pattern Image Note
TS23: telencephalon ventricular layer Moderate Uniform euxassay_001482_19
TS23: liver lobe Weak Regionally restricted euxassay_001482_19

Specimen euxassay_001482_20: embryonic day 14.5 (more )
Structure Level Pattern Image Note
TS23: telencephalon ventricular layer Moderate Uniform euxassay_001482_20
TS23: liver lobe Weak Regionally restricted euxassay_001482_20

Specimen euxassay_001482_21: embryonic day 14.5 (more )
Structure Level Pattern Image Note
TS23: telencephalon ventricular layer Moderate Uniform euxassay_001482_21
TS23: liver lobe Weak Regionally restricted euxassay_001482_21

Specimen euxassay_001482_22: embryonic day 14.5 (more )
Structure Level Pattern Image Note
TS23: telencephalon ventricular layer Moderate Uniform euxassay_001482_22
TS23: liver lobe Weak Regionally restricted euxassay_001482_22

Specimen euxassay_001482_23: embryonic day 14.5 (more )
Structure Level Pattern Image Note
TS23: liver lobe Weak Regionally restricted euxassay_001482_23


Contributing Projects:
Mouse Genome Database (MGD), Gene Expression Database (GXD), Mouse Models of Human Cancer database (MMHCdb) (formerly Mouse Tumor Biology (MTB)), Gene Ontology (GO)
Citing These Resources
Funding Information
Warranty Disclaimer, Privacy Notice, Licensing, & Copyright
Send questions and comments to User Support.
last database update
12/09/2025
MGI 6.24
The Jackson Laboratory