About   Help   FAQ
Gene Expression Data
Assay Details
Assay
Reference: J:153498 Diez-Roux G, et al., A high-resolution anatomical atlas of the transcriptome in the mouse embryo. PLoS Biol. 2011;9(1):e1000582
Assay type: RNA in situ
MGI Accession ID: MGI:4826454
Gene symbol: Mrps27
Gene name: mitochondrial ribosomal protein S27
Probe: IMAGE clone 1450742
Probe preparation: Antisense labelled with digoxigenin RNA
Visualized with: Alkaline phosphatase
Assay notes: Cryosections of fresh frozen material were fixed in 4% paraformaldehyde for 20 min. before further processing. A tyramide-biotin/streptavidin amplification step was included in the in situ hybridization procedure.
Results
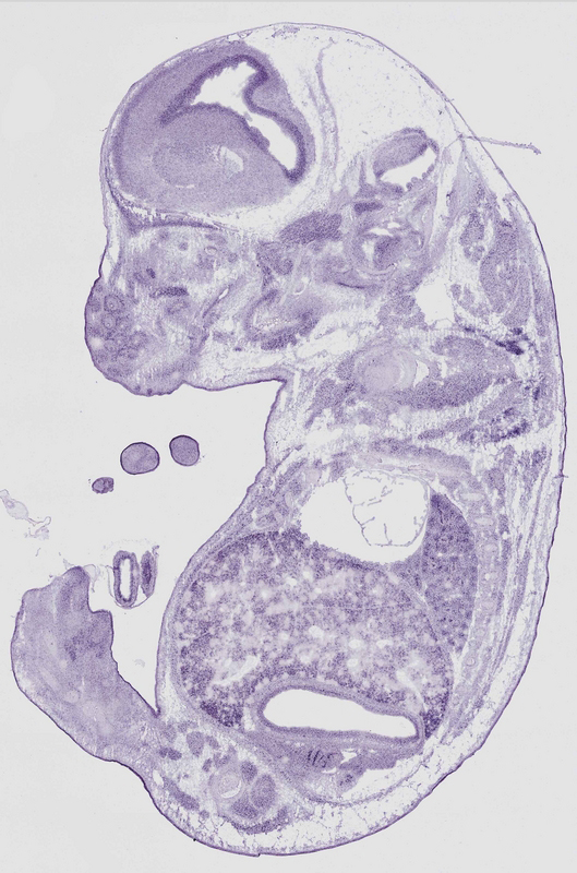
Specimen euxassay_019261_01: embryonic day 14.5 (more )
Structure Level Pattern Image Note
TS23: liver Moderate Regionally restricted euxassay_019261_01
TS23: pharyngo-tympanic tube Moderate Regionally restricted euxassay_019261_01
TS23: neural retina Weak Regionally restricted euxassay_019261_01

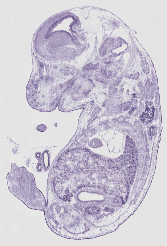
Specimen euxassay_019261_02: embryonic day 14.5 (more )
Structure Level Pattern Image Note
TS23: stomach Weak Regionally restricted euxassay_019261_02
TS23: liver Moderate Regionally restricted euxassay_019261_02
TS23: pharyngo-tympanic tube Moderate Regionally restricted euxassay_019261_02
TS23: telencephalon ventricular layer Moderate Regionally restricted euxassay_019261_02
TS23: neural retina Weak Regionally restricted euxassay_019261_02

Specimen euxassay_019261_03: embryonic day 14.5 (more )
Structure Level Pattern Image Note
TS23: stomach Weak Regionally restricted euxassay_019261_03
TS23: liver Moderate Regionally restricted euxassay_019261_03
TS23: pharyngo-tympanic tube Moderate Regionally restricted euxassay_019261_03
TS23: telencephalon ventricular layer Moderate Regionally restricted euxassay_019261_03
TS23: neural retina Weak Regionally restricted euxassay_019261_03

Specimen euxassay_019261_04: embryonic day 14.5 (more )
Structure Level Pattern Image Note
TS23: stomach Moderate Regionally restricted euxassay_019261_04
TS23: liver Moderate Regionally restricted euxassay_019261_04
TS23: lung Moderate Regionally restricted euxassay_019261_04
TS23: pharyngo-tympanic tube Weak Regionally restricted euxassay_019261_04
TS23: telencephalon ventricular layer Moderate Regionally restricted euxassay_019261_04
TS23: trigeminal ganglion Weak Regionally restricted euxassay_019261_04
TS23: neural retina Weak Regionally restricted euxassay_019261_04

Specimen euxassay_019261_05: embryonic day 14.5 (more )
Structure Level Pattern Image Note
TS23: stomach Weak Regionally restricted euxassay_019261_05
TS23: vibrissa Weak Regionally restricted euxassay_019261_05
TS23: liver Moderate Regionally restricted euxassay_019261_05
TS23: lung Moderate Regionally restricted euxassay_019261_05
TS23: pharyngo-tympanic tube Weak Regionally restricted euxassay_019261_05
TS23: telencephalon ventricular layer Moderate Regionally restricted euxassay_019261_05
TS23: trigeminal ganglion Weak Regionally restricted euxassay_019261_05

Specimen euxassay_019261_06: embryonic day 14.5 (more )
Structure Level Pattern Image Note
TS23: testis Strong Regionally restricted euxassay_019261_06
TS23: stomach Weak Regionally restricted euxassay_019261_06
TS23: midgut Weak Regionally restricted euxassay_019261_06
TS23: vibrissa Weak Regionally restricted euxassay_019261_06
TS23: axial musculature Moderate Regionally restricted euxassay_019261_06
TS23: liver Moderate Regionally restricted euxassay_019261_06
TS23: lung Moderate Regionally restricted euxassay_019261_06
TS23: pharyngo-tympanic tube Weak Regionally restricted euxassay_019261_06
TS23: telencephalon ventricular layer Moderate Regionally restricted euxassay_019261_06
TS23: trigeminal ganglion Weak Regionally restricted euxassay_019261_06
TS23: facial ganglion Weak Regionally restricted euxassay_019261_06

Specimen euxassay_019261_07: embryonic day 14.5 (more )
Structure Level Pattern Image Note
TS23: testis Strong Regionally restricted euxassay_019261_07
TS23: midgut Weak Regionally restricted euxassay_019261_07
TS23: stomach Weak Regionally restricted euxassay_019261_07
TS23: vibrissa Moderate Regionally restricted euxassay_019261_07
TS23: axial musculature Moderate Regionally restricted euxassay_019261_07
TS23: liver Moderate Regionally restricted euxassay_019261_07
TS23: lung Moderate Regionally restricted euxassay_019261_07
TS23: telencephalon ventricular layer Moderate Regionally restricted euxassay_019261_07
TS23: rest of cerebellum ventricular layer Weak Regionally restricted euxassay_019261_07
TS23: rest of cerebellum marginal layer Weak Regionally restricted euxassay_019261_07
TS23: trigeminal ganglion Weak Regionally restricted euxassay_019261_07
TS23: facial ganglion Weak Regionally restricted euxassay_019261_07

Specimen euxassay_019261_08: embryonic day 14.5 (more )
Structure Level Pattern Image Note
TS23: submandibular gland primordium Strong Regionally restricted euxassay_019261_08
TS23: testis Strong Regionally restricted euxassay_019261_08
TS23: metanephros Moderate Regionally restricted euxassay_019261_08
TS23: stomach Weak Regionally restricted euxassay_019261_08
TS23: midgut Moderate Regionally restricted euxassay_019261_08
TS23: vibrissa Moderate Regionally restricted euxassay_019261_08
TS23: axial musculature Moderate Regionally restricted euxassay_019261_08
TS23: upper jaw molar Weak Regionally restricted euxassay_019261_08
TS23: lower jaw molar Weak Regionally restricted euxassay_019261_08
TS23: liver Moderate Regionally restricted euxassay_019261_08
TS23: lung Moderate Regionally restricted euxassay_019261_08
TS23: telencephalon ventricular layer Moderate Regionally restricted euxassay_019261_08
TS23: rest of cerebellum marginal layer Weak Regionally restricted euxassay_019261_08
TS23: rest of cerebellum ventricular layer Weak Regionally restricted euxassay_019261_08
TS23: trigeminal ganglion Weak Regionally restricted euxassay_019261_08
TS23: glossopharyngeal ganglion Weak Regionally restricted euxassay_019261_08

Specimen euxassay_019261_09: embryonic day 14.5 (more )
Note: Additional information for this specimen was included in the Eurexpress data submission file.
Structure Level Pattern Image Note
TS23: submandibular gland primordium Strong Regionally restricted euxassay_019261_09
TS23: testis Moderate Regionally restricted euxassay_019261_09
TS23: metanephros Moderate Regionally restricted euxassay_019261_09
TS23: pancreas Moderate Regionally restricted euxassay_019261_09
TS23: adrenal gland Moderate Regionally restricted euxassay_019261_09
TS23: midgut Moderate Regionally restricted euxassay_019261_09
TS23: stomach Moderate Regionally restricted euxassay_019261_09
TS23: vibrissa Moderate Regionally restricted euxassay_019261_09
TS23: axial musculature Moderate Regionally restricted euxassay_019261_09
TS23: upper jaw molar Moderate Regionally restricted euxassay_019261_09
TS23: lower jaw molar Moderate Regionally restricted euxassay_019261_09
TS23: liver Moderate Regionally restricted euxassay_019261_09
TS23: lung Moderate Regionally restricted euxassay_019261_09
TS23: telencephalon ventricular layer Moderate Regionally restricted euxassay_019261_09
TS23: rest of cerebellum ventricular layer Weak Regionally restricted euxassay_019261_09
TS23: pons mantle layer Weak Regionally restricted euxassay_019261_09 trigeminal motor nucleus
TS23: trigeminal ganglion Weak Regionally restricted euxassay_019261_09
TS23: glossopharyngeal ganglion Weak Regionally restricted euxassay_019261_09
TS23: olfactory epithelium Weak Regionally restricted euxassay_019261_09

Specimen euxassay_019261_10: embryonic day 14.5 (more )
Note: Additional information for this specimen was included in the Eurexpress data submission file.
Structure Level Pattern Image Note
TS23: submandibular gland primordium Strong Regionally restricted euxassay_019261_10
TS23: metanephros Moderate Regionally restricted euxassay_019261_10
TS23: pancreas Moderate Regionally restricted euxassay_019261_10
TS23: adrenal gland Moderate Regionally restricted euxassay_019261_10
TS23: midgut Moderate Regionally restricted euxassay_019261_10
TS23: stomach Moderate Regionally restricted euxassay_019261_10
TS23: vibrissa Moderate Regionally restricted euxassay_019261_10
TS23: liver Moderate Regionally restricted euxassay_019261_10
TS23: lung Moderate Regionally restricted euxassay_019261_10
TS23: telencephalon ventricular layer Moderate Regionally restricted euxassay_019261_10
TS23: rest of cerebellum ventricular layer Weak Regionally restricted euxassay_019261_10
TS23: rest of cerebellum marginal layer Weak Regionally restricted euxassay_019261_10
TS23: medulla oblongata basal plate mantle layer Weak Regionally restricted euxassay_019261_10 facial motor nucleus
TS23: vagus ganglion Weak Regionally restricted euxassay_019261_10
TS23: trigeminal ganglion Weak Regionally restricted euxassay_019261_10
TS23: olfactory epithelium Weak Regionally restricted euxassay_019261_10

Specimen euxassay_019261_11: embryonic day 14.5 (more )
Note: Additional information for this specimen was included in the Eurexpress data submission file.
Structure Level Pattern Image Note
TS23: submandibular gland primordium Strong Regionally restricted euxassay_019261_11
TS23: metanephros Moderate Regionally restricted euxassay_019261_11
TS23: pancreas Moderate Regionally restricted euxassay_019261_11
TS23: adrenal gland Moderate Regionally restricted euxassay_019261_11
TS23: midgut Moderate Regionally restricted euxassay_019261_11
TS23: liver Moderate Regionally restricted euxassay_019261_11
TS23: lung Moderate Regionally restricted euxassay_019261_11
TS23: telencephalon ventricular layer Moderate Regionally restricted euxassay_019261_11
TS23: olfactory cortex ventricular layer Moderate Regionally restricted euxassay_019261_11
TS23: midbrain ventricular layer Weak Regionally restricted euxassay_019261_11
TS23: inferior colliculus Present euxassay_019261_11
TS23: rest of cerebellum ventricular layer Weak Regionally restricted euxassay_019261_11
TS23: rest of cerebellum marginal layer Weak Regionally restricted euxassay_019261_11
TS23: medulla oblongata basal plate mantle layer Weak Regionally restricted euxassay_019261_11 facial motor nucleus
TS23: dorsal root ganglion Weak Regionally restricted euxassay_019261_11
TS23: trigeminal ganglion Weak Regionally restricted euxassay_019261_11
TS23: cervico-thoracic ganglion Weak Regionally restricted euxassay_019261_11
TS23: cervical ganglion Weak Regionally restricted euxassay_019261_11
TS23: olfactory epithelium Weak Regionally restricted euxassay_019261_11

Specimen euxassay_019261_12: embryonic day 14.5 (more )
Note: Additional information for this specimen was included in the Eurexpress data submission file.
Structure Level Pattern Image Note
TS23: metanephros Moderate Regionally restricted euxassay_019261_12
TS23: pancreas Moderate Regionally restricted euxassay_019261_12
TS23: adrenal gland Weak Regionally restricted euxassay_019261_12
TS23: midgut Moderate Regionally restricted euxassay_019261_12
TS23: upper jaw incisor Weak Regionally restricted euxassay_019261_12
TS23: lower jaw incisor Weak Regionally restricted euxassay_019261_12
TS23: liver Moderate Regionally restricted euxassay_019261_12
TS23: lung Moderate Regionally restricted euxassay_019261_12
TS23: telencephalon ventricular layer Moderate Regionally restricted euxassay_019261_12
TS23: olfactory cortex ventricular layer Moderate Regionally restricted euxassay_019261_12
TS23: midbrain ventricular layer Weak Regionally restricted euxassay_019261_12
TS23: inferior colliculus Present euxassay_019261_12
TS23: pituitary gland Weak Regionally restricted euxassay_019261_12

Specimen euxassay_019261_13: embryonic day 14.5 (more )
Note: Additional information for this specimen was included in the Eurexpress data submission file.
Structure Level Pattern Image Note
TS23: thymus primordium Strong Regionally restricted euxassay_019261_13
TS23: pancreas Moderate Regionally restricted euxassay_019261_13
TS23: midgut Moderate Regionally restricted euxassay_019261_13
TS23: upper jaw incisor Weak Regionally restricted euxassay_019261_13
TS23: lower jaw incisor Weak Regionally restricted euxassay_019261_13
TS23: liver Moderate Regionally restricted euxassay_019261_13
TS23: lung Moderate Regionally restricted euxassay_019261_13
TS23: telencephalon ventricular layer Moderate Regionally restricted euxassay_019261_13
TS23: midbrain ventricular layer Moderate Regionally restricted euxassay_019261_13
TS23: inferior colliculus Present euxassay_019261_13
TS23: rest of cerebellum marginal layer Weak Regionally restricted euxassay_019261_13
TS23: rest of cerebellum ventricular layer Weak Regionally restricted euxassay_019261_13
TS23: thyroid gland Weak Regionally restricted euxassay_019261_13
TS23: dorsal root ganglion Weak Regionally restricted euxassay_019261_13
TS23: pituitary gland Weak Regionally restricted euxassay_019261_13

Specimen euxassay_019261_14: embryonic day 14.5 (more )
Note: Additional information for this specimen was included in the Eurexpress data submission file.
Structure Level Pattern Image Note
TS23: thymus primordium Strong Regionally restricted euxassay_019261_14
TS23: midgut Moderate Regionally restricted euxassay_019261_14
TS23: upper jaw incisor Weak Regionally restricted euxassay_019261_14
TS23: lower jaw incisor Weak Regionally restricted euxassay_019261_14
TS23: liver Moderate Regionally restricted euxassay_019261_14
TS23: lung Moderate Regionally restricted euxassay_019261_14
TS23: midbrain ventricular layer Moderate Regionally restricted euxassay_019261_14
TS23: inferior colliculus Present euxassay_019261_14
TS23: rest of cerebellum ventricular layer Weak Regionally restricted euxassay_019261_14
TS23: rest of cerebellum marginal layer Weak Regionally restricted euxassay_019261_14
TS23: thyroid gland Weak Regionally restricted euxassay_019261_14
TS23: thoracic ganglion Weak Regionally restricted euxassay_019261_14
TS23: pituitary gland Weak Regionally restricted euxassay_019261_14

Specimen euxassay_019261_15: embryonic day 14.5 (more )
Note: Additional information for this specimen was included in the Eurexpress data submission file.
Structure Level Pattern Image Note
TS23: thymus primordium Moderate Regionally restricted euxassay_019261_15
TS23: midgut Moderate Regionally restricted euxassay_019261_15
TS23: liver Moderate Regionally restricted euxassay_019261_15
TS23: lung Moderate Regionally restricted euxassay_019261_15
TS23: telencephalon ventricular layer Moderate Regionally restricted euxassay_019261_15
TS23: midbrain ventricular layer Moderate Regionally restricted euxassay_019261_15
TS23: inferior colliculus Present euxassay_019261_15
TS23: rest of cerebellum marginal layer Weak Regionally restricted euxassay_019261_15
TS23: thoracic ganglion Weak Regionally restricted euxassay_019261_15
TS23: pituitary gland Weak Regionally restricted euxassay_019261_15

Specimen euxassay_019261_16: embryonic day 14.5 (more )
Note: Additional information for this specimen was included in the Eurexpress data submission file.
Structure Level Pattern Image Note
TS23: thymus primordium Moderate Regionally restricted euxassay_019261_16
TS23: midgut Moderate Regionally restricted euxassay_019261_16
TS23: upper jaw incisor Weak Regionally restricted euxassay_019261_16
TS23: lower jaw incisor Weak Regionally restricted euxassay_019261_16
TS23: liver Moderate Regionally restricted euxassay_019261_16
TS23: lung Moderate Regionally restricted euxassay_019261_16
TS23: telencephalon ventricular layer Moderate Regionally restricted euxassay_019261_16
TS23: midbrain ventricular layer Moderate Regionally restricted euxassay_019261_16
TS23: inferior colliculus Present euxassay_019261_16
TS23: rest of cerebellum marginal layer Weak Regionally restricted euxassay_019261_16
TS23: pituitary gland Weak Regionally restricted euxassay_019261_16

Specimen euxassay_019261_17: embryonic day 14.5 (more )
Note: Additional information for this specimen was included in the Eurexpress data submission file.
Structure Level Pattern Image Note
TS23: thymus primordium Strong Regionally restricted euxassay_019261_17
TS23: midgut Moderate Regionally restricted euxassay_019261_17
TS23: upper jaw incisor Moderate Regionally restricted euxassay_019261_17
TS23: lower jaw incisor Moderate Regionally restricted euxassay_019261_17
TS23: liver Moderate Regionally restricted euxassay_019261_17
TS23: lung Moderate Regionally restricted euxassay_019261_17
TS23: telencephalon ventricular layer Moderate Regionally restricted euxassay_019261_17
TS23: olfactory cortex ventricular layer Moderate Regionally restricted euxassay_019261_17
TS23: midbrain ventricular layer Moderate Regionally restricted euxassay_019261_17
TS23: inferior colliculus Present euxassay_019261_17
TS23: rest of cerebellum ventricular layer Weak Regionally restricted euxassay_019261_17
TS23: rest of cerebellum marginal layer Weak Regionally restricted euxassay_019261_17
TS23: olfactory epithelium Weak Regionally restricted euxassay_019261_17
TS23: pituitary gland Weak Regionally restricted euxassay_019261_17

Specimen euxassay_019261_18: embryonic day 14.5 (more )
Note: Additional information for this specimen was included in the Eurexpress data submission file.
Structure Level Pattern Image Note
TS23: thymus primordium Strong Regionally restricted euxassay_019261_18
TS23: metanephros Moderate Regionally restricted euxassay_019261_18
TS23: pancreas Moderate Regionally restricted euxassay_019261_18
TS23: midgut Moderate Regionally restricted euxassay_019261_18
TS23: upper jaw incisor Moderate Regionally restricted euxassay_019261_18
TS23: lower jaw incisor Moderate Regionally restricted euxassay_019261_18
TS23: liver Moderate Regionally restricted euxassay_019261_18
TS23: lung Moderate Regionally restricted euxassay_019261_18
TS23: olfactory cortex ventricular layer Moderate Regionally restricted euxassay_019261_18
TS23: telencephalon ventricular layer Moderate Regionally restricted euxassay_019261_18
TS23: midbrain ventricular layer Moderate Regionally restricted euxassay_019261_18
TS23: inferior colliculus Present euxassay_019261_18
TS23: rest of cerebellum ventricular layer Weak Regionally restricted euxassay_019261_18
TS23: rest of cerebellum marginal layer Weak Regionally restricted euxassay_019261_18
TS23: medulla oblongata basal plate mantle layer Weak Regionally restricted euxassay_019261_18 facial motor nucleus
TS23: thyroid gland Weak Regionally restricted euxassay_019261_18
TS23: dorsal root ganglion Weak Regionally restricted euxassay_019261_18
TS23: olfactory epithelium Weak Regionally restricted euxassay_019261_18

Specimen euxassay_019261_19: embryonic day 14.5 (more )
Note: Additional information for this specimen was included in the Eurexpress data submission file.
Structure Level Pattern Image Note
TS23: submandibular gland primordium Strong Regionally restricted euxassay_019261_19
TS23: metanephros Moderate Regionally restricted euxassay_019261_19
TS23: adrenal gland Moderate Regionally restricted euxassay_019261_19
TS23: midgut Moderate Regionally restricted euxassay_019261_19
TS23: liver Moderate Regionally restricted euxassay_019261_19
TS23: lung Moderate Regionally restricted euxassay_019261_19
TS23: telencephalon ventricular layer Moderate Regionally restricted euxassay_019261_19
TS23: olfactory cortex ventricular layer Moderate Regionally restricted euxassay_019261_19
TS23: midbrain ventricular layer Weak Regionally restricted euxassay_019261_19
TS23: inferior colliculus Present euxassay_019261_19
TS23: rest of cerebellum marginal layer Weak Regionally restricted euxassay_019261_19
TS23: rest of cerebellum ventricular layer Weak Regionally restricted euxassay_019261_19
TS23: medulla oblongata basal plate mantle layer Weak Regionally restricted euxassay_019261_19 facial motor nucleus
TS23: dorsal root ganglion Weak Regionally restricted euxassay_019261_19
TS23: trigeminal ganglion Weak Regionally restricted euxassay_019261_19
TS23: cervical ganglion Weak Regionally restricted euxassay_019261_19
TS23: cervico-thoracic ganglion Weak Regionally restricted euxassay_019261_19
TS23: olfactory epithelium Weak Regionally restricted euxassay_019261_19

Specimen euxassay_019261_20: embryonic day 14.5 (more )
Note: Additional information for this specimen was included in the Eurexpress data submission file.
Structure Level Pattern Image Note
TS23: submandibular gland primordium Strong Regionally restricted euxassay_019261_20
TS23: metanephros Moderate Regionally restricted euxassay_019261_20
TS23: adrenal gland Moderate Regionally restricted euxassay_019261_20
TS23: vibrissa Moderate Regionally restricted euxassay_019261_20
TS23: upper jaw molar Moderate Regionally restricted euxassay_019261_20
TS23: lower jaw molar Moderate Regionally restricted euxassay_019261_20
TS23: liver Moderate Regionally restricted euxassay_019261_20
TS23: lung Moderate Regionally restricted euxassay_019261_20
TS23: telencephalon ventricular layer Moderate Regionally restricted euxassay_019261_20
TS23: rest of cerebellum ventricular layer Weak Regionally restricted euxassay_019261_20
TS23: rest of cerebellum marginal layer Weak Regionally restricted euxassay_019261_20
TS23: pons mantle layer Weak Regionally restricted euxassay_019261_20 trigeminal motor nucleus
TS23: dorsal root ganglion Weak Regionally restricted euxassay_019261_20
TS23: vagus ganglion Weak Regionally restricted euxassay_019261_20
TS23: trigeminal ganglion Weak Regionally restricted euxassay_019261_20
TS23: olfactory epithelium Weak Regionally restricted euxassay_019261_20

Specimen euxassay_019261_21: embryonic day 14.5 (more )
Structure Level Pattern Image Note
TS23: submandibular gland primordium Strong Regionally restricted euxassay_019261_21
TS23: metanephros Moderate Regionally restricted euxassay_019261_21
TS23: adrenal gland Moderate Regionally restricted euxassay_019261_21
TS23: vibrissa Moderate Regionally restricted euxassay_019261_21
TS23: upper jaw molar Moderate Regionally restricted euxassay_019261_21
TS23: lower jaw molar Moderate Regionally restricted euxassay_019261_21
TS23: liver Moderate Regionally restricted euxassay_019261_21
TS23: lung Moderate Regionally restricted euxassay_019261_21
TS23: telencephalon ventricular layer Moderate Regionally restricted euxassay_019261_21
TS23: rest of cerebellum ventricular layer Weak Regionally restricted euxassay_019261_21
TS23: rest of cerebellum marginal layer Weak Regionally restricted euxassay_019261_21
TS23: dorsal root ganglion Weak Regionally restricted euxassay_019261_21
TS23: glossopharyngeal ganglion Weak Regionally restricted euxassay_019261_21
TS23: trigeminal ganglion Weak Regionally restricted euxassay_019261_21
TS23: olfactory epithelium Weak Regionally restricted euxassay_019261_21

Specimen euxassay_019261_22: embryonic day 14.5 (more )
Structure Level Pattern Image Note
TS23: submandibular gland primordium Strong Regionally restricted euxassay_019261_22
TS23: testis Moderate Regionally restricted euxassay_019261_22
TS23: metanephros Moderate Regionally restricted euxassay_019261_22
TS23: vibrissa Moderate Regionally restricted euxassay_019261_22
TS23: axial musculature Moderate Regionally restricted euxassay_019261_22
TS23: liver Moderate Regionally restricted euxassay_019261_22
TS23: lung Moderate Regionally restricted euxassay_019261_22
TS23: telencephalon ventricular layer Moderate Regionally restricted euxassay_019261_22
TS23: rest of cerebellum ventricular layer Weak Regionally restricted euxassay_019261_22
TS23: rest of cerebellum marginal layer Weak Regionally restricted euxassay_019261_22
TS23: trigeminal ganglion Weak Regionally restricted euxassay_019261_22
TS23: facial ganglion Weak Regionally restricted euxassay_019261_22

Specimen euxassay_019261_23: embryonic day 14.5 (more )
Structure Level Pattern Image Note
TS23: submandibular gland primordium Strong Regionally restricted euxassay_019261_23
TS23: testis Moderate Regionally restricted euxassay_019261_23
TS23: metanephros Moderate Regionally restricted euxassay_019261_23
TS23: vibrissa Moderate Regionally restricted euxassay_019261_23
TS23: axial musculature Moderate Regionally restricted euxassay_019261_23
TS23: liver Moderate Regionally restricted euxassay_019261_23
TS23: lung Weak Regionally restricted euxassay_019261_23
TS23: telencephalon ventricular layer Moderate Regionally restricted euxassay_019261_23
TS23: rest of cerebellum ventricular layer Weak Regionally restricted euxassay_019261_23
TS23: rest of cerebellum marginal layer Weak Regionally restricted euxassay_019261_23
TS23: trigeminal ganglion Weak Regionally restricted euxassay_019261_23
TS23: facial ganglion Weak Regionally restricted euxassay_019261_23

Specimen euxassay_019261_24: embryonic day 14.5 (more )
Structure Level Pattern Image Note
TS23: testis Moderate Regionally restricted euxassay_019261_24
TS23: axial musculature Weak Regionally restricted euxassay_019261_24
TS23: liver Weak Regionally restricted euxassay_019261_24
TS23: lung Weak Regionally restricted euxassay_019261_24
TS23: telencephalon ventricular layer Weak Regionally restricted euxassay_019261_24


Contributing Projects:
Mouse Genome Database (MGD), Gene Expression Database (GXD), Mouse Models of Human Cancer database (MMHCdb) (formerly Mouse Tumor Biology (MTB)), Gene Ontology (GO)
Citing These Resources
Funding Information
Warranty Disclaimer, Privacy Notice, Licensing, & Copyright
Send questions and comments to User Support.
last database update
01/20/2026
MGI 6.24
The Jackson Laboratory