About   Help   FAQ
Gene Expression Data
Assay Details
Assay
Reference: J:153498 Diez-Roux G, et al., A high-resolution anatomical atlas of the transcriptome in the mouse embryo. PLoS Biol. 2011;9(1):e1000582
Assay type: RNA in situ
MGI Accession ID: MGI:4826453
Gene symbol: Mrps18c
Gene name: mitochondrial ribosomal protein S18C
Probe: ES286 probe 274
Probe preparation: Antisense labelled with digoxigenin RNA
Visualized with: Alkaline phosphatase
Assay notes: Cryosections of fresh frozen material were fixed in 4% paraformaldehyde for 20 min. before further processing. A tyramide-biotin/streptavidin amplification step was included in the in situ hybridization procedure.
Results
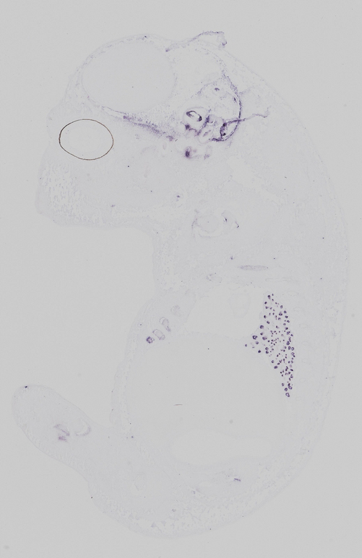
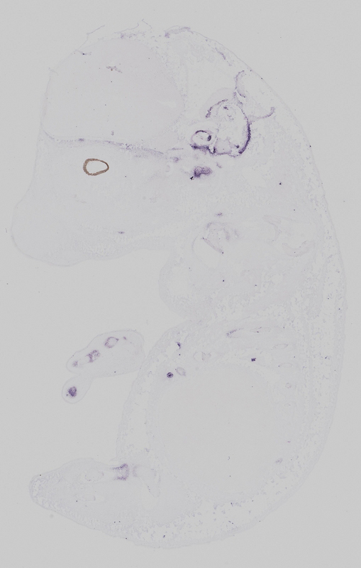
Specimen euxassay_001893_01: embryonic day 14.5 (more )
Structure Level Pattern Image Note
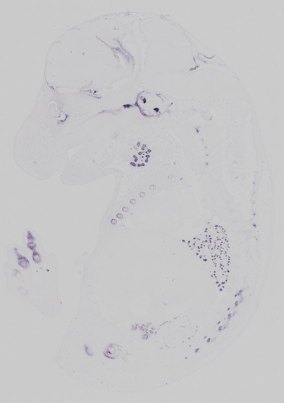
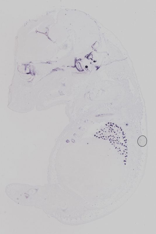
TS23: lung Strong Spotted euxassay_001893_01
TS23: thoracic segment skeleton Moderate Regionally restricted euxassay_001893_01
TS23: orbito-sphenoid Strong Regionally restricted euxassay_001893_01
TS23: basisphenoid bone Strong Regionally restricted euxassay_001893_01

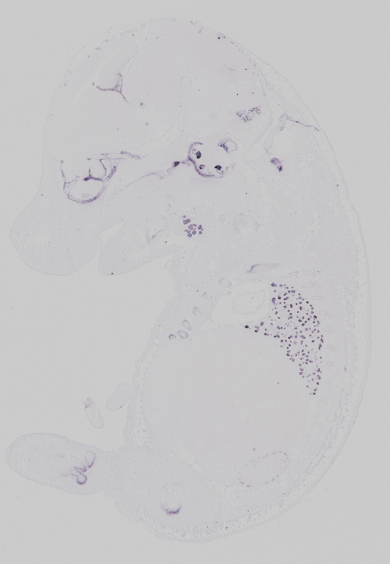
Specimen euxassay_001893_02: embryonic day 14.5 (more )
Structure Level Pattern Image Note
TS23: lung Strong Spotted euxassay_001893_02
TS23: thoracic segment skeleton Moderate Regionally restricted euxassay_001893_02
TS23: inner ear vestibular component Strong Regionally restricted euxassay_001893_02
TS23: orbito-sphenoid Moderate Regionally restricted euxassay_001893_02

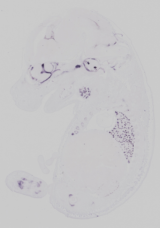
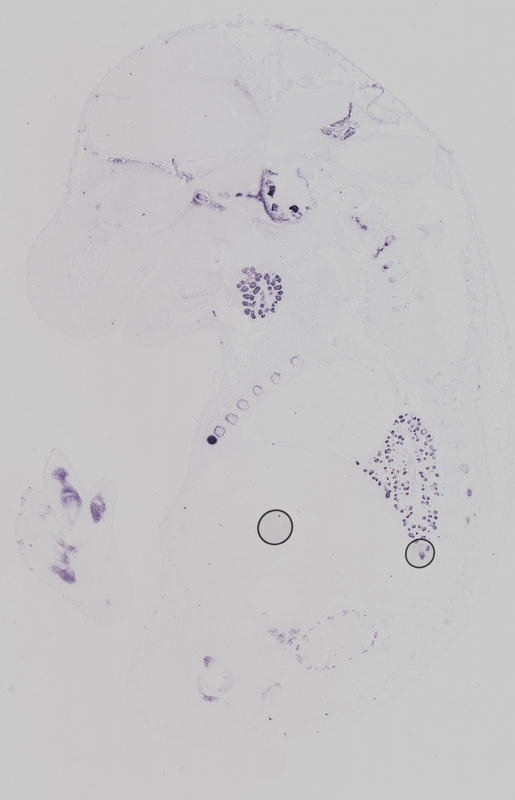
Specimen euxassay_001893_03: embryonic day 14.5 (more )
Structure Level Pattern Image Note
TS23: lung Strong Spotted euxassay_001893_03
TS23: thoracic segment skeleton Moderate Regionally restricted euxassay_001893_03
TS23: inner ear vestibular component Strong Regionally restricted euxassay_001893_03
TS23: cerebellum intraventricular portion ventricular layer Strong Regionally restricted euxassay_001893_03
TS23: foot mesenchyme Moderate Regionally restricted euxassay_001893_03
TS23: orbito-sphenoid Moderate Regionally restricted euxassay_001893_03

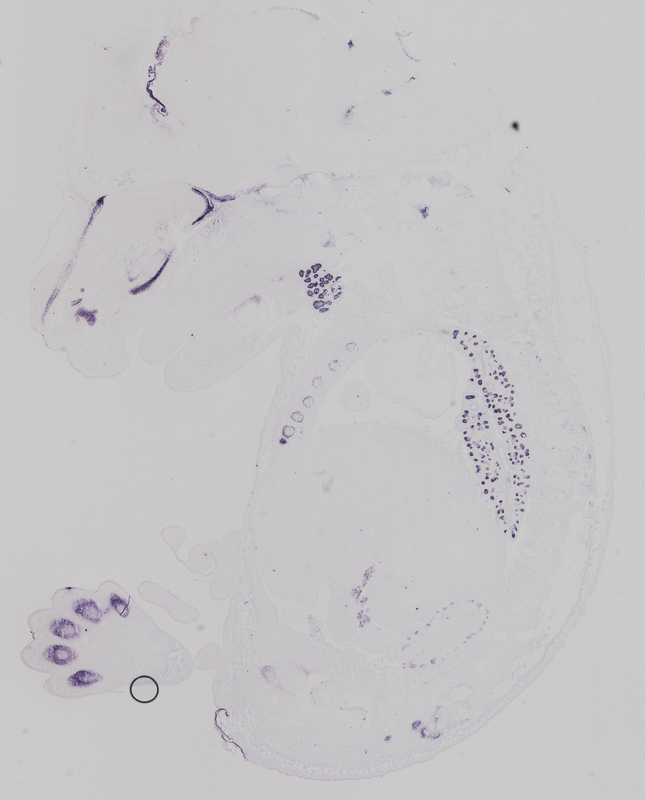
Specimen euxassay_001893_04: embryonic day 14.5 (more )
Structure Level Pattern Image Note
TS23: lung Strong Spotted euxassay_001893_04
TS23: thoracic segment skeleton Moderate Regionally restricted euxassay_001893_04
TS23: submandibular gland primordium Strong Regionally restricted euxassay_001893_04
TS23: inner ear vestibular component Strong Regionally restricted euxassay_001893_04
TS23: cerebellum intraventricular portion ventricular layer Strong Regionally restricted euxassay_001893_04
TS23: hindlimb digit 1 mesenchyme Moderate Regionally restricted euxassay_001893_04
TS23: hindlimb digit 2 mesenchyme Moderate Regionally restricted euxassay_001893_04
TS23: hindlimb digit 3 mesenchyme Moderate Regionally restricted euxassay_001893_04
TS23: hindlimb digit 4 mesenchyme Moderate Regionally restricted euxassay_001893_04
TS23: orbito-sphenoid Moderate Regionally restricted euxassay_001893_04

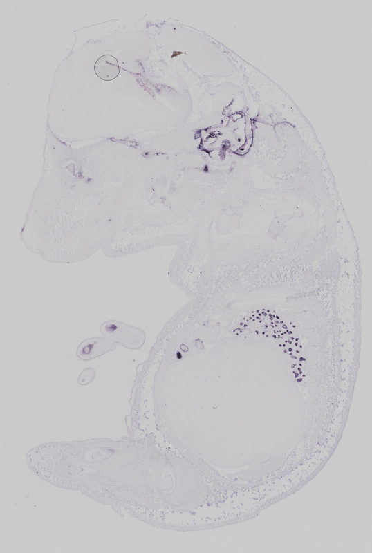
Specimen euxassay_001893_05: embryonic day 14.5 (more )
Structure Level Pattern Image Note
TS23: lung Strong Spotted euxassay_001893_05
TS23: thoracic segment skeleton Moderate Regionally restricted euxassay_001893_05
TS23: submandibular gland primordium Strong Regionally restricted euxassay_001893_05
TS23: inner ear vestibular component Strong Regionally restricted euxassay_001893_05
TS23: cerebellum intraventricular portion ventricular layer Strong Regionally restricted euxassay_001893_05
TS23: axial skeleton Moderate Regionally restricted euxassay_001893_05
TS23: hindlimb digit 1 mesenchyme Moderate Regionally restricted euxassay_001893_05
TS23: hindlimb digit 2 mesenchyme Moderate Regionally restricted euxassay_001893_05
TS23: hindlimb digit 4 mesenchyme Moderate Regionally restricted euxassay_001893_05
TS23: hindlimb digit 5 mesenchyme Moderate Regionally restricted euxassay_001893_05
TS23: orbito-sphenoid Moderate Regionally restricted euxassay_001893_05

Specimen euxassay_001893_06: embryonic day 14.5 (more )
Structure Level Pattern Image Note
TS23: lung Strong Spotted euxassay_001893_06
TS23: thoracic segment skeleton Moderate Regionally restricted euxassay_001893_06
TS23: submandibular gland primordium Strong Regionally restricted euxassay_001893_06
TS23: inner ear vestibular component Strong Regionally restricted euxassay_001893_06
TS23: lateral ventricle choroid plexus Moderate Regionally restricted euxassay_001893_06
TS23: cerebellum intraventricular portion ventricular layer Strong Regionally restricted euxassay_001893_06
TS23: axial skeleton Moderate Regionally restricted euxassay_001893_06
TS23: hindlimb digit 1 mesenchyme Moderate Regionally restricted euxassay_001893_06
TS23: hindlimb digit 2 mesenchyme Moderate Regionally restricted euxassay_001893_06
TS23: orbito-sphenoid Moderate Regionally restricted euxassay_001893_06

Specimen euxassay_001893_07: embryonic day 14.5 (more )
Structure Level Pattern Image Note
TS23: lung Strong Spotted euxassay_001893_07
TS23: thoracic segment skeleton Moderate Regionally restricted euxassay_001893_07
TS23: submandibular gland primordium Strong Regionally restricted euxassay_001893_07
TS23: inner ear vestibular component Strong Regionally restricted euxassay_001893_07
TS23: olfactory epithelium Moderate Regionally restricted euxassay_001893_07
TS23: lateral ventricle choroid plexus Moderate Regionally restricted euxassay_001893_07
TS23: axial skeleton Moderate Regionally restricted euxassay_001893_07
TS23: hindlimb digit 2 mesenchyme Moderate Regionally restricted euxassay_001893_07
TS23: hindlimb digit 3 mesenchyme Moderate Regionally restricted euxassay_001893_07
TS23: hindlimb digit 4 mesenchyme Moderate Regionally restricted euxassay_001893_07
TS23: pons ventricular layer Moderate Regionally restricted euxassay_001893_07

Specimen euxassay_001893_08: embryonic day 14.5 (more )
Structure Level Pattern Image Note
TS23: lung Strong Spotted euxassay_001893_08
TS23: thoracic segment skeleton Strong Regionally restricted euxassay_001893_08
TS23: olfactory epithelium Moderate Regionally restricted euxassay_001893_08
TS23: lateral ventricle choroid plexus Moderate Regionally restricted euxassay_001893_08
TS23: cerebellum intraventricular portion ventricular layer Strong Regionally restricted euxassay_001893_08
TS23: axial skeleton Moderate Regionally restricted euxassay_001893_08
TS23: hindlimb digit 2 mesenchyme Moderate Regionally restricted euxassay_001893_08
TS23: hindlimb digit 3 mesenchyme Moderate Regionally restricted euxassay_001893_08
TS23: hindlimb digit 4 mesenchyme Moderate Regionally restricted euxassay_001893_08
TS23: pons ventricular layer Moderate Regionally restricted euxassay_001893_08

Specimen euxassay_001893_09: embryonic day 14.5 (more )
Structure Level Pattern Image Note
TS23: lung Strong Spotted euxassay_001893_09
TS23: thoracic segment skeleton Strong Regionally restricted euxassay_001893_09
TS23: trachea Strong Regionally restricted euxassay_001893_09
TS23: olfactory epithelium Strong Regionally restricted euxassay_001893_09
TS23: lateral ventricle choroid plexus Moderate Regionally restricted euxassay_001893_09
TS23: spinal cord ventricular layer Moderate Regionally restricted euxassay_001893_09
TS23: axial skeleton Moderate Regionally restricted euxassay_001893_09
TS23: hindlimb digit 3 mesenchyme Moderate Regionally restricted euxassay_001893_09
TS23: hindlimb digit 4 mesenchyme Moderate Regionally restricted euxassay_001893_09
TS23: pons ventricular layer Moderate Regionally restricted euxassay_001893_09
TS23: medulla oblongata basal plate ventricular layer Moderate Regionally restricted euxassay_001893_09

Specimen euxassay_001893_10: embryonic day 14.5 (more )
Structure Level Pattern Image Note
TS23: lung Strong Spotted euxassay_001893_10
TS23: thoracic segment skeleton Strong Regionally restricted euxassay_001893_10
TS23: trachea Strong Regionally restricted euxassay_001893_10
TS23: olfactory epithelium Strong Regionally restricted euxassay_001893_10
TS23: lateral ventricle choroid plexus Moderate Regionally restricted euxassay_001893_10
TS23: spinal cord ventricular layer Moderate Regionally restricted euxassay_001893_10
TS23: axial skeleton Moderate Regionally restricted euxassay_001893_10
TS23: pons ventricular layer Moderate Regionally restricted euxassay_001893_10
TS23: medulla oblongata basal plate ventricular layer Moderate Regionally restricted euxassay_001893_10

Specimen euxassay_001893_11: embryonic day 14.5 (more )
Structure Level Pattern Image Note
TS23: lung Strong Spotted euxassay_001893_11
TS23: thoracic segment skeleton Strong Regionally restricted euxassay_001893_11
TS23: trachea Moderate Regionally restricted euxassay_001893_11
TS23: olfactory epithelium Strong Regionally restricted euxassay_001893_11
TS23: lateral ventricle choroid plexus Moderate Regionally restricted euxassay_001893_11
TS23: cerebellum intraventricular portion ventricular layer Strong Regionally restricted euxassay_001893_11
TS23: medulla oblongata basal plate ventricular layer Moderate Regionally restricted euxassay_001893_11

Specimen euxassay_001893_12: embryonic day 14.5 (more )
Structure Level Pattern Image Note
TS23: lung Strong Spotted euxassay_001893_12
TS23: thoracic segment skeleton Moderate Regionally restricted euxassay_001893_12
TS23: olfactory epithelium Strong Regionally restricted euxassay_001893_12
TS23: lateral ventricle choroid plexus Strong Regionally restricted euxassay_001893_12
TS23: axial skeleton Moderate Regionally restricted euxassay_001893_12
TS23: hindlimb digit 1 mesenchyme Moderate Regionally restricted euxassay_001893_12
TS23: hindlimb digit 2 mesenchyme Moderate Regionally restricted euxassay_001893_12
TS23: hindlimb digit 3 mesenchyme Moderate Regionally restricted euxassay_001893_12
TS23: hindlimb digit 4 mesenchyme Moderate Regionally restricted euxassay_001893_12
TS23: hindlimb digit 5 mesenchyme Moderate Regionally restricted euxassay_001893_12
TS23: pons ventricular layer Moderate Regionally restricted euxassay_001893_12
TS23: medulla oblongata basal plate ventricular layer Weak Regionally restricted euxassay_001893_12

Specimen euxassay_001893_13: embryonic day 14.5 (more )
Structure Level Pattern Image Note
TS23: lung Strong Spotted euxassay_001893_13
TS23: thoracic segment skeleton Moderate Regionally restricted euxassay_001893_13
TS23: submandibular gland primordium Strong Regionally restricted euxassay_001893_13
TS23: olfactory epithelium Strong Regionally restricted euxassay_001893_13
TS23: lateral ventricle choroid plexus Moderate Regionally restricted euxassay_001893_13
TS23: hindlimb digit 1 mesenchyme Strong Regionally restricted euxassay_001893_13
TS23: hindlimb digit 2 mesenchyme Strong Regionally restricted euxassay_001893_13
TS23: hindlimb digit 3 mesenchyme Strong Regionally restricted euxassay_001893_13
TS23: hindlimb digit 4 mesenchyme Strong Regionally restricted euxassay_001893_13
TS23: hindlimb digit 5 mesenchyme Strong Regionally restricted euxassay_001893_13
TS23: pons ventricular layer Moderate Regionally restricted euxassay_001893_13

Specimen euxassay_001893_14: embryonic day 14.5 (more )
Structure Level Pattern Image Note
TS23: lung Strong Spotted euxassay_001893_14
TS23: thoracic segment skeleton Moderate Regionally restricted euxassay_001893_14
TS23: submandibular gland primordium Strong Regionally restricted euxassay_001893_14
TS23: olfactory epithelium Strong Regionally restricted euxassay_001893_14
TS23: lateral ventricle choroid plexus Moderate Regionally restricted euxassay_001893_14
TS23: axial skeleton Moderate Regionally restricted euxassay_001893_14
TS23: foot mesenchyme Strong Regionally restricted euxassay_001893_14
TS23: pons ventricular layer Moderate Regionally restricted euxassay_001893_14

Specimen euxassay_001893_15: embryonic day 14.5 (more )
Structure Level Pattern Image Note
TS23: lung Strong Spotted euxassay_001893_15
TS23: thoracic segment skeleton Moderate Regionally restricted euxassay_001893_15
TS23: submandibular gland primordium Strong Regionally restricted euxassay_001893_15
TS23: olfactory epithelium Strong Regionally restricted euxassay_001893_15
TS23: lateral ventricle choroid plexus Moderate Regionally restricted euxassay_001893_15
TS23: foot mesenchyme Strong Regionally restricted euxassay_001893_15
TS23: pons ventricular layer Moderate Regionally restricted euxassay_001893_15

Specimen euxassay_001893_16: embryonic day 14.5 (more )
Structure Level Pattern Image Note
TS23: lung Strong Spotted euxassay_001893_16
TS23: thoracic segment skeleton Moderate Regionally restricted euxassay_001893_16
TS23: submandibular gland primordium Strong Regionally restricted euxassay_001893_16
TS23: olfactory epithelium Strong Regionally restricted euxassay_001893_16
TS23: lateral ventricle choroid plexus Moderate Regionally restricted euxassay_001893_16
TS23: cerebellum intraventricular portion ventricular layer Strong Regionally restricted euxassay_001893_16
TS23: foot mesenchyme Moderate Regionally restricted euxassay_001893_16
TS23: orbito-sphenoid Moderate Regionally restricted euxassay_001893_16

Specimen euxassay_001893_17: embryonic day 14.5 (more )
Structure Level Pattern Image Note
TS23: lung Strong Spotted euxassay_001893_17
TS23: thoracic segment skeleton Moderate Regionally restricted euxassay_001893_17
TS23: olfactory epithelium Strong Regionally restricted euxassay_001893_17
TS23: lateral ventricle choroid plexus Moderate Regionally restricted euxassay_001893_17
TS23: orbito-sphenoid Moderate Regionally restricted euxassay_001893_17

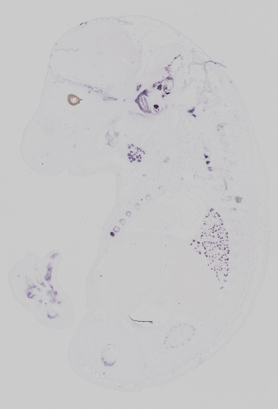
Specimen euxassay_001893_18: embryonic day 14.5 (more )
Structure Level Pattern Image Note
TS23: lung Strong Spotted euxassay_001893_18
TS23: thoracic segment skeleton Moderate Regionally restricted euxassay_001893_18
TS23: lateral ventricle choroid plexus Moderate Regionally restricted euxassay_001893_18
TS23: cerebellum intraventricular portion ventricular layer Strong Regionally restricted euxassay_001893_18
TS23: orbito-sphenoid Moderate Regionally restricted euxassay_001893_18

Specimen euxassay_001893_19: embryonic day 14.5 (more )
Structure Level Pattern Image Note
TS23: thoracic segment skeleton Moderate Regionally restricted euxassay_001893_19
TS23: cerebellum intraventricular portion ventricular layer Strong Regionally restricted euxassay_001893_19
TS23: orbito-sphenoid Moderate Regionally restricted euxassay_001893_19

Specimen euxassay_001893_20: embryonic day 14.5 (more )
Structure Level Pattern Image Note
TS23: thoracic segment skeleton Moderate Regionally restricted euxassay_001893_20
TS23: basisphenoid bone Moderate Regionally restricted euxassay_001893_20
TS23: orbito-sphenoid Moderate Regionally restricted euxassay_001893_20

Specimen euxassay_001893_21: embryonic day 14.5 (more )
Structure Level Pattern Image Note
TS23: orbito-sphenoid Strong Regionally restricted euxassay_001893_21
TS23: basisphenoid bone Strong Regionally restricted euxassay_001893_21

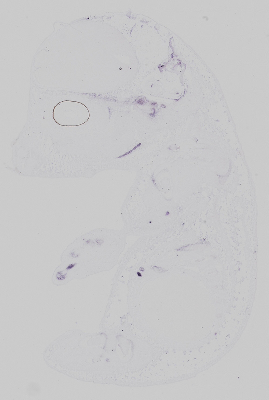
Specimen euxassay_001893_22: embryonic day 14.5 (more )
Structure Level Pattern Image Note
TS23: orbito-sphenoid Strong Regionally restricted euxassay_001893_22


Contributing Projects:
Mouse Genome Database (MGD), Gene Expression Database (GXD), Mouse Models of Human Cancer database (MMHCdb) (formerly Mouse Tumor Biology (MTB)), Gene Ontology (GO)
Citing These Resources
Funding Information
Warranty Disclaimer, Privacy Notice, Licensing, & Copyright
Send questions and comments to User Support.
last database update
12/30/2025
MGI 6.24
The Jackson Laboratory