About   Help   FAQ
Gene Expression Data
Assay Details
Assay
Reference: J:153498 Diez-Roux G, et al., A high-resolution anatomical atlas of the transcriptome in the mouse embryo. PLoS Biol. 2011;9(1):e1000582
Assay type: RNA in situ
MGI Accession ID: MGI:4826440
Gene symbol: Mrpl13
Gene name: mitochondrial ribosomal protein L13
Probe: MGC clone 74058
Probe preparation: Antisense labelled with digoxigenin RNA
Visualized with: Alkaline phosphatase
Assay notes: Cryosections of fresh frozen material were fixed in 4% paraformaldehyde for 20 min. before further processing. A tyramide-biotin/streptavidin amplification step was included in the in situ hybridization procedure.
Results
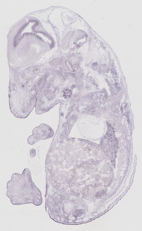
Specimen euxassay_003941_02: embryonic day 14.5 (more )
Structure Level Pattern Image Note
TS23: telencephalon ventricular layer Weak Uniform euxassay_003941_02

Specimen euxassay_003941_03: embryonic day 14.5 (more )
Structure Level Pattern Image Note
TS23: telencephalon ventricular layer Weak Uniform euxassay_003941_03

Specimen euxassay_003941_04: embryonic day 14.5 (more )
Structure Level Pattern Image Note
TS23: telencephalon ventricular layer Weak Uniform euxassay_003941_04

Specimen euxassay_003941_05: embryonic day 14.5 (more )
Structure Level Pattern Image Note
TS23: telencephalon ventricular layer Weak Uniform euxassay_003941_05

Specimen euxassay_003941_06: embryonic day 14.5 (more )
Structure Level Pattern Image Note
TS23: telencephalon ventricular layer Weak Uniform euxassay_003941_06

Specimen euxassay_003941_07: embryonic day 14.5 (more )
Structure Level Pattern Image Note
TS23: telencephalon ventricular layer Weak Uniform euxassay_003941_07
TS23: submandibular gland primordium Weak Regionally restricted euxassay_003941_07

Specimen euxassay_003941_08: embryonic day 14.5 (more )
Structure Level Pattern Image Note
TS23: telencephalon ventricular layer Weak Uniform euxassay_003941_08
TS23: submandibular gland primordium Weak Regionally restricted euxassay_003941_08

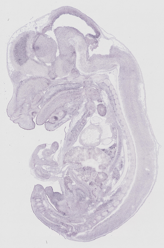
Specimen euxassay_003941_09: embryonic day 14.5 (more )
Structure Level Pattern Image Note
TS23: telencephalon ventricular layer Weak Uniform euxassay_003941_09
TS23: submandibular gland primordium Weak Regionally restricted euxassay_003941_09

Specimen euxassay_003941_10: embryonic day 14.5 (more )
Structure Level Pattern Image Note
TS23: telencephalon ventricular layer Weak Uniform euxassay_003941_10
TS23: olfactory cortex ventricular layer Weak Uniform euxassay_003941_10
TS23: submandibular gland primordium Weak Regionally restricted euxassay_003941_10

Specimen euxassay_003941_11: embryonic day 14.5 (more )
Structure Level Pattern Image Note
TS23: olfactory cortex ventricular layer Weak Uniform euxassay_003941_11
TS23: telencephalon ventricular layer Weak Uniform euxassay_003941_11

Specimen euxassay_003941_12: embryonic day 14.5 (more )
Structure Level Pattern Image Note
TS23: telencephalon ventricular layer Weak Uniform euxassay_003941_12

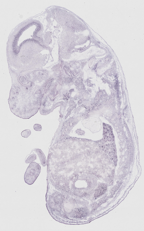
Specimen euxassay_003941_14: embryonic day 14.5 (more )
Structure Level Pattern Image Note
TS23: telencephalon ventricular layer Weak Uniform euxassay_003941_14

Specimen euxassay_003941_15: embryonic day 14.5 (more )
Structure Level Pattern Image Note
TS23: telencephalon ventricular layer Weak Uniform euxassay_003941_15
TS23: olfactory cortex ventricular layer Weak Uniform euxassay_003941_15

Specimen euxassay_003941_16: embryonic day 14.5 (more )
Structure Level Pattern Image Note
TS23: telencephalon ventricular layer Weak Uniform euxassay_003941_16
TS23: olfactory cortex ventricular layer Weak Uniform euxassay_003941_16

Specimen euxassay_003941_17: embryonic day 14.5 (more )
Structure Level Pattern Image Note
TS23: telencephalon ventricular layer Weak Uniform euxassay_003941_17
TS23: olfactory cortex ventricular layer Weak Uniform euxassay_003941_17
TS23: submandibular gland primordium Weak Regionally restricted euxassay_003941_17

Specimen euxassay_003941_18: embryonic day 14.5 (more )
Structure Level Pattern Image Note
TS23: telencephalon ventricular layer Weak Uniform euxassay_003941_18
TS23: submandibular gland primordium Weak Regionally restricted euxassay_003941_18

Specimen euxassay_003941_19: embryonic day 14.5 (more )
Structure Level Pattern Image Note
TS23: telencephalon ventricular layer Weak Uniform euxassay_003941_19
TS23: submandibular gland primordium Weak Regionally restricted euxassay_003941_19

Specimen euxassay_003941_20: embryonic day 14.5 (more )
Structure Level Pattern Image Note
TS23: telencephalon ventricular layer Weak Uniform euxassay_003941_20
TS23: submandibular gland primordium Weak Regionally restricted euxassay_003941_20

Specimen euxassay_003941_21: embryonic day 14.5 (more )
Structure Level Pattern Image Note
TS23: telencephalon ventricular layer Weak Uniform euxassay_003941_21

Specimen euxassay_003941_22: embryonic day 14.5 (more )
Structure Level Pattern Image Note
TS23: telencephalon ventricular layer Weak Uniform euxassay_003941_22

Specimen euxassay_003941_23: embryonic day 14.5 (more )
Structure Level Pattern Image Note
TS23: telencephalon ventricular layer Weak Uniform euxassay_003941_23

Specimen euxassay_003941_24: embryonic day 14.5 (more )
Structure Level Pattern Image Note
TS23: telencephalon ventricular layer Weak Uniform euxassay_003941_24


Contributing Projects:
Mouse Genome Database (MGD), Gene Expression Database (GXD), Mouse Models of Human Cancer database (MMHCdb) (formerly Mouse Tumor Biology (MTB)), Gene Ontology (GO)
Citing These Resources
Funding Information
Warranty Disclaimer, Privacy Notice, Licensing, & Copyright
Send questions and comments to User Support.
last database update
12/30/2025
MGI 6.24
The Jackson Laboratory