About   Help   FAQ
Gene Expression Data
Assay Details
Assay
Reference: J:153498 Diez-Roux G, et al., A high-resolution anatomical atlas of the transcriptome in the mouse embryo. PLoS Biol. 2011;9(1):e1000582
Assay type: RNA in situ
MGI Accession ID: MGI:4826435
Gene symbol: Mpz
Gene name: myelin protein zero
Probe: T38786
Probe preparation: Antisense labelled with digoxigenin RNA
Visualized with: Alkaline phosphatase
Assay notes: Cryosections of fresh frozen material were fixed in 4% paraformaldehyde for 20 min. before further processing. A tyramide-biotin/streptavidin amplification step was included in the in situ hybridization procedure.
Results
Specimen euxassay_013906_01: embryonic day 14.5 (more )
Structure Level Pattern Image Note
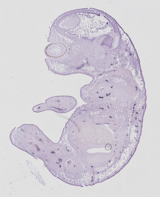
TS23: brachial plexus Strong Regionally restricted euxassay_013906_01
TS23: lumbosacral plexus Strong Regionally restricted euxassay_013906_01

Specimen euxassay_013906_02: embryonic day 14.5 (more )
Structure Level Pattern Image Note
TS23: brachial plexus Strong Regionally restricted euxassay_013906_02
TS23: lumbosacral plexus Strong Regionally restricted euxassay_013906_02

Specimen euxassay_013906_03: embryonic day 14.5 (more )
Structure Level Pattern Image Note
TS23: trigeminal ganglion Moderate Regionally restricted euxassay_013906_03
TS23: lumbosacral plexus Strong Regionally restricted euxassay_013906_03
TS23: brachial plexus Strong Regionally restricted euxassay_013906_03

Specimen euxassay_013906_04: embryonic day 14.5 (more )
Structure Level Pattern Image Note
TS23: trigeminal ganglion Moderate Regionally restricted euxassay_013906_04
TS23: dorsal root ganglion Moderate Regionally restricted euxassay_013906_04
TS23: lumbosacral plexus Strong Regionally restricted euxassay_013906_04
TS23: brachial plexus Strong Regionally restricted euxassay_013906_04

Specimen euxassay_013906_05: embryonic day 14.5 (more )
Structure Level Pattern Image Note
TS23: trigeminal ganglion Moderate Regionally restricted euxassay_013906_05
TS23: facial ganglion Moderate Regionally restricted euxassay_013906_05
TS23: trigeminal nerve Strong Regionally restricted euxassay_013906_05
TS23: dorsal root ganglion Moderate Regionally restricted euxassay_013906_05
TS23: lumbosacral plexus Strong Regionally restricted euxassay_013906_05
TS23: brachial plexus Strong Regionally restricted euxassay_013906_05

Specimen euxassay_013906_06: embryonic day 14.5 (more )
Structure Level Pattern Image Note
TS23: trigeminal ganglion Moderate Regionally restricted euxassay_013906_06
TS23: glossopharyngeal ganglion Moderate Regionally restricted euxassay_013906_06
TS23: trigeminal nerve Strong Regionally restricted euxassay_013906_06
TS23: glossopharyngeal nerve Strong Regionally restricted euxassay_013906_06
TS23: dorsal root ganglion Moderate Regionally restricted euxassay_013906_06
TS23: lumbosacral plexus Strong Regionally restricted euxassay_013906_06
TS23: brachial plexus Strong Regionally restricted euxassay_013906_06

Specimen euxassay_013906_07: embryonic day 14.5 (more )
Structure Level Pattern Image Note
TS23: trigeminal ganglion Moderate Regionally restricted euxassay_013906_07
TS23: glossopharyngeal ganglion Moderate Regionally restricted euxassay_013906_07
TS23: vestibulo-cochlear ganglion Moderate Regionally restricted euxassay_013906_07
TS23: trigeminal nerve Strong Regionally restricted euxassay_013906_07
TS23: dorsal root ganglion Moderate Regionally restricted euxassay_013906_07
TS23: lumbosacral plexus Strong Regionally restricted euxassay_013906_07
TS23: brachial plexus Strong Regionally restricted euxassay_013906_07
TS23: turbinate bone primordium Moderate Regionally restricted euxassay_013906_07

Specimen euxassay_013906_08: embryonic day 14.5 (more )
Structure Level Pattern Image Note
TS23: trigeminal ganglion Moderate Regionally restricted euxassay_013906_08
TS23: trigeminal nerve Strong Regionally restricted euxassay_013906_08
TS23: dorsal root ganglion Moderate Regionally restricted euxassay_013906_08
TS23: brachial plexus Strong Regionally restricted euxassay_013906_08
TS23: lumbosacral plexus Strong Regionally restricted euxassay_013906_08
TS23: turbinate bone primordium Moderate Regionally restricted euxassay_013906_08

Specimen euxassay_013906_09: embryonic day 14.5 (more )
Structure Level Pattern Image Note
TS23: turbinate bone primordium Strong Regionally restricted euxassay_013906_09

Specimen euxassay_013906_10: embryonic day 14.5 (more )
Structure Level Pattern Image Note
TS23: dorsal root ganglion Moderate Regionally restricted euxassay_013906_10
TS23: lumbosacral plexus Strong Regionally restricted euxassay_013906_10
TS23: turbinate bone primordium Strong Regionally restricted euxassay_013906_10

Specimen euxassay_013906_11: embryonic day 14.5 (more )
Structure Level Pattern Image Note
TS23: dorsal root ganglion Moderate Regionally restricted euxassay_013906_11
TS23: lumbosacral plexus Strong Regionally restricted euxassay_013906_11
TS23: turbinate bone primordium Strong Regionally restricted euxassay_013906_11
TS23: naris Strong Regionally restricted euxassay_013906_11

Specimen euxassay_013906_12: embryonic day 14.5 (more )
Structure Level Pattern Image Note
TS23: dorsal root ganglion Moderate Regionally restricted euxassay_013906_12
TS23: lumbosacral plexus Strong Regionally restricted euxassay_013906_12
TS23: turbinate bone primordium Strong Regionally restricted euxassay_013906_12
TS23: naris Strong Regionally restricted euxassay_013906_12

Specimen euxassay_013906_13: embryonic day 14.5 (more )
Structure Level Pattern Image Note
TS23: dorsal root ganglion Moderate Regionally restricted euxassay_013906_13
TS23: lumbosacral plexus Strong Regionally restricted euxassay_013906_13
TS23: naris Strong Regionally restricted euxassay_013906_13
TS23: nasal septum Strong Regionally restricted euxassay_013906_13

Specimen euxassay_013906_14: embryonic day 14.5 (more )
Structure Level Pattern Image Note
TS23: dorsal root ganglion Moderate Regionally restricted euxassay_013906_14
TS23: naris Strong Regionally restricted euxassay_013906_14

Specimen euxassay_013906_15: embryonic day 14.5 (more )
Structure Level Pattern Image Note
TS23: dorsal root ganglion Moderate Regionally restricted euxassay_013906_15
TS23: brachial plexus Strong Regionally restricted euxassay_013906_15
TS23: lumbosacral plexus Strong Regionally restricted euxassay_013906_15
TS23: naris Strong Regionally restricted euxassay_013906_15
TS23: turbinate bone primordium Strong Regionally restricted euxassay_013906_15

Specimen euxassay_013906_16: embryonic day 14.5 (more )
Structure Level Pattern Image Note
TS23: dorsal root ganglion Moderate Regionally restricted euxassay_013906_16
TS23: lumbosacral plexus Strong Regionally restricted euxassay_013906_16
TS23: brachial plexus Strong Regionally restricted euxassay_013906_16
TS23: turbinate bone primordium Strong Regionally restricted euxassay_013906_16

Specimen euxassay_013906_17: embryonic day 14.5 (more )
Structure Level Pattern Image Note
TS23: trigeminal ganglion Moderate Regionally restricted euxassay_013906_17
TS23: glossopharyngeal ganglion Moderate Regionally restricted euxassay_013906_17
TS23: vestibulo-cochlear ganglion Moderate Regionally restricted euxassay_013906_17
TS23: trigeminal nerve Strong Regionally restricted euxassay_013906_17
TS23: dorsal root ganglion Moderate Regionally restricted euxassay_013906_17
TS23: brachial plexus Strong Regionally restricted euxassay_013906_17
TS23: lumbosacral plexus Strong Regionally restricted euxassay_013906_17
TS23: turbinate bone primordium Strong Regionally restricted euxassay_013906_17

Specimen euxassay_013906_18: embryonic day 14.5 (more )
Structure Level Pattern Image Note
TS23: trigeminal ganglion Moderate Regionally restricted euxassay_013906_18
TS23: trigeminal nerve Strong Regionally restricted euxassay_013906_18
TS23: brachial plexus Strong Regionally restricted euxassay_013906_18
TS23: lumbosacral plexus Strong Regionally restricted euxassay_013906_18
TS23: turbinate bone primordium Moderate Regionally restricted euxassay_013906_18

Specimen euxassay_013906_19: embryonic day 14.5 (more )
Structure Level Pattern Image Note
TS23: trigeminal ganglion Moderate Regionally restricted euxassay_013906_19
TS23: vestibulo-cochlear ganglion Moderate Regionally restricted euxassay_013906_19
TS23: trigeminal nerve Strong Regionally restricted euxassay_013906_19
TS23: brachial plexus Strong Regionally restricted euxassay_013906_19
TS23: lumbosacral plexus Strong Regionally restricted euxassay_013906_19

Specimen euxassay_013906_20: embryonic day 14.5 (more )
Structure Level Pattern Image Note
TS23: trigeminal ganglion Moderate Regionally restricted euxassay_013906_20
TS23: facial ganglion Moderate Regionally restricted euxassay_013906_20
TS23: brachial plexus Strong Regionally restricted euxassay_013906_20
TS23: lumbosacral plexus Strong Regionally restricted euxassay_013906_20

Specimen euxassay_013906_21: embryonic day 14.5 (more )
Structure Level Pattern Image Note
TS23: trigeminal ganglion Moderate Regionally restricted euxassay_013906_21
TS23: brachial plexus Strong Regionally restricted euxassay_013906_21
TS23: lumbosacral plexus Strong Regionally restricted euxassay_013906_21

Specimen euxassay_013906_22: embryonic day 14.5 (more )
Structure Level Pattern Image Note
TS23: brachial plexus Strong Regionally restricted euxassay_013906_22
TS23: lumbosacral plexus Strong Regionally restricted euxassay_013906_22


Contributing Projects:
Mouse Genome Database (MGD), Gene Expression Database (GXD), Mouse Models of Human Cancer database (MMHCdb) (formerly Mouse Tumor Biology (MTB)), Gene Ontology (GO)
Citing These Resources
Funding Information
Warranty Disclaimer, Privacy Notice, Licensing, & Copyright
Send questions and comments to User Support.
last database update
01/20/2026
MGI 6.24
The Jackson Laboratory