About   Help   FAQ
Gene Expression Data
Assay Details
Assay
Reference: J:153498 Diez-Roux G, et al., A high-resolution anatomical atlas of the transcriptome in the mouse embryo. PLoS Biol. 2011;9(1):e1000582
Assay type: RNA in situ
MGI Accession ID: MGI:4826430
Gene symbol: Mpo
Gene name: myeloperoxidase
Probe: T30476
Probe preparation: Antisense labelled with digoxigenin RNA
Visualized with: Alkaline phosphatase
Assay notes: Cryosections of fresh frozen material were fixed in 4% paraformaldehyde for 20 min. before further processing. A tyramide-biotin/streptavidin amplification step was included in the in situ hybridization procedure.
Results
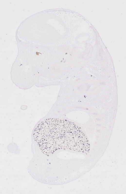
Specimen euxassay_012342_01: embryonic day 14.5 (more )
Structure Level Pattern Image Note
TS23: liver Strong Spotted euxassay_012342_01

Specimen euxassay_012342_02: embryonic day 14.5 (more )
Structure Level Pattern Image Note
TS23: liver Strong Spotted euxassay_012342_02

Specimen euxassay_012342_03: embryonic day 14.5 (more )
Structure Level Pattern Image Note
TS23: liver Strong Spotted euxassay_012342_03

Specimen euxassay_012342_04: embryonic day 14.5 (more )
Structure Level Pattern Image Note
TS23: liver Strong Spotted euxassay_012342_04

Specimen euxassay_012342_05: embryonic day 14.5 (more )
Structure Level Pattern Image Note
TS23: liver Strong Spotted euxassay_012342_05

Specimen euxassay_012342_06: embryonic day 14.5 (more )
Structure Level Pattern Image Note
TS23: liver Strong Spotted euxassay_012342_06

Specimen euxassay_012342_07: embryonic day 14.5 (more )
Structure Level Pattern Image Note
TS23: liver Strong Spotted euxassay_012342_07

Specimen euxassay_012342_08: embryonic day 14.5 (more )
Structure Level Pattern Image Note
TS23: liver Strong Spotted euxassay_012342_08

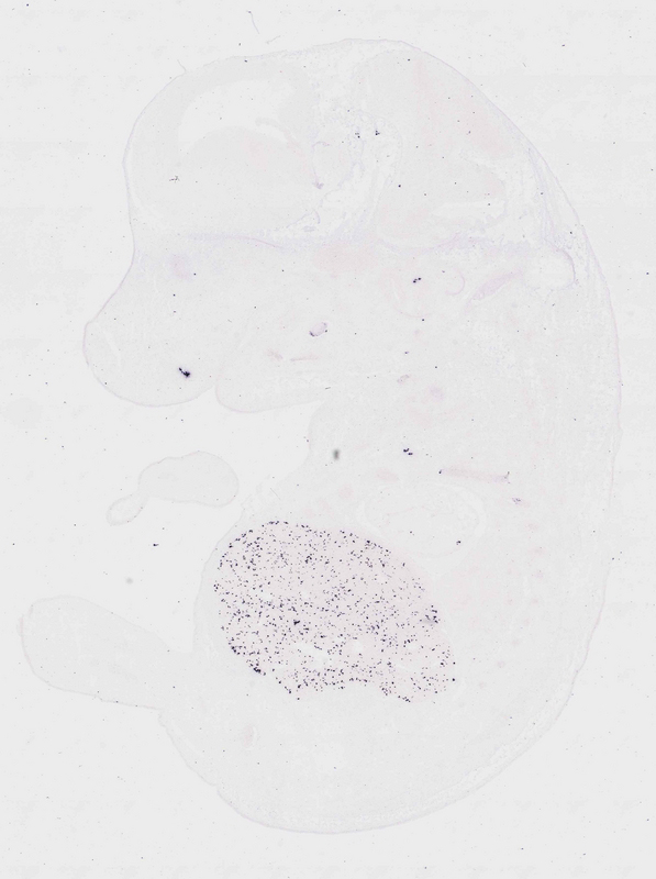
Specimen euxassay_012342_09: embryonic day 14.5 (more )
Structure Level Pattern Image Note
TS23: liver Strong Spotted euxassay_012342_09
TS23: thymus primordium Moderate Spotted euxassay_012342_09
TS23: pancreas Strong Spotted euxassay_012342_09

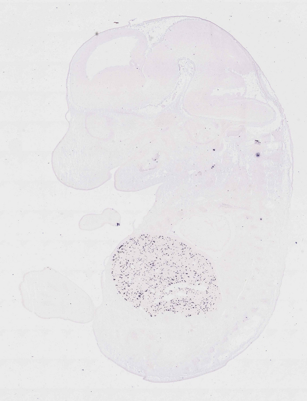
Specimen euxassay_012342_10: embryonic day 14.5 (more )
Structure Level Pattern Image Note
TS23: liver Strong Spotted euxassay_012342_10
TS23: thymus primordium Moderate Spotted euxassay_012342_10
TS23: pancreas Strong Spotted euxassay_012342_10

Specimen euxassay_012342_11: embryonic day 14.5 (more )
Structure Level Pattern Image Note
TS23: liver Strong Spotted euxassay_012342_11
TS23: thymus primordium Moderate Spotted euxassay_012342_11
TS23: pancreas Strong Spotted euxassay_012342_11

Specimen euxassay_012342_12: embryonic day 14.5 (more )
Structure Level Pattern Image Note
TS23: liver Strong Spotted euxassay_012342_12
TS23: thymus primordium Moderate Spotted euxassay_012342_12
TS23: pancreas Strong Spotted euxassay_012342_12

Specimen euxassay_012342_13: embryonic day 14.5 (more )
Structure Level Pattern Image Note
TS23: liver Strong Spotted euxassay_012342_13
TS23: thymus primordium Moderate Spotted euxassay_012342_13

Specimen euxassay_012342_14: embryonic day 14.5 (more )
Structure Level Pattern Image Note
TS23: liver Strong Spotted euxassay_012342_14
TS23: thymus primordium Moderate Spotted euxassay_012342_14

Specimen euxassay_012342_15: embryonic day 14.5 (more )
Structure Level Pattern Image Note
TS23: liver Strong Spotted euxassay_012342_15

Specimen euxassay_012342_16: embryonic day 14.5 (more )
Structure Level Pattern Image Note
TS23: liver Strong Spotted euxassay_012342_16

Specimen euxassay_012342_17: embryonic day 14.5 (more )
Structure Level Pattern Image Note
TS23: liver Strong Spotted euxassay_012342_17

Specimen euxassay_012342_18: embryonic day 14.5 (more )
Structure Level Pattern Image Note
TS23: liver Strong Spotted euxassay_012342_18

Specimen euxassay_012342_19: embryonic day 14.5 (more )
Structure Level Pattern Image Note
TS23: liver Strong Spotted euxassay_012342_19

Specimen euxassay_012342_20: embryonic day 14.5 (more )
Structure Level Pattern Image Note
TS23: liver Strong Spotted euxassay_012342_20

Specimen euxassay_012342_21: embryonic day 14.5 (more )
Structure Level Pattern Image Note
TS23: liver Strong Spotted euxassay_012342_21

Specimen euxassay_012342_22: embryonic day 14.5 (more )
Structure Level Pattern Image Note
TS23: liver Strong Spotted euxassay_012342_22

Specimen euxassay_012342_23: embryonic day 14.5 (more )
Structure Level Pattern Image Note
TS23: liver Strong Spotted euxassay_012342_23

Specimen euxassay_012342_24: embryonic day 14.5 (more )
Structure Level Pattern Image Note
TS23: liver Strong Spotted euxassay_012342_24


Contributing Projects:
Mouse Genome Database (MGD), Gene Expression Database (GXD), Mouse Models of Human Cancer database (MMHCdb) (formerly Mouse Tumor Biology (MTB)), Gene Ontology (GO)
Citing These Resources
Funding Information
Warranty Disclaimer, Privacy Notice, Licensing, & Copyright
Send questions and comments to User Support.
last database update
12/30/2025
MGI 6.24
The Jackson Laboratory