About   Help   FAQ
Gene Expression Data
Assay Details
Assay
Reference: J:153498 Diez-Roux G, et al., A high-resolution anatomical atlas of the transcriptome in the mouse embryo. PLoS Biol. 2011;9(1):e1000582
Assay type: RNA in situ
MGI Accession ID: MGI:4826429
Gene symbol: Mphosph6
Gene name: M phase phosphoprotein 6
Probe: MGC clone 11701
Probe preparation: Antisense labelled with digoxigenin RNA
Visualized with: Alkaline phosphatase
Assay notes: Cryosections of fresh frozen material were fixed in 4% paraformaldehyde for 20 min. before further processing. A tyramide-biotin/streptavidin amplification step was included in the in situ hybridization procedure.
Results
Specimen euxassay_003644_01: embryonic day 14.5 (more )
Structure Level Pattern Image Note
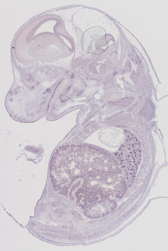
TS23: orbito-sphenoid Weak Regionally restricted euxassay_003644_01

Specimen euxassay_003644_02: embryonic day 14.5 (more )
Structure Level Pattern Image Note
TS23: orbito-sphenoid Weak Regionally restricted euxassay_003644_02

Specimen euxassay_003644_03: embryonic day 14.5 (more )
Structure Level Pattern Image Note
TS23: left lung Moderate Regionally restricted euxassay_003644_03
TS23: orbito-sphenoid Weak Regionally restricted euxassay_003644_03

Specimen euxassay_003644_04: embryonic day 14.5 (more )
Structure Level Pattern Image Note
TS23: left lung Moderate Regionally restricted euxassay_003644_04
TS23: orbito-sphenoid Weak Regionally restricted euxassay_003644_04

Specimen euxassay_003644_05: embryonic day 14.5 (more )
Structure Level Pattern Image Note
TS23: left lung Moderate Regionally restricted euxassay_003644_05
TS23: orbito-sphenoid Moderate Regionally restricted euxassay_003644_05

Specimen euxassay_003644_06: embryonic day 14.5 (more )
Structure Level Pattern Image Note
TS23: testis Moderate Regionally restricted euxassay_003644_06
TS23: left lung Moderate Regionally restricted euxassay_003644_06
TS23: orbito-sphenoid Weak Regionally restricted euxassay_003644_06

Specimen euxassay_003644_07: embryonic day 14.5 (more )
Structure Level Pattern Image Note
TS23: testis Moderate Regionally restricted euxassay_003644_07
TS23: left lung Moderate Regionally restricted euxassay_003644_07

Specimen euxassay_003644_08: embryonic day 14.5 (more )
Structure Level Pattern Image Note
TS23: testis Weak Regionally restricted euxassay_003644_08
TS23: left lung Moderate Regionally restricted euxassay_003644_08

Specimen euxassay_003644_09: embryonic day 14.5 (more )
Structure Level Pattern Image Note
TS23: testis Moderate Regionally restricted euxassay_003644_09
TS23: left lung Moderate Regionally restricted euxassay_003644_09

Specimen euxassay_003644_10: embryonic day 14.5 (more )
Structure Level Pattern Image Note
TS23: left lung Moderate Regionally restricted euxassay_003644_10

Specimen euxassay_003644_11: embryonic day 14.5 (more )
Structure Level Pattern Image Note
TS23: left lung Moderate Regionally restricted euxassay_003644_11

Specimen euxassay_003644_12: embryonic day 14.5 (more )
Structure Level Pattern Image Note
TS23: left lung Moderate Regionally restricted euxassay_003644_12

Specimen euxassay_003644_13: embryonic day 14.5 (more )
Structure Level Pattern Image Note
TS23: left lung Moderate Regionally restricted euxassay_003644_13

Specimen euxassay_003644_14: embryonic day 14.5 (more )
Structure Level Pattern Image Note
TS23: right lung Moderate Regionally restricted euxassay_003644_14

Specimen euxassay_003644_15: embryonic day 14.5 (more )
Structure Level Pattern Image Note
TS23: right lung Moderate Regionally restricted euxassay_003644_15

Specimen euxassay_003644_16: embryonic day 14.5 (more )
Structure Level Pattern Image Note
TS23: right lung Moderate Regionally restricted euxassay_003644_16

Specimen euxassay_003644_17: embryonic day 14.5 (more )
Structure Level Pattern Image Note
TS23: right lung Moderate Regionally restricted euxassay_003644_17

Specimen euxassay_003644_18: embryonic day 14.5 (more )
Structure Level Pattern Image Note
TS23: right lung Moderate Regionally restricted euxassay_003644_18

Specimen euxassay_003644_19: embryonic day 14.5 (more )
Structure Level Pattern Image Note
TS23: right lung Moderate Regionally restricted euxassay_003644_19

Specimen euxassay_003644_20: embryonic day 14.5 (more )
Structure Level Pattern Image Note
TS23: right lung Moderate Regionally restricted euxassay_003644_20

Specimen euxassay_003644_21: embryonic day 14.5 (more )
Structure Level Pattern Image Note
TS23: right lung Moderate Regionally restricted euxassay_003644_21

Specimen euxassay_003644_22: embryonic day 14.5 (more )
Structure Level Pattern Image Note
TS23: testis Moderate Regionally restricted euxassay_003644_22
TS23: right lung Moderate Regionally restricted euxassay_003644_22
TS23: orbito-sphenoid Moderate Regionally restricted euxassay_003644_22

Specimen euxassay_003644_23: embryonic day 14.5 (more )
Structure Level Pattern Image Note
TS23: testis Moderate Regionally restricted euxassay_003644_23
TS23: right lung Moderate Regionally restricted euxassay_003644_23
TS23: orbito-sphenoid Moderate Regionally restricted euxassay_003644_23

Specimen euxassay_003644_24: embryonic day 14.5 (more )
Structure Level Pattern Image Note
TS23: testis Weak Regionally restricted euxassay_003644_24
TS23: right lung Moderate Regionally restricted euxassay_003644_24
TS23: orbito-sphenoid Weak Regionally restricted euxassay_003644_24


Contributing Projects:
Mouse Genome Database (MGD), Gene Expression Database (GXD), Mouse Models of Human Cancer database (MMHCdb) (formerly Mouse Tumor Biology (MTB)), Gene Ontology (GO)
Citing These Resources
Funding Information
Warranty Disclaimer, Privacy Notice, Licensing, & Copyright
Send questions and comments to User Support.
last database update
12/30/2025
MGI 6.24
The Jackson Laboratory