About   Help   FAQ
Gene Expression Data
Assay Details
Assay
Reference: J:153498 Diez-Roux G, et al., A high-resolution anatomical atlas of the transcriptome in the mouse embryo. PLoS Biol. 2011;9(1):e1000582
Assay type: RNA in situ
MGI Accession ID: MGI:4826423
Gene symbol: Mospd1
Gene name: motile sperm domain containing 1
Probe: MGC clone 25548
Probe preparation: Antisense labelled with digoxigenin RNA
Visualized with: Alkaline phosphatase
Assay notes: Cryosections of fresh frozen material were fixed in 4% paraformaldehyde for 20 min. before further processing. A tyramide-biotin/streptavidin amplification step was included in the in situ hybridization procedure.
Results
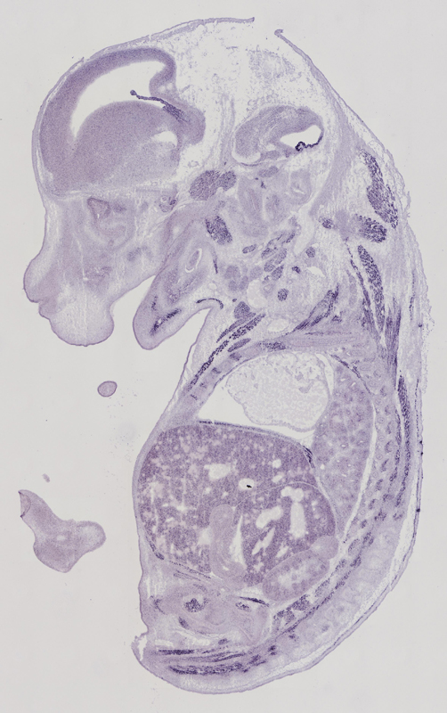
Specimen euxassay_006541_01: embryonic day 14.5 (more )
Structure Level Pattern Image Note
TS23: vertebral axis musculature Strong Regionally restricted euxassay_006541_01
TS23: lower leg rest of mesenchyme Strong Regionally restricted euxassay_006541_01
TS23: upper arm rest of mesenchyme Strong Regionally restricted euxassay_006541_01
TS23: forearm rest of mesenchyme Strong Regionally restricted euxassay_006541_01

Specimen euxassay_006541_02: embryonic day 14.5 (more )
Structure Level Pattern Image Note
TS23: vertebral axis musculature Strong Regionally restricted euxassay_006541_02
TS23: diaphragm Strong Regionally restricted euxassay_006541_02
TS23: metencephalon part of 4th ventricle choroid plexus Strong Regionally restricted euxassay_006541_02
TS23: lower leg rest of mesenchyme Moderate Regionally restricted euxassay_006541_02
TS23: upper arm rest of mesenchyme Strong Regionally restricted euxassay_006541_02
TS23: forearm rest of mesenchyme Strong Regionally restricted euxassay_006541_02

Specimen euxassay_006541_03: embryonic day 14.5 (more )
Structure Level Pattern Image Note
TS23: vertebral axis musculature Strong Regionally restricted euxassay_006541_03
TS23: diaphragm Strong Regionally restricted euxassay_006541_03
TS23: metencephalon part of 4th ventricle choroid plexus Strong Regionally restricted euxassay_006541_03
TS23: lower leg rest of mesenchyme Strong Regionally restricted euxassay_006541_03
TS23: upper leg rest of mesenchyme Strong Regionally restricted euxassay_006541_03
TS23: hand mesenchyme Strong Regionally restricted euxassay_006541_03

Specimen euxassay_006541_04: embryonic day 14.5 (more )
Structure Level Pattern Image Note
TS23: vertebral axis musculature Strong Regionally restricted euxassay_006541_04
TS23: diaphragm Strong Regionally restricted euxassay_006541_04
TS23: metencephalon part of 4th ventricle choroid plexus Strong Regionally restricted euxassay_006541_04
TS23: upper leg rest of mesenchyme Strong Regionally restricted euxassay_006541_04
TS23: lower leg rest of mesenchyme Strong Regionally restricted euxassay_006541_04
TS23: hand mesenchyme Strong Regionally restricted euxassay_006541_04

Specimen euxassay_006541_05: embryonic day 14.5 (more )
Structure Level Pattern Image Note
TS23: vertebral axis musculature Strong Regionally restricted euxassay_006541_05
TS23: diaphragm Strong Regionally restricted euxassay_006541_05
TS23: metencephalon part of 4th ventricle choroid plexus Strong Regionally restricted euxassay_006541_05
TS23: choroid invagination Strong Regionally restricted euxassay_006541_05
TS23: trigeminal ganglion Moderate Uniform euxassay_006541_05
TS23: upper leg rest of mesenchyme Strong Regionally restricted euxassay_006541_05
TS23: lower leg rest of mesenchyme Strong Regionally restricted euxassay_006541_05
TS23: hand mesenchyme Strong Regionally restricted euxassay_006541_05

Specimen euxassay_006541_06: embryonic day 14.5 (more )
Structure Level Pattern Image Note
TS23: vertebral axis musculature Strong Regionally restricted euxassay_006541_06
TS23: diaphragm Strong Regionally restricted euxassay_006541_06
TS23: choroid invagination Strong Regionally restricted euxassay_006541_06
TS23: metencephalon part of 4th ventricle choroid plexus Strong Regionally restricted euxassay_006541_06
TS23: trigeminal ganglion Moderate Uniform euxassay_006541_06
TS23: glossopharyngeal ganglion Moderate Uniform euxassay_006541_06
TS23: vestibulo-cochlear ganglion Strong Regionally restricted euxassay_006541_06
TS23: upper leg rest of mesenchyme Strong Regionally restricted euxassay_006541_06
TS23: foot mesenchyme Strong Regionally restricted euxassay_006541_06
TS23: hand mesenchyme Strong Regionally restricted euxassay_006541_06

Specimen euxassay_006541_07: embryonic day 14.5 (more )
Structure Level Pattern Image Note
TS23: vertebral axis musculature Strong Regionally restricted euxassay_006541_07
TS23: diaphragm Strong Regionally restricted euxassay_006541_07
TS23: choroid invagination Strong Regionally restricted euxassay_006541_07
TS23: metencephalon part of 4th ventricle choroid plexus Strong Regionally restricted euxassay_006541_07
TS23: trigeminal ganglion Moderate Uniform euxassay_006541_07
TS23: vagus ganglion Moderate Uniform euxassay_006541_07
TS23: glossopharyngeal ganglion Moderate Uniform euxassay_006541_07
TS23: foot mesenchyme Strong Regionally restricted euxassay_006541_07
TS23: hand mesenchyme Strong Regionally restricted euxassay_006541_07

Specimen euxassay_006541_08: embryonic day 14.5 (more )
Structure Level Pattern Image Note
TS23: vertebral axis musculature Strong Regionally restricted euxassay_006541_08
TS23: diaphragm Strong Regionally restricted euxassay_006541_08
TS23: choroid invagination Strong Regionally restricted euxassay_006541_08
TS23: metencephalon part of 4th ventricle choroid plexus Strong Regionally restricted euxassay_006541_08
TS23: trigeminal ganglion Moderate Uniform euxassay_006541_08
TS23: tongue extrinsic muscle Strong Regionally restricted euxassay_006541_08

Specimen euxassay_006541_09: embryonic day 14.5 (more )
Structure Level Pattern Image Note
TS23: vertebral axis musculature Strong Regionally restricted euxassay_006541_09
TS23: diaphragm Strong Regionally restricted euxassay_006541_09
TS23: choroid invagination Strong Regionally restricted euxassay_006541_09
TS23: metencephalon part of 4th ventricle choroid plexus Strong Regionally restricted euxassay_006541_09
TS23: tongue intrinsic muscle Strong Regionally restricted euxassay_006541_09
TS23: tongue extrinsic muscle Strong Regionally restricted euxassay_006541_09

Specimen euxassay_006541_10: embryonic day 14.5 (more )
Structure Level Pattern Image Note
TS23: vertebral axis musculature Strong Regionally restricted euxassay_006541_10
TS23: diaphragm Strong Regionally restricted euxassay_006541_10
TS23: tail paraxial mesenchyme Strong Regionally restricted euxassay_006541_10
TS23: choroid invagination Strong Regionally restricted euxassay_006541_10
TS23: metencephalon part of 4th ventricle choroid plexus Strong Regionally restricted euxassay_006541_10
TS23: tongue extrinsic muscle Strong Regionally restricted euxassay_006541_10
TS23: tongue intrinsic muscle transverse component Strong Regionally restricted euxassay_006541_10
TS23: tongue intrinsic muscle vertical component Strong Regionally restricted euxassay_006541_10

Specimen euxassay_006541_11: embryonic day 14.5 (more )
Structure Level Pattern Image Note
TS23: vertebral axis musculature Strong Regionally restricted euxassay_006541_11
TS23: diaphragm Strong Regionally restricted euxassay_006541_11
TS23: tail paraxial mesenchyme Strong Regionally restricted euxassay_006541_11
TS23: metencephalon part of 4th ventricle choroid plexus Strong Regionally restricted euxassay_006541_11
TS23: tongue intrinsic muscle transverse component Strong Regionally restricted euxassay_006541_11
TS23: tongue intrinsic muscle vertical component Strong Regionally restricted euxassay_006541_11
TS23: tongue extrinsic muscle Strong Regionally restricted euxassay_006541_11

Specimen euxassay_006541_12: embryonic day 14.5 (more )
Structure Level Pattern Image Note
TS23: diaphragm Strong Regionally restricted euxassay_006541_12
TS23: vertebral axis musculature Strong Regionally restricted euxassay_006541_12
TS23: tail paraxial mesenchyme Strong Regionally restricted euxassay_006541_12
TS23: metencephalon part of 4th ventricle choroid plexus Strong Regionally restricted euxassay_006541_12
TS23: tongue intrinsic muscle transverse component Strong Regionally restricted euxassay_006541_12
TS23: tongue intrinsic muscle vertical component Strong Regionally restricted euxassay_006541_12
TS23: tongue extrinsic muscle Strong Regionally restricted euxassay_006541_12

Specimen euxassay_006541_13: embryonic day 14.5 (more )
Structure Level Pattern Image Note
TS23: diaphragm Strong Regionally restricted euxassay_006541_13
TS23: vertebral axis musculature Strong Regionally restricted euxassay_006541_13
TS23: tail paraxial mesenchyme Strong Regionally restricted euxassay_006541_13
TS23: metencephalon part of 4th ventricle choroid plexus Strong Regionally restricted euxassay_006541_13
TS23: tongue extrinsic muscle Strong Regionally restricted euxassay_006541_13
TS23: tongue intrinsic muscle transverse component Strong Regionally restricted euxassay_006541_13
TS23: tongue intrinsic muscle vertical component Strong Regionally restricted euxassay_006541_13

Specimen euxassay_006541_14: embryonic day 14.5 (more )
Structure Level Pattern Image Note
TS23: diaphragm Strong Regionally restricted euxassay_006541_14
TS23: vertebral axis musculature Strong Regionally restricted euxassay_006541_14
TS23: tail paraxial mesenchyme Strong Regionally restricted euxassay_006541_14
TS23: metencephalon part of 4th ventricle choroid plexus Strong Regionally restricted euxassay_006541_14
TS23: choroid invagination Strong Regionally restricted euxassay_006541_14
TS23: tongue extrinsic muscle Strong Regionally restricted euxassay_006541_14
TS23: tongue intrinsic muscle transverse component Strong Regionally restricted euxassay_006541_14
TS23: tongue intrinsic muscle vertical component Strong Regionally restricted euxassay_006541_14

Specimen euxassay_006541_15: embryonic day 14.5 (more )
Structure Level Pattern Image Note
TS23: diaphragm Strong Regionally restricted euxassay_006541_15
TS23: vertebral axis musculature Strong Regionally restricted euxassay_006541_15
TS23: tail paraxial mesenchyme Strong Regionally restricted euxassay_006541_15
TS23: metencephalon part of 4th ventricle choroid plexus Strong Regionally restricted euxassay_006541_15
TS23: choroid invagination Strong Regionally restricted euxassay_006541_15
TS23: tongue intrinsic muscle transverse component Strong Regionally restricted euxassay_006541_15
TS23: tongue intrinsic muscle vertical component Strong Regionally restricted euxassay_006541_15
TS23: tongue extrinsic muscle Strong Regionally restricted euxassay_006541_15

Specimen euxassay_006541_16: embryonic day 14.5 (more )
Structure Level Pattern Image Note
TS23: diaphragm Strong Regionally restricted euxassay_006541_16
TS23: vertebral axis musculature Strong Regionally restricted euxassay_006541_16
TS23: tail paraxial mesenchyme Strong Regionally restricted euxassay_006541_16
TS23: metencephalon part of 4th ventricle choroid plexus Strong Regionally restricted euxassay_006541_16
TS23: choroid invagination Strong Regionally restricted euxassay_006541_16
TS23: vagus ganglion Moderate Uniform euxassay_006541_16
TS23: glossopharyngeal ganglion Moderate Uniform euxassay_006541_16
TS23: trigeminal ganglion Moderate Uniform euxassay_006541_16
TS23: tongue intrinsic muscle Strong Regionally restricted euxassay_006541_16
TS23: tongue extrinsic muscle Strong Regionally restricted euxassay_006541_16

Specimen euxassay_006541_17: embryonic day 14.5 (more )
Structure Level Pattern Image Note
TS23: vertebral axis musculature Strong Regionally restricted euxassay_006541_17
TS23: diaphragm Strong Regionally restricted euxassay_006541_17
TS23: tail paraxial mesenchyme Strong Regionally restricted euxassay_006541_17
TS23: metencephalon part of 4th ventricle choroid plexus Strong Regionally restricted euxassay_006541_17
TS23: choroid invagination Strong Regionally restricted euxassay_006541_17
TS23: trigeminal ganglion Moderate Uniform euxassay_006541_17
TS23: glossopharyngeal ganglion Moderate Uniform euxassay_006541_17
TS23: vestibulo-cochlear ganglion Strong Regionally restricted euxassay_006541_17

Specimen euxassay_006541_18: embryonic day 14.5 (more )
Structure Level Pattern Image Note
TS23: vertebral axis musculature Strong Regionally restricted euxassay_006541_18
TS23: diaphragm Strong Regionally restricted euxassay_006541_18
TS23: tail paraxial mesenchyme Strong Regionally restricted euxassay_006541_18
TS23: metencephalon part of 4th ventricle choroid plexus Strong Regionally restricted euxassay_006541_18
TS23: choroid invagination Strong Regionally restricted euxassay_006541_18
TS23: trigeminal ganglion Moderate Uniform euxassay_006541_18

Specimen euxassay_006541_19: embryonic day 14.5 (more )
Structure Level Pattern Image Note
TS23: vertebral axis musculature Strong Regionally restricted euxassay_006541_19
TS23: diaphragm Strong Regionally restricted euxassay_006541_19
TS23: metencephalon part of 4th ventricle choroid plexus Strong Regionally restricted euxassay_006541_19
TS23: trigeminal ganglion Moderate Uniform euxassay_006541_19
TS23: upper leg rest of mesenchyme Strong Regionally restricted euxassay_006541_19
TS23: lower leg rest of mesenchyme Strong Regionally restricted euxassay_006541_19
TS23: foot mesenchyme Strong Regionally restricted euxassay_006541_19

Specimen euxassay_006541_20: embryonic day 14.5 (more )
Structure Level Pattern Image Note
TS23: vertebral axis musculature Strong Regionally restricted euxassay_006541_20
TS23: diaphragm Strong Regionally restricted euxassay_006541_20
TS23: metencephalon part of 4th ventricle choroid plexus Strong Regionally restricted euxassay_006541_20
TS23: trigeminal ganglion Strong Uniform euxassay_006541_20
TS23: foot mesenchyme Strong Regionally restricted euxassay_006541_20
TS23: upper leg rest of mesenchyme Strong Regionally restricted euxassay_006541_20
TS23: lower leg rest of mesenchyme Strong Regionally restricted euxassay_006541_20

Specimen euxassay_006541_21: embryonic day 14.5 (more )
Structure Level Pattern Image Note
TS23: vertebral axis musculature Strong Regionally restricted euxassay_006541_21
TS23: diaphragm Strong Regionally restricted euxassay_006541_21
TS23: trigeminal ganglion Strong Uniform euxassay_006541_21
TS23: upper leg rest of mesenchyme Strong Regionally restricted euxassay_006541_21
TS23: lower leg rest of mesenchyme Strong Regionally restricted euxassay_006541_21
TS23: foot mesenchyme Strong Regionally restricted euxassay_006541_21
TS23: hand mesenchyme Strong Regionally restricted euxassay_006541_21

Specimen euxassay_006541_22: embryonic day 14.5 (more )
Structure Level Pattern Image Note
TS23: vertebral axis musculature Strong Regionally restricted euxassay_006541_22
TS23: diaphragm Strong Regionally restricted euxassay_006541_22
TS23: upper leg rest of mesenchyme Strong Regionally restricted euxassay_006541_22
TS23: lower leg rest of mesenchyme Strong Regionally restricted euxassay_006541_22
TS23: hand mesenchyme Strong Regionally restricted euxassay_006541_22

Specimen euxassay_006541_23: embryonic day 14.5 (more )
Structure Level Pattern Image Note
TS23: vertebral axis musculature Strong Regionally restricted euxassay_006541_23
TS23: diaphragm Strong Regionally restricted euxassay_006541_23
TS23: upper leg rest of mesenchyme Strong Regionally restricted euxassay_006541_23
TS23: lower leg rest of mesenchyme Strong Regionally restricted euxassay_006541_23
TS23: hand mesenchyme Strong Regionally restricted euxassay_006541_23


Contributing Projects:
Mouse Genome Database (MGD), Gene Expression Database (GXD), Mouse Models of Human Cancer database (MMHCdb) (formerly Mouse Tumor Biology (MTB)), Gene Ontology (GO)
Citing These Resources
Funding Information
Warranty Disclaimer, Privacy Notice, Licensing, & Copyright
Send questions and comments to User Support.
last database update
12/30/2025
MGI 6.24
The Jackson Laboratory