About   Help   FAQ
Gene Expression Data
Assay Details
Assay
Reference: J:153498 Diez-Roux G, et al., A high-resolution anatomical atlas of the transcriptome in the mouse embryo. PLoS Biol. 2011;9(1):e1000582
Assay type: RNA in situ
MGI Accession ID: MGI:4826418
Gene symbol: Moap1
Gene name: modulator of apoptosis 1
Probe: T31253
Probe preparation: Antisense labelled with digoxigenin RNA
Visualized with: Alkaline phosphatase
Assay notes: Cryosections of fresh frozen material were fixed in 4% paraformaldehyde for 20 min. before further processing. A tyramide-biotin/streptavidin amplification step was included in the in situ hybridization procedure.
Results
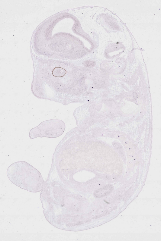
Specimen euxassay_012340_01: embryonic day 14.5 (more )
Structure Level Pattern Image Note
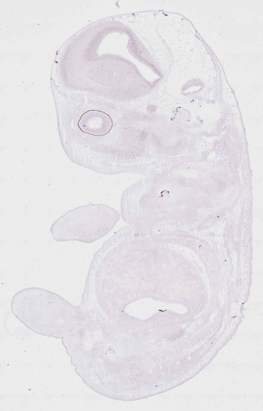
TS23: brain Moderate Regionally restricted euxassay_012340_01
TS23: neural retina Moderate Regionally restricted euxassay_012340_01

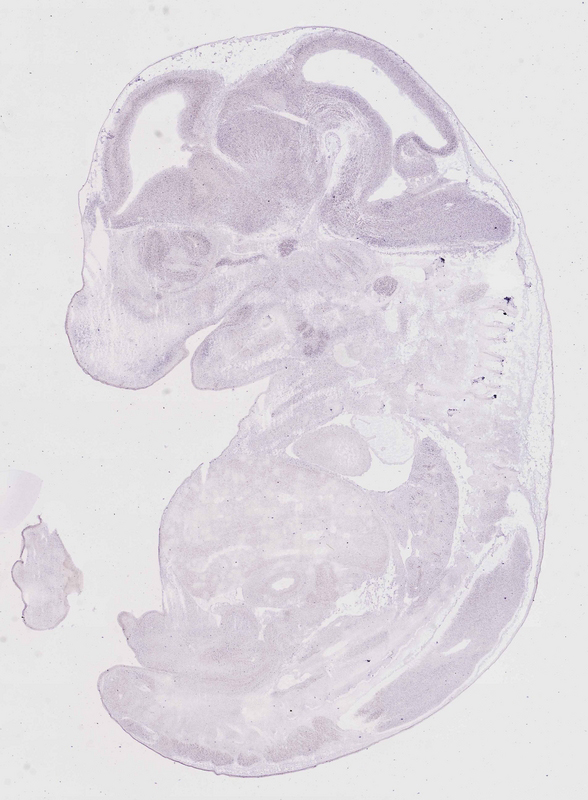
Specimen euxassay_012340_02: embryonic day 14.5 (more )
Structure Level Pattern Image Note
TS23: brain Moderate Regionally restricted euxassay_012340_02
TS23: neural retina Moderate Regionally restricted euxassay_012340_02

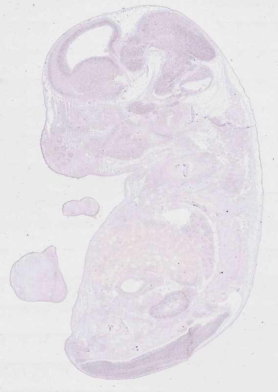
Specimen euxassay_012340_03: embryonic day 14.5 (more )
Structure Level Pattern Image Note
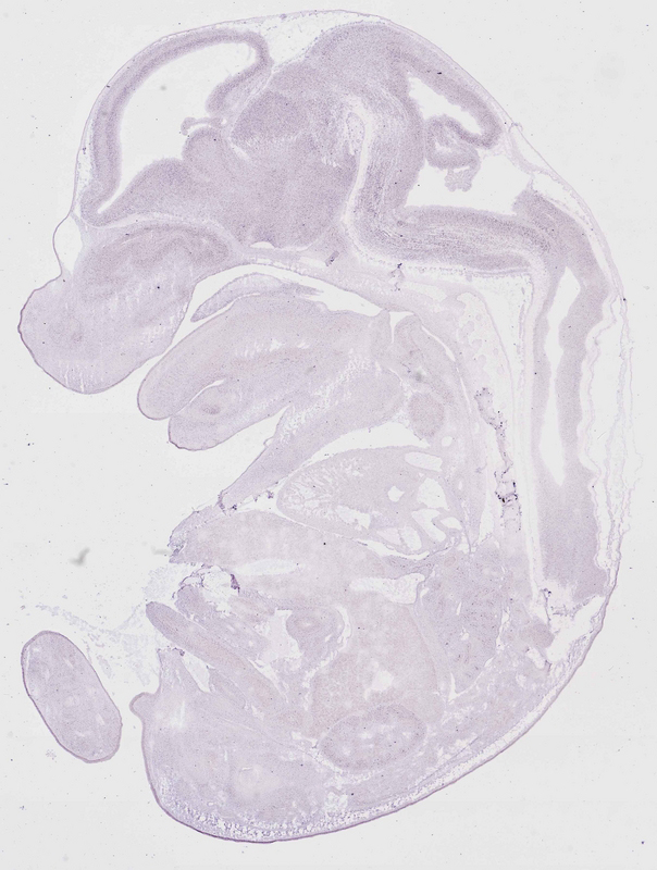
TS23: brain Moderate Regionally restricted euxassay_012340_03
TS23: trigeminal ganglion Moderate Regionally restricted euxassay_012340_03
TS23: neural retina Moderate Regionally restricted euxassay_012340_03

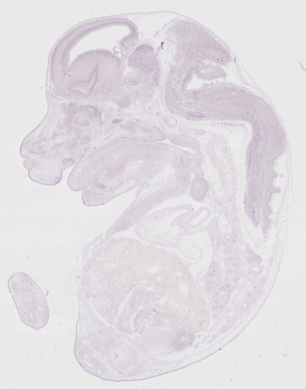
Specimen euxassay_012340_04: embryonic day 14.5 (more )
Structure Level Pattern Image Note
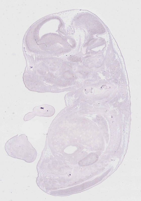
TS23: brain Moderate Regionally restricted euxassay_012340_04
TS23: trigeminal ganglion Moderate Regionally restricted euxassay_012340_04

Specimen euxassay_012340_05: embryonic day 14.5 (more )
Structure Level Pattern Image Note
TS23: brain Moderate Regionally restricted euxassay_012340_05
TS23: spinal cord Moderate Regionally restricted euxassay_012340_05
TS23: trigeminal ganglion Moderate Regionally restricted euxassay_012340_05
TS23: facial ganglion Moderate Regionally restricted euxassay_012340_05

Specimen euxassay_012340_06: embryonic day 14.5 (more )
Structure Level Pattern Image Note
TS23: brain Moderate Regionally restricted euxassay_012340_06
TS23: spinal cord Moderate Regionally restricted euxassay_012340_06
TS23: trigeminal ganglion Moderate Regionally restricted euxassay_012340_06

Specimen euxassay_012340_07: embryonic day 14.5 (more )
Structure Level Pattern Image Note
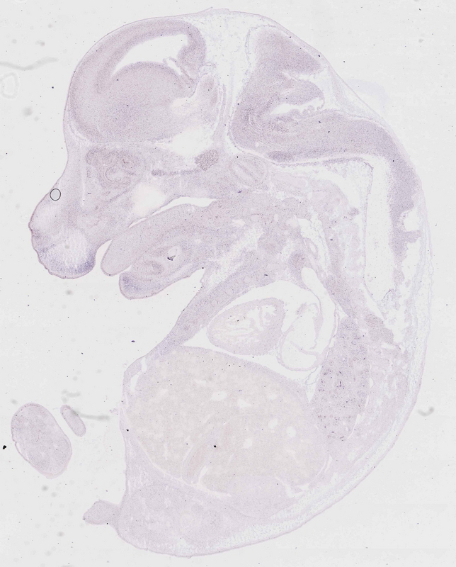
TS23: brain Moderate Regionally restricted euxassay_012340_07
TS23: spinal cord Moderate Regionally restricted euxassay_012340_07
TS23: trigeminal ganglion Moderate Regionally restricted euxassay_012340_07

Specimen euxassay_012340_08: embryonic day 14.5 (more )
Structure Level Pattern Image Note
TS23: brain Moderate Regionally restricted euxassay_012340_08
TS23: spinal cord Moderate Regionally restricted euxassay_012340_08
TS23: trigeminal ganglion Moderate Regionally restricted euxassay_012340_08
TS23: glossopharyngeal ganglion Moderate Regionally restricted euxassay_012340_08

Specimen euxassay_012340_09: embryonic day 14.5 (more )
Structure Level Pattern Image Note
TS23: brain Moderate Regionally restricted euxassay_012340_09
TS23: spinal cord Moderate Regionally restricted euxassay_012340_09
TS23: vagus ganglion Moderate Regionally restricted euxassay_012340_09
TS23: trigeminal ganglion Moderate Regionally restricted euxassay_012340_09
TS23: trigeminal nerve Moderate Regionally restricted euxassay_012340_09
TS23: dorsal root ganglion Moderate Regionally restricted euxassay_012340_09
TS23: olfactory epithelium Moderate Regionally restricted euxassay_012340_09

Specimen euxassay_012340_10: embryonic day 14.5 (more )
Structure Level Pattern Image Note
TS23: brain Moderate Regionally restricted euxassay_012340_10
TS23: spinal cord Moderate Regionally restricted euxassay_012340_10
TS23: olfactory epithelium Moderate Regionally restricted euxassay_012340_10

Specimen euxassay_012340_11: embryonic day 14.5 (more )
Structure Level Pattern Image Note
TS23: brain Moderate Regionally restricted euxassay_012340_11
TS23: spinal cord Moderate Regionally restricted euxassay_012340_11
TS23: olfactory epithelium Moderate Regionally restricted euxassay_012340_11

Specimen euxassay_012340_12: embryonic day 14.5 (more )
Structure Level Pattern Image Note
TS23: brain Moderate Regionally restricted euxassay_012340_12
TS23: spinal cord Moderate Regionally restricted euxassay_012340_12
TS23: olfactory epithelium Moderate Regionally restricted euxassay_012340_12
TS23: vomeronasal organ Moderate Regionally restricted euxassay_012340_12

Specimen euxassay_012340_13: embryonic day 14.5 (more )
Structure Level Pattern Image Note
TS23: brain Moderate Regionally restricted euxassay_012340_13
TS23: spinal cord Moderate Regionally restricted euxassay_012340_13
TS23: olfactory epithelium Moderate Regionally restricted euxassay_012340_13

Specimen euxassay_012340_14: embryonic day 14.5 (more )
Structure Level Pattern Image Note
TS23: brain Moderate Regionally restricted euxassay_012340_14
TS23: spinal cord Moderate Regionally restricted euxassay_012340_14
TS23: olfactory epithelium Moderate Regionally restricted euxassay_012340_14

Specimen euxassay_012340_15: embryonic day 14.5 (more )
Structure Level Pattern Image Note
TS23: brain Moderate Regionally restricted euxassay_012340_15
TS23: spinal cord Moderate Regionally restricted euxassay_012340_15
TS23: olfactory epithelium Moderate Regionally restricted euxassay_012340_15

Specimen euxassay_012340_16: embryonic day 14.5 (more )
Structure Level Pattern Image Note
TS23: brain Moderate Regionally restricted euxassay_012340_16
TS23: spinal cord Moderate Regionally restricted euxassay_012340_16
TS23: trigeminal nerve Moderate Regionally restricted euxassay_012340_16
TS23: olfactory epithelium Moderate Regionally restricted euxassay_012340_16

Specimen euxassay_012340_17: embryonic day 14.5 (more )
Structure Level Pattern Image Note
TS23: brain Moderate Regionally restricted euxassay_012340_17
TS23: spinal cord Moderate Regionally restricted euxassay_012340_17
TS23: trigeminal ganglion Moderate Regionally restricted euxassay_012340_17
TS23: trigeminal nerve Moderate Regionally restricted euxassay_012340_17
TS23: olfactory epithelium Moderate Regionally restricted euxassay_012340_17

Specimen euxassay_012340_18: embryonic day 14.5 (more )
Structure Level Pattern Image Note
TS23: brain Moderate Regionally restricted euxassay_012340_18
TS23: trigeminal ganglion Moderate Regionally restricted euxassay_012340_18
TS23: vagus ganglion Moderate Regionally restricted euxassay_012340_18
TS23: dorsal root ganglion Moderate Regionally restricted euxassay_012340_18

Specimen euxassay_012340_19: embryonic day 14.5 (more )
Structure Level Pattern Image Note
TS23: brain Moderate Regionally restricted euxassay_012340_19
TS23: trigeminal ganglion Moderate Regionally restricted euxassay_012340_19
TS23: facial ganglion Moderate Regionally restricted euxassay_012340_19
TS23: glossopharyngeal ganglion Moderate Regionally restricted euxassay_012340_19
TS23: dorsal root ganglion Moderate Regionally restricted euxassay_012340_19

Specimen euxassay_012340_20: embryonic day 14.5 (more )
Structure Level Pattern Image Note
TS23: brain Moderate Regionally restricted euxassay_012340_20
TS23: trigeminal ganglion Moderate Regionally restricted euxassay_012340_20
TS23: facial ganglion Moderate Regionally restricted euxassay_012340_20

Specimen euxassay_012340_21: embryonic day 14.5 (more )
Structure Level Pattern Image Note
TS23: brain Moderate Regionally restricted euxassay_012340_21
TS23: trigeminal ganglion Moderate Regionally restricted euxassay_012340_21

Specimen euxassay_012340_22: embryonic day 14.5 (more )
Structure Level Pattern Image Note
TS23: brain Moderate Regionally restricted euxassay_012340_22
TS23: trigeminal ganglion Moderate Regionally restricted euxassay_012340_22

Specimen euxassay_012340_23: embryonic day 14.5 (more )
Structure Level Pattern Image Note
TS23: brain Moderate Regionally restricted euxassay_012340_23


Contributing Projects:
Mouse Genome Database (MGD), Gene Expression Database (GXD), Mouse Models of Human Cancer database (MMHCdb) (formerly Mouse Tumor Biology (MTB)), Gene Ontology (GO)
Citing These Resources
Funding Information
Warranty Disclaimer, Privacy Notice, Licensing, & Copyright
Send questions and comments to User Support.
last database update
01/28/2026
MGI 6.24
The Jackson Laboratory