About   Help   FAQ
Gene Expression Data
Assay Details
Assay
Reference: J:153498 Diez-Roux G, et al., A high-resolution anatomical atlas of the transcriptome in the mouse embryo. PLoS Biol. 2011;9(1):e1000582
Assay type: RNA in situ
MGI Accession ID: MGI:4826292
Gene symbol: Mir452
Gene name: microRNA 452
Probe: T70033
Probe preparation: Antisense labelled with digoxigenin RNA
Visualized with: Alkaline phosphatase
Assay notes: Cryosections of fresh frozen material were fixed in 4% paraformaldehyde for 20 min. before further processing. A tyramide-biotin/streptavidin amplification step was included in the in situ hybridization procedure.
Results
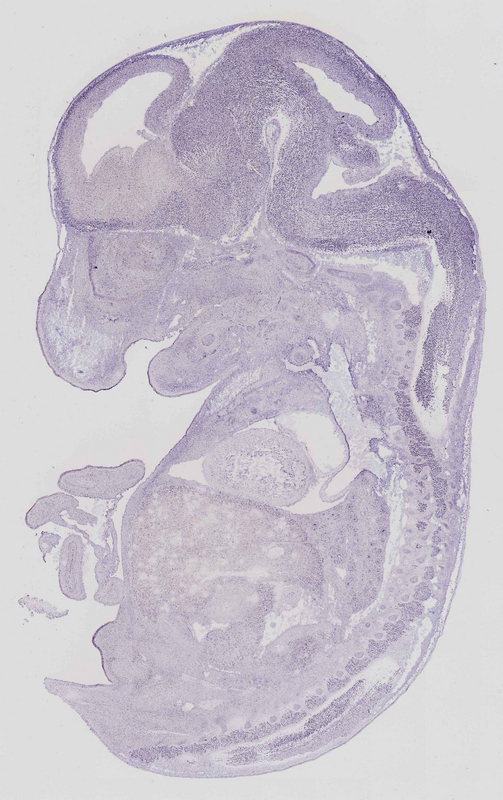
Specimen euxassay_019181_01: embryonic day 14.5 (more )
Structure Level Pattern Image Note
TS23: neural retina Weak Regionally restricted euxassay_019181_01
TS23: telencephalon Weak Regionally restricted euxassay_019181_01

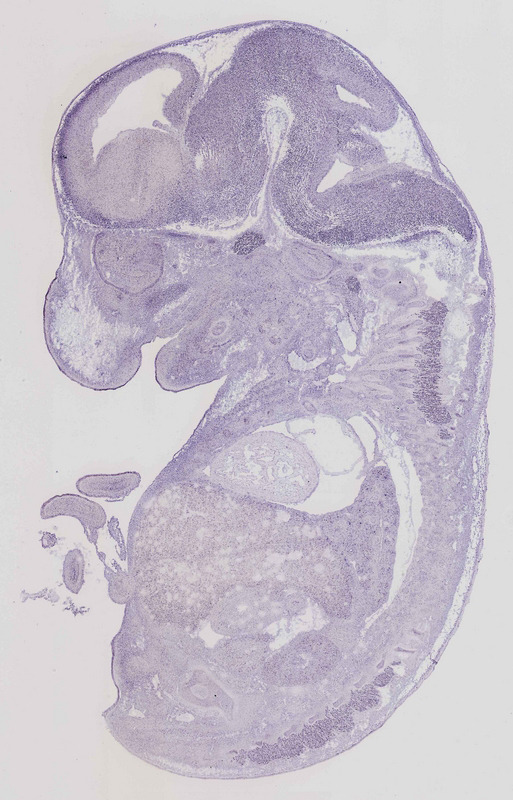
Specimen euxassay_019181_02: embryonic day 14.5 (more )
Structure Level Pattern Image Note
TS23: neural retina Weak Regionally restricted euxassay_019181_02
TS23: telencephalon Weak Regionally restricted euxassay_019181_02

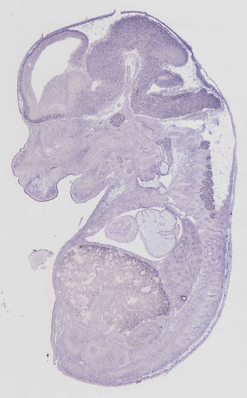
Specimen euxassay_019181_03: embryonic day 14.5 (more )
Structure Level Pattern Image Note
TS23: trigeminal ganglion Weak Regionally restricted euxassay_019181_03
TS23: neural retina Weak Regionally restricted euxassay_019181_03
TS23: telencephalon Weak Regionally restricted euxassay_019181_03

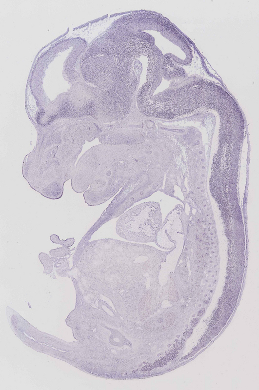
Specimen euxassay_019181_04: embryonic day 14.5 (more )
Structure Level Pattern Image Note
TS23: trigeminal ganglion Moderate Regionally restricted euxassay_019181_04
TS23: facial ganglion Moderate Regionally restricted euxassay_019181_04
TS23: hindbrain Weak Regionally restricted euxassay_019181_04
TS23: telencephalon Weak Regionally restricted euxassay_019181_04

Specimen euxassay_019181_05: embryonic day 14.5 (more )
Structure Level Pattern Image Note
TS23: trigeminal ganglion Weak Regionally restricted euxassay_019181_05
TS23: facial ganglion Weak Regionally restricted euxassay_019181_05
TS23: midbrain Weak Regionally restricted euxassay_019181_05
TS23: hindbrain Weak Regionally restricted euxassay_019181_05
TS23: telencephalon Weak Regionally restricted euxassay_019181_05

Specimen euxassay_019181_06: embryonic day 14.5 (more )
Structure Level Pattern Image Note
TS23: trigeminal ganglion Weak Regionally restricted euxassay_019181_06
TS23: glossopharyngeal ganglion Weak Regionally restricted euxassay_019181_06
TS23: telencephalon Weak Regionally restricted euxassay_019181_06
TS23: diencephalon Weak Regionally restricted euxassay_019181_06
TS23: hindbrain Weak Regionally restricted euxassay_019181_06
TS23: midbrain Weak Regionally restricted euxassay_019181_06

Specimen euxassay_019181_07: embryonic day 14.5 (more )
Structure Level Pattern Image Note
TS23: trigeminal ganglion Weak Regionally restricted euxassay_019181_07
TS23: midbrain Weak Regionally restricted euxassay_019181_07
TS23: hindbrain Weak Regionally restricted euxassay_019181_07
TS23: telencephalon Weak Regionally restricted euxassay_019181_07
TS23: diencephalon Weak Regionally restricted euxassay_019181_07

Specimen euxassay_019181_08: embryonic day 14.5 (more )
Structure Level Pattern Image Note
TS23: trigeminal ganglion Moderate Regionally restricted euxassay_019181_08
TS23: dorsal root ganglion Moderate Regionally restricted euxassay_019181_08
TS23: midbrain Moderate Regionally restricted euxassay_019181_08
TS23: hindbrain Moderate Regionally restricted euxassay_019181_08
TS23: telencephalon Moderate Regionally restricted euxassay_019181_08
TS23: diencephalon Moderate Regionally restricted euxassay_019181_08

Specimen euxassay_019181_09: embryonic day 14.5 (more )
Structure Level Pattern Image Note
TS23: dorsal root ganglion Moderate Regionally restricted euxassay_019181_09
TS23: spinal cord Moderate Regionally restricted euxassay_019181_09
TS23: hindbrain Moderate Regionally restricted euxassay_019181_09
TS23: midbrain Moderate Regionally restricted euxassay_019181_09
TS23: telencephalon Moderate Regionally restricted euxassay_019181_09
TS23: diencephalon Moderate Regionally restricted euxassay_019181_09

Specimen euxassay_019181_10: embryonic day 14.5 (more )
Structure Level Pattern Image Note
TS23: spinal cord Moderate Regionally restricted euxassay_019181_10
TS23: midbrain Moderate Regionally restricted euxassay_019181_10
TS23: hindbrain Moderate Regionally restricted euxassay_019181_10
TS23: telencephalon Moderate Regionally restricted euxassay_019181_10
TS23: diencephalon Moderate Regionally restricted euxassay_019181_10

Specimen euxassay_019181_11: embryonic day 14.5 (more )
Structure Level Pattern Image Note
TS23: spinal cord Moderate Regionally restricted euxassay_019181_11
TS23: hindbrain Moderate Regionally restricted euxassay_019181_11
TS23: midbrain Moderate Regionally restricted euxassay_019181_11
TS23: diencephalon Moderate Regionally restricted euxassay_019181_11
TS23: telencephalon Moderate Regionally restricted euxassay_019181_11

Specimen euxassay_019181_12: embryonic day 14.5 (more )
Structure Level Pattern Image Note
TS23: spinal cord Moderate Regionally restricted euxassay_019181_12
TS23: midbrain Moderate Regionally restricted euxassay_019181_12
TS23: hindbrain Moderate Regionally restricted euxassay_019181_12
TS23: telencephalon Moderate Regionally restricted euxassay_019181_12
TS23: diencephalon Moderate Regionally restricted euxassay_019181_12

Specimen euxassay_019181_13: embryonic day 14.5 (more )
Structure Level Pattern Image Note
TS23: spinal cord Moderate Regionally restricted euxassay_019181_13
TS23: midbrain Moderate Regionally restricted euxassay_019181_13
TS23: hindbrain Moderate Regionally restricted euxassay_019181_13
TS23: telencephalon Moderate Regionally restricted euxassay_019181_13
TS23: diencephalon Moderate Regionally restricted euxassay_019181_13

Specimen euxassay_019181_14: embryonic day 14.5 (more )
Structure Level Pattern Image Note
TS23: dorsal root ganglion Moderate Regionally restricted euxassay_019181_14
TS23: spinal cord Moderate Regionally restricted euxassay_019181_14
TS23: midbrain Moderate Regionally restricted euxassay_019181_14
TS23: hindbrain Moderate Regionally restricted euxassay_019181_14
TS23: telencephalon Moderate Regionally restricted euxassay_019181_14
TS23: diencephalon Moderate Regionally restricted euxassay_019181_14

Specimen euxassay_019181_15: embryonic day 14.5 (more )
Structure Level Pattern Image Note
TS23: dorsal root ganglion Moderate Regionally restricted euxassay_019181_15
TS23: spinal cord Moderate Regionally restricted euxassay_019181_15
TS23: midbrain Moderate Regionally restricted euxassay_019181_15
TS23: hindbrain Moderate Regionally restricted euxassay_019181_15
TS23: telencephalon Moderate Regionally restricted euxassay_019181_15
TS23: diencephalon Moderate Regionally restricted euxassay_019181_15

Specimen euxassay_019181_16: embryonic day 14.5 (more )
Structure Level Pattern Image Note
TS23: dorsal root ganglion Moderate Regionally restricted euxassay_019181_16
TS23: midbrain Moderate Regionally restricted euxassay_019181_16
TS23: hindbrain Moderate Regionally restricted euxassay_019181_16
TS23: telencephalon Moderate Regionally restricted euxassay_019181_16
TS23: diencephalon Moderate Regionally restricted euxassay_019181_16

Specimen euxassay_019181_17: embryonic day 14.5 (more )
Structure Level Pattern Image Note
TS23: trigeminal ganglion Moderate Regionally restricted euxassay_019181_17
TS23: dorsal root ganglion Moderate Regionally restricted euxassay_019181_17
TS23: hindbrain Moderate Regionally restricted euxassay_019181_17
TS23: midbrain Moderate Regionally restricted euxassay_019181_17
TS23: telencephalon Moderate Regionally restricted euxassay_019181_17
TS23: diencephalon Moderate Regionally restricted euxassay_019181_17

Specimen euxassay_019181_18: embryonic day 14.5 (more )
Structure Level Pattern Image Note
TS23: trigeminal ganglion Moderate Regionally restricted euxassay_019181_18
TS23: glossopharyngeal ganglion Moderate Regionally restricted euxassay_019181_18
TS23: dorsal root ganglion Moderate Regionally restricted euxassay_019181_18
TS23: hindbrain Moderate Regionally restricted euxassay_019181_18
TS23: midbrain Moderate Regionally restricted euxassay_019181_18
TS23: telencephalon Moderate Regionally restricted euxassay_019181_18
TS23: diencephalon Moderate Regionally restricted euxassay_019181_18

Specimen euxassay_019181_19: embryonic day 14.5 (more )
Structure Level Pattern Image Note
TS23: trigeminal ganglion Moderate Regionally restricted euxassay_019181_19
TS23: midbrain Moderate Regionally restricted euxassay_019181_19
TS23: telencephalon Moderate Regionally restricted euxassay_019181_19
TS23: hindbrain Moderate Regionally restricted euxassay_019181_19

Specimen euxassay_019181_20: embryonic day 14.5 (more )
Structure Level Pattern Image Note
TS23: trigeminal ganglion Moderate Regionally restricted euxassay_019181_20
TS23: facial ganglion Moderate Regionally restricted euxassay_019181_20
TS23: telencephalon Moderate Regionally restricted euxassay_019181_20
TS23: hindbrain Moderate Regionally restricted euxassay_019181_20

Specimen euxassay_019181_21: embryonic day 14.5 (more )
Structure Level Pattern Image Note
TS23: trigeminal ganglion Moderate Regionally restricted euxassay_019181_21
TS23: telencephalon Moderate Regionally restricted euxassay_019181_21

Specimen euxassay_019181_22: embryonic day 14.5 (more )
Structure Level Pattern Image Note
TS23: trigeminal ganglion Moderate Regionally restricted euxassay_019181_22
TS23: telencephalon Moderate Regionally restricted euxassay_019181_22

Specimen euxassay_019181_23: embryonic day 14.5 (more )
Structure Level Pattern Image Note
TS23: neural retina Weak Regionally restricted euxassay_019181_23
TS23: telencephalon Moderate Regionally restricted euxassay_019181_23


Contributing Projects:
Mouse Genome Database (MGD), Gene Expression Database (GXD), Mouse Models of Human Cancer database (MMHCdb) (formerly Mouse Tumor Biology (MTB)), Gene Ontology (GO)
Citing These Resources
Funding Information
Warranty Disclaimer, Privacy Notice, Licensing, & Copyright
Send questions and comments to User Support.
last database update
01/20/2026
MGI 6.24
The Jackson Laboratory