About   Help   FAQ
Gene Expression Data
Assay Details
Assay
Reference: J:153498 Diez-Roux G, et al., A high-resolution anatomical atlas of the transcriptome in the mouse embryo. PLoS Biol. 2011;9(1):e1000582
Assay type: RNA in situ
MGI Accession ID: MGI:4826286
Gene symbol: Mir449a
Gene name: microRNA 449a
Probe: T70025
Probe preparation: Antisense labelled with digoxigenin RNA
Visualized with: Alkaline phosphatase
Assay notes: Cryosections of fresh frozen material were fixed in 4% paraformaldehyde for 20 min. before further processing. A tyramide-biotin/streptavidin amplification step was included in the in situ hybridization procedure.
Results
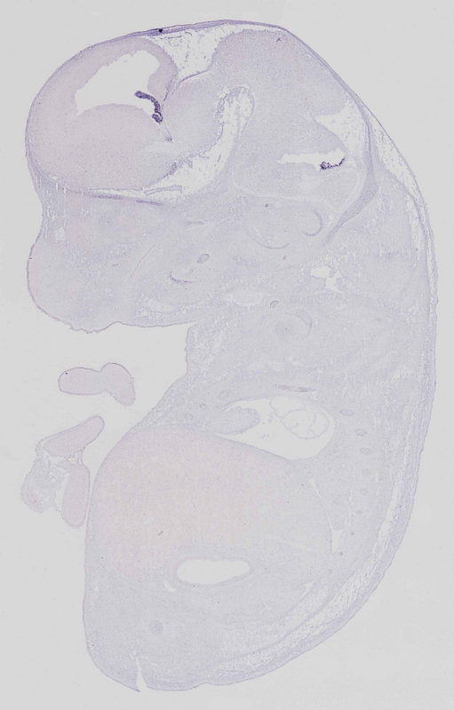
Specimen euxassay_019192_03: embryonic day 14.5 (more )
Structure Level Pattern Image Note
TS23: metencephalon part of 4th ventricle choroid plexus Moderate Regionally restricted euxassay_019192_03

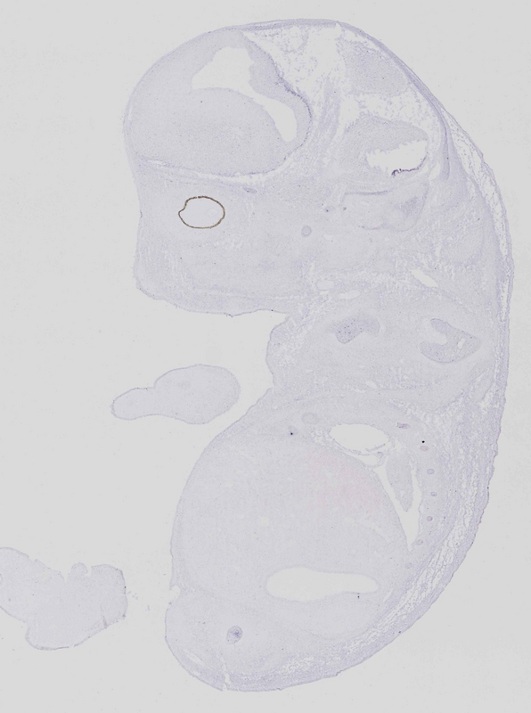
Specimen euxassay_019192_04: embryonic day 14.5 (more )
Note: Additional information for this specimen was included in the Eurexpress data submission file.
Structure Level Pattern Image Note
TS23: metencephalon part of 4th ventricle choroid plexus Moderate Regionally restricted euxassay_019192_04
TS23: telencephalon mantle layer Weak Regionally restricted euxassay_019192_04
TS23: hippocampus Present euxassay_019192_04

Specimen euxassay_019192_05: embryonic day 14.5 (more )
Note: Additional information for this specimen was included in the Eurexpress data submission file.
Structure Level Pattern Image Note
TS23: metencephalon part of 4th ventricle choroid plexus Strong Regionally restricted euxassay_019192_05
TS23: lateral ventricle choroid plexus Strong Regionally restricted euxassay_019192_05
TS23: telencephalon mantle layer Weak Regionally restricted euxassay_019192_05
TS23: hippocampus Present euxassay_019192_05

Specimen euxassay_019192_06: embryonic day 14.5 (more )
Structure Level Pattern Image Note
TS23: metencephalon part of 4th ventricle choroid plexus Strong Regionally restricted euxassay_019192_06
TS23: lateral ventricle choroid plexus Strong Regionally restricted euxassay_019192_06

Specimen euxassay_019192_07: embryonic day 14.5 (more )
Note: Additional information for this specimen was included in the Eurexpress data submission file.
Structure Level Pattern Image Note
TS23: metencephalon part of 4th ventricle choroid plexus Strong Regionally restricted euxassay_019192_07
TS23: lateral ventricle choroid plexus Strong Regionally restricted euxassay_019192_07
TS23: telencephalon mantle layer Weak Regionally restricted euxassay_019192_07
TS23: hippocampus Present euxassay_019192_07

Specimen euxassay_019192_08: embryonic day 14.5 (more )
Note: Additional information for this specimen was included in the Eurexpress data submission file.
Structure Level Pattern Image Note
TS23: metencephalon part of 4th ventricle choroid plexus Strong Regionally restricted euxassay_019192_08
TS23: lateral ventricle choroid plexus Strong Regionally restricted euxassay_019192_08
TS23: telencephalon mantle layer Weak Regionally restricted euxassay_019192_08
TS23: hippocampus Present euxassay_019192_08

Specimen euxassay_019192_09: embryonic day 14.5 (more )
Note: Additional information for this specimen was included in the Eurexpress data submission file.
Structure Level Pattern Image Note
TS23: metencephalon part of 4th ventricle choroid plexus Strong Regionally restricted euxassay_019192_09
TS23: lateral ventricle choroid plexus Strong Regionally restricted euxassay_019192_09
TS23: telencephalon mantle layer Weak Regionally restricted euxassay_019192_09
TS23: hippocampus Present euxassay_019192_09
TS23: olfactory epithelium Moderate Regionally restricted euxassay_019192_09

Specimen euxassay_019192_10: embryonic day 14.5 (more )
Structure Level Pattern Image Note
TS23: metencephalon part of 4th ventricle choroid plexus Strong Regionally restricted euxassay_019192_10
TS23: lateral ventricle choroid plexus Strong Regionally restricted euxassay_019192_10
TS23: olfactory epithelium Weak Regionally restricted euxassay_019192_10

Specimen euxassay_019192_11: embryonic day 14.5 (more )
Structure Level Pattern Image Note
TS23: metencephalon part of 4th ventricle choroid plexus Moderate Regionally restricted euxassay_019192_11
TS23: lateral ventricle choroid plexus Weak Regionally restricted euxassay_019192_11
TS23: olfactory epithelium Weak Regionally restricted euxassay_019192_11

Specimen euxassay_019192_12: embryonic day 14.5 (more )
Structure Level Pattern Image Note
TS23: metencephalon part of 4th ventricle choroid plexus Weak Regionally restricted euxassay_019192_12
TS23: lateral ventricle choroid plexus Strong Regionally restricted euxassay_019192_12

Specimen euxassay_019192_13: embryonic day 14.5 (more )
Structure Level Pattern Image Note
TS23: metencephalon part of 4th ventricle choroid plexus Strong Regionally restricted euxassay_019192_13
TS23: lateral ventricle choroid plexus Strong Regionally restricted euxassay_019192_13

Specimen euxassay_019192_14: embryonic day 14.5 (more )
Note: Additional information for this specimen was included in the Eurexpress data submission file.
Structure Level Pattern Image Note
TS23: metencephalon part of 4th ventricle choroid plexus Strong Regionally restricted euxassay_019192_14
TS23: lateral ventricle choroid plexus Strong Regionally restricted euxassay_019192_14
TS23: telencephalon mantle layer Weak Regionally restricted euxassay_019192_14
TS23: hippocampus Present euxassay_019192_14

Specimen euxassay_019192_15: embryonic day 14.5 (more )
Note: Additional information for this specimen was included in the Eurexpress data submission file.
Structure Level Pattern Image Note
TS23: metencephalon part of 4th ventricle choroid plexus Strong Regionally restricted euxassay_019192_15
TS23: lateral ventricle choroid plexus Strong Regionally restricted euxassay_019192_15
TS23: telencephalon mantle layer Weak Regionally restricted euxassay_019192_15
TS23: hippocampus Present euxassay_019192_15

Specimen euxassay_019192_16: embryonic day 14.5 (more )
Note: Additional information for this specimen was included in the Eurexpress data submission file.
Structure Level Pattern Image Note
TS23: metencephalon part of 4th ventricle choroid plexus Strong Regionally restricted euxassay_019192_16
TS23: lateral ventricle choroid plexus Strong Regionally restricted euxassay_019192_16
TS23: telencephalon mantle layer Weak Regionally restricted euxassay_019192_16
TS23: hippocampus Present euxassay_019192_16
TS23: olfactory epithelium Weak Regionally restricted euxassay_019192_16

Specimen euxassay_019192_17: embryonic day 14.5 (more )
Structure Level Pattern Image Note
TS23: metencephalon part of 4th ventricle choroid plexus Strong Regionally restricted euxassay_019192_17
TS23: lateral ventricle choroid plexus Strong Regionally restricted euxassay_019192_17
TS23: olfactory epithelium Weak Regionally restricted euxassay_019192_17

Specimen euxassay_019192_18: embryonic day 14.5 (more )
Structure Level Pattern Image Note
TS23: metencephalon part of 4th ventricle choroid plexus Strong Regionally restricted euxassay_019192_18
TS23: lateral ventricle choroid plexus Strong Regionally restricted euxassay_019192_18
TS23: olfactory epithelium Weak Regionally restricted euxassay_019192_18

Specimen euxassay_019192_19: embryonic day 14.5 (more )
Note: Additional information for this specimen was included in the Eurexpress data submission file.
Structure Level Pattern Image Note
TS23: metencephalon part of 4th ventricle choroid plexus Strong Regionally restricted euxassay_019192_19
TS23: telencephalon mantle layer Moderate Regionally restricted euxassay_019192_19
TS23: hippocampus Present euxassay_019192_19

Specimen euxassay_019192_20: embryonic day 14.5 (more )
Structure Level Pattern Image Note
TS23: metencephalon part of 4th ventricle choroid plexus Strong Regionally restricted euxassay_019192_20

Specimen euxassay_019192_21: embryonic day 14.5 (more )
Structure Level Pattern Image Note
TS23: metencephalon part of 4th ventricle choroid plexus Strong Regionally restricted euxassay_019192_21


Contributing Projects:
Mouse Genome Database (MGD), Gene Expression Database (GXD), Mouse Models of Human Cancer database (MMHCdb) (formerly Mouse Tumor Biology (MTB)), Gene Ontology (GO)
Citing These Resources
Funding Information
Warranty Disclaimer, Privacy Notice, Licensing, & Copyright
Send questions and comments to User Support.
last database update
01/06/2026
MGI 6.24
The Jackson Laboratory