About   Help   FAQ
Gene Expression Data
Assay Details
Assay
Reference: J:153498 Diez-Roux G, et al., A high-resolution anatomical atlas of the transcriptome in the mouse embryo. PLoS Biol. 2011;9(1):e1000582
Assay type: RNA in situ
MGI Accession ID: MGI:4826257
Gene symbol: Mir297-1
Gene name: microRNA 297-1
Probe: T70373
Probe preparation: Antisense labelled with digoxigenin RNA
Visualized with: Alkaline phosphatase
Assay notes: Cryosections of fresh frozen material were fixed in 4% paraformaldehyde for 20 min. before further processing. A tyramide-biotin/streptavidin amplification step was included in the in situ hybridization procedure. The mature microRNA product is encoded by multiple genes.
Results
Specimen euxassay_019071_01: embryonic day 14.5 (more )
Structure Level Pattern Image Note
TS23: neural retina Weak Regionally restricted euxassay_019071_01
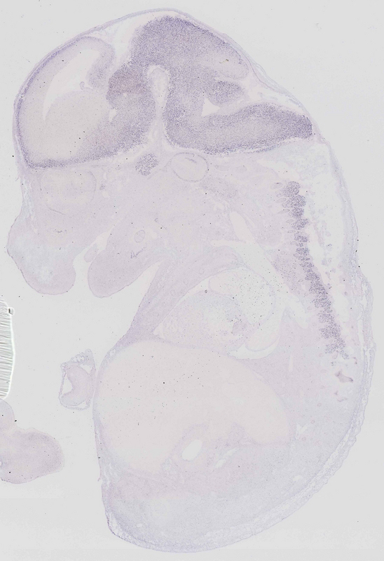
TS23: telencephalon mantle layer Moderate Single cells euxassay_019071_01

Specimen euxassay_019071_02: embryonic day 14.5 (more )
Structure Level Pattern Image Note
TS23: neural retina Weak Regionally restricted euxassay_019071_02
TS23: telencephalon mantle layer Moderate Single cells euxassay_019071_02

Specimen euxassay_019071_03: embryonic day 14.5 (more )
Structure Level Pattern Image Note
TS23: neural retina Weak Regionally restricted euxassay_019071_03
TS23: telencephalon mantle layer Weak Single cells euxassay_019071_03

Specimen euxassay_019071_04: embryonic day 14.5 (more )
Structure Level Pattern Image Note
TS23: trigeminal ganglion Moderate Single cells euxassay_019071_04
TS23: cerebral cortex mantle layer Weak Single cells euxassay_019071_04
TS23: telencephalon mantle layer Weak Single cells euxassay_019071_04

Specimen euxassay_019071_05: embryonic day 14.5 (more )
Structure Level Pattern Image Note
TS23: trigeminal ganglion Moderate Single cells euxassay_019071_05
TS23: facial ganglion Moderate Single cells euxassay_019071_05
TS23: cerebral cortex mantle layer Moderate Single cells euxassay_019071_05
TS23: telencephalon mantle layer Moderate Single cells euxassay_019071_05

Specimen euxassay_019071_06: embryonic day 14.5 (more )
Structure Level Pattern Image Note
TS23: trigeminal ganglion Moderate Single cells euxassay_019071_06
TS23: facial ganglion Moderate Single cells euxassay_019071_06
TS23: telencephalon mantle layer Moderate Single cells euxassay_019071_06
TS23: cerebral cortex mantle layer Moderate Single cells euxassay_019071_06
TS23: rest of cerebellum mantle layer Moderate Single cells euxassay_019071_06

Specimen euxassay_019071_07: embryonic day 14.5 (more )
Structure Level Pattern Image Note
TS23: trigeminal ganglion Moderate Single cells euxassay_019071_07
TS23: dorsal root ganglion Weak Single cells euxassay_019071_07
TS23: telencephalon mantle layer Moderate Single cells euxassay_019071_07
TS23: cerebral cortex mantle layer Moderate Single cells euxassay_019071_07
TS23: midbrain mantle layer Weak Single cells euxassay_019071_07
TS23: pons mantle layer Weak Single cells euxassay_019071_07
TS23: rest of cerebellum mantle layer Weak Single cells euxassay_019071_07

Specimen euxassay_019071_08: embryonic day 14.5 (more )
Structure Level Pattern Image Note
TS23: trigeminal ganglion Moderate Single cells euxassay_019071_08
TS23: dorsal root ganglion Weak Single cells euxassay_019071_08
TS23: telencephalon mantle layer Weak Single cells euxassay_019071_08
TS23: diencephalon lateral wall mantle layer Weak Single cells euxassay_019071_08
TS23: midbrain mantle layer Weak Single cells euxassay_019071_08
TS23: cerebral cortex mantle layer Weak Single cells euxassay_019071_08
TS23: medulla oblongata alar plate mantle layer Moderate Single cells euxassay_019071_08
TS23: pons mantle layer Moderate Single cells euxassay_019071_08
TS23: rest of cerebellum mantle layer Moderate Single cells euxassay_019071_08

Specimen euxassay_019071_09: embryonic day 14.5 (more )
Structure Level Pattern Image Note
TS23: trigeminal ganglion Moderate Single cells euxassay_019071_09
TS23: dorsal root ganglion Moderate Single cells euxassay_019071_09
TS23: cerebral cortex mantle layer Moderate Single cells euxassay_019071_09
TS23: telencephalon mantle layer Moderate Single cells euxassay_019071_09
TS23: diencephalon lateral wall mantle layer Moderate Single cells euxassay_019071_09
TS23: midbrain mantle layer Moderate Single cells euxassay_019071_09
TS23: pons mantle layer Moderate Single cells euxassay_019071_09
TS23: rest of cerebellum mantle layer Moderate Single cells euxassay_019071_09
TS23: medulla oblongata basal plate mantle layer Moderate Single cells euxassay_019071_09
TS23: medulla oblongata alar plate mantle layer Moderate Single cells euxassay_019071_09

Specimen euxassay_019071_10: embryonic day 14.5 (more )
Structure Level Pattern Image Note
TS23: dorsal root ganglion Moderate Single cells euxassay_019071_10
TS23: diencephalon lateral wall mantle layer Moderate Single cells euxassay_019071_10
TS23: cerebral cortex mantle layer Moderate Single cells euxassay_019071_10
TS23: telencephalon mantle layer Moderate Single cells euxassay_019071_10
TS23: olfactory cortex mantle layer Moderate Single cells euxassay_019071_10
TS23: midbrain mantle layer Moderate Single cells euxassay_019071_10
TS23: pons mantle layer Moderate Single cells euxassay_019071_10
TS23: rest of cerebellum mantle layer Moderate Single cells euxassay_019071_10
TS23: medulla oblongata basal plate mantle layer Moderate Single cells euxassay_019071_10
TS23: medulla oblongata alar plate mantle layer Moderate Single cells euxassay_019071_10
TS23: ventral grey horn Moderate Single cells euxassay_019071_10
TS23: dorsal grey horn Moderate Single cells euxassay_019071_10

Specimen euxassay_019071_11: embryonic day 14.5 (more )
Structure Level Pattern Image Note
TS23: dorsal root ganglion Moderate Single cells euxassay_019071_11
TS23: midbrain mantle layer Moderate Single cells euxassay_019071_11
TS23: olfactory cortex mantle layer Moderate Single cells euxassay_019071_11
TS23: telencephalon mantle layer Moderate Single cells euxassay_019071_11
TS23: cerebral cortex mantle layer Moderate Single cells euxassay_019071_11
TS23: diencephalon lateral wall mantle layer Moderate Single cells euxassay_019071_11
TS23: pons mantle layer Weak Single cells euxassay_019071_11
TS23: medulla oblongata basal plate mantle layer Weak Single cells euxassay_019071_11
TS23: medulla oblongata alar plate mantle layer Weak Single cells euxassay_019071_11
TS23: ventral grey horn Moderate Single cells euxassay_019071_11
TS23: dorsal grey horn Moderate Single cells euxassay_019071_11

Specimen euxassay_019071_12: embryonic day 14.5 (more )
Structure Level Pattern Image Note
TS23: dorsal root ganglion Moderate Single cells euxassay_019071_12
TS23: midbrain mantle layer Moderate Single cells euxassay_019071_12
TS23: olfactory cortex mantle layer Weak Single cells euxassay_019071_12
TS23: cerebral cortex mantle layer Weak Single cells euxassay_019071_12
TS23: diencephalon lateral wall mantle layer Moderate Single cells euxassay_019071_12
TS23: telencephalon mantle layer Weak Single cells euxassay_019071_12
TS23: pons mantle layer Weak Single cells euxassay_019071_12
TS23: medulla oblongata basal plate mantle layer Weak Single cells euxassay_019071_12
TS23: ventral grey horn Moderate Single cells euxassay_019071_12
TS23: dorsal grey horn Moderate Single cells euxassay_019071_12

Specimen euxassay_019071_13: embryonic day 14.5 (more )
Structure Level Pattern Image Note
TS23: dorsal root ganglion Moderate Single cells euxassay_019071_13
TS23: olfactory cortex mantle layer Moderate Single cells euxassay_019071_13
TS23: cerebral cortex mantle layer Moderate Single cells euxassay_019071_13
TS23: telencephalon mantle layer Moderate Single cells euxassay_019071_13
TS23: diencephalon lateral wall mantle layer Moderate Single cells euxassay_019071_13
TS23: midbrain mantle layer Moderate Single cells euxassay_019071_13
TS23: pons mantle layer Moderate Single cells euxassay_019071_13
TS23: medulla oblongata basal plate mantle layer Moderate Single cells euxassay_019071_13
TS23: medulla oblongata alar plate mantle layer Moderate Single cells euxassay_019071_13
TS23: ventral grey horn Moderate Single cells euxassay_019071_13
TS23: dorsal grey horn Moderate Single cells euxassay_019071_13

Specimen euxassay_019071_14: embryonic day 14.5 (more )
Structure Level Pattern Image Note
TS23: dorsal root ganglion Moderate Single cells euxassay_019071_14
TS23: telencephalon mantle layer Moderate Single cells euxassay_019071_14
TS23: midbrain mantle layer Moderate Single cells euxassay_019071_14
TS23: diencephalon lateral wall mantle layer Moderate Single cells euxassay_019071_14
TS23: pons mantle layer Moderate Single cells euxassay_019071_14
TS23: medulla oblongata basal plate mantle layer Moderate Single cells euxassay_019071_14
TS23: medulla oblongata alar plate mantle layer Moderate Single cells euxassay_019071_14
TS23: ventral grey horn Moderate Single cells euxassay_019071_14
TS23: dorsal grey horn Moderate Single cells euxassay_019071_14

Specimen euxassay_019071_15: embryonic day 14.5 (more )
Structure Level Pattern Image Note
TS23: dorsal root ganglion Moderate Single cells euxassay_019071_15
TS23: olfactory cortex mantle layer Moderate Single cells euxassay_019071_15
TS23: cerebral cortex mantle layer Moderate Single cells euxassay_019071_15
TS23: diencephalon lateral wall mantle layer Moderate Single cells euxassay_019071_15
TS23: midbrain mantle layer Moderate Single cells euxassay_019071_15
TS23: telencephalon mantle layer Moderate Single cells euxassay_019071_15
TS23: pons mantle layer Moderate Single cells euxassay_019071_15
TS23: rest of cerebellum mantle layer Moderate Single cells euxassay_019071_15
TS23: medulla oblongata basal plate mantle layer Moderate Single cells euxassay_019071_15
TS23: medulla oblongata alar plate mantle layer Moderate Single cells euxassay_019071_15
TS23: ventral grey horn Moderate Single cells euxassay_019071_15
TS23: dorsal grey horn Moderate Single cells euxassay_019071_15

Specimen euxassay_019071_16: embryonic day 14.5 (more )
Structure Level Pattern Image Note
TS23: dorsal root ganglion Moderate Single cells euxassay_019071_16
TS23: olfactory cortex mantle layer Moderate Single cells euxassay_019071_16
TS23: midbrain mantle layer Moderate Single cells euxassay_019071_16
TS23: telencephalon mantle layer Moderate Single cells euxassay_019071_16
TS23: cerebral cortex mantle layer Moderate Single cells euxassay_019071_16
TS23: diencephalon lateral wall mantle layer Moderate Single cells euxassay_019071_16
TS23: medulla oblongata basal plate mantle layer Moderate Single cells euxassay_019071_16
TS23: medulla oblongata alar plate mantle layer Moderate Single cells euxassay_019071_16
TS23: pons mantle layer Moderate Single cells euxassay_019071_16
TS23: rest of cerebellum mantle layer Moderate Single cells euxassay_019071_16
TS23: ventral grey horn Moderate Single cells euxassay_019071_16
TS23: dorsal grey horn Moderate Single cells euxassay_019071_16

Specimen euxassay_019071_17: embryonic day 14.5 (more )
Structure Level Pattern Image Note
TS23: dorsal root ganglion Moderate Single cells euxassay_019071_17
TS23: midbrain mantle layer Moderate Single cells euxassay_019071_17
TS23: olfactory cortex mantle layer Moderate Single cells euxassay_019071_17
TS23: telencephalon mantle layer Moderate Single cells euxassay_019071_17
TS23: cerebral cortex mantle layer Moderate Single cells euxassay_019071_17
TS23: diencephalon lateral wall mantle layer Moderate Single cells euxassay_019071_17
TS23: pons mantle layer Moderate Single cells euxassay_019071_17
TS23: rest of cerebellum mantle layer Moderate Single cells euxassay_019071_17
TS23: medulla oblongata alar plate mantle layer Moderate Single cells euxassay_019071_17
TS23: medulla oblongata basal plate mantle layer Moderate Single cells euxassay_019071_17
TS23: ventral grey horn Moderate Single cells euxassay_019071_17
TS23: dorsal grey horn Moderate Single cells euxassay_019071_17

Specimen euxassay_019071_18: embryonic day 14.5 (more )
Structure Level Pattern Image Note
TS23: trigeminal ganglion Moderate Single cells euxassay_019071_18
TS23: dorsal root ganglion Moderate Single cells euxassay_019071_18
TS23: midbrain mantle layer Moderate Single cells euxassay_019071_18
TS23: olfactory cortex mantle layer Moderate Single cells euxassay_019071_18
TS23: telencephalon mantle layer Moderate Single cells euxassay_019071_18
TS23: cerebral cortex mantle layer Moderate Single cells euxassay_019071_18
TS23: diencephalon lateral wall mantle layer Moderate Single cells euxassay_019071_18
TS23: pons mantle layer Moderate Single cells euxassay_019071_18
TS23: rest of cerebellum mantle layer Moderate Single cells euxassay_019071_18
TS23: medulla oblongata alar plate mantle layer Moderate Single cells euxassay_019071_18
TS23: ventral grey horn Moderate Single cells euxassay_019071_18
TS23: dorsal grey horn Moderate Single cells euxassay_019071_18

Specimen euxassay_019071_19: embryonic day 14.5 (more )
Structure Level Pattern Image Note
TS23: trigeminal ganglion Moderate Single cells euxassay_019071_19
TS23: glossopharyngeal ganglion Moderate Single cells euxassay_019071_19
TS23: dorsal root ganglion Moderate Single cells euxassay_019071_19
TS23: telencephalon mantle layer Moderate Single cells euxassay_019071_19
TS23: cerebral cortex mantle layer Moderate Single cells euxassay_019071_19
TS23: diencephalon lateral wall mantle layer Moderate Single cells euxassay_019071_19
TS23: midbrain mantle layer Moderate Single cells euxassay_019071_19
TS23: pons mantle layer Moderate Single cells euxassay_019071_19
TS23: rest of cerebellum mantle layer Moderate Single cells euxassay_019071_19
TS23: medulla oblongata alar plate mantle layer Moderate Single cells euxassay_019071_19

Specimen euxassay_019071_20: embryonic day 14.5 (more )
Structure Level Pattern Image Note
TS23: trigeminal ganglion Moderate Single cells euxassay_019071_20
TS23: midbrain mantle layer Moderate Single cells euxassay_019071_20
TS23: diencephalon lateral wall mantle layer Moderate Single cells euxassay_019071_20
TS23: telencephalon mantle layer Moderate Single cells euxassay_019071_20
TS23: cerebral cortex mantle layer Moderate Single cells euxassay_019071_20
TS23: rest of cerebellum mantle layer Moderate Single cells euxassay_019071_20
TS23: pons mantle layer Moderate Single cells euxassay_019071_20

Specimen euxassay_019071_21: embryonic day 14.5 (more )
Structure Level Pattern Image Note
TS23: trigeminal ganglion Moderate Single cells euxassay_019071_21
TS23: facial ganglion Moderate Single cells euxassay_019071_21
TS23: cerebral cortex mantle layer Weak Single cells euxassay_019071_21
TS23: telencephalon mantle layer Weak Single cells euxassay_019071_21
TS23: midbrain mantle layer Moderate Single cells euxassay_019071_21
TS23: rest of cerebellum mantle layer Moderate Single cells euxassay_019071_21

Specimen euxassay_019071_22: embryonic day 14.5 (more )
Structure Level Pattern Image Note
TS23: trigeminal ganglion Moderate Single cells euxassay_019071_22
TS23: cerebral cortex mantle layer Moderate Single cells euxassay_019071_22
TS23: telencephalon mantle layer Moderate Single cells euxassay_019071_22
TS23: rest of cerebellum mantle layer Moderate Single cells euxassay_019071_22

Specimen euxassay_019071_23: embryonic day 14.5 (more )
Structure Level Pattern Image Note
TS23: neural retina Weak Regionally restricted euxassay_019071_23
TS23: cerebral cortex mantle layer Moderate Single cells euxassay_019071_23
TS23: telencephalon mantle layer Moderate Single cells euxassay_019071_23

Specimen euxassay_019071_24: embryonic day 14.5 (more )
Structure Level Pattern Image Note
TS23: neural retina Weak Regionally restricted euxassay_019071_24
TS23: telencephalon mantle layer Moderate Single cells euxassay_019071_24
TS23: cerebral cortex mantle layer Moderate Single cells euxassay_019071_24

Specimen euxassay_019071_25: embryonic day 14.5 (more )
Structure Level Pattern Image Note
TS23: neural retina Weak Regionally restricted euxassay_019071_25
TS23: telencephalon mantle layer Moderate Single cells euxassay_019071_25

Specimen euxassay_019071_26: embryonic day 14.5 (more )
Structure Level Pattern Image Note
TS23: telencephalon mantle layer Moderate Single cells euxassay_019071_26


Contributing Projects:
Mouse Genome Database (MGD), Gene Expression Database (GXD), Mouse Models of Human Cancer database (MMHCdb) (formerly Mouse Tumor Biology (MTB)), Gene Ontology (GO)
Citing These Resources
Funding Information
Warranty Disclaimer, Privacy Notice, Licensing, & Copyright
Send questions and comments to User Support.
last database update
12/30/2025
MGI 6.24
The Jackson Laboratory