About   Help   FAQ
Gene Expression Data
Assay Details
Assay
Reference: J:153498 Diez-Roux G, et al., A high-resolution anatomical atlas of the transcriptome in the mouse embryo. PLoS Biol. 2011;9(1):e1000582
Assay type: RNA in situ
MGI Accession ID: MGI:4826252
Gene symbol: Mir291a
Gene name: microRNA 291a
Probe: T70363
Probe preparation: Antisense labelled with digoxigenin RNA
Visualized with: Alkaline phosphatase
Assay notes: Cryosections of fresh frozen material were fixed in 4% paraformaldehyde for 20 min. before further processing. A tyramide-biotin/streptavidin amplification step was included in the in situ hybridization procedure.
Results
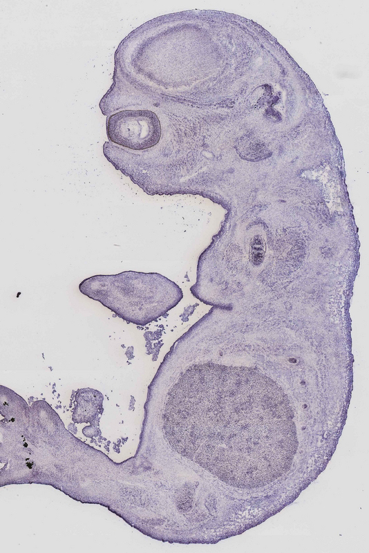
Specimen euxassay_019064_01: embryonic day 14.5 (more )
Note: Additional information for this specimen was included in the Eurexpress data submission file.
Structure Level Pattern Image Note
TS23: liver Strong Regionally restricted euxassay_019064_01
TS23: humerus Moderate Regionally restricted euxassay_019064_01
TS23: stomach Moderate Regionally restricted euxassay_019064_01 smooth muscle
TS23: smooth muscle tissue Present euxassay_019064_01
TS23: scapula Moderate Regionally restricted euxassay_019064_01
TS23: neural retina Moderate Regionally restricted euxassay_019064_01
TS23: femur Moderate Regionally restricted euxassay_019064_01
TS23: pharyngo-tympanic tube Moderate Regionally restricted euxassay_019064_01
TS23: dermis Moderate Regionally restricted euxassay_019064_01
TS23: telencephalon ventricular layer Moderate Regionally restricted euxassay_019064_01
TS23: cerebral cortex mantle layer Moderate Regionally restricted euxassay_019064_01

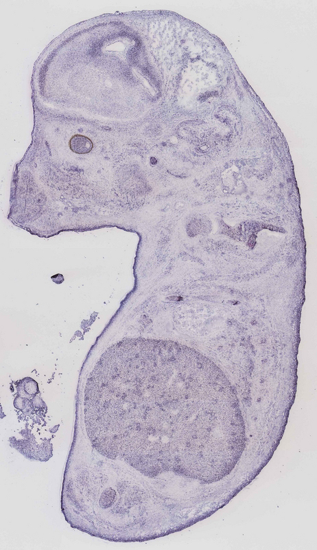
Specimen euxassay_019064_02: embryonic day 14.5 (more )
Note: Additional information for this specimen was included in the Eurexpress data submission file.
Structure Level Pattern Image Note
TS23: liver Strong Regionally restricted euxassay_019064_02
TS23: humerus Weak Regionally restricted euxassay_019064_02
TS23: stomach Weak Regionally restricted euxassay_019064_02 smooth muscle
TS23: smooth muscle tissue Present euxassay_019064_02
TS23: scapula Moderate Regionally restricted euxassay_019064_02
TS23: neural retina Moderate Regionally restricted euxassay_019064_02
TS23: femur Moderate Regionally restricted euxassay_019064_02
TS23: pharyngo-tympanic tube Weak Regionally restricted euxassay_019064_02
TS23: lung Weak Regionally restricted euxassay_019064_02
TS23: dermis Moderate Regionally restricted euxassay_019064_02
TS23: telencephalon ventricular layer Moderate Regionally restricted euxassay_019064_02
TS23: cerebral cortex ventricular layer Moderate Regionally restricted euxassay_019064_02
TS23: cerebral cortex mantle layer Moderate Regionally restricted euxassay_019064_02

Specimen euxassay_019064_03: embryonic day 14.5 (more )
Note: Additional information for this specimen was included in the Eurexpress data submission file.
Structure Level Pattern Image Note
TS23: liver Strong Regionally restricted euxassay_019064_03
TS23: humerus Weak Regionally restricted euxassay_019064_03
TS23: stomach Weak Regionally restricted euxassay_019064_03 smooth muscle
TS23: smooth muscle tissue Present euxassay_019064_03
TS23: neural retina Moderate Regionally restricted euxassay_019064_03
TS23: femur Moderate Regionally restricted euxassay_019064_03
TS23: lung Weak Regionally restricted euxassay_019064_03
TS23: dermis Moderate Regionally restricted euxassay_019064_03
TS23: telencephalon ventricular layer Moderate Regionally restricted euxassay_019064_03
TS23: cerebral cortex ventricular layer Moderate Regionally restricted euxassay_019064_03
TS23: cerebral cortex mantle layer Moderate Regionally restricted euxassay_019064_03

Specimen euxassay_019064_04: embryonic day 14.5 (more )
Note: Additional information for this specimen was included in the Eurexpress data submission file.
Structure Level Pattern Image Note
TS23: liver Strong Regionally restricted euxassay_019064_04
TS23: humerus Weak Regionally restricted euxassay_019064_04
TS23: stomach Weak Regionally restricted euxassay_019064_04 smooth muscle
TS23: smooth muscle tissue Present euxassay_019064_04
TS23: neural retina Moderate Regionally restricted euxassay_019064_04
TS23: femur Weak Regionally restricted euxassay_019064_04
TS23: lung Weak Regionally restricted euxassay_019064_04
TS23: dermis Moderate Regionally restricted euxassay_019064_04
TS23: telencephalon ventricular layer Moderate Regionally restricted euxassay_019064_04
TS23: cerebral cortex ventricular layer Moderate Regionally restricted euxassay_019064_04
TS23: cerebral cortex mantle layer Moderate Regionally restricted euxassay_019064_04

Specimen euxassay_019064_05: embryonic day 14.5 (more )
Note: Additional information for this specimen was included in the Eurexpress data submission file.
Structure Level Pattern Image Note
TS23: liver Strong Regionally restricted euxassay_019064_05
TS23: stomach Weak Regionally restricted euxassay_019064_05 smooth muscle
TS23: smooth muscle tissue Present euxassay_019064_05
TS23: metanephros Weak Regionally restricted euxassay_019064_05
TS23: Meckel's cartilage Strong Regionally restricted euxassay_019064_05
TS23: testis Moderate Regionally restricted euxassay_019064_05
TS23: lung Weak Regionally restricted euxassay_019064_05
TS23: submandibular gland primordium Weak Regionally restricted euxassay_019064_05
TS23: dermis Moderate Regionally restricted euxassay_019064_05
TS23: telencephalon ventricular layer Moderate Regionally restricted euxassay_019064_05
TS23: cerebral cortex ventricular layer Moderate Regionally restricted euxassay_019064_05
TS23: cerebral cortex mantle layer Moderate Regionally restricted euxassay_019064_05
TS23: vibrissa Weak Regionally restricted euxassay_019064_05
TS23: rest of cerebellum ventricular layer Moderate Regionally restricted euxassay_019064_05

Specimen euxassay_019064_06: embryonic day 14.5 (more )
Note: Additional information for this specimen was included in the Eurexpress data submission file.
Structure Level Pattern Image Note
TS23: liver Strong Regionally restricted euxassay_019064_06
TS23: stomach Weak Regionally restricted euxassay_019064_06 smooth muscle
TS23: smooth muscle tissue Present euxassay_019064_06
TS23: metanephros Weak Regionally restricted euxassay_019064_06
TS23: Meckel's cartilage Strong Regionally restricted euxassay_019064_06
TS23: femur Weak Regionally restricted euxassay_019064_06
TS23: testis Weak Regionally restricted euxassay_019064_06
TS23: lung Weak Regionally restricted euxassay_019064_06
TS23: submandibular gland primordium Weak Regionally restricted euxassay_019064_06
TS23: dermis Moderate Regionally restricted euxassay_019064_06
TS23: cerebral cortex mantle layer Moderate Regionally restricted euxassay_019064_06
TS23: cerebral cortex ventricular layer Moderate Regionally restricted euxassay_019064_06
TS23: telencephalon mantle layer Moderate Regionally restricted euxassay_019064_06
TS23: telencephalon ventricular layer Moderate Regionally restricted euxassay_019064_06
TS23: vibrissa Weak Regionally restricted euxassay_019064_06
TS23: midbrain ventricular layer Moderate Regionally restricted euxassay_019064_06
TS23: rest of cerebellum ventricular layer Moderate Regionally restricted euxassay_019064_06

Specimen euxassay_019064_07: embryonic day 14.5 (more )
Structure Level Pattern Image Note
TS23: liver Strong Regionally restricted euxassay_019064_07
TS23: metanephros Weak Regionally restricted euxassay_019064_07
TS23: dorsal root ganglion Moderate Regionally restricted euxassay_019064_07
TS23: Meckel's cartilage Strong Regionally restricted euxassay_019064_07
TS23: testis Weak Regionally restricted euxassay_019064_07
TS23: lung Weak Regionally restricted euxassay_019064_07
TS23: submandibular gland primordium Weak Regionally restricted euxassay_019064_07
TS23: cervical ganglion Weak Regionally restricted euxassay_019064_07
TS23: dermis Moderate Regionally restricted euxassay_019064_07
TS23: telencephalon ventricular layer Moderate Regionally restricted euxassay_019064_07
TS23: telencephalon mantle layer Moderate Regionally restricted euxassay_019064_07
TS23: cerebral cortex mantle layer Moderate Regionally restricted euxassay_019064_07
TS23: cerebral cortex ventricular layer Moderate Regionally restricted euxassay_019064_07
TS23: vibrissa Weak Regionally restricted euxassay_019064_07
TS23: midbrain ventricular layer Moderate Regionally restricted euxassay_019064_07
TS23: rest of cerebellum ventricular layer Moderate Regionally restricted euxassay_019064_07

Specimen euxassay_019064_08: embryonic day 14.5 (more )
Structure Level Pattern Image Note
TS23: liver Moderate Regionally restricted euxassay_019064_08
TS23: olfactory epithelium Weak Regionally restricted euxassay_019064_08
TS23: midgut Weak Regionally restricted euxassay_019064_08
TS23: metanephros Weak Regionally restricted euxassay_019064_08
TS23: dorsal root ganglion Weak Regionally restricted euxassay_019064_08
TS23: Meckel's cartilage Strong Regionally restricted euxassay_019064_08
TS23: lung Weak Regionally restricted euxassay_019064_08
TS23: submandibular gland primordium Weak Regionally restricted euxassay_019064_08
TS23: cervico-thoracic ganglion Weak Regionally restricted euxassay_019064_08
TS23: cervical ganglion Weak Regionally restricted euxassay_019064_08
TS23: dermis Moderate Regionally restricted euxassay_019064_08
TS23: telencephalon ventricular layer Moderate Regionally restricted euxassay_019064_08
TS23: cerebral cortex ventricular layer Moderate Regionally restricted euxassay_019064_08
TS23: cerebral cortex mantle layer Moderate Regionally restricted euxassay_019064_08
TS23: midbrain ventricular layer Moderate Regionally restricted euxassay_019064_08
TS23: rest of cerebellum ventricular layer Moderate Regionally restricted euxassay_019064_08

Specimen euxassay_019064_09: embryonic day 14.5 (more )
Structure Level Pattern Image Note
TS23: liver Strong Regionally restricted euxassay_019064_09
TS23: olfactory epithelium Weak Regionally restricted euxassay_019064_09
TS23: midgut Weak Regionally restricted euxassay_019064_09
TS23: metanephros Moderate Regionally restricted euxassay_019064_09
TS23: dorsal root ganglion Weak Regionally restricted euxassay_019064_09
TS23: Meckel's cartilage Moderate Regionally restricted euxassay_019064_09
TS23: lung Moderate Regionally restricted euxassay_019064_09
TS23: submandibular gland primordium Weak Regionally restricted euxassay_019064_09
TS23: pancreas Weak Regionally restricted euxassay_019064_09
TS23: dermis Moderate Regionally restricted euxassay_019064_09
TS23: cerebral cortex mantle layer Moderate Regionally restricted euxassay_019064_09
TS23: cerebral cortex ventricular layer Moderate Regionally restricted euxassay_019064_09
TS23: telencephalon ventricular layer Moderate Regionally restricted euxassay_019064_09
TS23: rest of cerebellum ventricular layer Weak Regionally restricted euxassay_019064_09
TS23: midbrain ventricular layer Moderate Regionally restricted euxassay_019064_09
TS23: ventral grey horn Moderate Regionally restricted euxassay_019064_09
TS23: dorsal grey horn Moderate Regionally restricted euxassay_019064_09

Specimen euxassay_019064_10: embryonic day 14.5 (more )
Structure Level Pattern Image Note
TS23: liver Strong Regionally restricted euxassay_019064_10
TS23: thymus primordium Strong Regionally restricted euxassay_019064_10
TS23: thyroid gland Moderate Regionally restricted euxassay_019064_10
TS23: olfactory epithelium Weak Regionally restricted euxassay_019064_10
TS23: midgut Weak Regionally restricted euxassay_019064_10
TS23: dorsal root ganglion Weak Regionally restricted euxassay_019064_10
TS23: Meckel's cartilage Moderate Regionally restricted euxassay_019064_10
TS23: lung Moderate Regionally restricted euxassay_019064_10
TS23: pancreas Weak Regionally restricted euxassay_019064_10
TS23: dermis Moderate Regionally restricted euxassay_019064_10
TS23: telencephalon ventricular layer Moderate Regionally restricted euxassay_019064_10
TS23: olfactory cortex ventricular layer Moderate Regionally restricted euxassay_019064_10
TS23: cerebral cortex ventricular layer Moderate Regionally restricted euxassay_019064_10
TS23: cerebral cortex mantle layer Moderate Regionally restricted euxassay_019064_10
TS23: midbrain ventricular layer Moderate Regionally restricted euxassay_019064_10
TS23: rest of cerebellum ventricular layer Weak Regionally restricted euxassay_019064_10
TS23: ventral grey horn Moderate Regionally restricted euxassay_019064_10
TS23: dorsal grey horn Moderate Regionally restricted euxassay_019064_10

Specimen euxassay_019064_11: embryonic day 14.5 (more )
Structure Level Pattern Image Note
TS23: liver Strong Regionally restricted euxassay_019064_11
TS23: thymus primordium Strong Regionally restricted euxassay_019064_11
TS23: olfactory epithelium Weak Regionally restricted euxassay_019064_11
TS23: midgut Weak Regionally restricted euxassay_019064_11
TS23: dorsal root ganglion Weak Regionally restricted euxassay_019064_11
TS23: Meckel's cartilage Moderate Regionally restricted euxassay_019064_11
TS23: axial skeleton Moderate Regionally restricted euxassay_019064_11
TS23: lung Weak Regionally restricted euxassay_019064_11
TS23: pancreas Weak Regionally restricted euxassay_019064_11
TS23: dermis Moderate Regionally restricted euxassay_019064_11
TS23: telencephalon ventricular layer Moderate Regionally restricted euxassay_019064_11
TS23: olfactory cortex ventricular layer Moderate Regionally restricted euxassay_019064_11
TS23: cerebral cortex ventricular layer Moderate Regionally restricted euxassay_019064_11
TS23: cerebral cortex mantle layer Moderate Regionally restricted euxassay_019064_11
TS23: midbrain ventricular layer Moderate Regionally restricted euxassay_019064_11
TS23: rest of cerebellum ventricular layer Moderate Regionally restricted euxassay_019064_11
TS23: hypothalamus ventricular layer Weak Regionally restricted euxassay_019064_11
TS23: diencephalon lateral wall ventricular layer Weak Regionally restricted euxassay_019064_11
TS23: ventral grey horn Moderate Regionally restricted euxassay_019064_11
TS23: dorsal grey horn Moderate Regionally restricted euxassay_019064_11

Specimen euxassay_019064_12: embryonic day 14.5 (more )
Structure Level Pattern Image Note
TS23: liver Strong Regionally restricted euxassay_019064_12
TS23: thymus primordium Moderate Regionally restricted euxassay_019064_12
TS23: olfactory epithelium Weak Regionally restricted euxassay_019064_12
TS23: vomeronasal organ Weak Regionally restricted euxassay_019064_12
TS23: midgut Weak Regionally restricted euxassay_019064_12
TS23: Meckel's cartilage Moderate Regionally restricted euxassay_019064_12
TS23: axial skeleton Moderate Regionally restricted euxassay_019064_12
TS23: lung Weak Regionally restricted euxassay_019064_12
TS23: thoracic ganglion Weak Regionally restricted euxassay_019064_12
TS23: pancreas Weak Regionally restricted euxassay_019064_12
TS23: dermis Moderate Regionally restricted euxassay_019064_12
TS23: cerebral cortex ventricular layer Moderate Regionally restricted euxassay_019064_12
TS23: telencephalon ventricular layer Moderate Regionally restricted euxassay_019064_12
TS23: midbrain ventricular layer Moderate Regionally restricted euxassay_019064_12
TS23: rest of cerebellum ventricular layer Moderate Regionally restricted euxassay_019064_12
TS23: diencephalon lateral wall ventricular layer Weak Regionally restricted euxassay_019064_12
TS23: hypothalamus ventricular layer Weak Regionally restricted euxassay_019064_12
TS23: ventral grey horn Moderate Regionally restricted euxassay_019064_12
TS23: dorsal grey horn Moderate Regionally restricted euxassay_019064_12

Specimen euxassay_019064_13: embryonic day 14.5 (more )
Structure Level Pattern Image Note
TS23: liver Strong Regionally restricted euxassay_019064_13
TS23: thymus primordium Strong Regionally restricted euxassay_019064_13
TS23: olfactory epithelium Weak Regionally restricted euxassay_019064_13
TS23: naris Weak Regionally restricted euxassay_019064_13
TS23: midgut Moderate Regionally restricted euxassay_019064_13
TS23: Meckel's cartilage Weak Regionally restricted euxassay_019064_13
TS23: axial skeleton Moderate Regionally restricted euxassay_019064_13
TS23: bladder Weak Regionally restricted euxassay_019064_13
TS23: lung Weak Regionally restricted euxassay_019064_13
TS23: dermis Moderate Regionally restricted euxassay_019064_13
TS23: midbrain ventricular layer Moderate Regionally restricted euxassay_019064_13
TS23: diencephalon lateral wall ventricular layer Moderate Regionally restricted euxassay_019064_13
TS23: hypothalamus ventricular layer Moderate Regionally restricted euxassay_019064_13
TS23: ventral grey horn Moderate Regionally restricted euxassay_019064_13
TS23: dorsal grey horn Moderate Regionally restricted euxassay_019064_13

Specimen euxassay_019064_14: embryonic day 14.5 (more )
Structure Level Pattern Image Note
TS23: liver Strong Regionally restricted euxassay_019064_14
TS23: thymus primordium Strong Regionally restricted euxassay_019064_14
TS23: thyroid gland Weak Regionally restricted euxassay_019064_14
TS23: olfactory epithelium Weak Regionally restricted euxassay_019064_14
TS23: naris Weak Regionally restricted euxassay_019064_14
TS23: midgut Moderate Regionally restricted euxassay_019064_14
TS23: dorsal root ganglion Weak Regionally restricted euxassay_019064_14
TS23: Meckel's cartilage Strong Regionally restricted euxassay_019064_14
TS23: axial skeleton Moderate Regionally restricted euxassay_019064_14
TS23: urethra Weak Regionally restricted euxassay_019064_14 Originally this result was annotated to a male-specific term, but as the specimen was not sexed, it is likely the data annotator intended to use a non-sex specific term.
TS23: bladder Weak Regionally restricted euxassay_019064_14
TS23: lung Weak Regionally restricted euxassay_019064_14
TS23: dermis Moderate Regionally restricted euxassay_019064_14
TS23: midbrain ventricular layer Moderate Regionally restricted euxassay_019064_14
TS23: rest of cerebellum ventricular layer Moderate Regionally restricted euxassay_019064_14
TS23: diencephalon lateral wall ventricular layer Moderate Regionally restricted euxassay_019064_14
TS23: hypothalamus ventricular layer Moderate Regionally restricted euxassay_019064_14
TS23: ventral grey horn Moderate Regionally restricted euxassay_019064_14
TS23: dorsal grey horn Moderate Regionally restricted euxassay_019064_14

Specimen euxassay_019064_15: embryonic day 14.5 (more )
Structure Level Pattern Image Note
TS23: liver Strong Regionally restricted euxassay_019064_15
TS23: thyroid gland Weak Regionally restricted euxassay_019064_15
TS23: olfactory epithelium Weak Regionally restricted euxassay_019064_15
TS23: midgut Moderate Regionally restricted euxassay_019064_15
TS23: dorsal root ganglion Weak Regionally restricted euxassay_019064_15
TS23: Meckel's cartilage Strong Regionally restricted euxassay_019064_15
TS23: urethra Weak Regionally restricted euxassay_019064_15 Originally this result was annotated to a male-specific term, but as the specimen was not sexed, it is likely the data annotator intended to use a non-sex specific term.
TS23: bladder Weak Regionally restricted euxassay_019064_15
TS23: lung Weak Regionally restricted euxassay_019064_15
TS23: cervico-thoracic ganglion Weak Regionally restricted euxassay_019064_15
TS23: dermis Moderate Regionally restricted euxassay_019064_15
TS23: cerebral cortex ventricular layer Moderate Regionally restricted euxassay_019064_15
TS23: telencephalon ventricular layer Moderate Regionally restricted euxassay_019064_15
TS23: midbrain ventricular layer Moderate Regionally restricted euxassay_019064_15

Specimen euxassay_019064_16: embryonic day 14.5 (more )
Structure Level Pattern Image Note
TS23: liver Strong Regionally restricted euxassay_019064_16
TS23: olfactory epithelium Weak Regionally restricted euxassay_019064_16
TS23: naris Weak Regionally restricted euxassay_019064_16
TS23: midgut Moderate Regionally restricted euxassay_019064_16
TS23: metanephros Weak Regionally restricted euxassay_019064_16
TS23: dorsal root ganglion Weak Regionally restricted euxassay_019064_16
TS23: Meckel's cartilage Strong Regionally restricted euxassay_019064_16
TS23: bladder Weak Regionally restricted euxassay_019064_16
TS23: lung Weak Regionally restricted euxassay_019064_16
TS23: submandibular gland primordium Weak Regionally restricted euxassay_019064_16
TS23: cervical ganglion Weak Regionally restricted euxassay_019064_16
TS23: dermis Moderate Regionally restricted euxassay_019064_16
TS23: olfactory cortex ventricular layer Moderate Regionally restricted euxassay_019064_16
TS23: telencephalon ventricular layer Moderate Regionally restricted euxassay_019064_16
TS23: cerebral cortex ventricular layer Moderate Regionally restricted euxassay_019064_16
TS23: midbrain ventricular layer Moderate Regionally restricted euxassay_019064_16

Specimen euxassay_019064_17: embryonic day 14.5 (more )
Structure Level Pattern Image Note
TS23: liver Strong Regionally restricted euxassay_019064_17
TS23: olfactory epithelium Weak Regionally restricted euxassay_019064_17
TS23: midgut Moderate Regionally restricted euxassay_019064_17
TS23: metanephros Weak Regionally restricted euxassay_019064_17
TS23: Meckel's cartilage Strong Regionally restricted euxassay_019064_17
TS23: pelvic girdle skeleton Moderate Regionally restricted euxassay_019064_17
TS23: lung Moderate Regionally restricted euxassay_019064_17
TS23: submandibular gland primordium Weak Regionally restricted euxassay_019064_17
TS23: dermis Moderate Regionally restricted euxassay_019064_17
TS23: olfactory cortex ventricular layer Moderate Regionally restricted euxassay_019064_17
TS23: telencephalon ventricular layer Moderate Regionally restricted euxassay_019064_17
TS23: cerebral cortex ventricular layer Moderate Regionally restricted euxassay_019064_17
TS23: cerebral cortex mantle layer Moderate Regionally restricted euxassay_019064_17
TS23: midbrain ventricular layer Moderate Regionally restricted euxassay_019064_17
TS23: rest of cerebellum ventricular layer Moderate Regionally restricted euxassay_019064_17

Specimen euxassay_019064_18: embryonic day 14.5 (more )
Structure Level Pattern Image Note
TS23: liver Strong Regionally restricted euxassay_019064_18
TS23: olfactory epithelium Weak Regionally restricted euxassay_019064_18
TS23: midgut Moderate Regionally restricted euxassay_019064_18
TS23: metanephros Weak Regionally restricted euxassay_019064_18
TS23: Meckel's cartilage Strong Regionally restricted euxassay_019064_18
TS23: lung Weak Regionally restricted euxassay_019064_18
TS23: submandibular gland primordium Weak Regionally restricted euxassay_019064_18
TS23: dermis Moderate Regionally restricted euxassay_019064_18
TS23: telencephalon mantle layer Moderate Regionally restricted euxassay_019064_18
TS23: telencephalon ventricular layer Moderate Regionally restricted euxassay_019064_18
TS23: cerebral cortex mantle layer Moderate Regionally restricted euxassay_019064_18
TS23: cerebral cortex ventricular layer Moderate Regionally restricted euxassay_019064_18

Specimen euxassay_019064_19: embryonic day 14.5 (more )
Structure Level Pattern Image Note
TS23: liver Strong Regionally restricted euxassay_019064_19
TS23: olfactory epithelium Weak Regionally restricted euxassay_019064_19
TS23: metanephros Weak Regionally restricted euxassay_019064_19
TS23: Meckel's cartilage Strong Regionally restricted euxassay_019064_19
TS23: testis Weak Regionally restricted euxassay_019064_19
TS23: lung Weak Regionally restricted euxassay_019064_19
TS23: submandibular gland primordium Moderate Regionally restricted euxassay_019064_19
TS23: dermis Moderate Regionally restricted euxassay_019064_19
TS23: telencephalon ventricular layer Moderate Regionally restricted euxassay_019064_19
TS23: cerebral cortex ventricular layer Moderate Regionally restricted euxassay_019064_19
TS23: cerebral cortex mantle layer Moderate Regionally restricted euxassay_019064_19
TS23: telencephalon mantle layer Moderate Regionally restricted euxassay_019064_19

Specimen euxassay_019064_20: embryonic day 14.5 (more )
Structure Level Pattern Image Note
TS23: liver Moderate Regionally restricted euxassay_019064_20
TS23: metanephros Weak Regionally restricted euxassay_019064_20
TS23: Meckel's cartilage Strong Regionally restricted euxassay_019064_20
TS23: testis Weak Regionally restricted euxassay_019064_20
TS23: lung Weak Regionally restricted euxassay_019064_20
TS23: submandibular gland primordium Weak Regionally restricted euxassay_019064_20
TS23: dermis Moderate Regionally restricted euxassay_019064_20
TS23: telencephalon ventricular layer Moderate Regionally restricted euxassay_019064_20
TS23: cerebral cortex ventricular layer Moderate Regionally restricted euxassay_019064_20
TS23: cerebral cortex mantle layer Moderate Regionally restricted euxassay_019064_20

Specimen euxassay_019064_21: embryonic day 14.5 (more )
Structure Level Pattern Image Note
TS23: liver Strong Regionally restricted euxassay_019064_21
TS23: humerus Weak Regionally restricted euxassay_019064_21
TS23: Meckel's cartilage Strong Regionally restricted euxassay_019064_21
TS23: testis Moderate Regionally restricted euxassay_019064_21
TS23: lung Weak Regionally restricted euxassay_019064_21
TS23: dermis Moderate Regionally restricted euxassay_019064_21
TS23: telencephalon ventricular layer Moderate Regionally restricted euxassay_019064_21
TS23: cerebral cortex ventricular layer Moderate Regionally restricted euxassay_019064_21
TS23: cerebral cortex mantle layer Moderate Regionally restricted euxassay_019064_21
TS23: vibrissa Weak Regionally restricted euxassay_019064_21

Specimen euxassay_019064_22: embryonic day 14.5 (more )
Structure Level Pattern Image Note
TS23: liver Strong Regionally restricted euxassay_019064_22
TS23: humerus Weak Regionally restricted euxassay_019064_22
TS23: scapula Moderate Regionally restricted euxassay_019064_22
TS23: neural retina Moderate Regionally restricted euxassay_019064_22
TS23: Meckel's cartilage Moderate Regionally restricted euxassay_019064_22
TS23: femur Weak Regionally restricted euxassay_019064_22
TS23: lung Weak Regionally restricted euxassay_019064_22
TS23: dermis Moderate Regionally restricted euxassay_019064_22
TS23: telencephalon ventricular layer Moderate Regionally restricted euxassay_019064_22
TS23: cerebral cortex ventricular layer Moderate Regionally restricted euxassay_019064_22
TS23: cerebral cortex mantle layer Moderate Regionally restricted euxassay_019064_22

Specimen euxassay_019064_23: embryonic day 14.5 (more )
Structure Level Pattern Image Note
TS23: liver Strong Regionally restricted euxassay_019064_23
TS23: humerus Moderate Regionally restricted euxassay_019064_23
TS23: scapula Weak Regionally restricted euxassay_019064_23
TS23: neural retina Moderate Regionally restricted euxassay_019064_23
TS23: femur Weak Regionally restricted euxassay_019064_23
TS23: pharyngo-tympanic tube Moderate Regionally restricted euxassay_019064_23
TS23: dermis Moderate Regionally restricted euxassay_019064_23
TS23: cerebral cortex ventricular layer Moderate Regionally restricted euxassay_019064_23
TS23: cerebral cortex mantle layer Moderate Regionally restricted euxassay_019064_23
TS23: telencephalon ventricular layer Moderate Regionally restricted euxassay_019064_23

Specimen euxassay_019064_24: embryonic day 14.5 (more )
Structure Level Pattern Image Note
TS23: liver Strong Regionally restricted euxassay_019064_24
TS23: humerus Moderate Regionally restricted euxassay_019064_24
TS23: neural retina Moderate Regionally restricted euxassay_019064_24
TS23: femur Moderate Regionally restricted euxassay_019064_24
TS23: pharyngo-tympanic tube Moderate Regionally restricted euxassay_019064_24
TS23: dermis Moderate Regionally restricted euxassay_019064_24
TS23: cerebral cortex mantle layer Moderate Regionally restricted euxassay_019064_24
TS23: telencephalon ventricular layer Moderate Regionally restricted euxassay_019064_24

Specimen euxassay_019064_25: embryonic day 14.5 (more )
Structure Level Pattern Image Note
TS23: liver Strong Regionally restricted euxassay_019064_25
TS23: humerus Moderate Regionally restricted euxassay_019064_25
TS23: neural retina Moderate Regionally restricted euxassay_019064_25
TS23: femur Moderate Regionally restricted euxassay_019064_25
TS23: pharyngo-tympanic tube Moderate Regionally restricted euxassay_019064_25
TS23: dermis Moderate Regionally restricted euxassay_019064_25
TS23: cerebral cortex mantle layer Weak Regionally restricted euxassay_019064_25

Specimen euxassay_019064_26: embryonic day 14.5 (more )
Structure Level Pattern Image Note
TS23: liver Strong Regionally restricted euxassay_019064_26
TS23: humerus Moderate Regionally restricted euxassay_019064_26
TS23: neural retina Moderate Regionally restricted euxassay_019064_26
TS23: pharyngo-tympanic tube Moderate Regionally restricted euxassay_019064_26
TS23: dermis Moderate Regionally restricted euxassay_019064_26


Contributing Projects:
Mouse Genome Database (MGD), Gene Expression Database (GXD), Mouse Models of Human Cancer database (MMHCdb) (formerly Mouse Tumor Biology (MTB)), Gene Ontology (GO)
Citing These Resources
Funding Information
Warranty Disclaimer, Privacy Notice, Licensing, & Copyright
Send questions and comments to User Support.
last database update
01/06/2026
MGI 6.24
The Jackson Laboratory