About   Help   FAQ
Gene Expression Data
Assay Details
Assay
Reference: J:153498 Diez-Roux G, et al., A high-resolution anatomical atlas of the transcriptome in the mouse embryo. PLoS Biol. 2011;9(1):e1000582
Assay type: RNA in situ
MGI Accession ID: MGI:4826229
Gene symbol: Mir187
Gene name: microRNA 187
Probe: T70298
Probe preparation: Antisense labelled with digoxigenin RNA
Visualized with: Alkaline phosphatase
Assay notes: Cryosections of fresh frozen material were fixed in 4% paraformaldehyde for 20 min. before further processing. A tyramide-biotin/streptavidin amplification step was included in the in situ hybridization procedure.
Results
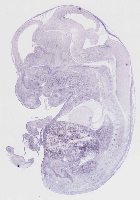
Specimen euxassay_019233_01: embryonic day 14.5 (more )
Structure Level Pattern Image Note
TS23: liver Moderate Spotted euxassay_019233_01

Specimen euxassay_019233_02: embryonic day 14.5 (more )
Structure Level Pattern Image Note
TS23: trigeminal ganglion Moderate Regionally restricted euxassay_019233_02
TS23: liver Moderate Spotted euxassay_019233_02

Specimen euxassay_019233_03: embryonic day 14.5 (more )
Structure Level Pattern Image Note
TS23: trigeminal ganglion Moderate Regionally restricted euxassay_019233_03
TS23: facial ganglion Moderate Regionally restricted euxassay_019233_03
TS23: liver Moderate Spotted euxassay_019233_03

Specimen euxassay_019233_04: embryonic day 14.5 (more )
Structure Level Pattern Image Note
TS23: trigeminal ganglion Moderate Regionally restricted euxassay_019233_04
TS23: facial ganglion Moderate Regionally restricted euxassay_019233_04
TS23: liver Moderate Spotted euxassay_019233_04

Specimen euxassay_019233_05: embryonic day 14.5 (more )
Structure Level Pattern Image Note
TS23: trigeminal ganglion Moderate Regionally restricted euxassay_019233_05
TS23: facial ganglion Moderate Regionally restricted euxassay_019233_05
TS23: liver Moderate Spotted euxassay_019233_05

Specimen euxassay_019233_06: embryonic day 14.5 (more )
Structure Level Pattern Image Note
TS23: trigeminal ganglion Moderate Regionally restricted euxassay_019233_06
TS23: liver Moderate Spotted euxassay_019233_06

Specimen euxassay_019233_07: embryonic day 14.5 (more )
Structure Level Pattern Image Note
TS23: trigeminal ganglion Moderate Regionally restricted euxassay_019233_07
TS23: liver Moderate Spotted euxassay_019233_07
TS23: submandibular gland primordium Weak Regionally restricted euxassay_019233_07

Specimen euxassay_019233_08: embryonic day 14.5 (more )
Structure Level Pattern Image Note
TS23: trigeminal ganglion Weak Regionally restricted euxassay_019233_08
TS23: liver Moderate Spotted euxassay_019233_08
TS23: submandibular gland primordium Weak Regionally restricted euxassay_019233_08

Specimen euxassay_019233_09: embryonic day 14.5 (more )
Structure Level Pattern Image Note
TS23: liver Moderate Spotted euxassay_019233_09
TS23: submandibular gland primordium Weak Regionally restricted euxassay_019233_09

Specimen euxassay_019233_10: embryonic day 14.5 (more )
Structure Level Pattern Image Note
TS23: liver Moderate Spotted euxassay_019233_10

Specimen euxassay_019233_11: embryonic day 14.5 (more )
Structure Level Pattern Image Note
TS23: liver Moderate Spotted euxassay_019233_11

Specimen euxassay_019233_12: embryonic day 14.5 (more )
Structure Level Pattern Image Note
TS23: liver Moderate Spotted euxassay_019233_12

Specimen euxassay_019233_13: embryonic day 14.5 (more )
Structure Level Pattern Image Note
TS23: liver Moderate Spotted euxassay_019233_13

Specimen euxassay_019233_14: embryonic day 14.5 (more )
Structure Level Pattern Image Note
TS23: liver Moderate Spotted euxassay_019233_14

Specimen euxassay_019233_15: embryonic day 14.5 (more )
Structure Level Pattern Image Note
TS23: liver Moderate Spotted euxassay_019233_15
TS23: submandibular gland primordium Weak Regionally restricted euxassay_019233_15

Specimen euxassay_019233_16: embryonic day 14.5 (more )
Structure Level Pattern Image Note
TS23: liver Moderate Spotted euxassay_019233_16
TS23: submandibular gland primordium Weak Regionally restricted euxassay_019233_16

Specimen euxassay_019233_17: embryonic day 14.5 (more )
Structure Level Pattern Image Note
TS23: trigeminal ganglion Moderate Regionally restricted euxassay_019233_17
TS23: liver Moderate Spotted euxassay_019233_17
TS23: submandibular gland primordium Weak Regionally restricted euxassay_019233_17

Specimen euxassay_019233_18: embryonic day 14.5 (more )
Structure Level Pattern Image Note
TS23: trigeminal ganglion Weak Regionally restricted euxassay_019233_18
TS23: liver Moderate Spotted euxassay_019233_18
TS23: submandibular gland primordium Weak Regionally restricted euxassay_019233_18

Specimen euxassay_019233_19: embryonic day 14.5 (more )
Structure Level Pattern Image Note
TS23: trigeminal ganglion Weak Regionally restricted euxassay_019233_19
TS23: facial ganglion Weak Regionally restricted euxassay_019233_19
TS23: liver Moderate Spotted euxassay_019233_19

Specimen euxassay_019233_20: embryonic day 14.5 (more )
Structure Level Pattern Image Note
TS23: trigeminal ganglion Weak Regionally restricted euxassay_019233_20
TS23: liver Moderate Spotted euxassay_019233_20

Specimen euxassay_019233_21: embryonic day 14.5 (more )
Structure Level Pattern Image Note
TS23: liver Moderate Spotted euxassay_019233_21

Specimen euxassay_019233_22: embryonic day 14.5 (more )
Structure Level Pattern Image Note
TS23: liver Moderate Spotted euxassay_019233_22

Specimen euxassay_019233_23: embryonic day 14.5 (more )
Structure Level Pattern Image Note
TS23: liver Moderate Spotted euxassay_019233_23


Contributing Projects:
Mouse Genome Database (MGD), Gene Expression Database (GXD), Mouse Models of Human Cancer database (MMHCdb) (formerly Mouse Tumor Biology (MTB)), Gene Ontology (GO)
Citing These Resources
Funding Information
Warranty Disclaimer, Privacy Notice, Licensing, & Copyright
Send questions and comments to User Support.
last database update
01/06/2026
MGI 6.24
The Jackson Laboratory