About   Help   FAQ
Gene Expression Data
Assay Details
Assay
Reference: J:153498 Diez-Roux G, et al., A high-resolution anatomical atlas of the transcriptome in the mouse embryo. PLoS Biol. 2011;9(1):e1000582
Assay type: RNA in situ
MGI Accession ID: MGI:4826155
Gene symbol: Mef2c
Gene name: myocyte enhancer factor 2C
Probe: T30333
Probe preparation: Antisense labelled with digoxigenin RNA
Visualized with: Alkaline phosphatase
Assay notes: Cryosections of fresh frozen material were fixed in 4% paraformaldehyde for 20 min. before further processing. A tyramide-biotin/streptavidin amplification step was included in the in situ hybridization procedure.
Results
Specimen Table S9 - Mef2c: embryonic day 14.5 (more )
Note: The probe used to generate this data was not specified; another gene-specific probe may have been used.
Structure Level Pattern Image Note
TS23: liver Present Single cells Expression is present in single cells in which the intercellular distance between stained cells is much larger than the cell diameter of an individual cell and in circles of cells. A thumbnail photo of the staining is contained in the table.

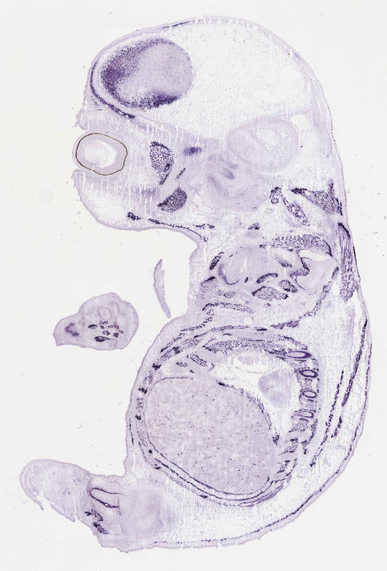
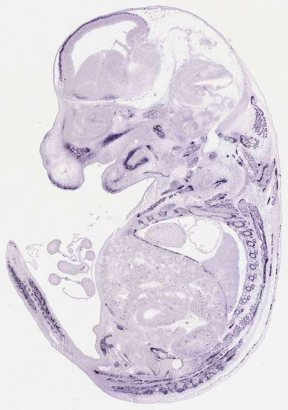
Specimen euxassay_011479_01: embryonic day 14.5 (more )
Structure Level Pattern Image Note
TS23: vibrissa Strong Regionally restricted euxassay_011479_01
TS23: orbito-sphenoid Strong Regionally restricted euxassay_011479_01
TS23: vertebral axis musculature Strong Regionally restricted euxassay_011479_01
TS23: rib Strong Regionally restricted euxassay_011479_01
TS23: cerebral cortex mantle layer Strong Regionally restricted euxassay_011479_01
TS23: telencephalon mantle layer Strong Regionally restricted euxassay_011479_01
TS23: cerebral cortex marginal layer Strong Regionally restricted euxassay_011479_01
TS23: diaphragm Moderate Regionally restricted euxassay_011479_01
TS23: hand mesenchyme Strong Regionally restricted euxassay_011479_01
TS23: upper arm muscle Strong Regionally restricted euxassay_011479_01
TS23: upper leg muscle Strong Regionally restricted euxassay_011479_01

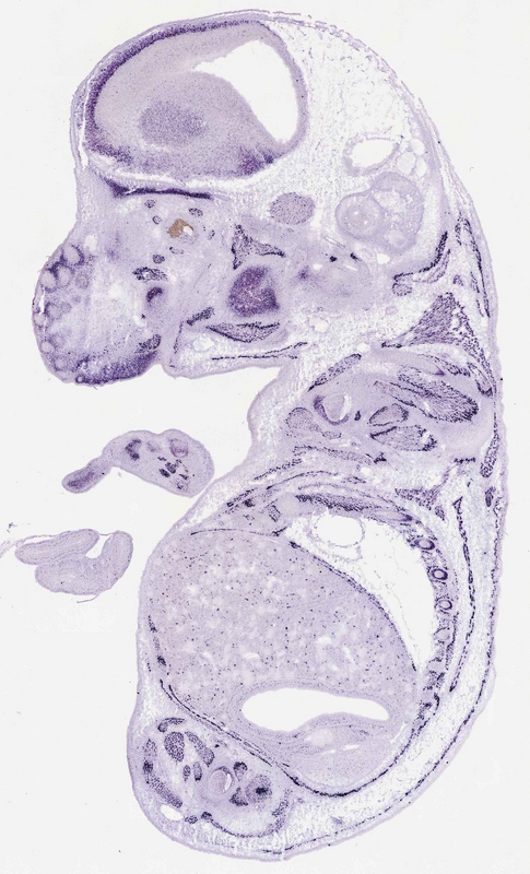
Specimen euxassay_011479_02: embryonic day 14.5 (more )
Structure Level Pattern Image Note
TS23: vibrissa Strong Regionally restricted euxassay_011479_02
TS23: orbito-sphenoid Strong Regionally restricted euxassay_011479_02
TS23: vertebral axis musculature Strong Regionally restricted euxassay_011479_02
TS23: mandible Strong Regionally restricted euxassay_011479_02
TS23: maxilla Strong Regionally restricted euxassay_011479_02
TS23: rib Strong Regionally restricted euxassay_011479_02
TS23: upper lip Strong Regionally restricted euxassay_011479_02
TS23: trigeminal ganglion Moderate Single cells euxassay_011479_02
TS23: telencephalon mantle layer Strong Regionally restricted euxassay_011479_02
TS23: cerebral cortex mantle layer Strong Regionally restricted euxassay_011479_02
TS23: cerebral cortex marginal layer Strong Regionally restricted euxassay_011479_02
TS23: diaphragm Moderate Regionally restricted euxassay_011479_02
TS23: upper leg muscle Strong Regionally restricted euxassay_011479_02
TS23: upper arm muscle Strong Regionally restricted euxassay_011479_02

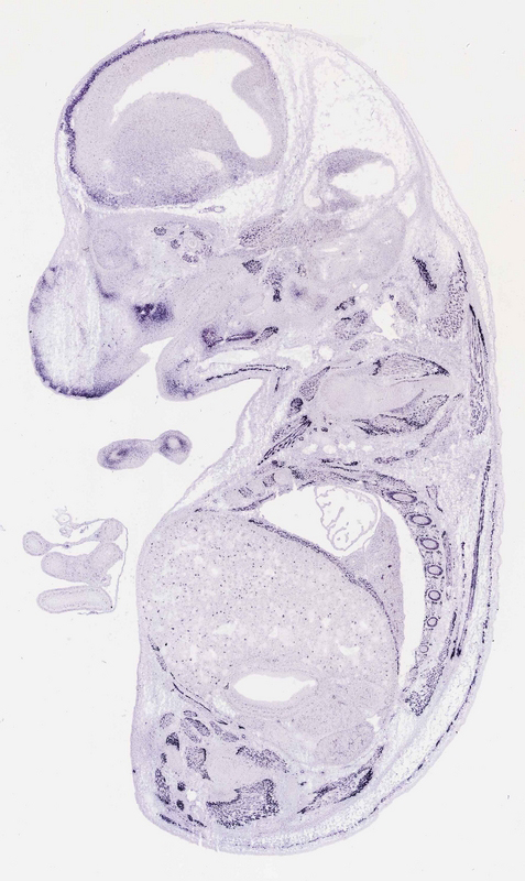
Specimen euxassay_011479_03: embryonic day 14.5 (more )
Structure Level Pattern Image Note
TS23: vibrissa Moderate Regionally restricted euxassay_011479_03
TS23: orbito-sphenoid Moderate Regionally restricted euxassay_011479_03
TS23: vertebral axis musculature Strong Regionally restricted euxassay_011479_03
TS23: maxilla Strong Regionally restricted euxassay_011479_03
TS23: mandible Strong Regionally restricted euxassay_011479_03
TS23: rib Strong Regionally restricted euxassay_011479_03
TS23: upper lip Moderate Regionally restricted euxassay_011479_03
TS23: lower lip Moderate Regionally restricted euxassay_011479_03
TS23: trigeminal ganglion Moderate Single cells euxassay_011479_03
TS23: cerebral cortex marginal layer Strong Regionally restricted euxassay_011479_03
TS23: cerebral cortex mantle layer Strong Regionally restricted euxassay_011479_03
TS23: telencephalon mantle layer Strong Regionally restricted euxassay_011479_03
TS23: diaphragm Moderate Regionally restricted euxassay_011479_03
TS23: upper arm muscle Strong Regionally restricted euxassay_011479_03
TS23: upper leg muscle Strong Regionally restricted euxassay_011479_03

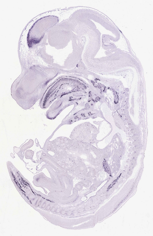
Specimen euxassay_011479_04: embryonic day 14.5 (more )
Structure Level Pattern Image Note
TS23: vibrissa Moderate Regionally restricted euxassay_011479_04
TS23: vertebral axis musculature Strong Regionally restricted euxassay_011479_04
TS23: maxilla Strong Regionally restricted euxassay_011479_04
TS23: mandible Strong Regionally restricted euxassay_011479_04
TS23: rib Strong Regionally restricted euxassay_011479_04
TS23: upper lip Moderate Regionally restricted euxassay_011479_04
TS23: lower lip Moderate Regionally restricted euxassay_011479_04
TS23: trigeminal ganglion Moderate Single cells euxassay_011479_04
TS23: cerebral cortex marginal layer Strong Regionally restricted euxassay_011479_04
TS23: telencephalon mantle layer Moderate Regionally restricted euxassay_011479_04
TS23: diaphragm Moderate Regionally restricted euxassay_011479_04
TS23: upper arm muscle Strong Regionally restricted euxassay_011479_04
TS23: upper leg muscle Strong Regionally restricted euxassay_011479_04

Specimen euxassay_011479_05: embryonic day 14.5 (more )
Structure Level Pattern Image Note
TS23: vertebral axis musculature Strong Regionally restricted euxassay_011479_05
TS23: maxilla Strong Regionally restricted euxassay_011479_05
TS23: mandible Strong Regionally restricted euxassay_011479_05
TS23: rib Strong Regionally restricted euxassay_011479_05
TS23: lower lip Moderate Regionally restricted euxassay_011479_05
TS23: upper lip Moderate Regionally restricted euxassay_011479_05
TS23: trigeminal ganglion Moderate Single cells euxassay_011479_05
TS23: telencephalon mantle layer Moderate Regionally restricted euxassay_011479_05
TS23: cerebral cortex marginal layer Strong Regionally restricted euxassay_011479_05
TS23: diaphragm Moderate Regionally restricted euxassay_011479_05

Specimen euxassay_011479_06: embryonic day 14.5 (more )
Structure Level Pattern Image Note
TS23: vertebral axis musculature Strong Regionally restricted euxassay_011479_06
TS23: tail mesenchyme Strong Regionally restricted euxassay_011479_06
TS23: mandible Strong Regionally restricted euxassay_011479_06
TS23: maxilla Strong Regionally restricted euxassay_011479_06
TS23: rib Strong Regionally restricted euxassay_011479_06
TS23: lower lip Moderate Regionally restricted euxassay_011479_06
TS23: upper lip Moderate Regionally restricted euxassay_011479_06
TS23: trigeminal ganglion Moderate Single cells euxassay_011479_06
TS23: glossopharyngeal ganglion Moderate Single cells euxassay_011479_06
TS23: cerebral cortex marginal layer Strong Regionally restricted euxassay_011479_06
TS23: telencephalon mantle layer Moderate Regionally restricted euxassay_011479_06
TS23: diaphragm Moderate Regionally restricted euxassay_011479_06

Specimen euxassay_011479_07: embryonic day 14.5 (more )
Structure Level Pattern Image Note
TS23: vertebral axis musculature Strong Regionally restricted euxassay_011479_07
TS23: tail mesenchyme Strong Regionally restricted euxassay_011479_07
TS23: upper jaw incisor Strong Regionally restricted euxassay_011479_07
TS23: mandible Strong Regionally restricted euxassay_011479_07
TS23: rib Strong Regionally restricted euxassay_011479_07
TS23: lower lip Moderate Regionally restricted euxassay_011479_07
TS23: upper lip Moderate Regionally restricted euxassay_011479_07
TS23: axial skeleton tail region Moderate Regionally restricted euxassay_011479_07
TS23: glossopharyngeal ganglion Moderate Single cells euxassay_011479_07
TS23: trigeminal ganglion Moderate Single cells euxassay_011479_07
TS23: telencephalon mantle layer Moderate Regionally restricted euxassay_011479_07
TS23: cerebral cortex marginal layer Strong Regionally restricted euxassay_011479_07
TS23: olfactory cortex marginal layer Strong Regionally restricted euxassay_011479_07
TS23: midbrain mantle layer Moderate Regionally restricted euxassay_011479_07
TS23: diaphragm Moderate Regionally restricted euxassay_011479_07

Specimen euxassay_011479_08: embryonic day 14.5 (more )
Structure Level Pattern Image Note
TS23: tail mesenchyme Strong Regionally restricted euxassay_011479_08
TS23: vertebral axis musculature Strong Regionally restricted euxassay_011479_08
TS23: upper jaw incisor Strong Regionally restricted euxassay_011479_08
TS23: lower jaw incisor Strong Regionally restricted euxassay_011479_08
TS23: rib Strong Regionally restricted euxassay_011479_08
TS23: lower lip Moderate Regionally restricted euxassay_011479_08
TS23: axial skeleton tail region Moderate Regionally restricted euxassay_011479_08
TS23: tongue muscle Strong Regionally restricted euxassay_011479_08
TS23: glossopharyngeal ganglion Moderate Single cells euxassay_011479_08
TS23: cerebral cortex marginal layer Strong Regionally restricted euxassay_011479_08
TS23: telencephalon mantle layer Moderate Regionally restricted euxassay_011479_08
TS23: rest of cerebellum mantle layer Moderate Regionally restricted euxassay_011479_08
TS23: midbrain mantle layer Weak Regionally restricted euxassay_011479_08
TS23: diaphragm Moderate Regionally restricted euxassay_011479_08
TS23: clavicle Strong Regionally restricted euxassay_011479_08

Specimen euxassay_011479_09: embryonic day 14.5 (more )
Structure Level Pattern Image Note
TS23: vertebral axis musculature Strong Regionally restricted euxassay_011479_09
TS23: tail mesenchyme Strong Regionally restricted euxassay_011479_09
TS23: lower jaw incisor Strong Regionally restricted euxassay_011479_09
TS23: upper jaw incisor Strong Regionally restricted euxassay_011479_09
TS23: lower lip Moderate Regionally restricted euxassay_011479_09
TS23: axial skeleton tail region Moderate Regionally restricted euxassay_011479_09
TS23: tongue muscle Strong Regionally restricted euxassay_011479_09
TS23: telencephalon mantle layer Moderate Regionally restricted euxassay_011479_09
TS23: cerebral cortex marginal layer Strong Regionally restricted euxassay_011479_09
TS23: rest of cerebellum mantle layer Moderate Regionally restricted euxassay_011479_09
TS23: midbrain mantle layer Weak Regionally restricted euxassay_011479_09
TS23: clavicle Strong Regionally restricted euxassay_011479_09

Specimen euxassay_011479_10: embryonic day 14.5 (more )
Structure Level Pattern Image Note
TS23: tail mesenchyme Strong Regionally restricted euxassay_011479_10
TS23: vertebral axis musculature Strong Regionally restricted euxassay_011479_10
TS23: lower lip Moderate Regionally restricted euxassay_011479_10
TS23: tongue muscle Strong Regionally restricted euxassay_011479_10
TS23: cerebral cortex marginal layer Strong Regionally restricted euxassay_011479_10
TS23: rest of cerebellum mantle layer Moderate Regionally restricted euxassay_011479_10
TS23: midbrain mantle layer Weak Regionally restricted euxassay_011479_10
TS23: dorsal grey horn Weak Regionally restricted euxassay_011479_10

Specimen euxassay_011479_11: embryonic day 14.5 (more )
Structure Level Pattern Image Note
TS23: vertebral axis musculature Strong Regionally restricted euxassay_011479_11
TS23: tail mesenchyme Strong Regionally restricted euxassay_011479_11
TS23: lower lip Moderate Regionally restricted euxassay_011479_11
TS23: tongue muscle Strong Regionally restricted euxassay_011479_11
TS23: cerebral cortex marginal layer Strong Regionally restricted euxassay_011479_11
TS23: telencephalon mantle layer Strong Regionally restricted euxassay_011479_11
TS23: midbrain mantle layer Weak Regionally restricted euxassay_011479_11
TS23: dorsal grey horn Weak Regionally restricted euxassay_011479_11

Specimen euxassay_011479_12: embryonic day 14.5 (more )
Structure Level Pattern Image Note
TS23: tail mesenchyme Strong Regionally restricted euxassay_011479_12
TS23: upper jaw incisor Strong Regionally restricted euxassay_011479_12
TS23: lower lip Moderate Regionally restricted euxassay_011479_12
TS23: tongue muscle Strong Regionally restricted euxassay_011479_12
TS23: olfactory cortex marginal layer Moderate Regionally restricted euxassay_011479_12
TS23: cerebral cortex marginal layer Strong Regionally restricted euxassay_011479_12
TS23: telencephalon mantle layer Moderate Regionally restricted euxassay_011479_12
TS23: midbrain mantle layer Weak Regionally restricted euxassay_011479_12
TS23: dorsal grey horn Weak Regionally restricted euxassay_011479_12

Specimen euxassay_011479_13: embryonic day 14.5 (more )
Structure Level Pattern Image Note
TS23: vertebral axis musculature Strong Regionally restricted euxassay_011479_13
TS23: upper jaw incisor Strong Regionally restricted euxassay_011479_13
TS23: lower jaw incisor Strong Regionally restricted euxassay_011479_13
TS23: lower lip Moderate Regionally restricted euxassay_011479_13
TS23: upper lip Moderate Regionally restricted euxassay_011479_13
TS23: tongue muscle Strong Regionally restricted euxassay_011479_13
TS23: olfactory cortex marginal layer Moderate Regionally restricted euxassay_011479_13
TS23: telencephalon mantle layer Moderate Regionally restricted euxassay_011479_13
TS23: cerebral cortex marginal layer Strong Regionally restricted euxassay_011479_13
TS23: midbrain mantle layer Weak Regionally restricted euxassay_011479_13
TS23: dorsal grey horn Moderate Regionally restricted euxassay_011479_13

Specimen euxassay_011479_14: embryonic day 14.5 (more )
Structure Level Pattern Image Note
TS23: vertebral axis musculature Strong Regionally restricted euxassay_011479_14
TS23: maxilla Strong Regionally restricted euxassay_011479_14
TS23: mandible Strong Regionally restricted euxassay_011479_14
TS23: lower lip Moderate Regionally restricted euxassay_011479_14
TS23: upper lip Moderate Regionally restricted euxassay_011479_14
TS23: cerebral cortex marginal layer Strong Regionally restricted euxassay_011479_14
TS23: telencephalon mantle layer Strong Regionally restricted euxassay_011479_14
TS23: olfactory cortex marginal layer Strong Regionally restricted euxassay_011479_14
TS23: midbrain mantle layer Weak Regionally restricted euxassay_011479_14
TS23: dorsal grey horn Moderate Regionally restricted euxassay_011479_14

Specimen euxassay_011479_15: embryonic day 14.5 (more )
Structure Level Pattern Image Note
TS23: vertebral axis musculature Strong Regionally restricted euxassay_011479_15
TS23: maxilla Strong Regionally restricted euxassay_011479_15
TS23: mandible Strong Regionally restricted euxassay_011479_15
TS23: upper lip Moderate Regionally restricted euxassay_011479_15
TS23: lower lip Moderate Regionally restricted euxassay_011479_15
TS23: telencephalon mantle layer Strong Regionally restricted euxassay_011479_15
TS23: midbrain mantle layer Weak Regionally restricted euxassay_011479_15
TS23: dorsal grey horn Moderate Regionally restricted euxassay_011479_15

Specimen euxassay_011479_16: embryonic day 14.5 (more )
Structure Level Pattern Image Note
TS23: vertebral axis musculature Strong Regionally restricted euxassay_011479_16
TS23: maxilla Strong Regionally restricted euxassay_011479_16
TS23: mandible Strong Regionally restricted euxassay_011479_16
TS23: upper lip Moderate Regionally restricted euxassay_011479_16
TS23: lower lip Moderate Regionally restricted euxassay_011479_16
TS23: trigeminal ganglion Moderate Single cells euxassay_011479_16
TS23: telencephalon mantle layer Strong Regionally restricted euxassay_011479_16
TS23: cerebral cortex marginal layer Strong Regionally restricted euxassay_011479_16
TS23: midbrain mantle layer Weak Regionally restricted euxassay_011479_16
TS23: clavicle Strong Regionally restricted euxassay_011479_16

Specimen euxassay_011479_17: embryonic day 14.5 (more )
Structure Level Pattern Image Note
TS23: vibrissa Moderate Regionally restricted euxassay_011479_17
TS23: vertebral axis musculature Strong Regionally restricted euxassay_011479_17
TS23: maxilla Strong Regionally restricted euxassay_011479_17
TS23: mandible Strong Regionally restricted euxassay_011479_17
TS23: lower lip Moderate Regionally restricted euxassay_011479_17
TS23: upper lip Strong Regionally restricted euxassay_011479_17
TS23: trigeminal ganglion Moderate Single cells euxassay_011479_17
TS23: glossopharyngeal ganglion Moderate Single cells euxassay_011479_17
TS23: cerebral cortex marginal layer Strong Regionally restricted euxassay_011479_17
TS23: telencephalon mantle layer Moderate Regionally restricted euxassay_011479_17
TS23: rest of cerebellum mantle layer Moderate Regionally restricted euxassay_011479_17
TS23: midbrain mantle layer Weak Regionally restricted euxassay_011479_17
TS23: diaphragm Moderate Regionally restricted euxassay_011479_17
TS23: upper leg muscle Strong Regionally restricted euxassay_011479_17
TS23: clavicle Strong Regionally restricted euxassay_011479_17

Specimen euxassay_011479_18: embryonic day 14.5 (more )
Structure Level Pattern Image Note
TS23: vibrissa Strong Regionally restricted euxassay_011479_18
TS23: vertebral axis musculature Strong Regionally restricted euxassay_011479_18
TS23: maxilla Strong Regionally restricted euxassay_011479_18
TS23: mandible Strong Regionally restricted euxassay_011479_18
TS23: rib Strong Regionally restricted euxassay_011479_18
TS23: upper lip Strong Regionally restricted euxassay_011479_18
TS23: lower lip Moderate Regionally restricted euxassay_011479_18
TS23: trigeminal ganglion Moderate Single cells euxassay_011479_18
TS23: glossopharyngeal ganglion Moderate Single cells euxassay_011479_18
TS23: telencephalon mantle layer Moderate Regionally restricted euxassay_011479_18
TS23: cerebral cortex marginal layer Strong Regionally restricted euxassay_011479_18
TS23: cerebral cortex mantle layer Strong Regionally restricted euxassay_011479_18
TS23: rest of cerebellum mantle layer Moderate Regionally restricted euxassay_011479_18
TS23: midbrain mantle layer Weak Regionally restricted euxassay_011479_18
TS23: diaphragm Moderate Regionally restricted euxassay_011479_18
TS23: upper leg muscle Strong Regionally restricted euxassay_011479_18
TS23: foot mesenchyme Strong Regionally restricted euxassay_011479_18
TS23: hindlimb digit 1 phalanx Strong Regionally restricted euxassay_011479_18
TS23: hindlimb digit 2 phalanx Strong Regionally restricted euxassay_011479_18
TS23: hindlimb digit 2 metatarsal Strong Regionally restricted euxassay_011479_18
TS23: hindlimb digit 3 metatarsal Strong Regionally restricted euxassay_011479_18
TS23: hindlimb digit 4 metatarsal Strong Regionally restricted euxassay_011479_18

Specimen euxassay_011479_19: embryonic day 14.5 (more )
Structure Level Pattern Image Note
TS23: vibrissa Strong Regionally restricted euxassay_011479_19
TS23: orbito-sphenoid Strong Regionally restricted euxassay_011479_19
TS23: vertebral axis musculature Strong Regionally restricted euxassay_011479_19
TS23: mandible Strong Regionally restricted euxassay_011479_19
TS23: maxilla Strong Regionally restricted euxassay_011479_19
TS23: rib Strong Regionally restricted euxassay_011479_19
TS23: upper lip Strong Regionally restricted euxassay_011479_19
TS23: trigeminal ganglion Moderate Single cells euxassay_011479_19
TS23: cerebral cortex marginal layer Strong Regionally restricted euxassay_011479_19
TS23: cerebral cortex mantle layer Strong Regionally restricted euxassay_011479_19
TS23: telencephalon mantle layer Strong Regionally restricted euxassay_011479_19
TS23: rest of cerebellum mantle layer Moderate Regionally restricted euxassay_011479_19
TS23: diaphragm Moderate Regionally restricted euxassay_011479_19
TS23: hindlimb digit 2 metatarsal Moderate Regionally restricted euxassay_011479_19
TS23: hindlimb digit 2 phalanx Moderate Regionally restricted euxassay_011479_19
TS23: hindlimb digit 3 metatarsal Moderate Regionally restricted euxassay_011479_19
TS23: hindlimb digit 1 metatarsal Moderate Regionally restricted euxassay_011479_19
TS23: hindlimb digit 5 metatarsal Moderate Regionally restricted euxassay_011479_19
TS23: upper leg muscle Strong Regionally restricted euxassay_011479_19

Specimen euxassay_011479_20: embryonic day 14.5 (more )
Structure Level Pattern Image Note
TS23: vibrissa Strong Regionally restricted euxassay_011479_20
TS23: orbito-sphenoid Strong Regionally restricted euxassay_011479_20
TS23: vertebral axis musculature Strong Regionally restricted euxassay_011479_20
TS23: mandible Strong Regionally restricted euxassay_011479_20
TS23: rib Strong Regionally restricted euxassay_011479_20
TS23: trigeminal ganglion Moderate Single cells euxassay_011479_20
TS23: telencephalon mantle layer Strong Regionally restricted euxassay_011479_20
TS23: cerebral cortex marginal layer Strong Regionally restricted euxassay_011479_20
TS23: cerebral cortex mantle layer Strong Regionally restricted euxassay_011479_20
TS23: midbrain mantle layer Weak Regionally restricted euxassay_011479_20
TS23: diaphragm Moderate Regionally restricted euxassay_011479_20
TS23: upper leg muscle Strong Regionally restricted euxassay_011479_20
TS23: hindlimb digit 1 metatarsal Strong Regionally restricted euxassay_011479_20
TS23: hindlimb digit 1 phalanx Strong Regionally restricted euxassay_011479_20

Specimen euxassay_011479_21: embryonic day 14.5 (more )
Structure Level Pattern Image Note
TS23: orbito-sphenoid Strong Regionally restricted euxassay_011479_21
TS23: vertebral axis musculature Strong Regionally restricted euxassay_011479_21
TS23: rib Strong Regionally restricted euxassay_011479_21
TS23: trigeminal ganglion Moderate Single cells euxassay_011479_21
TS23: telencephalon mantle layer Strong Regionally restricted euxassay_011479_21
TS23: cerebral cortex marginal layer Strong Regionally restricted euxassay_011479_21
TS23: cerebral cortex mantle layer Strong Regionally restricted euxassay_011479_21
TS23: diaphragm Moderate Regionally restricted euxassay_011479_21
TS23: upper leg muscle Strong Regionally restricted euxassay_011479_21
TS23: upper arm muscle Strong Regionally restricted euxassay_011479_21
TS23: hand mesenchyme Strong Regionally restricted euxassay_011479_21
TS23: lower leg rest of mesenchyme Strong Regionally restricted euxassay_011479_21

Specimen euxassay_011479_22: embryonic day 14.5 (more )
Structure Level Pattern Image Note
TS23: orbito-sphenoid Strong Regionally restricted euxassay_011479_22
TS23: vertebral axis musculature Strong Regionally restricted euxassay_011479_22
TS23: rib Strong Regionally restricted euxassay_011479_22
TS23: trigeminal ganglion Moderate Single cells euxassay_011479_22
TS23: cerebral cortex marginal layer Strong Regionally restricted euxassay_011479_22
TS23: cerebral cortex mantle layer Strong Regionally restricted euxassay_011479_22
TS23: telencephalon marginal layer Strong Regionally restricted euxassay_011479_22
TS23: diaphragm Moderate Regionally restricted euxassay_011479_22
TS23: lower leg rest of mesenchyme Strong Regionally restricted euxassay_011479_22
TS23: upper arm muscle Strong Regionally restricted euxassay_011479_22
TS23: hand mesenchyme Strong Regionally restricted euxassay_011479_22

Specimen euxassay_011479_23: embryonic day 14.5 (more )
Structure Level Pattern Image Note
TS23: orbito-sphenoid Strong Regionally restricted euxassay_011479_23
TS23: vertebral axis musculature Strong Regionally restricted euxassay_011479_23
TS23: rib Strong Regionally restricted euxassay_011479_23
TS23: telencephalon mantle layer Strong Regionally restricted euxassay_011479_23
TS23: cerebral cortex marginal layer Strong Regionally restricted euxassay_011479_23
TS23: cerebral cortex mantle layer Strong Regionally restricted euxassay_011479_23
TS23: lower leg rest of mesenchyme Strong Regionally restricted euxassay_011479_23
TS23: hand mesenchyme Strong Regionally restricted euxassay_011479_23
TS23: upper arm muscle Strong Regionally restricted euxassay_011479_23

Specimen euxassay_011479_24: embryonic day 14.5 (more )
Structure Level Pattern Image Note
TS23: vault of skull Strong Regionally restricted euxassay_011479_24
TS23: orbito-sphenoid Strong Regionally restricted euxassay_011479_24
TS23: vertebral axis musculature Strong Regionally restricted euxassay_011479_24
TS23: rib Strong Regionally restricted euxassay_011479_24
TS23: telencephalon mantle layer Strong Regionally restricted euxassay_011479_24
TS23: upper arm muscle Strong Regionally restricted euxassay_011479_24
TS23: hand mesenchyme Strong Regionally restricted euxassay_011479_24
TS23: lower leg rest of mesenchyme Strong Regionally restricted euxassay_011479_24


Contributing Projects:
Mouse Genome Database (MGD), Gene Expression Database (GXD), Mouse Models of Human Cancer database (MMHCdb) (formerly Mouse Tumor Biology (MTB)), Gene Ontology (GO)
Citing These Resources
Funding Information
Warranty Disclaimer, Privacy Notice, Licensing, & Copyright
Send questions and comments to User Support.
last database update
12/30/2025
MGI 6.24
The Jackson Laboratory