About   Help   FAQ
Gene Expression Data
Assay Details
Assay
Reference: J:153498 Diez-Roux G, et al., A high-resolution anatomical atlas of the transcriptome in the mouse embryo. PLoS Biol. 2011;9(1):e1000582
Assay type: RNA in situ
MGI Accession ID: MGI:4826153
Gene symbol: Med25
Gene name: mediator complex subunit 25
Probe: MGC clone 29161
Probe preparation: Antisense labelled with digoxigenin RNA
Visualized with: Alkaline phosphatase
Assay notes: Cryosections of fresh frozen material were fixed in 4% paraformaldehyde for 20 min. before further processing. A tyramide-biotin/streptavidin amplification step was included in the in situ hybridization procedure.
Results
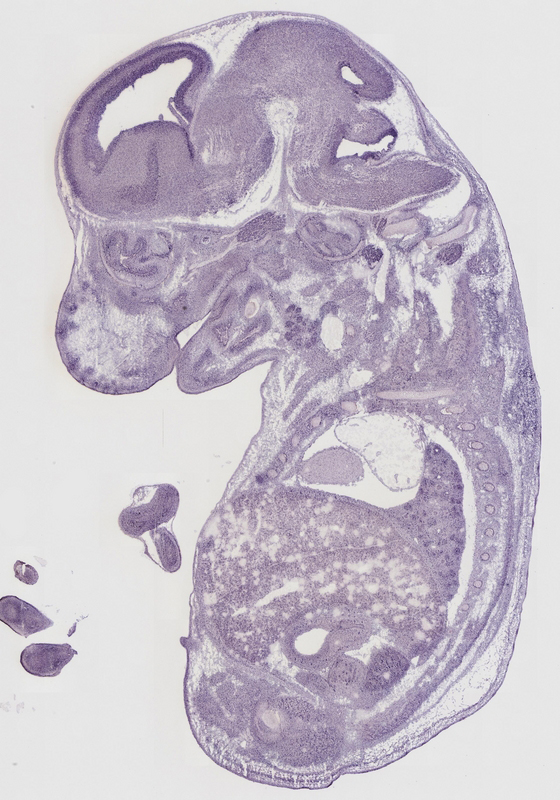
Specimen euxassay_001251_02: embryonic day 14.5 (more )
Structure Level Pattern Image Note
TS23: telencephalon ventricular layer Moderate Uniform euxassay_001251_02
TS23: cerebral cortex marginal layer Moderate Uniform euxassay_001251_02

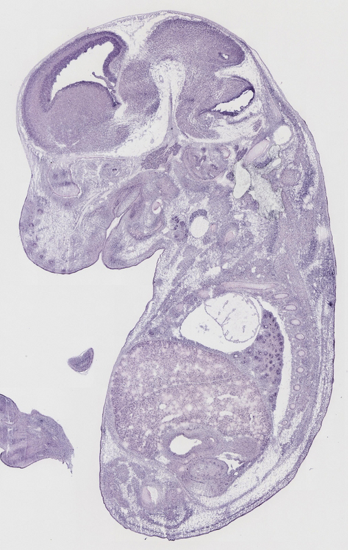
Specimen euxassay_001251_03: embryonic day 14.5 (more )
Structure Level Pattern Image Note
TS23: telencephalon ventricular layer Moderate Uniform euxassay_001251_03
TS23: cerebral cortex marginal layer Moderate Uniform euxassay_001251_03

Specimen euxassay_001251_04: embryonic day 14.5 (more )
Structure Level Pattern Image Note
TS23: telencephalon ventricular layer Moderate Uniform euxassay_001251_04
TS23: cerebral cortex marginal layer Moderate Uniform euxassay_001251_04
TS23: metencephalon rest of alar plate ventricular layer Moderate Uniform euxassay_001251_04
TS23: trigeminal ganglion Weak Regionally restricted euxassay_001251_04

Specimen euxassay_001251_05: embryonic day 14.5 (more )
Structure Level Pattern Image Note
TS23: telencephalon ventricular layer Moderate Uniform euxassay_001251_05
TS23: cerebral cortex marginal layer Moderate Uniform euxassay_001251_05
TS23: metencephalon rest of alar plate ventricular layer Moderate Uniform euxassay_001251_05
TS23: trigeminal ganglion Weak Regionally restricted euxassay_001251_05
TS23: facial ganglion Weak Regionally restricted euxassay_001251_05

Specimen euxassay_001251_06: embryonic day 14.5 (more )
Structure Level Pattern Image Note
TS23: telencephalon ventricular layer Moderate Uniform euxassay_001251_06
TS23: cerebral cortex marginal layer Moderate Uniform euxassay_001251_06
TS23: metencephalon rest of alar plate ventricular layer Moderate Uniform euxassay_001251_06
TS23: trigeminal ganglion Weak Regionally restricted euxassay_001251_06

Specimen euxassay_001251_07: embryonic day 14.5 (more )
Structure Level Pattern Image Note
TS23: telencephalon ventricular layer Moderate Uniform euxassay_001251_07
TS23: cerebral cortex marginal layer Moderate Uniform euxassay_001251_07
TS23: metencephalon rest of alar plate ventricular layer Moderate Uniform euxassay_001251_07
TS23: trigeminal ganglion Weak Regionally restricted euxassay_001251_07

Specimen euxassay_001251_08: embryonic day 14.5 (more )
Structure Level Pattern Image Note
TS23: telencephalon ventricular layer Moderate Uniform euxassay_001251_08
TS23: cerebral cortex marginal layer Moderate Uniform euxassay_001251_08
TS23: metencephalon rest of alar plate ventricular layer Moderate Uniform euxassay_001251_08
TS23: glossopharyngeal ganglion Weak Regionally restricted euxassay_001251_08
TS23: trigeminal ganglion Weak Regionally restricted euxassay_001251_08
TS23: vestibulo-cochlear ganglion Weak Regionally restricted euxassay_001251_08

Specimen euxassay_001251_09: embryonic day 14.5 (more )
Structure Level Pattern Image Note
TS23: telencephalon ventricular layer Moderate Uniform euxassay_001251_09
TS23: cerebral cortex marginal layer Moderate Uniform euxassay_001251_09
TS23: metencephalon rest of alar plate ventricular layer Moderate Uniform euxassay_001251_09
TS23: midbrain ventricular layer Moderate Uniform euxassay_001251_09
TS23: glossopharyngeal ganglion Weak Regionally restricted euxassay_001251_09
TS23: trigeminal ganglion Weak Regionally restricted euxassay_001251_09
TS23: vestibulo-cochlear ganglion Weak Regionally restricted euxassay_001251_09
TS23: submandibular gland primordium Weak Regionally restricted euxassay_001251_09

Specimen euxassay_001251_10: embryonic day 14.5 (more )
Structure Level Pattern Image Note
TS23: telencephalon ventricular layer Moderate Uniform euxassay_001251_10
TS23: cerebral cortex marginal layer Moderate Uniform euxassay_001251_10
TS23: metencephalon rest of alar plate ventricular layer Moderate Uniform euxassay_001251_10
TS23: midbrain ventricular layer Moderate Uniform euxassay_001251_10
TS23: vagus ganglion Weak Regionally restricted euxassay_001251_10
TS23: trigeminal ganglion Weak Regionally restricted euxassay_001251_10
TS23: submandibular gland primordium Weak Regionally restricted euxassay_001251_10
TS23: tail dorsal root ganglion Weak Regionally restricted euxassay_001251_10

Specimen euxassay_001251_11: embryonic day 14.5 (more )
Structure Level Pattern Image Note
TS23: telencephalon ventricular layer Moderate Uniform euxassay_001251_11
TS23: cerebral cortex marginal layer Moderate Uniform euxassay_001251_11
TS23: metencephalon rest of alar plate ventricular layer Moderate Uniform euxassay_001251_11
TS23: medulla oblongata basal plate ventricular layer Moderate Uniform euxassay_001251_11
TS23: midbrain ventricular layer Moderate Uniform euxassay_001251_11
TS23: trigeminal ganglion Weak Regionally restricted euxassay_001251_11
TS23: vagus ganglion Weak Regionally restricted euxassay_001251_11
TS23: submandibular gland primordium Weak Regionally restricted euxassay_001251_11
TS23: tail dorsal root ganglion Weak Regionally restricted euxassay_001251_11

Specimen euxassay_001251_12: embryonic day 14.5 (more )
Structure Level Pattern Image Note
TS23: telencephalon ventricular layer Moderate Uniform euxassay_001251_12
TS23: cerebral cortex marginal layer Moderate Uniform euxassay_001251_12
TS23: medulla oblongata basal plate ventricular layer Moderate Uniform euxassay_001251_12
TS23: midbrain ventricular layer Moderate Uniform euxassay_001251_12
TS23: lower jaw incisor Weak Regionally restricted euxassay_001251_12
TS23: upper jaw incisor Weak Regionally restricted euxassay_001251_12

Specimen euxassay_001251_13: embryonic day 14.5 (more )
Structure Level Pattern Image Note
TS23: telencephalon ventricular layer Moderate Uniform euxassay_001251_13
TS23: cerebral cortex marginal layer Moderate Uniform euxassay_001251_13
TS23: medulla oblongata alar plate ventricular layer Moderate Uniform euxassay_001251_13
TS23: medulla oblongata basal plate ventricular layer Moderate Uniform euxassay_001251_13
TS23: midbrain ventricular layer Moderate Uniform euxassay_001251_13
TS23: tail dorsal root ganglion Weak Regionally restricted euxassay_001251_13
TS23: lower jaw incisor Weak Regionally restricted euxassay_001251_13
TS23: upper jaw incisor Weak Regionally restricted euxassay_001251_13

Specimen euxassay_001251_14: embryonic day 14.5 (more )
Structure Level Pattern Image Note
TS23: telencephalon ventricular layer Moderate Uniform euxassay_001251_14
TS23: medulla oblongata basal plate ventricular layer Moderate Uniform euxassay_001251_14
TS23: medulla oblongata alar plate ventricular layer Moderate Uniform euxassay_001251_14
TS23: midbrain ventricular layer Moderate Uniform euxassay_001251_14
TS23: tail dorsal root ganglion Weak Regionally restricted euxassay_001251_14
TS23: lower jaw incisor Weak Regionally restricted euxassay_001251_14
TS23: upper jaw incisor Weak Regionally restricted euxassay_001251_14

Specimen euxassay_001251_15: embryonic day 14.5 (more )
Structure Level Pattern Image Note
TS23: telencephalon ventricular layer Moderate Uniform euxassay_001251_15
TS23: cerebral cortex marginal layer Moderate Uniform euxassay_001251_15
TS23: medulla oblongata alar plate ventricular layer Moderate Uniform euxassay_001251_15
TS23: midbrain ventricular layer Moderate Uniform euxassay_001251_15

Specimen euxassay_001251_16: embryonic day 14.5 (more )
Structure Level Pattern Image Note
TS23: telencephalon ventricular layer Moderate Uniform euxassay_001251_16
TS23: cerebral cortex marginal layer Moderate Uniform euxassay_001251_16
TS23: medulla oblongata alar plate ventricular layer Moderate Uniform euxassay_001251_16
TS23: midbrain ventricular layer Moderate Uniform euxassay_001251_16

Specimen euxassay_001251_17: embryonic day 14.5 (more )
Structure Level Pattern Image Note
TS23: telencephalon ventricular layer Moderate Uniform euxassay_001251_17
TS23: cerebral cortex marginal layer Moderate Uniform euxassay_001251_17
TS23: medulla oblongata alar plate ventricular layer Moderate Uniform euxassay_001251_17
TS23: pons ventricular layer Moderate Uniform euxassay_001251_17
TS23: midbrain ventricular layer Moderate Uniform euxassay_001251_17
TS23: lower jaw incisor Weak Regionally restricted euxassay_001251_17
TS23: upper jaw incisor Weak Regionally restricted euxassay_001251_17

Specimen euxassay_001251_18: embryonic day 14.5 (more )
Structure Level Pattern Image Note
TS23: telencephalon ventricular layer Moderate Uniform euxassay_001251_18
TS23: cerebral cortex marginal layer Moderate Uniform euxassay_001251_18
TS23: medulla oblongata alar plate ventricular layer Moderate Uniform euxassay_001251_18
TS23: pons ventricular layer Moderate Uniform euxassay_001251_18
TS23: midbrain ventricular layer Moderate Uniform euxassay_001251_18
TS23: tail dorsal root ganglion Weak Regionally restricted euxassay_001251_18
TS23: lower jaw incisor Weak Regionally restricted euxassay_001251_18
TS23: upper jaw incisor Weak Regionally restricted euxassay_001251_18

Specimen euxassay_001251_19: embryonic day 14.5 (more )
Structure Level Pattern Image Note
TS23: telencephalon ventricular layer Moderate Uniform euxassay_001251_19
TS23: cerebral cortex marginal layer Moderate Uniform euxassay_001251_19
TS23: metencephalon rest of alar plate ventricular layer Moderate Uniform euxassay_001251_19
TS23: pons ventricular layer Moderate Uniform euxassay_001251_19
TS23: vagus ganglion Weak Regionally restricted euxassay_001251_19
TS23: trigeminal ganglion Weak Regionally restricted euxassay_001251_19
TS23: tail dorsal root ganglion Weak Regionally restricted euxassay_001251_19

Specimen euxassay_001251_20: embryonic day 14.5 (more )
Structure Level Pattern Image Note
TS23: telencephalon ventricular layer Moderate Uniform euxassay_001251_20
TS23: cerebral cortex marginal layer Moderate Uniform euxassay_001251_20
TS23: metencephalon rest of alar plate ventricular layer Moderate Uniform euxassay_001251_20
TS23: vestibulo-cochlear ganglion Weak Regionally restricted euxassay_001251_20
TS23: glossopharyngeal ganglion Weak Regionally restricted euxassay_001251_20
TS23: trigeminal ganglion Weak Regionally restricted euxassay_001251_20
TS23: tail dorsal root ganglion Weak Regionally restricted euxassay_001251_20

Specimen euxassay_001251_21: embryonic day 14.5 (more )
Structure Level Pattern Image Note
TS23: telencephalon ventricular layer Moderate Uniform euxassay_001251_21
TS23: cerebral cortex marginal layer Moderate Uniform euxassay_001251_21
TS23: metencephalon rest of alar plate ventricular layer Moderate Uniform euxassay_001251_21
TS23: trigeminal ganglion Weak Regionally restricted euxassay_001251_21
TS23: glossopharyngeal ganglion Weak Regionally restricted euxassay_001251_21
TS23: vestibulo-cochlear ganglion Weak Regionally restricted euxassay_001251_21

Specimen euxassay_001251_22: embryonic day 14.5 (more )
Structure Level Pattern Image Note
TS23: telencephalon ventricular layer Moderate Uniform euxassay_001251_22
TS23: cerebral cortex marginal layer Moderate Uniform euxassay_001251_22
TS23: metencephalon rest of alar plate ventricular layer Moderate Uniform euxassay_001251_22
TS23: submandibular gland primordium Weak Regionally restricted euxassay_001251_22

Specimen euxassay_001251_23: embryonic day 14.5 (more )
Structure Level Pattern Image Note
TS23: telencephalon ventricular layer Moderate Uniform euxassay_001251_23
TS23: cerebral cortex marginal layer Moderate Uniform euxassay_001251_23
TS23: metencephalon rest of alar plate ventricular layer Moderate Uniform euxassay_001251_23


Contributing Projects:
Mouse Genome Database (MGD), Gene Expression Database (GXD), Mouse Models of Human Cancer database (MMHCdb) (formerly Mouse Tumor Biology (MTB)), Gene Ontology (GO)
Citing These Resources
Funding Information
Warranty Disclaimer, Privacy Notice, Licensing, & Copyright
Send questions and comments to User Support.
last database update
01/20/2026
MGI 6.24
The Jackson Laboratory