About   Help   FAQ
Gene Expression Data
Assay Details
Assay
Reference: J:153498 Diez-Roux G, et al., A high-resolution anatomical atlas of the transcriptome in the mouse embryo. PLoS Biol. 2011;9(1):e1000582
Assay type: RNA in situ
MGI Accession ID: MGI:4826145
Gene symbol: Me1
Gene name: malic enzyme 1, NADP(+)-dependent, cytosolic
Probe: IMAGE clone 387467
Probe preparation: Antisense labelled with digoxigenin RNA
Visualized with: Alkaline phosphatase
Assay notes: Cryosections of fresh frozen material were fixed in 4% paraformaldehyde for 20 min. before further processing. A tyramide-biotin/streptavidin amplification step was included in the in situ hybridization procedure.
Results
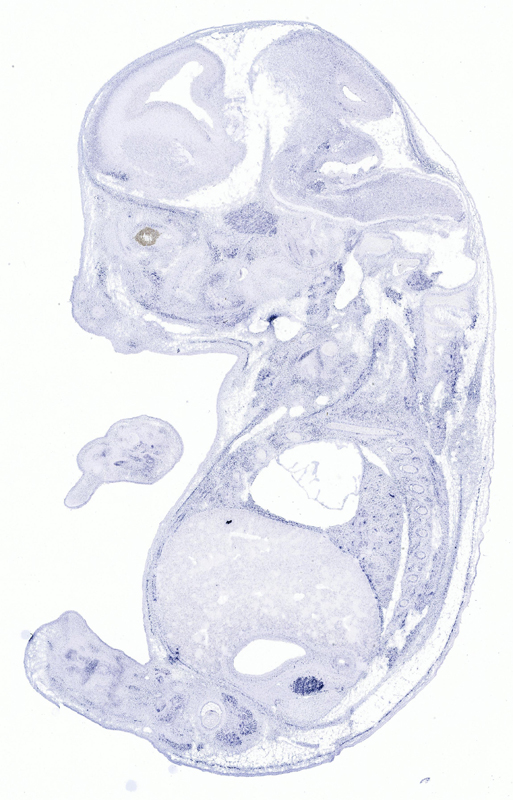
Specimen euxassay_000395_01: embryonic day 14.5 (more )
Structure Level Pattern Image Note
TS23: testis Moderate Regionally restricted euxassay_000395_01

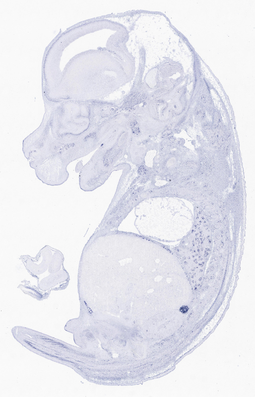
Specimen euxassay_000395_07: embryonic day 14.5 (more )
Structure Level Pattern Image Note
TS23: testis Moderate Regionally restricted euxassay_000395_07

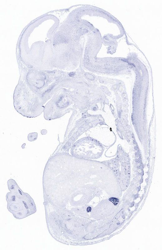
Specimen euxassay_000395_08: embryonic day 14.5 (more )
Structure Level Pattern Image Note
TS23: testis Moderate Regionally restricted euxassay_000395_08

Specimen euxassay_000395_09: embryonic day 14.5 (more )
Structure Level Pattern Image Note
TS23: testis Moderate Regionally restricted euxassay_000395_09
TS23: adrenal gland Moderate Regionally restricted euxassay_000395_09

Specimen euxassay_000395_10: embryonic day 14.5 (more )
Structure Level Pattern Image Note
TS23: testis Moderate Regionally restricted euxassay_000395_10
TS23: adrenal gland Moderate Regionally restricted euxassay_000395_10

Specimen euxassay_000395_11: embryonic day 14.5 (more )
Structure Level Pattern Image Note
TS23: adrenal gland Moderate Regionally restricted euxassay_000395_11

Specimen euxassay_000395_18: embryonic day 14.5 (more )
Structure Level Pattern Image Note
TS23: adrenal gland Moderate Regionally restricted euxassay_000395_18

Specimen euxassay_000395_19: embryonic day 14.5 (more )
Structure Level Pattern Image Note
TS23: adrenal gland Moderate Regionally restricted euxassay_000395_19

Specimen euxassay_000395_20: embryonic day 14.5 (more )
Structure Level Pattern Image Note
TS23: adrenal gland Moderate Regionally restricted euxassay_000395_20

Specimen euxassay_000395_21: embryonic day 14.5 (more )
Structure Level Pattern Image Note
TS23: testis Moderate Regionally restricted euxassay_000395_21

Specimen euxassay_000395_22: embryonic day 14.5 (more )
Structure Level Pattern Image Note
TS23: testis Moderate Regionally restricted euxassay_000395_22

Specimen euxassay_000395_23: embryonic day 14.5 (more )
Structure Level Pattern Image Note
TS23: testis Moderate Regionally restricted euxassay_000395_23

Specimen euxassay_000395_24: embryonic day 14.5 (more )
Structure Level Pattern Image Note
TS23: testis Moderate Regionally restricted euxassay_000395_24


Contributing Projects:
Mouse Genome Database (MGD), Gene Expression Database (GXD), Mouse Models of Human Cancer database (MMHCdb) (formerly Mouse Tumor Biology (MTB)), Gene Ontology (GO)
Citing These Resources
Funding Information
Warranty Disclaimer, Privacy Notice, Licensing, & Copyright
Send questions and comments to User Support.
last database update
12/30/2025
MGI 6.24
The Jackson Laboratory