About   Help   FAQ
Gene Expression Data
Assay Details
Assay
Reference: J:153498 Diez-Roux G, et al., A high-resolution anatomical atlas of the transcriptome in the mouse embryo. PLoS Biol. 2011;9(1):e1000582
Assay type: RNA in situ
MGI Accession ID: MGI:4826114
Gene symbol: Mb
Gene name: myoglobin
Probe: T1670
Probe preparation: Antisense labelled with digoxigenin RNA
Visualized with: Alkaline phosphatase
Assay notes: Cryosections of fresh frozen material were fixed in 4% paraformaldehyde for 20 min. before further processing. A tyramide-biotin/streptavidin amplification step was included in the in situ hybridization procedure.
Results
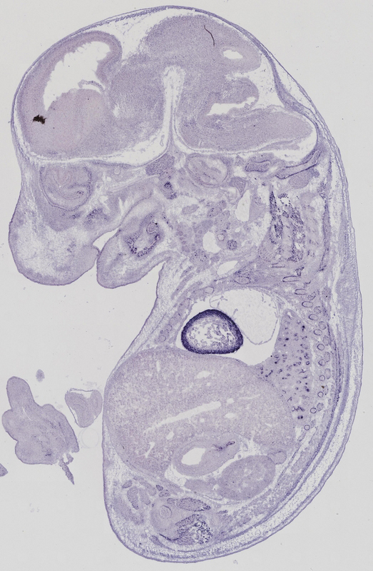
Specimen euxassay_000044_05: embryonic day 14.5 (more )
Structure Level Pattern Image Note
TS23: right ventricle cardiac muscle Strong Uniform euxassay_000044_05

Specimen euxassay_000044_06: embryonic day 14.5 (more )
Structure Level Pattern Image Note
TS23: right ventricle cardiac muscle Strong Uniform euxassay_000044_06

Specimen euxassay_000044_07: embryonic day 14.5 (more )
Structure Level Pattern Image Note
TS23: right ventricle cardiac muscle Strong Uniform euxassay_000044_07

Specimen euxassay_000044_08: embryonic day 14.5 (more )
Structure Level Pattern Image Note
TS23: right ventricle cardiac muscle Strong Uniform euxassay_000044_08

Specimen euxassay_000044_09: embryonic day 14.5 (more )
Structure Level Pattern Image Note
TS23: right ventricle cardiac muscle Strong Uniform euxassay_000044_09

Specimen euxassay_000044_10: embryonic day 14.5 (more )
Structure Level Pattern Image Note
TS23: left ventricle cardiac muscle Strong Uniform euxassay_000044_10
TS23: right ventricle cardiac muscle Strong Uniform euxassay_000044_10

Specimen euxassay_000044_11: embryonic day 14.5 (more )
Structure Level Pattern Image Note
TS23: left ventricle cardiac muscle Strong Uniform euxassay_000044_11
TS23: right ventricle cardiac muscle Strong Uniform euxassay_000044_11

Specimen euxassay_000044_12: embryonic day 14.5 (more )
Structure Level Pattern Image Note
TS23: left ventricle cardiac muscle Strong Uniform euxassay_000044_12
TS23: right ventricle cardiac muscle Strong Uniform euxassay_000044_12

Specimen euxassay_000044_13: embryonic day 14.5 (more )
Structure Level Pattern Image Note
TS23: left ventricle cardiac muscle Strong Uniform euxassay_000044_13

Specimen euxassay_000044_14: embryonic day 14.5 (more )
Structure Level Pattern Image Note
TS23: left ventricle cardiac muscle Strong Uniform euxassay_000044_14

Specimen euxassay_000044_15: embryonic day 14.5 (more )
Structure Level Pattern Image Note
TS23: left ventricle cardiac muscle Strong Uniform euxassay_000044_15

Specimen euxassay_000044_16: embryonic day 14.5 (more )
Structure Level Pattern Image Note
TS23: left ventricle cardiac muscle Strong Uniform euxassay_000044_16

Specimen euxassay_000044_17: embryonic day 14.5 (more )
Structure Level Pattern Image Note
TS23: left ventricle cardiac muscle Strong Uniform euxassay_000044_17

Specimen euxassay_000044_18: embryonic day 14.5 (more )
Structure Level Pattern Image Note
TS23: left ventricle cardiac muscle Strong Uniform euxassay_000044_18


Contributing Projects:
Mouse Genome Database (MGD), Gene Expression Database (GXD), Mouse Models of Human Cancer database (MMHCdb) (formerly Mouse Tumor Biology (MTB)), Gene Ontology (GO)
Citing These Resources
Funding Information
Warranty Disclaimer, Privacy Notice, Licensing, & Copyright
Send questions and comments to User Support.
last database update
12/30/2025
MGI 6.24
The Jackson Laboratory