About   Help   FAQ
Gene Expression Data
Assay Details
Assay
Reference: J:153498 Diez-Roux G, et al., A high-resolution anatomical atlas of the transcriptome in the mouse embryo. PLoS Biol. 2011;9(1):e1000582
Assay type: RNA in situ
MGI Accession ID: MGI:4826097
Gene symbol: Mapkapk3
Gene name: mitogen-activated protein kinase-activated protein kinase 3
Probe: IMAGE clone 2088451
Probe preparation: Antisense labelled with digoxigenin RNA
Visualized with: Alkaline phosphatase
Assay notes: Cryosections of fresh frozen material were fixed in 4% paraformaldehyde for 20 min. before further processing. A tyramide-biotin/streptavidin amplification step was included in the in situ hybridization procedure.
Results
Specimen euxassay_001044_01: embryonic day 14.5 (more )
Structure Level Pattern Image Note
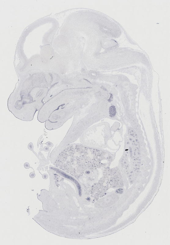
TS23: stomach Moderate Regionally restricted euxassay_001044_01
TS23: liver lobe Weak Spotted euxassay_001044_01

Specimen euxassay_001044_02: embryonic day 14.5 (more )
Structure Level Pattern Image Note
TS23: stomach Moderate Regionally restricted euxassay_001044_02
TS23: liver lobe Weak Spotted euxassay_001044_02

Specimen euxassay_001044_03: embryonic day 14.5 (more )
Structure Level Pattern Image Note
TS23: stomach Moderate Regionally restricted euxassay_001044_03
TS23: liver lobe Weak Spotted euxassay_001044_03

Specimen euxassay_001044_04: embryonic day 14.5 (more )
Structure Level Pattern Image Note
TS23: stomach Moderate Regionally restricted euxassay_001044_04
TS23: liver lobe Weak Spotted euxassay_001044_04

Specimen euxassay_001044_05: embryonic day 14.5 (more )
Structure Level Pattern Image Note
TS23: stomach Moderate Regionally restricted euxassay_001044_05
TS23: liver lobe Weak Spotted euxassay_001044_05

Specimen euxassay_001044_06: embryonic day 14.5 (more )
Structure Level Pattern Image Note
TS23: stomach Moderate Regionally restricted euxassay_001044_06
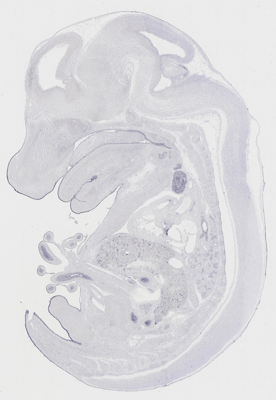
TS23: vibrissa Moderate Regionally restricted euxassay_001044_06
TS23: liver lobe Weak Spotted euxassay_001044_06

Specimen euxassay_001044_07: embryonic day 14.5 (more )
Structure Level Pattern Image Note
TS23: stomach Moderate Regionally restricted euxassay_001044_07
TS23: vibrissa Moderate Regionally restricted euxassay_001044_07
TS23: oral epithelium Weak Regionally restricted euxassay_001044_07
TS23: renal calyx Weak Spotted euxassay_001044_07
TS23: liver lobe Weak Spotted euxassay_001044_07

Specimen euxassay_001044_08: embryonic day 14.5 (more )
Structure Level Pattern Image Note
TS23: stomach Weak Regionally restricted euxassay_001044_08
TS23: oral epithelium Weak Regionally restricted euxassay_001044_08
TS23: renal calyx Weak Spotted euxassay_001044_08
TS23: adrenal gland Weak Uniform euxassay_001044_08
TS23: liver lobe Weak Spotted euxassay_001044_08

Specimen euxassay_001044_09: embryonic day 14.5 (more )
Structure Level Pattern Image Note
TS23: stomach Moderate Regionally restricted euxassay_001044_09
TS23: adrenal gland Weak Uniform euxassay_001044_09
TS23: liver lobe Weak Spotted euxassay_001044_09

Specimen euxassay_001044_10: embryonic day 14.5 (more )
Structure Level Pattern Image Note
TS23: stomach Weak Regionally restricted euxassay_001044_10
TS23: oral epithelium Weak Regionally restricted euxassay_001044_10
TS23: adrenal gland Weak Uniform euxassay_001044_10
TS23: liver lobe Weak Spotted euxassay_001044_10

Specimen euxassay_001044_11: embryonic day 14.5 (more )
Structure Level Pattern Image Note
TS23: oral epithelium Weak Regionally restricted euxassay_001044_11
TS23: thymus primordium Moderate Uniform euxassay_001044_11
TS23: liver lobe Weak Spotted euxassay_001044_11

Specimen euxassay_001044_12: embryonic day 14.5 (more )
Structure Level Pattern Image Note
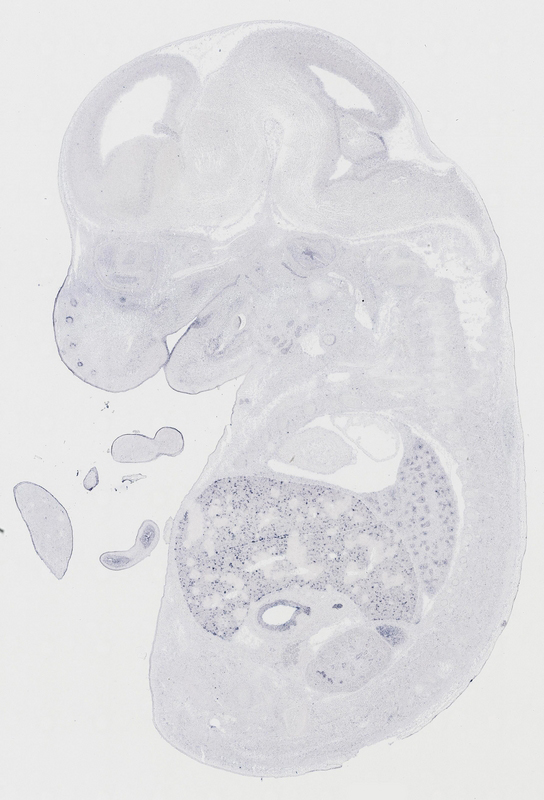
TS23: midgut Weak Regionally restricted euxassay_001044_12
TS23: hindgut Weak Regionally restricted euxassay_001044_12
TS23: oral epithelium Weak Regionally restricted euxassay_001044_12
TS23: lower jaw incisor Weak Regionally restricted euxassay_001044_12
TS23: upper jaw incisor Weak Regionally restricted euxassay_001044_12
TS23: external naris Moderate Regionally restricted euxassay_001044_12
TS23: thymus primordium Moderate Uniform euxassay_001044_12
TS23: esophagus Weak Regionally restricted euxassay_001044_12
TS23: ventral grey horn Moderate Regionally restricted euxassay_001044_12
TS23: liver lobe Weak Spotted euxassay_001044_12

Specimen euxassay_001044_13: embryonic day 14.5 (more )
Structure Level Pattern Image Note
TS23: midgut Weak Regionally restricted euxassay_001044_13
TS23: hindgut Weak Regionally restricted euxassay_001044_13
TS23: foregut-midgut junction Weak Regionally restricted euxassay_001044_13
TS23: oral epithelium Weak Regionally restricted euxassay_001044_13
TS23: lower jaw incisor Weak Regionally restricted euxassay_001044_13
TS23: upper jaw incisor Weak Regionally restricted euxassay_001044_13
TS23: external naris Weak Regionally restricted euxassay_001044_13
TS23: thymus primordium Moderate Uniform euxassay_001044_13
TS23: esophagus Weak Regionally restricted euxassay_001044_13
TS23: ventral grey horn Moderate Regionally restricted euxassay_001044_13
TS23: liver lobe Weak Spotted euxassay_001044_13
TS23: bladder Weak Regionally restricted euxassay_001044_13

Specimen euxassay_001044_14: embryonic day 14.5 (more )
Structure Level Pattern Image Note
TS23: midgut Weak Regionally restricted euxassay_001044_14
TS23: hindgut Weak Regionally restricted euxassay_001044_14
TS23: foregut-midgut junction Weak Regionally restricted euxassay_001044_14
TS23: oral epithelium Weak Regionally restricted euxassay_001044_14
TS23: lower jaw incisor Weak Regionally restricted euxassay_001044_14
TS23: external naris Moderate Regionally restricted euxassay_001044_14
TS23: thymus primordium Moderate Uniform euxassay_001044_14
TS23: esophagus Weak Regionally restricted euxassay_001044_14
TS23: liver lobe Weak Spotted euxassay_001044_14
TS23: bladder Weak Regionally restricted euxassay_001044_14

Specimen euxassay_001044_15: embryonic day 14.5 (more )
Structure Level Pattern Image Note
TS23: midgut Weak Regionally restricted euxassay_001044_15
TS23: oral epithelium Weak Regionally restricted euxassay_001044_15
TS23: thymus primordium Moderate Uniform euxassay_001044_15
TS23: liver lobe Weak Spotted euxassay_001044_15

Specimen euxassay_001044_16: embryonic day 14.5 (more )
Structure Level Pattern Image Note
TS23: midgut Weak Regionally restricted euxassay_001044_16
TS23: oral epithelium Weak Regionally restricted euxassay_001044_16
TS23: upper jaw incisor Weak Regionally restricted euxassay_001044_16
TS23: lower jaw incisor Weak Regionally restricted euxassay_001044_16
TS23: thymus primordium Moderate Uniform euxassay_001044_16
TS23: adrenal gland Weak Uniform euxassay_001044_16
TS23: liver lobe Weak Spotted euxassay_001044_16

Specimen euxassay_001044_17: embryonic day 14.5 (more )
Structure Level Pattern Image Note
TS23: midgut Weak Regionally restricted euxassay_001044_17
TS23: oral epithelium Weak Regionally restricted euxassay_001044_17
TS23: lower jaw incisor Weak Regionally restricted euxassay_001044_17
TS23: upper jaw incisor Weak Regionally restricted euxassay_001044_17
TS23: external naris Moderate Regionally restricted euxassay_001044_17
TS23: adrenal gland Weak Uniform euxassay_001044_17
TS23: liver lobe Weak Spotted euxassay_001044_17

Specimen euxassay_001044_18: embryonic day 14.5 (more )
Structure Level Pattern Image Note
TS23: midgut Weak Regionally restricted euxassay_001044_18
TS23: oral epithelium Weak Regionally restricted euxassay_001044_18
TS23: lower jaw incisor Weak Regionally restricted euxassay_001044_18
TS23: upper jaw incisor Weak Regionally restricted euxassay_001044_18
TS23: external naris Moderate Regionally restricted euxassay_001044_18
TS23: renal pelvis Weak Spotted euxassay_001044_18
TS23: adrenal gland Weak Uniform euxassay_001044_18
TS23: liver lobe Weak Spotted euxassay_001044_18

Specimen euxassay_001044_19: embryonic day 14.5 (more )
Structure Level Pattern Image Note
TS23: midgut Weak Regionally restricted euxassay_001044_19
TS23: renal calyx Weak Spotted euxassay_001044_19
TS23: liver lobe Weak Spotted euxassay_001044_19

Specimen euxassay_001044_20: embryonic day 14.5 (more )
Structure Level Pattern Image Note
TS23: renal calyx Weak Spotted euxassay_001044_20
TS23: liver lobe Weak Spotted euxassay_001044_20

Specimen euxassay_001044_21: embryonic day 14.5 (more )
Structure Level Pattern Image Note
TS23: liver lobe Weak Spotted euxassay_001044_21

Specimen euxassay_001044_22: embryonic day 14.5 (more )
Structure Level Pattern Image Note
TS23: vibrissa Moderate Regionally restricted euxassay_001044_22
TS23: liver lobe Weak Spotted euxassay_001044_22

Specimen euxassay_001044_23: embryonic day 14.5 (more )
Structure Level Pattern Image Note
TS23: vibrissa Moderate Regionally restricted euxassay_001044_23
TS23: liver lobe Weak Spotted euxassay_001044_23

Specimen euxassay_001044_24: embryonic day 14.5 (more )
Structure Level Pattern Image Note
TS23: liver lobe Weak Spotted euxassay_001044_24


Contributing Projects:
Mouse Genome Database (MGD), Gene Expression Database (GXD), Mouse Models of Human Cancer database (MMHCdb) (formerly Mouse Tumor Biology (MTB)), Gene Ontology (GO)
Citing These Resources
Funding Information
Warranty Disclaimer, Privacy Notice, Licensing, & Copyright
Send questions and comments to User Support.
last database update
12/30/2025
MGI 6.24
The Jackson Laboratory