About   Help   FAQ
Gene Expression Data
Assay Details
Assay
Reference: J:153498 Diez-Roux G, et al., A high-resolution anatomical atlas of the transcriptome in the mouse embryo. PLoS Biol. 2011;9(1):e1000582
Assay type: RNA in situ
MGI Accession ID: MGI:4826071
Gene symbol: Mamld1
Gene name: mastermind-like domain containing 1
Probe: T37715
Probe preparation: Antisense labelled with digoxigenin RNA
Visualized with: Alkaline phosphatase
Assay notes: Cryosections of fresh frozen material were fixed in 4% paraformaldehyde for 20 min. before further processing. A tyramide-biotin/streptavidin amplification step was included in the in situ hybridization procedure.
Results
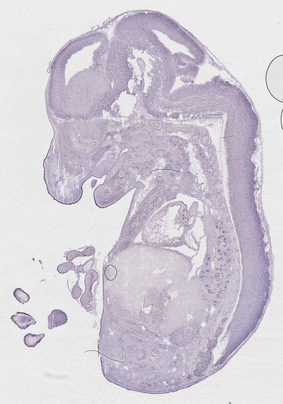
Specimen euxassay_011718_01: embryonic day 14.5 (more )
Structure Level Pattern Image Note
TS23: trigeminal ganglion Strong Uniform euxassay_011718_01
TS23: vertebral axis musculature Strong Spotted euxassay_011718_01
TS23: diaphragm Strong Spotted euxassay_011718_01

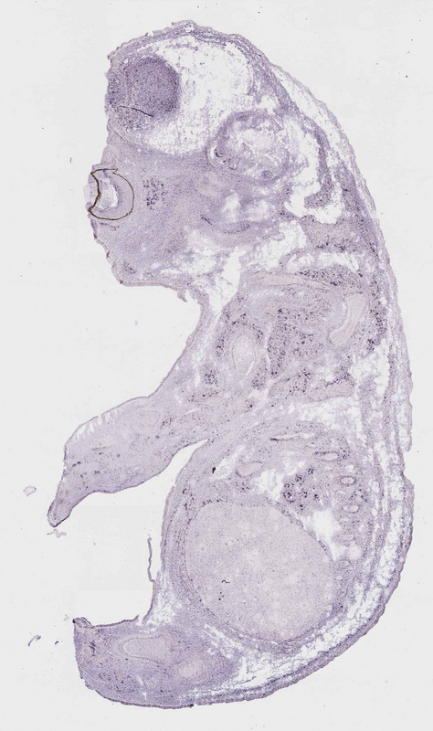
Specimen euxassay_011718_02: embryonic day 14.5 (more )
Structure Level Pattern Image Note
TS23: trigeminal ganglion Strong Uniform euxassay_011718_02
TS23: facial ganglion Strong Uniform euxassay_011718_02
TS23: vertebral axis musculature Strong Spotted euxassay_011718_02
TS23: diaphragm Strong Spotted euxassay_011718_02
TS23: lung Strong Regionally restricted euxassay_011718_02

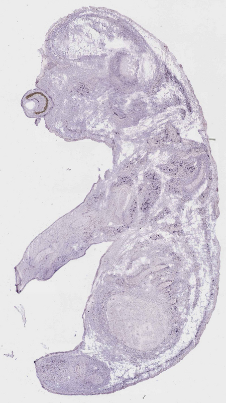
Specimen euxassay_011718_03: embryonic day 14.5 (more )
Structure Level Pattern Image Note
TS23: trigeminal ganglion Strong Uniform euxassay_011718_03
TS23: facial ganglion Strong Uniform euxassay_011718_03
TS23: diaphragm Strong Spotted euxassay_011718_03
TS23: vertebral axis musculature Strong Spotted euxassay_011718_03
TS23: lung Strong Regionally restricted euxassay_011718_03

Specimen euxassay_011718_04: embryonic day 14.5 (more )
Structure Level Pattern Image Note
TS23: trigeminal ganglion Strong Uniform euxassay_011718_04
TS23: facial ganglion Strong Uniform euxassay_011718_04
TS23: diaphragm Strong Spotted euxassay_011718_04
TS23: vertebral axis musculature Strong Spotted euxassay_011718_04
TS23: lung Strong Regionally restricted euxassay_011718_04

Specimen euxassay_011718_05: embryonic day 14.5 (more )
Structure Level Pattern Image Note
TS23: trigeminal ganglion Strong Uniform euxassay_011718_05
TS23: diaphragm Strong Spotted euxassay_011718_05
TS23: vertebral axis musculature Strong Spotted euxassay_011718_05
TS23: lung Strong Regionally restricted euxassay_011718_05

Specimen euxassay_011718_06: embryonic day 14.5 (more )
Structure Level Pattern Image Note
TS23: trigeminal ganglion Strong Uniform euxassay_011718_06
TS23: glossopharyngeal ganglion Strong Uniform euxassay_011718_06
TS23: diaphragm Strong Spotted euxassay_011718_06
TS23: vertebral axis musculature Strong Spotted euxassay_011718_06
TS23: lung Strong Regionally restricted euxassay_011718_06

Specimen euxassay_011718_07: embryonic day 14.5 (more )
Structure Level Pattern Image Note
TS23: vagus ganglion Strong Uniform euxassay_011718_07
TS23: dorsal root ganglion Strong Uniform euxassay_011718_07
TS23: diaphragm Strong Spotted euxassay_011718_07
TS23: vertebral axis musculature Strong Spotted euxassay_011718_07
TS23: lung Strong Regionally restricted euxassay_011718_07

Specimen euxassay_011718_08: embryonic day 14.5 (more )
Structure Level Pattern Image Note
TS23: dorsal root ganglion Strong Uniform euxassay_011718_08
TS23: diaphragm Strong Spotted euxassay_011718_08
TS23: vertebral axis musculature Strong Spotted euxassay_011718_08
TS23: lung Strong Regionally restricted euxassay_011718_08

Specimen euxassay_011718_09: embryonic day 14.5 (more )
Structure Level Pattern Image Note
TS23: dorsal root ganglion Strong Uniform euxassay_011718_09
TS23: diaphragm Strong Spotted euxassay_011718_09
TS23: vertebral axis musculature Strong Spotted euxassay_011718_09
TS23: lung Strong Regionally restricted euxassay_011718_09

Specimen euxassay_011718_10: embryonic day 14.5 (more )
Structure Level Pattern Image Note
TS23: diaphragm Strong Spotted euxassay_011718_10
TS23: vertebral axis musculature Strong Spotted euxassay_011718_10
TS23: lung Strong Regionally restricted euxassay_011718_10

Specimen euxassay_011718_11: embryonic day 14.5 (more )
Structure Level Pattern Image Note
TS23: diaphragm Strong Spotted euxassay_011718_11
TS23: vertebral axis musculature Strong Spotted euxassay_011718_11
TS23: lung Strong Regionally restricted euxassay_011718_11

Specimen euxassay_011718_12: embryonic day 14.5 (more )
Structure Level Pattern Image Note
TS23: diaphragm Strong Spotted euxassay_011718_12
TS23: vertebral axis musculature Strong Spotted euxassay_011718_12
TS23: lung Strong Regionally restricted euxassay_011718_12

Specimen euxassay_011718_13: embryonic day 14.5 (more )
Structure Level Pattern Image Note
TS23: diaphragm Strong Spotted euxassay_011718_13
TS23: vertebral axis musculature Strong Spotted euxassay_011718_13
TS23: lung Strong Regionally restricted euxassay_011718_13

Specimen euxassay_011718_14: embryonic day 14.5 (more )
Structure Level Pattern Image Note
TS23: diaphragm Strong Spotted euxassay_011718_14
TS23: vertebral axis musculature Strong Spotted euxassay_011718_14
TS23: lung Strong Regionally restricted euxassay_011718_14

Specimen euxassay_011718_15: embryonic day 14.5 (more )
Structure Level Pattern Image Note
TS23: trigeminal ganglion Strong Uniform euxassay_011718_15
TS23: diaphragm Strong Spotted euxassay_011718_15
TS23: vertebral axis musculature Strong Spotted euxassay_011718_15
TS23: lung Strong Regionally restricted euxassay_011718_15

Specimen euxassay_011718_16: embryonic day 14.5 (more )
Structure Level Pattern Image Note
TS23: trigeminal ganglion Strong Uniform euxassay_011718_16
TS23: vagus ganglion Strong Uniform euxassay_011718_16
TS23: dorsal root ganglion Strong Uniform euxassay_011718_16
TS23: diaphragm Strong Spotted euxassay_011718_16
TS23: vertebral axis musculature Strong Spotted euxassay_011718_16
TS23: lung Strong Regionally restricted euxassay_011718_16

Specimen euxassay_011718_17: embryonic day 14.5 (more )
Structure Level Pattern Image Note
TS23: trigeminal ganglion Strong Uniform euxassay_011718_17
TS23: glossopharyngeal ganglion Strong Uniform euxassay_011718_17
TS23: dorsal root ganglion Strong Uniform euxassay_011718_17
TS23: diaphragm Strong Spotted euxassay_011718_17
TS23: vertebral axis musculature Strong Spotted euxassay_011718_17
TS23: lung Strong Regionally restricted euxassay_011718_17

Specimen euxassay_011718_18: embryonic day 14.5 (more )
Structure Level Pattern Image Note
TS23: trigeminal ganglion Strong Uniform euxassay_011718_18
TS23: glossopharyngeal ganglion Strong Uniform euxassay_011718_18
TS23: diaphragm Strong Spotted euxassay_011718_18
TS23: vertebral axis musculature Strong Spotted euxassay_011718_18
TS23: lung Strong Regionally restricted euxassay_011718_18

Specimen euxassay_011718_19: embryonic day 14.5 (more )
Structure Level Pattern Image Note
TS23: trigeminal ganglion Strong Uniform euxassay_011718_19
TS23: facial ganglion Strong Uniform euxassay_011718_19
TS23: diaphragm Strong Spotted euxassay_011718_19
TS23: vertebral axis musculature Strong Spotted euxassay_011718_19
TS23: lung Strong Regionally restricted euxassay_011718_19

Specimen euxassay_011718_20: embryonic day 14.5 (more )
Structure Level Pattern Image Note
TS23: trigeminal ganglion Strong Uniform euxassay_011718_20
TS23: diaphragm Strong Spotted euxassay_011718_20
TS23: vertebral axis musculature Strong Spotted euxassay_011718_20
TS23: lung Strong Regionally restricted euxassay_011718_20

Specimen euxassay_011718_21: embryonic day 14.5 (more )
Structure Level Pattern Image Note
TS23: diaphragm Strong Spotted euxassay_011718_21
TS23: vertebral axis musculature Strong Spotted euxassay_011718_21
TS23: lung Strong Regionally restricted euxassay_011718_21

Specimen euxassay_011718_22: embryonic day 14.5 (more )
Structure Level Pattern Image Note
TS23: diaphragm Strong Spotted euxassay_011718_22
TS23: vertebral axis musculature Strong Spotted euxassay_011718_22
TS23: lung Strong Regionally restricted euxassay_011718_22

Specimen euxassay_011718_23: embryonic day 14.5 (more )
Structure Level Pattern Image Note
TS23: diaphragm Strong Spotted euxassay_011718_23
TS23: vertebral axis musculature Strong Spotted euxassay_011718_23

Specimen euxassay_011718_24: embryonic day 14.5 (more )
Structure Level Pattern Image Note
TS23: vertebral axis musculature Strong Spotted euxassay_011718_24


Contributing Projects:
Mouse Genome Database (MGD), Gene Expression Database (GXD), Mouse Models of Human Cancer database (MMHCdb) (formerly Mouse Tumor Biology (MTB)), Gene Ontology (GO)
Citing These Resources
Funding Information
Warranty Disclaimer, Privacy Notice, Licensing, & Copyright
Send questions and comments to User Support.
last database update
01/20/2026
MGI 6.24
The Jackson Laboratory