About   Help   FAQ
Gene Expression Data
Assay Details
Assay
Reference: J:153498 Diez-Roux G, et al., A high-resolution anatomical atlas of the transcriptome in the mouse embryo. PLoS Biol. 2011;9(1):e1000582
Assay type: RNA in situ
MGI Accession ID: MGI:4826061
Gene symbol: Mageh1
Gene name: MAGE family member H1
Probe: MGC clone 62177
Probe preparation: Antisense labelled with digoxigenin RNA
Visualized with: Alkaline phosphatase
Assay notes: Cryosections of fresh frozen material were fixed in 4% paraformaldehyde for 20 min. before further processing. A tyramide-biotin/streptavidin amplification step was included in the in situ hybridization procedure.
Results
Specimen euxassay_005123_01: embryonic day 14.5 (more )
Structure Level Pattern Image Note
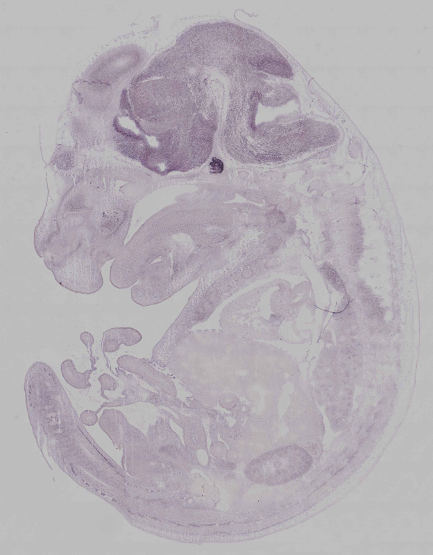
TS23: brain Moderate Regionally restricted euxassay_005123_01
TS23: retina Moderate Regionally restricted euxassay_005123_01

Specimen euxassay_005123_02: embryonic day 14.5 (more )
Structure Level Pattern Image Note
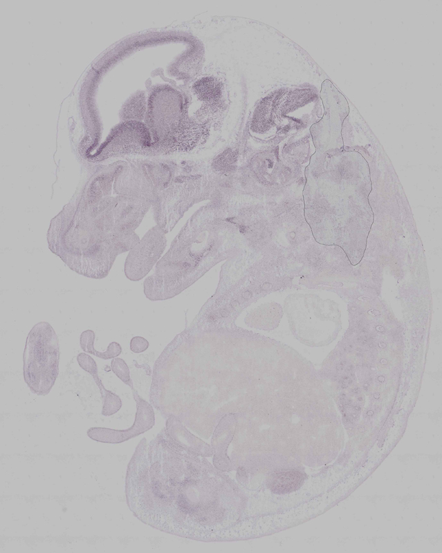
TS23: brain Moderate Regionally restricted euxassay_005123_02
TS23: trigeminal ganglion Moderate Regionally restricted euxassay_005123_02
TS23: retina Moderate Regionally restricted euxassay_005123_02

Specimen euxassay_005123_03: embryonic day 14.5 (more )
Structure Level Pattern Image Note
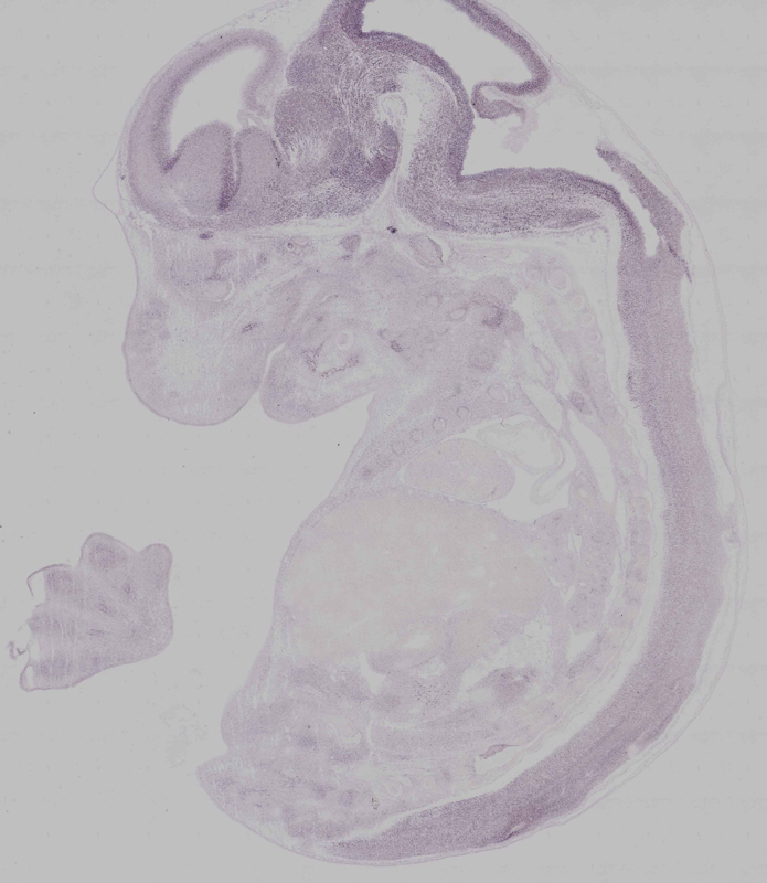
TS23: brain Moderate Regionally restricted euxassay_005123_03
TS23: trigeminal ganglion Moderate Regionally restricted euxassay_005123_03

Specimen euxassay_005123_04: embryonic day 14.5 (more )
Structure Level Pattern Image Note
TS23: brain Moderate Regionally restricted euxassay_005123_04
TS23: trigeminal ganglion Moderate Regionally restricted euxassay_005123_04
TS23: vestibulo-cochlear ganglion Moderate Regionally restricted euxassay_005123_04

Specimen euxassay_005123_05: embryonic day 14.5 (more )
Structure Level Pattern Image Note
TS23: brain Moderate Regionally restricted euxassay_005123_05
TS23: spinal cord Moderate Regionally restricted euxassay_005123_05
TS23: trigeminal ganglion Moderate Regionally restricted euxassay_005123_05
TS23: glossopharyngeal ganglion Moderate Regionally restricted euxassay_005123_05
TS23: vestibulo-cochlear ganglion Moderate Regionally restricted euxassay_005123_05

Specimen euxassay_005123_06: embryonic day 14.5 (more )
Structure Level Pattern Image Note
TS23: brain Moderate Regionally restricted euxassay_005123_06
TS23: spinal cord Moderate Regionally restricted euxassay_005123_06
TS23: cervical ganglion Moderate Regionally restricted euxassay_005123_06
TS23: trigeminal ganglion Moderate Regionally restricted euxassay_005123_06

Specimen euxassay_005123_07: embryonic day 14.5 (more )
Structure Level Pattern Image Note
TS23: brain Moderate Regionally restricted euxassay_005123_07
TS23: spinal cord Moderate Regionally restricted euxassay_005123_07
TS23: cervico-thoracic ganglion Moderate Regionally restricted euxassay_005123_07
TS23: cervical ganglion Moderate Regionally restricted euxassay_005123_07
TS23: trigeminal ganglion Moderate Regionally restricted euxassay_005123_07
TS23: mandible Moderate Regionally restricted euxassay_005123_07
TS23: maxilla Moderate Regionally restricted euxassay_005123_07

Specimen euxassay_005123_08: embryonic day 14.5 (more )
Structure Level Pattern Image Note
TS23: brain Moderate Regionally restricted euxassay_005123_08
TS23: spinal cord Moderate Regionally restricted euxassay_005123_08
TS23: trigeminal ganglion Moderate Regionally restricted euxassay_005123_08
TS23: adenohypophysis Strong Regionally restricted euxassay_005123_08
TS23: olfactory epithelium Moderate Regionally restricted euxassay_005123_08
TS23: maxilla Moderate Regionally restricted euxassay_005123_08
TS23: mandible Moderate Regionally restricted euxassay_005123_08

Specimen euxassay_005123_09: embryonic day 14.5 (more )
Structure Level Pattern Image Note
TS23: brain Moderate Regionally restricted euxassay_005123_09
TS23: spinal cord Moderate Regionally restricted euxassay_005123_09
TS23: thoracic ganglion Moderate Regionally restricted euxassay_005123_09
TS23: adenohypophysis Strong Regionally restricted euxassay_005123_09
TS23: olfactory epithelium Moderate Regionally restricted euxassay_005123_09
TS23: sternum Moderate Regionally restricted euxassay_005123_09
TS23: maxilla Moderate Regionally restricted euxassay_005123_09
TS23: mandible Moderate Regionally restricted euxassay_005123_09
TS23: tail Moderate Regionally restricted euxassay_005123_09

Specimen euxassay_005123_10: embryonic day 14.5 (more )
Structure Level Pattern Image Note
TS23: brain Moderate Regionally restricted euxassay_005123_10
TS23: spinal cord Moderate Regionally restricted euxassay_005123_10
TS23: thoracic ganglion Moderate Regionally restricted euxassay_005123_10
TS23: adenohypophysis Strong Regionally restricted euxassay_005123_10
TS23: olfactory epithelium Moderate Regionally restricted euxassay_005123_10
TS23: sternum Moderate Regionally restricted euxassay_005123_10
TS23: maxilla Moderate Regionally restricted euxassay_005123_10
TS23: mandible Moderate Regionally restricted euxassay_005123_10
TS23: tail Moderate Regionally restricted euxassay_005123_10

Specimen euxassay_005123_11: embryonic day 14.5 (more )
Structure Level Pattern Image Note
TS23: brain Moderate Regionally restricted euxassay_005123_11
TS23: spinal cord Moderate Regionally restricted euxassay_005123_11
TS23: adenohypophysis Strong Regionally restricted euxassay_005123_11
TS23: olfactory epithelium Moderate Regionally restricted euxassay_005123_11
TS23: sternum Moderate Regionally restricted euxassay_005123_11
TS23: maxilla Moderate Regionally restricted euxassay_005123_11
TS23: mandible Moderate Regionally restricted euxassay_005123_11
TS23: tail Moderate Regionally restricted euxassay_005123_11

Specimen euxassay_005123_12: embryonic day 14.5 (more )
Structure Level Pattern Image Note
TS23: brain Moderate Regionally restricted euxassay_005123_12
TS23: spinal cord Moderate Regionally restricted euxassay_005123_12
TS23: adenohypophysis Strong Regionally restricted euxassay_005123_12
TS23: olfactory epithelium Moderate Regionally restricted euxassay_005123_12
TS23: sternum Moderate Regionally restricted euxassay_005123_12
TS23: tail Moderate Regionally restricted euxassay_005123_12

Specimen euxassay_005123_13: embryonic day 14.5 (more )
Structure Level Pattern Image Note
TS23: brain Moderate Regionally restricted euxassay_005123_13
TS23: cervico-thoracic ganglion Moderate Regionally restricted euxassay_005123_13
TS23: adenohypophysis Strong Regionally restricted euxassay_005123_13
TS23: olfactory epithelium Moderate Regionally restricted euxassay_005123_13
TS23: nasal cavity respiratory epithelium Moderate Regionally restricted euxassay_005123_13
TS23: sternum Moderate Regionally restricted euxassay_005123_13
TS23: tail Moderate Regionally restricted euxassay_005123_13

Specimen euxassay_005123_14: embryonic day 14.5 (more )
Structure Level Pattern Image Note
TS23: brain Moderate Regionally restricted euxassay_005123_14
TS23: cervical ganglion Moderate Regionally restricted euxassay_005123_14
TS23: adenohypophysis Strong Regionally restricted euxassay_005123_14
TS23: olfactory epithelium Moderate Regionally restricted euxassay_005123_14
TS23: nasal cavity respiratory epithelium Moderate Regionally restricted euxassay_005123_14
TS23: tail Moderate Regionally restricted euxassay_005123_14

Specimen euxassay_005123_15: embryonic day 14.5 (more )
Structure Level Pattern Image Note
TS23: brain Moderate Regionally restricted euxassay_005123_15
TS23: vestibulo-cochlear ganglion Moderate Regionally restricted euxassay_005123_15
TS23: glossopharyngeal ganglion Moderate Regionally restricted euxassay_005123_15
TS23: trigeminal ganglion Moderate Regionally restricted euxassay_005123_15
TS23: olfactory epithelium Moderate Regionally restricted euxassay_005123_15
TS23: nasal cavity respiratory epithelium Moderate Regionally restricted euxassay_005123_15
TS23: mandible Moderate Regionally restricted euxassay_005123_15

Specimen euxassay_005123_16: embryonic day 14.5 (more )
Structure Level Pattern Image Note
TS23: brain Moderate Regionally restricted euxassay_005123_16
TS23: vestibulo-cochlear ganglion Moderate Regionally restricted euxassay_005123_16
TS23: trigeminal ganglion Moderate Regionally restricted euxassay_005123_16
TS23: glossopharyngeal ganglion Moderate Regionally restricted euxassay_005123_16
TS23: olfactory epithelium Moderate Regionally restricted euxassay_005123_16
TS23: nasal cavity respiratory epithelium Moderate Regionally restricted euxassay_005123_16
TS23: mandible Moderate Regionally restricted euxassay_005123_16

Specimen euxassay_005123_17: embryonic day 14.5 (more )
Structure Level Pattern Image Note
TS23: brain Moderate Regionally restricted euxassay_005123_17
TS23: trigeminal ganglion Moderate Regionally restricted euxassay_005123_17
TS23: vestibulo-cochlear ganglion Moderate Regionally restricted euxassay_005123_17
TS23: olfactory epithelium Moderate Regionally restricted euxassay_005123_17
TS23: nasal cavity respiratory epithelium Moderate Regionally restricted euxassay_005123_17
TS23: mandible Moderate Regionally restricted euxassay_005123_17
TS23: maxilla Moderate Regionally restricted euxassay_005123_17

Specimen euxassay_005123_18: embryonic day 14.5 (more )
Structure Level Pattern Image Note
TS23: brain Moderate Regionally restricted euxassay_005123_18
TS23: trigeminal ganglion Moderate Regionally restricted euxassay_005123_18
TS23: olfactory epithelium Moderate Regionally restricted euxassay_005123_18
TS23: nasal cavity respiratory epithelium Moderate Regionally restricted euxassay_005123_18
TS23: maxilla Moderate Regionally restricted euxassay_005123_18
TS23: mandible Moderate Regionally restricted euxassay_005123_18

Specimen euxassay_005123_19: embryonic day 14.5 (more )
Structure Level Pattern Image Note
TS23: brain Moderate Regionally restricted euxassay_005123_19
TS23: trigeminal ganglion Moderate Regionally restricted euxassay_005123_19
TS23: olfactory epithelium Moderate Regionally restricted euxassay_005123_19
TS23: nasal cavity respiratory epithelium Moderate Regionally restricted euxassay_005123_19
TS23: maxilla Moderate Regionally restricted euxassay_005123_19
TS23: mandible Moderate Regionally restricted euxassay_005123_19

Specimen euxassay_005123_20: embryonic day 14.5 (more )
Structure Level Pattern Image Note
TS23: brain Moderate Regionally restricted euxassay_005123_20
TS23: trigeminal ganglion Moderate Regionally restricted euxassay_005123_20
TS23: maxilla Moderate Regionally restricted euxassay_005123_20
TS23: mandible Moderate Regionally restricted euxassay_005123_20

Specimen euxassay_005123_21: embryonic day 14.5 (more )
Structure Level Pattern Image Note
TS23: brain Moderate Regionally restricted euxassay_005123_21
TS23: maxilla Moderate Regionally restricted euxassay_005123_21
TS23: mandible Moderate Regionally restricted euxassay_005123_21

Specimen euxassay_005123_22: embryonic day 14.5 (more )
Structure Level Pattern Image Note
TS23: brain Moderate Regionally restricted euxassay_005123_22
TS23: retina Moderate Regionally restricted euxassay_005123_22


Contributing Projects:
Mouse Genome Database (MGD), Gene Expression Database (GXD), Mouse Models of Human Cancer database (MMHCdb) (formerly Mouse Tumor Biology (MTB)), Gene Ontology (GO)
Citing These Resources
Funding Information
Warranty Disclaimer, Privacy Notice, Licensing, & Copyright
Send questions and comments to User Support.
last database update
03/24/2026
MGI 6.24
The Jackson Laboratory