About   Help   FAQ
Gene Expression Data
Assay Details
Assay
Reference: J:153498 Diez-Roux G, et al., A high-resolution anatomical atlas of the transcriptome in the mouse embryo. PLoS Biol. 2011;9(1):e1000582
Assay type: RNA in situ
MGI Accession ID: MGI:4826046
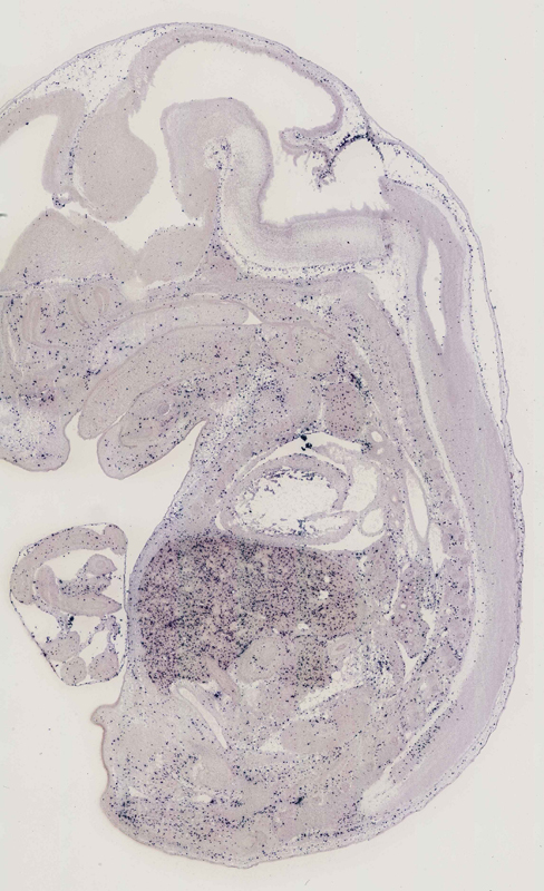
Gene symbol: Lyz1
Gene name: lysozyme 1
Probe: MGC clone 74258
Probe preparation: Antisense labelled with digoxigenin RNA
Visualized with: Alkaline phosphatase
Assay notes: Cryosections of fresh frozen material were fixed in 4% paraformaldehyde for 20 min. before further processing. A tyramide-biotin/streptavidin amplification step was included in the in situ hybridization procedure.
Results
Specimen euxassay_006925_01: embryonic day 14.5 (more )
Structure Level Pattern Image Note
TS23: embryo mesenchyme Strong Spotted euxassay_006925_01
TS23: liver Strong Spotted euxassay_006925_01

Specimen euxassay_006925_02: embryonic day 14.5 (more )
Structure Level Pattern Image Note
TS23: embryo mesenchyme Strong Spotted euxassay_006925_02
TS23: liver Strong Spotted euxassay_006925_02

Specimen euxassay_006925_03: embryonic day 14.5 (more )
Structure Level Pattern Image Note
TS23: embryo mesenchyme Strong Spotted euxassay_006925_03
TS23: liver Strong Spotted euxassay_006925_03

Specimen euxassay_006925_04: embryonic day 14.5 (more )
Structure Level Pattern Image Note
TS23: embryo mesenchyme Strong Spotted euxassay_006925_04
TS23: liver Strong Spotted euxassay_006925_04

Specimen euxassay_006925_05: embryonic day 14.5 (more )
Structure Level Pattern Image Note
TS23: embryo mesenchyme Strong Spotted euxassay_006925_05
TS23: liver Strong Spotted euxassay_006925_05

Specimen euxassay_006925_06: embryonic day 14.5 (more )
Structure Level Pattern Image Note
TS23: embryo mesenchyme Strong Spotted euxassay_006925_06
TS23: liver Strong Spotted euxassay_006925_06

Specimen euxassay_006925_07: embryonic day 14.5 (more )
Structure Level Pattern Image Note
TS23: embryo mesenchyme Strong Spotted euxassay_006925_07
TS23: liver Strong Spotted euxassay_006925_07

Specimen euxassay_006925_08: embryonic day 14.5 (more )
Structure Level Pattern Image Note
TS23: embryo mesenchyme Strong Spotted euxassay_006925_08
TS23: liver Strong Spotted euxassay_006925_08

Specimen euxassay_006925_09: embryonic day 14.5 (more )
Structure Level Pattern Image Note
TS23: embryo mesenchyme Strong Spotted euxassay_006925_09
TS23: liver Strong Spotted euxassay_006925_09

Specimen euxassay_006925_10: embryonic day 14.5 (more )
Structure Level Pattern Image Note
TS23: embryo mesenchyme Strong Spotted euxassay_006925_10
TS23: liver Strong Spotted euxassay_006925_10

Specimen euxassay_006925_11: embryonic day 14.5 (more )
Structure Level Pattern Image Note
TS23: embryo mesenchyme Strong Spotted euxassay_006925_11
TS23: liver Strong Spotted euxassay_006925_11

Specimen euxassay_006925_12: embryonic day 14.5 (more )
Structure Level Pattern Image Note
TS23: embryo mesenchyme Strong Spotted euxassay_006925_12
TS23: liver Strong Spotted euxassay_006925_12

Specimen euxassay_006925_13: embryonic day 14.5 (more )
Structure Level Pattern Image Note
TS23: embryo mesenchyme Strong Spotted euxassay_006925_13
TS23: liver Strong Spotted euxassay_006925_13

Specimen euxassay_006925_14: embryonic day 14.5 (more )
Structure Level Pattern Image Note
TS23: embryo mesenchyme Strong Spotted euxassay_006925_14
TS23: liver Strong Spotted euxassay_006925_14

Specimen euxassay_006925_15: embryonic day 14.5 (more )
Structure Level Pattern Image Note
TS23: embryo mesenchyme Strong Spotted euxassay_006925_15
TS23: liver Strong Spotted euxassay_006925_15

Specimen euxassay_006925_16: embryonic day 14.5 (more )
Structure Level Pattern Image Note
TS23: embryo mesenchyme Strong Spotted euxassay_006925_16
TS23: hepatic duct Strong Spotted euxassay_006925_16

Specimen euxassay_006925_17: embryonic day 14.5 (more )
Structure Level Pattern Image Note
TS23: embryo mesenchyme Strong Spotted euxassay_006925_17
TS23: liver Strong Spotted euxassay_006925_17

Specimen euxassay_006925_18: embryonic day 14.5 (more )
Structure Level Pattern Image Note
TS23: embryo mesenchyme Strong Spotted euxassay_006925_18
TS23: liver Strong Spotted euxassay_006925_18

Specimen euxassay_006925_19: embryonic day 14.5 (more )
Structure Level Pattern Image Note
TS23: embryo mesenchyme Strong Spotted euxassay_006925_19
TS23: liver Strong Spotted euxassay_006925_19

Specimen euxassay_006925_20: embryonic day 14.5 (more )
Structure Level Pattern Image Note
TS23: embryo mesenchyme Strong Spotted euxassay_006925_20
TS23: liver Strong Spotted euxassay_006925_20

Specimen euxassay_006925_21: embryonic day 14.5 (more )
Structure Level Pattern Image Note
TS23: embryo mesenchyme Strong Spotted euxassay_006925_21
TS23: liver Strong Spotted euxassay_006925_21

Specimen euxassay_006925_22: embryonic day 14.5 (more )
Structure Level Pattern Image Note
TS23: embryo mesenchyme Strong Spotted euxassay_006925_22
TS23: liver Strong Spotted euxassay_006925_22

Specimen euxassay_006925_23: embryonic day 14.5 (more )
Structure Level Pattern Image Note
TS23: embryo mesenchyme Strong Spotted euxassay_006925_23
TS23: liver Strong Spotted euxassay_006925_23

Specimen euxassay_006925_24: embryonic day 14.5 (more )
Structure Level Pattern Image Note
TS23: embryo mesenchyme Strong Spotted euxassay_006925_24
TS23: liver Strong Spotted euxassay_006925_24


Contributing Projects:
Mouse Genome Database (MGD), Gene Expression Database (GXD), Mouse Models of Human Cancer database (MMHCdb) (formerly Mouse Tumor Biology (MTB)), Gene Ontology (GO)
Citing These Resources
Funding Information
Warranty Disclaimer, Privacy Notice, Licensing, & Copyright
Send questions and comments to User Support.
last database update
01/20/2026
MGI 6.24
The Jackson Laboratory