About   Help   FAQ
Gene Expression Data
Assay Details
Assay
Reference: J:153498 Diez-Roux G, et al., A high-resolution anatomical atlas of the transcriptome in the mouse embryo. PLoS Biol. 2011;9(1):e1000582
Assay type: RNA in situ
MGI Accession ID: MGI:4826035
Gene symbol: Lyl1
Gene name: lymphoblastomic leukemia 1
Probe: MGC clone 11650
Probe preparation: Antisense labelled with digoxigenin RNA
Visualized with: Alkaline phosphatase
Assay notes: Cryosections of fresh frozen material were fixed in 4% paraformaldehyde for 20 min. before further processing. A tyramide-biotin/streptavidin amplification step was included in the in situ hybridization procedure.
Results
Specimen euxassay_003603_01: embryonic day 14.5 (more )
Structure Level Pattern Image Note
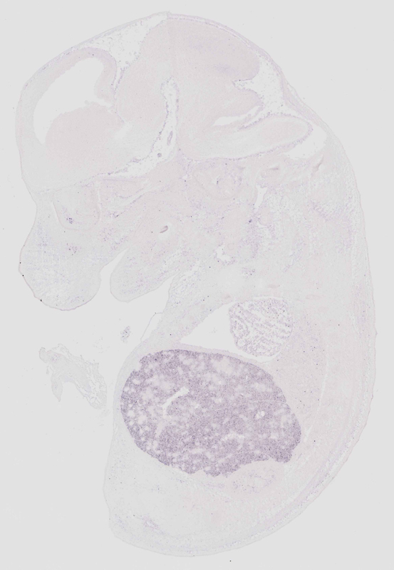
TS23: liver Moderate Regionally restricted euxassay_003603_01

Specimen euxassay_003603_02: embryonic day 14.5 (more )
Structure Level Pattern Image Note
TS23: liver Moderate Regionally restricted euxassay_003603_02

Specimen euxassay_003603_03: embryonic day 14.5 (more )
Structure Level Pattern Image Note
TS23: liver Moderate Regionally restricted euxassay_003603_03

Specimen euxassay_003603_04: embryonic day 14.5 (more )
Structure Level Pattern Image Note
TS23: liver Moderate Regionally restricted euxassay_003603_04

Specimen euxassay_003603_05: embryonic day 14.5 (more )
Structure Level Pattern Image Note
TS23: liver Moderate Regionally restricted euxassay_003603_05

Specimen euxassay_003603_06: embryonic day 14.5 (more )
Structure Level Pattern Image Note
TS23: liver Moderate Regionally restricted euxassay_003603_06

Specimen euxassay_003603_07: embryonic day 14.5 (more )
Structure Level Pattern Image Note
TS23: liver Moderate Regionally restricted euxassay_003603_07

Specimen euxassay_003603_08: embryonic day 14.5 (more )
Structure Level Pattern Image Note
TS23: liver Moderate Regionally restricted euxassay_003603_08
TS23: heart Moderate Spotted euxassay_003603_08

Specimen euxassay_003603_09: embryonic day 14.5 (more )
Structure Level Pattern Image Note
TS23: liver Moderate Regionally restricted euxassay_003603_09
TS23: heart Moderate Spotted euxassay_003603_09

Specimen euxassay_003603_10: embryonic day 14.5 (more )
Structure Level Pattern Image Note
TS23: liver Moderate Regionally restricted euxassay_003603_10
TS23: heart Moderate Spotted euxassay_003603_10

Specimen euxassay_003603_11: embryonic day 14.5 (more )
Structure Level Pattern Image Note
TS23: liver Moderate Regionally restricted euxassay_003603_11
TS23: thymus primordium Moderate Regionally restricted euxassay_003603_11
TS23: heart Moderate Spotted euxassay_003603_11

Specimen euxassay_003603_12: embryonic day 14.5 (more )
Structure Level Pattern Image Note
TS23: liver Moderate Regionally restricted euxassay_003603_12
TS23: thymus primordium Moderate Regionally restricted euxassay_003603_12
TS23: heart Moderate Spotted euxassay_003603_12

Specimen euxassay_003603_13: embryonic day 14.5 (more )
Structure Level Pattern Image Note
TS23: liver Moderate Regionally restricted euxassay_003603_13
TS23: thymus primordium Moderate Regionally restricted euxassay_003603_13
TS23: heart Moderate Spotted euxassay_003603_13

Specimen euxassay_003603_14: embryonic day 14.5 (more )
Structure Level Pattern Image Note
TS23: liver Moderate Regionally restricted euxassay_003603_14
TS23: thymus primordium Moderate Regionally restricted euxassay_003603_14
TS23: heart Moderate Spotted euxassay_003603_14

Specimen euxassay_003603_15: embryonic day 14.5 (more )
Structure Level Pattern Image Note
TS23: liver Moderate Regionally restricted euxassay_003603_15
TS23: thymus primordium Moderate Regionally restricted euxassay_003603_15
TS23: heart Moderate Spotted euxassay_003603_15

Specimen euxassay_003603_16: embryonic day 14.5 (more )
Structure Level Pattern Image Note
TS23: liver Moderate Regionally restricted euxassay_003603_16
TS23: thymus primordium Moderate Regionally restricted euxassay_003603_16
TS23: heart Moderate Spotted euxassay_003603_16

Specimen euxassay_003603_17: embryonic day 14.5 (more )
Structure Level Pattern Image Note
TS23: liver Moderate Regionally restricted euxassay_003603_17
TS23: heart Moderate Spotted euxassay_003603_17

Specimen euxassay_003603_18: embryonic day 14.5 (more )
Structure Level Pattern Image Note
TS23: liver Moderate Regionally restricted euxassay_003603_18
TS23: heart Moderate Spotted euxassay_003603_18

Specimen euxassay_003603_19: embryonic day 14.5 (more )
Structure Level Pattern Image Note
TS23: liver Moderate Regionally restricted euxassay_003603_19
TS23: heart Moderate Spotted euxassay_003603_19

Specimen euxassay_003603_20: embryonic day 14.5 (more )
Structure Level Pattern Image Note
TS23: liver Moderate Regionally restricted euxassay_003603_20
TS23: heart Moderate Spotted euxassay_003603_20

Specimen euxassay_003603_21: embryonic day 14.5 (more )
Structure Level Pattern Image Note
TS23: liver Moderate Regionally restricted euxassay_003603_21
TS23: heart Moderate Spotted euxassay_003603_21

Specimen euxassay_003603_22: embryonic day 14.5 (more )
Structure Level Pattern Image Note
TS23: liver Moderate Regionally restricted euxassay_003603_22
TS23: heart Moderate Spotted euxassay_003603_22

Specimen euxassay_003603_23: embryonic day 14.5 (more )
Structure Level Pattern Image Note
TS23: liver Moderate Regionally restricted euxassay_003603_23
TS23: heart Moderate Spotted euxassay_003603_23

Specimen euxassay_003603_24: embryonic day 14.5 (more )
Structure Level Pattern Image Note
TS23: liver Moderate Regionally restricted euxassay_003603_24


Contributing Projects:
Mouse Genome Database (MGD), Gene Expression Database (GXD), Mouse Models of Human Cancer database (MMHCdb) (formerly Mouse Tumor Biology (MTB)), Gene Ontology (GO)
Citing These Resources
Funding Information
Warranty Disclaimer, Privacy Notice, Licensing, & Copyright
Send questions and comments to User Support.
last database update
12/30/2025
MGI 6.24
The Jackson Laboratory