About   Help   FAQ
Gene Expression Data
Assay Details
Assay
Reference: J:153498 Diez-Roux G, et al., A high-resolution anatomical atlas of the transcriptome in the mouse embryo. PLoS Biol. 2011;9(1):e1000582
Assay type: RNA in situ
MGI Accession ID: MGI:4826021
Gene symbol: Ltf
Gene name: lactotransferrin
Probe: MGC clone 11944
Probe preparation: Antisense labelled with digoxigenin RNA
Visualized with: Alkaline phosphatase
Assay notes: Cryosections of fresh frozen material were fixed in 4% paraformaldehyde for 20 min. before further processing. A tyramide-biotin/streptavidin amplification step was included in the in situ hybridization procedure.
Results
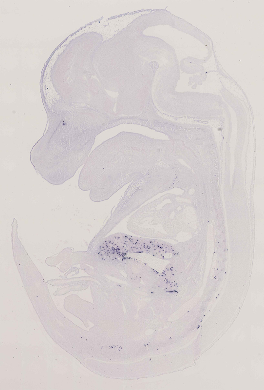
Specimen euxassay_006865_01: embryonic day 14.5 (more )
Structure Level Pattern Image Note
TS23: liver left lobe Strong Single cells euxassay_006865_01

Specimen euxassay_006865_02: embryonic day 14.5 (more )
Structure Level Pattern Image Note
TS23: liver left lobe Strong Single cells euxassay_006865_02

Specimen euxassay_006865_03: embryonic day 14.5 (more )
Structure Level Pattern Image Note
TS23: liver left lobe Strong Single cells euxassay_006865_03

Specimen euxassay_006865_04: embryonic day 14.5 (more )
Structure Level Pattern Image Note
TS23: liver left lobe Strong Single cells euxassay_006865_04

Specimen euxassay_006865_05: embryonic day 14.5 (more )
Structure Level Pattern Image Note
TS23: liver left lobe Strong Single cells euxassay_006865_05

Specimen euxassay_006865_06: embryonic day 14.5 (more )
Structure Level Pattern Image Note
TS23: liver left lobe Strong Single cells euxassay_006865_06

Specimen euxassay_006865_07: embryonic day 14.5 (more )
Structure Level Pattern Image Note
TS23: liver left lobe Strong Single cells euxassay_006865_07

Specimen euxassay_006865_08: embryonic day 14.5 (more )
Structure Level Pattern Image Note
TS23: liver left lobe Strong Single cells euxassay_006865_08

Specimen euxassay_006865_09: embryonic day 14.5 (more )
Structure Level Pattern Image Note
TS23: liver left lobe Strong Single cells euxassay_006865_09

Specimen euxassay_006865_10: embryonic day 14.5 (more )
Structure Level Pattern Image Note
TS23: liver left lobe Strong Single cells euxassay_006865_10

Specimen euxassay_006865_11: embryonic day 14.5 (more )
Structure Level Pattern Image Note
TS23: liver left lobe Strong Single cells euxassay_006865_11

Specimen euxassay_006865_12: embryonic day 14.5 (more )
Structure Level Pattern Image Note
TS23: liver right lobe Strong Single cells euxassay_006865_12

Specimen euxassay_006865_13: embryonic day 14.5 (more )
Structure Level Pattern Image Note
TS23: liver right lobe Strong Single cells euxassay_006865_13

Specimen euxassay_006865_14: embryonic day 14.5 (more )
Structure Level Pattern Image Note
TS23: liver right lobe Strong Single cells euxassay_006865_14

Specimen euxassay_006865_15: embryonic day 14.5 (more )
Structure Level Pattern Image Note
TS23: liver right lobe Strong Single cells euxassay_006865_15

Specimen euxassay_006865_16: embryonic day 14.5 (more )
Structure Level Pattern Image Note
TS23: liver right lobe Strong Single cells euxassay_006865_16

Specimen euxassay_006865_17: embryonic day 14.5 (more )
Structure Level Pattern Image Note
TS23: liver right lobe Strong Single cells euxassay_006865_17

Specimen euxassay_006865_18: embryonic day 14.5 (more )
Structure Level Pattern Image Note
TS23: liver right lobe Strong Single cells euxassay_006865_18

Specimen euxassay_006865_19: embryonic day 14.5 (more )
Structure Level Pattern Image Note
TS23: liver right lobe Strong Single cells euxassay_006865_19

Specimen euxassay_006865_20: embryonic day 14.5 (more )
Structure Level Pattern Image Note
TS23: liver right lobe Strong Single cells euxassay_006865_20

Specimen euxassay_006865_21: embryonic day 14.5 (more )
Structure Level Pattern Image Note
TS23: liver right lobe Strong Single cells euxassay_006865_21

Specimen euxassay_006865_22: embryonic day 14.5 (more )
Structure Level Pattern Image Note
TS23: liver right lobe Strong Single cells euxassay_006865_22

Specimen euxassay_006865_23: embryonic day 14.5 (more )
Structure Level Pattern Image Note
TS23: liver right lobe Strong Single cells euxassay_006865_23

Specimen euxassay_006865_24: embryonic day 14.5 (more )
Structure Level Pattern Image Note
TS23: liver right lobe Strong Single cells euxassay_006865_24


Contributing Projects:
Mouse Genome Database (MGD), Gene Expression Database (GXD), Mouse Models of Human Cancer database (MMHCdb) (formerly Mouse Tumor Biology (MTB)), Gene Ontology (GO)
Citing These Resources
Funding Information
Warranty Disclaimer, Privacy Notice, Licensing, & Copyright
Send questions and comments to User Support.
last database update
01/20/2026
MGI 6.24
The Jackson Laboratory